相关产品推荐更多 >
万千商家帮你免费找货
0 人在求购买到急需产品
- 详细信息
- 文献和实验
- 技术资料
- 供应商:
上海康朗生物科技有限公司
- 库存:
大量
- 目录编号:
kl-2441R
- 克隆性:
多克隆
- 抗原来源:
Rabbit
- 保质期:
12个月
- 抗体英文名:
TWIST antibody
- 抗体名:
TWIST蛋白抗体
- 宿主:
Rabbit
- 适应物种:
Human, Mouse, Rat,
- 免疫原:
KLH conjugated synthetic peptide derived from human TWIST:71-170/202
- 亚型:
IgG
- 形态:
冻干粉或液体
- 应用范围:
WB=1:500-2000 ELISA=1:500-1000 IHC-P=1:400-800 IHC-F=1:400-800 IF=1:100-500
- 浓度:
1mg/ml
- 保存条件:
-20 °C
- 规格:
50ul 100ul 200ul
| 中文名称 | TWIST蛋白抗体 |
| 别 名 | ACS3; B-HLH DNA binding protein; bHLHa38; BPES2; BPES3; Class A basic helix-loop-helix protein 38; CRS1; H-twist; OTTHUMP00000116043; SCS; Twist basic helix loop helix transcription factor 1; Twist homolog 1 (Drosophila); Twist homolog 1; TWIST homolog of drosophila; Twist related protein 1; Twist-related protein 1; Twist1; TWST1_HUMAN. |
![]() |
Specific References (1) | bs-2441R has been referenced in 1 publications. [IF=3.19] Zhang, Lei, et al. "High-Throughput RNAi Screening Identifies a Role for the Osteopontin Pathway in Proliferation and Migration of Human Aortic Smooth Muscle Cells." Cardiovascular Drugs and Therapy (2016): 1-15. IF(ICC) ; Human. PubMed:27095116 |
| 规格价格 | 50ul/780元 购买 100ul/1380元 购买 200ul/2200元 购买 大包装/询价 |
| 说 明 书 | 50ul 100ul 200ul |
| 研究领域 | 肿瘤 免疫学 神经生物学 转录调节因子 |
| 抗体来源 | Rabbit |
| 克隆类型 | Polyclonal |
| 交叉反应 | Human, Mouse, Rat, |
| 产品应用 | WB=1:500-2000 ELISA=1:500-1000 IHC-P=1:400-800 IHC-F=1:400-800 IF=1:100-500 (石蜡切片需做抗原修复) not yet tested in other applications. optimal dilutions/concentrations should be determined by the end user. |
| 分 子 量 | 23kDa |
| 细胞定位 | 细胞核 |
| 性 状 | Lyophilized or Liquid |
| 浓 度 | 1mg/ml |
| 免 疫 原 | KLH conjugated synthetic peptide derived from human TWIST:71-170/202 |
| 亚 型 | IgG |
| 纯化方法 | affinity purified by Protein A |
| 储 存 液 | 0.01M TBS(pH7.4) with 1% BSA, 0.03% Proclin300 and 50% Glycerol. |
| 保存条件 | Store at -20 °C for one year. Avoid repeated freeze/thaw cycles. The lyophilized antibody is stable at room temperature for at least one month and for greater than a year when kept at -20°C. When reconstituted in sterile pH 7.4 0.01M PBS or diluent of antibody the antibody is stable for at least two weeks at 2-4 °C. |
| PubMed | PubMed |
| 产品介绍 | background: Basic helix-loop-helix (bHLH) transcription factors have been implicated in cell lineage determination and differentiation. The protein encoded by this gene is a bHLH transcription factor and shares similarity with another bHLH transcription factor, Dermo1. The strongest expression of this mRNA is in placental tissue; in adults, mesodermally derived tissues express this mRNA preferentially. Mutations in this gene have been found in patients with Saethre-Chotzen syndrome. [provided by RefSeq, Jul 2008]. Function: Acts as a transcriptional regulator. Inhibits myogenesis by sequestrating E proteins, inhibiting trans-activation by MEF2, and inhibiting DNA-binding by MYOD1 through physical interaction. This interaction probably involves the basic domains of both proteins. Also represses expression of proinflammatory cytokines such as TNFA and IL1B. Regulates cranial suture patterning and fusion. Activates transcription as a heterodimer with E proteins. Regulates gene expression differentially, depending on dimer composition. Homodimers induce expression of FGFR2 and POSTN while heterodimers repress FGFR2 and POSTN expression and induce THBS1 expression. Heterodimerization is also required