相关产品推荐更多 >
万千商家帮你免费找货
0 人在求购买到急需产品
- 详细信息
- 技术资料
- 供应商:
上海康朗生物科技有限公司
- 库存:
大量
- 目录编号:
kl-3016R
- 克隆性:
多克隆
- 抗原来源:
Rabbit
- 保质期:
12个月
- 抗体英文名:
phospho-ERK1/2 (Thr202 + Tyr204) antibody
- 抗体名:
磷酸化丝裂原活化蛋白激酶1/2抗体
- 宿主:
Rabbit
- 适应物种:
Human, Mouse, Rat, Chicken, Dog, Pig, Cow, Horse, Rabbit, Guinea Pig,
- 免疫原:
KLH conjugated Synthesised phosphopeptide derived from mouse p44/42 MAPK around the phosphorylation site of (Thr202/Tyr204):FL(p-T)E(p-Y)VA
- 亚型:
IgG
- 形态:
冻干粉或液体
- 应用范围:
WB=1:500-2000 ELISA=1:500-1000 IHC-P=1:400-800 IHC-F=1:400-800 Flow-Cyt=1μg /test ICC=1:100-500 IF=1:100-500
- 浓度:
1mg/ml
- 保存条件:
-20 °C
- 规格:
100ul
phospho-ERK1/2 (Thr202 + Tyr204) antibody
| 中文名称 | 磷酸化丝裂原活化蛋白激酶1/2抗体 |
| 别 名 | ERK1 (phospho T202 + Y204); p-ERK1 (phospho T202 + Y204); Erk1 (pT202/pY204) + Erk2 (pT185/pY187); p-ERK1/2(T202/Y204); ERK 1; ERK 2; MK03_HUMAN; MK01_HUMAN; ERK-2; ERK1; ERK2; ERT1; ERT2; Extracellular signal regulated kinase 1; Extracellular signal regulated kinase 1; Extracellular signal regulated kinase 2; Extracellular signal regulated kinase 2; Extracellular signal-regulated kinase 2; HS44KDAP; HUMKER1A; Insulin stimulated MAP2 kinase; MAP kinase 1; MAP kinase 2; MAP kinase isoform p42; MAP kinase isoform p44; MAPK 1; MAPK 2; MAPK1; MAPK2; MGC20180; Microtubule associated protein 2 kinase; Mitogen activated protein kinase 1; Mitogen activated protein kinase 1; Mitogen activated protein kinase 2; Mitogen-activated protein kinase 1; Mitogen-activated protein kinase 2; MK01_MOUSE; p38; p40; p41; p41mapk; p42 MAPK; p42-MAPK; p42MAPK; p42MAPK; p44 ERK1; p44 MAPK; p44ERK1; p44ERK1; p44MAPK; p44MAPK; PRKM 1; PRKM 1; PRKM 2; PRKM 2; PRKM1; PRKM2; Protein kinase mitogen activated 1; Protein kinase mitogen activated 1; Protein kinase mitogen activated 2; Protein kinase mitogen activated 2; Protein tyrosine kinas. |
![]() |
Specific References (6) | bs-3016R has been referenced in 6 publications. [IF=3.84] Geng, Shanshan, et al. "Medium-chain triglyceride ameliorates insulin resistance and inflammation in high fat diet-induced obese mice." European Journal of Nutrition (2015): 1-10. WB ; Mouse. PubMed:25911003 [IF=3.04] Chen, Wei, et al. "Mycobacterium tuberculosis PE25/PPE41 protein complex induces activation and maturation of dendritic cells and drives Th2-biased immune responses." Medical Microbiology and Immunology (2015): 1-13. WB ; Mouse. PubMed:26318856 [IF=1.43] Wang, Xiao-yan, et al. "AMD3100 attenuates MMP-3 and MMP-9 expressions and prevents cartilage degradation in a monosodium iodoacetate-induced rat model of temporomandibular osteoarthritis." Journal of Oral and Maxillofacial Surgery (2016). IHC-P ; Rat. PubMed:26851314 [IF=1.92] Liu, Chen, et al. "Pulmonary artery denervation improves pulmonary arterial hypertension induced right ventricular dysfunction by modulating the local renin-angiotensin-aldosterone system." BMC Cardiovascular Disorders 16.1 (2016): 192. WB ; Dog. PubMed:27724864 [IF=2.62] Liu, Lu, et al. "Anthraquinone derivative exerted hormetic effect on the apoptosis in oxygen-glucose deprivation-induced PC12 cells via ERK and Akt activated Nrf2/HO-1 signaling pathway." Chemico-Biological Interactions 262 (2017): 1-11. WB ; Rat. PubMed:27923643 [IF=4.75] Rosenzweig, Derek H., Sing J. Ou, and Thomas M. Quinn. ʺP38 mitogen activated protein kinase promotes dedifferentiation of primary articular chondrocytes in monolayer culture.ʺ Journal of Cellular and Molecular Medicine (2013). WB ; Bovine. PubMed:23480786 |
