相关产品推荐更多 >
万千商家帮你免费找货
0 人在求购买到急需产品
- 详细信息
- 文献和实验
- 技术资料
- 供应商:
上海康朗生物科技有限公司
- 库存:
大量
- 目录编号:
kl-2428R
- 克隆性:
多克隆
- 抗原来源:
Rabbit
- 保质期:
12个月
- 抗体英文名:
IL-9 antibody
- 抗体名:
白介素9抗体
- 宿主:
Rabbit
- 适应物种:
Mouse, Rat,
- 免疫原:
KLH conjugated synthetic peptide derived from mouse IL-9:21-120/144
- 亚型:
IgG
- 形态:
冻干粉或液体
- 应用范围:
WB=1:500-2000 ELISA=1:500-1000 IHC-P=1:400-800 IHC-F=1:400-800 IF=1:200-800
- 浓度:
1mg/ml
- 保存条件:
-20 °C
- 规格:
50ul 100ul 200ul
| 中文名称 | 白介素9抗体 |
| 别 名 | Interleukin-9; IL9; Homolog of mouse T cell and mast cell growth factor 40; HP40; IL 9; Mast cell growth factor; MCGF; Megakaryoblast growth factor; p40 cytokine; p40 T cell and mast cell growth factor; p40 T-cell and mast cell growth factor; T cell growth factor 3; T cell growth factor p40; T-cell growth factor p40; Interleukin 9; TCGF 3. |
![]() |
Specific References (2) | bs-2428R has been referenced in 2 publications. [IF=3.70] Yao, Xiuhua, et al. "Neutralization of IL‐9 ameliorates symptoms of experimental autoimmune myasthenia gravis in rats by decreasing effector T cells and altering humoral responses." Immunology (2014). other ; Rat. PubMed:24850614 [IF=1.50] Lin, Yinyao, et al. "Expression of interleukin-9 and its upstream stimulating factors in rats with ischemic stroke." Neurological Sciences (2015): 1-8. IHC-P ; Rat. PubMed:25652434 |
| 规格价格 | 50ul/780元 购买 100ul/1380元 购买 200ul/2200元 购买 大包装/询价 |
| 说 明 书 | 50ul 100ul 200ul |
| 研究领域 | 肿瘤 细胞生物 免疫学 神经生物学 信号转导 细胞凋亡 |
| 抗体来源 | Rabbit |
| 克隆类型 | Polyclonal |
| 交叉反应 | Mouse, Rat, |
| 产品应用 | WB=1:500-2000 ELISA=1:500-1000 IHC-P=1:400-800 IHC-F=1:400-800 IF=1:200-800 (石蜡切片需做抗原修复) not yet tested in other applications. optimal dilutions/concentrations should be determined by the end user. |
| 分 子 量 | 16kDa |
| 细胞定位 | 分泌型蛋白 |
| 性 状 | Lyophilized or Liquid |
| 浓 度 | 1mg/ml |
| 免 疫 原 | KLH conjugated synthetic peptide derived from mouse IL-9:21-120/144 |
| 亚 型 | IgG |
| 纯化方法 | affinity purified by Protein A |
| 储 存 液 | 0.01M TBS(pH7.4) with 1% BSA, 0.03% Proclin300 and 50% Glycerol. |
| 保存条件 | Store at -20 °C for one year. Avoid repeated freeze/thaw cycles. The lyophilized antibody is stable at room temperature for at least one month and for greater than a year when kept at -20°C. When reconstituted in sterile pH 7.4 0.01M PBS or diluent of antibody the antibody is stable for at least two weeks at 2-4 °C. |
| PubMed | PubMed |
| 产品介绍 | background: The protein encoded by this gene is a cytokine that actsas a regulator of a variety of hematopoietic cells. This cytokinestimulates cell proliferation and prevents apoptosis. It functionsthrough the interleukin 9 receptor (IL9R), which activatesdifferent signal transducer and activator (STAT) proteins and thusconnects this cytokine to various biological processes. The geneencoding this cytokine has been identified as a candidate gene forasthma. Genetic studies on a mouse model of asthma demonstratedthat this cytokine is a determining factor in the pathogenesis ofbronchial hyperresponsiveness. [provided