相关产品推荐更多 >
万千商家帮你免费找货
0 人在求购买到急需产品
- 详细信息
- 文献和实验
- 技术资料
- 供应商:
上海康朗生物科技有限公司
- 库存:
大量
- 目录编号:
kl-2715R
- 克隆性:
多克隆
- 抗原来源:
Rabbit
- 保质期:
12个月
- 抗体英文名:
THBS1 antibody
- 抗体名:
血小板反应蛋白抗体
- 宿主:
Rabbit
- 适应物种:
Human, Mouse, Rat, Chicken, Pig, Cow, Horse, Rabbit, ,Daniorerio
- 免疫原:
KLH conjugated synthetic peptide derived from human TSP-1:801-900/1170
- 亚型:
IgG
- 形态:
冻干粉或液体
- 应用范围:
WB=1:500-2000 ELISA=1:500-1000 IHC-P=1:400-800 IHC-F=1:400-800 IF=1:100-500
- 浓度:
1mg/ml
- 保存条件:
-20 °C
- 规格:
50ul 100ul 200ul
| 中文名称 | 血小板反应蛋白抗体 |
| 别 名 | THBS 1; THBS-1; THBS; THBS1; Thrombospondin 1; Thrombospondin1; Thrombospondin-1; Tsp 1; TSP-1; TSP; Tsp1. |
| 规格价格 | 50ul/780元 购买 100ul/1380元 购买 200ul/2200元 购买 大包装/询价 |
| 说 明 书 | 50ul 100ul 200ul |
| 研究领域 | 肿瘤 心血管 细胞生物 神经生物学 干细胞 生长因子和激素 细胞粘附分子 细胞表面分子 细胞分化 血管内皮细胞 细胞骨架 |
| 抗体来源 | Rabbit |
| 克隆类型 | Polyclonal |
| 交叉反应 | Human, Mouse, Rat, Chicken, Pig, Cow, Horse, Rabbit, ,Daniorerio |
| 产品应用 | WB=1:500-2000 ELISA=1:500-1000 IHC-P=1:400-800 IHC-F=1:400-800 IF=1:100-500 (石蜡切片需做抗原修复) not yet tested in other applications. optimal dilutions/concentrations should be determined by the end user. |
| 分 子 量 | 129kDa |
| 细胞定位 | 细胞浆 |
| 性 状 | Lyophilized or Liquid |
| 浓 度 | 1mg/ml |
| 免 疫 原 | KLH conjugated synthetic peptide derived from human TSP-1:801-900/1170 |
| 亚 型 | IgG |
| 纯化方法 | affinity purified by Protein A |
| 储 存 液 | 0.01M TBS(pH7.4) with 1% BSA, 0.03% Proclin300 and 50% Glycerol. |
| 保存条件 | Store at -20 °C for one year. Avoid repeated freeze/thaw cycles. The lyophilized antibody is stable at room temperature for at least one month and for greater than a year when kept at -20°C. When reconstituted in sterile pH 7.4 0.01M PBS or diluent of antibody the antibody is stable for at least two weeks at 2-4 °C. |
| PubMed | PubMed |
| 产品介绍 | background: The protein encoded by this gene is a subunit of a disulfide-linked homotrimeric protein. This protein is an adhesive glycoprotein that mediates cell-to-cell and cell-to-matrix interactions. This protein can bind to fibrinogen, fibronectin, laminin, type V collagen and integrins alpha-V/beta-1. This protein has been shown to play roles in platelet aggregation, angiogenesis, and tumorigenesis. [provided by RefSeq]. Function: Adhesive glycoprotein that mediates cell-to-cell and cell-to-matrix interactions. Similarity: Belongs to the thrombospondin family. Contains 3 EGF-like domains. Contains 1 TSP C-terminal (TSPC) domain. Contains 1 TSP N-terminal (TSPN) domain. Contains 3 TSP type-1 domains. Contains 8 TSP type-3 repeats. Contains 1 VWFC domain. SWISS: P07996 Gene ID: 7057 Database links: Entrez Gene: 281530 Cow Entrez Gene: 487486 Dog Entrez Gene: 100057478 Horse Entrez Gene: 7057 Human Entrez Gene: 21825 Mouse Entrez Gene: 492313 Pig Entrez Gene: 445442 Rat Entrez Gene: 100294615 Sheep Omim: 188060 Human SwissProt: Q28178 Cow SwissProt: P07996 Human SwissProt: P35441 Mouse Unigene: 164226 Human Unigene: 4159 Mouse Unigene: 185771 Rat Important Note: This product as supplied is intended for research use only, not for use in human, therapeutic or diagnostic applications. 凝血酶敏感蛋白1又称:血小板反应蛋白/凝血酶敏感蛋白1(TSP1)最早发现于血小板中,TSP1在多种组织中广泛表达,并参与细胞黏附、细胞分化和血管新生等多种生物学过程,TSP1也参与血液凝固。 |
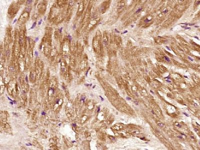
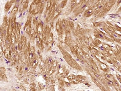
| 产品图片 | ![]() Sample: 293T(Human) Cell Lysate at 30 ug Primary: Anti-THBS1 (bs-2715R) at 1/2000 dilution Secondary: IRDye800CW Goat Anti-Rabbit IgG at 1/20000 dilution Predicted band size: 129 kD Observed band size: 129 kD ![]() Paraformaldehyde-fixed, paraffin embedded (human myocardial tissue); Antigen retrieval by boiling in sodium citrate buffer (pH6.0) for 15min; Block endogenous peroxidase by 3% hydrogen peroxide for 20 minutes; Blocking buffer (normal goat serum) at 37°C for 30min; Antibody incubation with (THBS1) Polyclonal Antibody, Unconjugated (bs-2715R) at 1:400 overnight at 4°C, followed by operating according to SP Kit(Rabbit) (sp-0023) instructionsand DAB staining. |
风险提示:丁香通仅作为第三方平台,为商家信息发布提供平台空间。用户咨询产品时请注意保护个人信息及财产安全,合理判断,谨慎选购商品,商家和用户对交易行为负责。对于医疗器械类产品,请先查证核实企业经营资质和医疗器械产品注册证情况。
文献和实验Generation of Antibody Molecules Through Antibody Engineering
been overcome to a large extent using genetic-engineering techniques to produce chimeric mouse/human and completely human antibodies. Such an approach is particularly suitable because of the domain structure of the antibody molecule ( 2 ), where functional
The importance of antibody molecules was first recognized in the 1890s, when it was shown that immunity to tetanus and diphtheria was caused by antibodies against the bacterial exotoxins (1 ). Around the same time, it was shown that antisera
General comments: Antibodies, like most proteins, do not like to be freeze-thawed. Avoid repetitive freezing of your solution. The best way to store your antibody is to keep a high protein concentration (>1 mg/ml), add some protease
技术资料暂无技术资料 索取技术资料