| 规格价格 | 100ul/1580元 购买 大包装/询价 |
| 说 明 书 | 100ul |
| 产品类型 | 磷酸化抗体 |
| 研究领域 | 免疫学 神经生物学 信号转导 干细胞 激酶和磷酸酶 |
| 抗体来源 | Rabbit |
| 克隆类型 | Polyclonal |
| 交叉反应 | Human, Mouse, Rat, Chicken, Dog, Pig, Cow, Horse, Rabbit, Guinea Pig, |
| 产品应用 | WB=1:500-2000 ELISA=1:500-1000 IHC-P=1:400-800 IHC-F=1:400-800 Flow-Cyt=1μg /test ICC=1:100-500 IF=1:100-500 (石蜡切片需做抗原修复) not yet tested in other applications. optimal dilutions/concentrations should be determined by the end user. |
| 分 子 量 | 41kDa |
| 细胞定位 | 细胞核 细胞浆 |
| 性 状 | Lyophilized or Liquid |
| 浓 度 | 1mg/ml |
| 免 疫 原 | KLH conjugated Synthesised phosphopeptide derived from mouse p44/42 MAPK around the phosphorylation site of (Thr202/Tyr204):FL(p-T)E(p-Y)VA |
| 亚 型 | IgG |
| 纯化方法 | affinity purified by Protein A |
| 储 存 液 | 0.01M TBS(pH7.4) with 1% BSA, 0.03% Proclin300 and 50% Glycerol. |
| 保存条件 | Store at -20 °C for one year. Avoid repeated freeze/thaw cycles. The lyophilized antibody is stable at room temperature for at least one month and for greater than a year when kept at -20°C. When reconstituted in sterile pH 7.4 0.01M PBS or diluent of antibody the antibody is stable for at least two weeks at 2-4 °C. |
| PubMed | PubMed |
| 产品介绍 | background: p44/42 MAP Kinase(Phospho-Thr202); ERK (extracellular signal regulated kinase), also known as MAPK (mitogen activated protein kinase) has two closely related isoforms of 44 kDa and 42 kDa, respectively. These kinases belong to a family of serine/threonine kinases that are activated upon treatment of cells with a large variety of stimuli including mitogens, hormones, growth factors, cytokines, and bioactive peptides. Cell stimulation induces the activation of a signaling cascade, the downstream effects of which have been linked to the regulation of cell growth and differentiation as well as the cytoskeleton. ERK1 and ERK2 are phosphorylated within the activation loop on both a Threonine and a Tyrosine residue (within a Thr-Glu-Tyr motif) by MEKs (MAPK/ERK kinases), thereby greatly elevating the activity of ERK1&2. Function: Serine/threonine kinase which acts as an essentialcomponent of the MAP kinase signal transduction pathway. MAPK1/ERK2and MAPK3/ERK1 are the 2 MAPKs which play an important role in theMAPK/ERK cascade. They participate also in a signaling cascadeinitiated by activated KIT and KITLG/SCF. Depending on the cellularcontext, the MAPK/ERK cascade mediates diverse biological functionssuch as cell growth, adhesion, survival and differentiation throughthe regulation of transcription, translation, cytoskeletalrearrangements. The MAPK/ERK cascade plays also a role ininitiation and regulation of meiosis, mitosis, and postmitoticfunctions in differentiated cells by phosphorylating a number oftranscription factors. About 160 substrates have already beendiscovered for ERKs. Many of these substrates are localized in thenucleus, and seem to participate in the regulation of transcriptionupon stimulation. However, other substrates are found in thecytosol as well as