for osteoblast differentiation. Subunit: Efficient DNA binding requires dimerization with another bHLH protein. Homodimer or heterodimer with E proteins such as TCF3. ID1 binds preferentially to TCF3 but does not interact efficiently with TWIST1 so ID1 levels control the amount of TCF3 available to dimerize with TWIST1 and thus determine the type of dimer formed. Subcellular Location: Nucleus. Tissue Specificity: Subset of mesodermal cells DISEASE: Defects in TWIST1 are a cause of Saethre-Chotzen syndrome (SCS) [MIM:101400]; also known as acrocephalosyndactyly type 3 (ACS3). SCS is a craniosynostosis syndrome characterized by coronal synostosis, brachycephaly, low frontal hairline, facial asymmetry, hypertelorism, broad halluces, and clinodactyly. Defects in TWIST1 are the cause of Robinow-Sorauf syndrome (RSS) [MIM:180750]; also known as craniosynostosis-bifid hallux syndrome. RSS is an autosomal dominant defect characterized by minor skull and limb anomalies which is very similar to Saethre-Chotzen syndrome. Defects in TWIST1 are the cause of craniosynostosis type 1 (CRS1) [MIM:123100]. Craniosynostosis consists of premature fusion of one or more cranial sutures, resulting in an abnormal head shape. Similarity: Contains 1 basic helix-loop-helix (bHLH) domain. SWISS: Q15672 Gene ID: 7291 Database links: Entrez Gene: 7291 Human Entrez Gene: 22160 Mouse Entrez Gene: 85489 Rat Omim: 601622 Human SwissProt: Q15672 Human SwissProt: P26687 Mouse Unigene: 66744 Human Unigene: 3280 Mouse Unigene: 161904 Rat Important Note: This product as supplied is intended for research use only, not for use in human, therapeutic or diagnostic applications. 转录因子 Twist蛋白是属于碱性螺旋-环-螺旋蛋白家族中的高度保守的转录因子,Twist在抑制肿瘤凋亡,促进肿瘤细胞的转移发挥一定的作用。 |
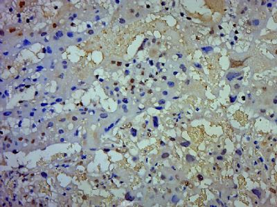
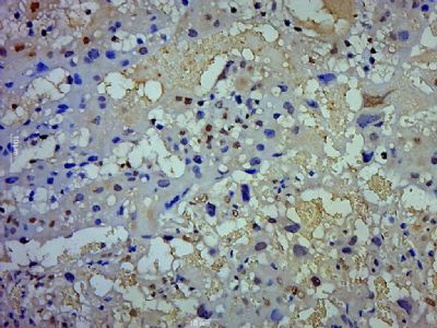
| 产品图片 | ![]() Sample: Siha (human)Cell Lysate at 40 ug Primary: Anti-TWIST protein(bs-2441R) at 1/300 dilution Secondary: IRDye800CW Goat Anti-Rabbit IgG at 1/20000 dilution Predicted band size: 23 kD Observed band size: 25 kD ![]() Paraformaldehyde-fixed, paraffin embedded (Mouse placenta); Antigen retrieval by boiling in sodium citrate buffer (pH6.0) for 15min; Block endogenous peroxidase by 3% hydrogen peroxide for 20 minutes; Blocking buffer (normal goat serum) at 37°C for 30min; Antibody incubation with (TWIST) Polyclonal Antibody, Unconjugated (bs-2441R) at 1:500 overnight at 4°C, followed by a conjugated secondary (sp-0023) for 20 minutes and DAB staining. |
风险提示:丁香通仅作为第三方平台,为商家信息发布提供平台空间。用户咨询产品时请注意保护个人信息及财产安全,合理判断,谨慎选购商品,商家和用户对交易行为负责。对于医疗器械类产品,请先查证核实企业经营资质和医疗器械产品注册证情况。
文献和实验xxzjcg 求助人的twist基因的全序列,谢谢 slytjiaofei 按你的实际需要选择相应选项,结果见下面的链接!!! http://genome.ucsc.edu/cgi-bin/hgNear?hgsid=191200469&org=Human&db=hg19&near_search=uc003sum.2&near_order=expGnfAtlas2&near_count=50
Twist-Off Purification of Hair Bundles
Purification of hair bundles from inner-ear organs allows biochemical analysis of bundle constituents, including proteins and lipids. We describe here the “twist-off” method of bundle isolation, where dissected inner-ear organs are embedded
Generation of Antibody Molecules Through Antibody Engineering
been overcome to a large extent using genetic-engineering techniques to produce chimeric mouse/human and completely human antibodies. Such an approach is particularly suitable because of the domain structure of the antibody molecule ( 2 ), where functional
技术资料暂无技术资料 索取技术资料