by RefSeq, Jul 2008]. Function: Supports IL-2 independent and IL-4 independent growth of helper T-cells. Subcellular Location: Secreted. Similarity: Belongs to the IL-7/IL-9 family. SWISS: P15247 Gene ID: 16198 Database links: Entrez Gene: 3578 Human Entrez Gene: 16198 Mouse Omim: 146931 Human SwissProt: P15248 Human SwissProt: P15247 Mouse Unigene: 960 Human Unigene: 3006 Mouse Important Note: This product as supplied is intended for research use only, not for use in human, therapeutic or diagnostic applications. 白介素-9是由CD4和辅助性T细胞的Th2细胞分泌的细胞因子,具有多种生物学活性,在机体的免疫应答中具有多种免疫调节作用,IL-9参与肿瘤发生、寄生虫免疫、支气管哮喘、慢性阻塞性肺病和器官移植等多种疾病过程。 |
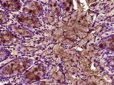
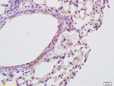
| 产品图片 | ![]() Sample: Lung (Mouse) Lysate at 40 ug Primary: Anti-IL-9 (bs-2428R) at 1/300 dilution Secondary: IRDye800CW Goat Anti-Rabbit IgG at 1/20000 dilution Predicted band size: 16 kD Observed band size: 16 kD ![]() Paraformaldehyde-fixed, paraffin embedded (mouse colon tissue); Antigen retrieval by boiling in sodium citrate buffer (pH6.0) for 15min; Block endogenous peroxidase by 3% hydrogen peroxide for 20 minutes; Blocking buffer (normal goat serum) at 37°C for 30min; Antibody incubation with (IL-9) Polyclonal Antibody, Unconjugated (bs-2428R) at 1:400 overnight at 4°C, followed by operating according to SP Kit(Rabbit) (sp-0023) instructionsand DAB staining. ![]() Tissue/cell: mouse lung tissue; 4% Paraformaldehyde-fixed and paraffin-embedded; Antigen retrieval: citrate buffer ( 0.01M, pH 6.0 ), Boiling bathing for 15min; Block endogenous peroxidase by 3% Hydrogen peroxide for 30min; Blocking buffer (normal goat serum,C-0005) at 37℃ for 20 min; Incubation: Anti-IL-9 Polyclonal Antibody, Unconjugated(bs-2428R) 1:200, overnight at 4°C, followed by conjugation to the secondary antibody(SP-0023) and DAB(C-0010) staining ![]() Paraformaldehyde-fixed, paraffin embedded (Mouse mammary tumor); Antigen retrieval by boiling in sodium citrate buffer (pH6.0) for 15min; Block endogenous peroxidase by 3% hydrogen peroxide for 20 minutes; Blocking buffer (normal goat serum) at 37°C for 30min; Antibody incubation with (IL-9) Polyclonal Antibody, Unconjugated (bs-2428R) at 1:400 overnight at 4°C, followed by a conjugated Goat Anti-Rabbit IgG antibody (bs-0295G-cy3) for 90 minutes, and DAPI for nuclei staining. |
风险提示:丁香通仅作为第三方平台,为商家信息发布提供平台空间。用户咨询产品时请注意保护个人信息及财产安全,合理判断,谨慎选购商品,商家和用户对交易行为负责。对于医疗器械类产品,请先查证核实企业经营资质和医疗器械产品注册证情况。
文献和实验白细胞介素 IL-9 IL-9主要产生细胞:活化T细胞 IL-9氨基酸数目:126 IL-9分子质量(kDa):14~25 IL-9受体:11-9R;CDl32(γc) IL-9主要生物学活性:促进红样、髓样细胞的生长和分化;T细胞生长因子,促进T、B细胞活化;促进肥大细胞活化和分化(小鼠)
上海西唐生物科技有限公司 021-55229872, 65333639 www.westang.com 人白介素-9 (IL-9)ELISA 试剂盒 ( 用于血清、血浆、细胞培养上清液和其它生物体液内 ) 原理 本实验采用双抗体夹心 ABC-ELISA 法。用抗人 IL-9 单抗包被于酶标板上,标准品和样品中的 IL-9与单抗结合,加入生物素化的抗人 IL-9
上海西唐生物科技有限公司 021-55229872, 65333639 www.westang.com 小鼠白介素-9 (IL-9)ELISA 试剂盒 ( 用于血清、血浆、细胞培养上清液和其它生物体液内 ) 原理 本实验采用双抗体夹心 ABC-ELISA 法。用抗小鼠 IL-9 单抗包被于酶标板上,标准品和样品中的 IL-9与单抗结合,加入生物素化的抗小鼠 IL-9
技术资料暂无技术资料 索取技术资料