in other cellular organelles, and those areresponsible for processes such as translation, mitosis andapoptosis. Moreover, the MAPK/ERK cascade is also involved in theregulation of the endosomal dynamics, including lysosome processingand endosome cycling through the perinuclear recycling compartment(PNRC); as well as in the fragmentation of the Golgi apparatusduring mitosis. The substrates include transcription factors (suchas ATF2, BCL6, ELK1, ERF, FOS, HSF4 or SPZ1), cytoskeletal elements(such as CANX, CTTN, GJA1, MAP2, MAPT, PXN, SORBS3 or STMN1),regulators of apoptosis (such as BAD, BTG2, CASP9, DAPK1, IER3,MCL1 or PPARG), regulators of translation (such as EIF4EBP1) and avariety of other signaling-related molecules (like ARHGEF2, DCC,FRS2 or GRB10). Protein kinases (such as RAF1, RPS6KA1/RSK1,RPS6KA3/RSK2, RPS6KA2/RSK3, RPS6KA6/RSK4, SYK, MKNK1/MNK1,MKNK2/MNK2, RPS6KA5/MSK1, RPS6KA4/MSK2, MAPKAPK3 or MAPKAPK5) andphosphatases (such as DUSP1, DUSP4, DUSP6 or DUSP16) are othersubstrates which enable the propagation the MAPK/ERK signal toadditional cytosolic and nuclear targets, thereby extending thespecificity of the cascade. Mediates phosphorylation of TPR inrespons to EGF stimulation. May play a role in the spindle assemblycheckpoint. Phosphorylates PML and promotes its interaction withPIN1, leading to PML degradation (By similarity). [FUNCTION] Acts as a transcriptional repressor. Binds to a[GC]AAA[GC] consensus sequence. Repress the expression ofinterferon gamma-induced genes. Seems to bind to the promoter ofCCL5, DMP1, IFIH1, IFITM1, IRF7, IRF9, LAMP3, OAS1, OAS2, OAS3 andSTAT1. Transcriptional activity is independent of kinase activity(By similarity). Subunit: Binds both upstream activators and downstream substratesin multimolecular complexes. Interacts with ADAM15, ARHGEF2, ARRB2,DAPK1 (via death domain), HSF4, IER3, IPO7, DUSP6, NISCH, SGK1, andisoform 1 of NEK2. Interacts (via phosphorylated form) with TPR(via C-terminus region and phosphorylated form); the interactionrequires dimerization of MAPK1/ERK2 and increases following EGFstimulation (By similarity). Interacts (phosphorylated form) withCAV2 ('Tyr-19'-phosphorylated form); the interaction, promoted byinsulin, leads to nuclear location and MAPK1 activation (Bysimilarity). Interacts with DCC (By similarity). Interacts withMORG1, PEA15 and MKNK2. MKNK2 isoform 1 binding prevents fromdephosphorylation and inactivation. The phosphorylated forminteracts with PML (By similarity). Subcellular Location: Cytoplasm, cytoskeleton, spindle. Nucleus. Cytoplasm, cytoskeleton, centrosome. Cytoplasm. Note=Associated with the spindle duringprometaphase and metaphase. PEA15-binding andphosphorylated DAPK1 promote its cytoplasmic retention.Phosphorylation at Ser-244 and Ser-246 as well asautophosphorylation at Thr-188 promote nuclear localization (Bysimilarity). Tissue Specificity: Widely expressed. Post-translational modifications: Dually phosphorylated on Thr-183 and Tyr-185, which activatesthe enzyme. Ligand-activated ALK induces tyrosine phosphorylation. Dephosphorylated by PTPRJ at Tyr-185. Phosphorylated upon FLT3 and KIT signaling. Similarity: Belongs to the protein kinase superfamily. CMGCSer/Thr protein kinase family. MAP kinase subfamily. Contains 1 protein kinase domain. SWISS: P27361 Gene ID: 5595 Database links: Entrez Gene: 5594 Human Entrez Gene: 5595 Human Entrez Gene: 26413 Mouse Entrez Gene: 26417 Mouse Entrez Gene: 116590 Rat Entrez Gene: 50689 Rat Important Note: This product as supplied is intended for research use only, not for use in human, therapeutic or diagnostic applications. 激酶和磷酸酶(Kinases and Phosphatases) 丝裂原活化蛋白激酶-ERK1/2(Mitogen-activated protein kinase 1/2)是一组可以被多种细胞外信号即获得蛋白丝/苏氨酸激酶,处于胞浆信号传导通路的终末位置,活化后转位到核内,作用于核内转录因子,调节基因表达。它主要参与生长因子、激素、细胞因子、应激等各种刺激下细胞的反应、细胞的生长、分化过程。 |
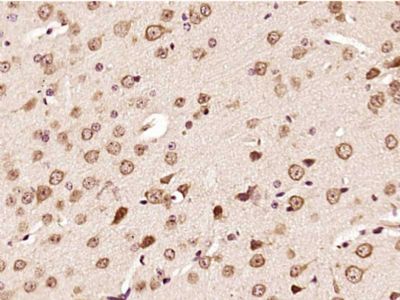
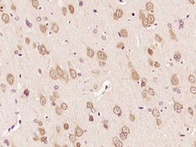
| 产品图片 | ![]() Sample: Cerebrum (Mouse) Lysate at 40 ug Primary: Anti-phospho-ERK1/2 (Thr202 + Tyr204) (bs-3016R) at 1/1000 dilution Secondary: IRDye800CW Goat Anti-Rabbit IgG at 1/20000 dilution Predicted band size: 41 kD Observed band size: 41 kD ![]() Sample: NIH/3T3(Mouse) Cell Lysate at 30 ug Primary: Anti-phospho-ERK1/2 (Thr202 + Tyr204) (bs-3016R) at 1/1000 dilution Secondary: IRDye800CW Goat Anti-Rabbit IgG at 1/20000 dilution Predicted band size: 41 kD Observed band size: 41 kD ![]() Paraformaldehyde-fixed, paraffin embedded (Mouse brain); Antigen retrieval by boiling in sodium citrate buffer (pH6.0) for 15min; Block endogenous peroxidase by 3% hydrogen peroxide for 20 minutes; Blocking buffer (normal goat serum) at 37°C for 30min; Antibody incubation with (phospho-ERK1+2 (Thr202 + Tyr204)) Polyclonal Antibody, Unconjugated (bs-3016R) at 1:400 overnight at 4°C, followed by operating according to SP Kit(Rabbit) (sp-0023) instructionsand DAB staining. ![]() Paraformaldehyde-fixed, paraffin embedded (Rat brain); Antigen retrieval by boiling in sodium citrate buffer (pH6.0) for 15min; Block endogenous peroxidase by 3% hydrogen peroxide for 20 minutes; Blocking buffer (normal goat serum) at 37°C for 30min; Antibody incubation with (phospho-ERK1+2 (Thr202 + Tyr204)) Polyclonal Antibody, Unconjugated (bs-3016R) at 1:400 overnight at 4°C, followed by operating according to SP Kit(Rabbit) (sp-0023) instructionsand DAB staining. ![]() Tissue/cell: human lung carcinoma;4% Paraformaldehyde-fixed and paraffin-embedded; Antigen retrieval: citrate buffer ( 0.01M, pH 6.0 ), Boiling bathing for 15min; Blocking buffer (normal goat serum,C-0005) at 37℃ for 20 min; Incubation: Anti-phospho-ERK1/2(Thr202+Tyr204) Polyclonal Antibody, Unconjugated(bs-3016R) 1:200, overnight at 4°C; The secondary antibody was Goat Anti-Rabbit IgG, Cy3 conjugated(bs-0295G-Cy3)used at 1:200 dilution for 40 minutes at 37°C. DAPI(5ug/ml,blue,C-0033) was used to stain the cell nuclei ![]() Blank control (blue line): U251 (fixed with 2% paraformaldehyde (10 min)and then permeabilized with 0.1% PBS-Tween for 20 min at room temperature). Primary Antibody (green line): Rabbit Anti-phospho-ERK12 (Thr202 + Tyr204) antibody (bs-3016R),Dilution: 3μg /10^6 cells; Isotype Control Antibody (orange line): Rabbit IgG . Secondary Antibody (white blue line): Goat anti-rabbit IgG-PE,Dilution: 1μg /test. |
风险提示:丁香通仅作为第三方平台,为商家信息发布提供平台空间。用户咨询产品时请注意保护个人信息及财产安全,合理判断,谨慎选购商品,商家和用户对交易行为负责。对于医疗器械类产品,请先查证核实企业经营资质和医疗器械产品注册证情况。
技术资料暂无技术资料 索取技术资料
phospho-ERK1/2 (Thr202 + Tyr204) antibody
¥1580















