相关产品推荐更多 >
万千商家帮你免费找货
0 人在求购买到急需产品
- 详细信息
- 文献和实验
- 技术资料
- 供应商:
上海康朗生物科技有限公司
- 库存:
大量
- 目录编号:
kl-2216R
- 克隆性:
多克隆
- 抗原来源:
Rabbit
- 保质期:
12个月
- 抗体英文名:
IL-1RA antibody
- 抗体名:
白介素-1受体拮抗剂抗体
- 宿主:
Rabbit
- 适应物种:
Human, Mouse, Rat, Dog, Pig, Cow, Sheep,
- 免疫原:
KLH conjugated synthetic peptide derived from human IL-1RA:26-120/178
- 亚型:
IgG
- 形态:
冻干粉或液体
- 应用范围:
WB=1:500-2000 ELISA=1:500-1000 IHC-P=1:400-800 IHC-F=1:400-800 IF=1:100-500
- 浓度:
1mg/ml
- 保存条件:
-20 °C
- 规格:
100ul 200ul
| 中文名称 | 白介素-1受体拮抗剂抗体 |
| 别 名 | Interleukin-1 receptor antagonist; ICIL 1RA; IL1 inhibitor; ICIL1RA; IL1F3; IL1RN; IRAP; IL1RA_HUMAN. |
| 规格价格 | 100ul/1380元 购买 200ul/2200元 购买 大包装/询价 |
| 说 明 书 | 100ul 200ul |
| 研究领域 | 免疫学 |
| 抗体来源 | Rabbit |
| 克隆类型 | Polyclonal |
| 交叉反应 | Human, Mouse, Rat, Dog, Pig, Cow, Sheep, |
| 产品应用 | WB=1:500-2000 ELISA=1:500-1000 IHC-P=1:400-800 IHC-F=1:400-800 IF=1:100-500 (石蜡切片需做抗原修复) not yet tested in other applications. optimal dilutions/concentrations should be determined by the end user. |
| 分 子 量 | 17kDa |
| 细胞定位 | 细胞浆 分泌型蛋白 |
| 性 状 | Lyophilized or Liquid |
| 浓 度 | 1mg/ml |
| 免 疫 原 | KLH conjugated synthetic peptide derived from human IL-1RA:26-120/178 |
| 亚 型 | IgG |
| 纯化方法 | affinity purified by Protein A |
| 储 存 液 | 0.01M TBS(pH7.4) with 1% BSA, 0.03% Proclin300 and 50% Glycerol. |
| 保存条件 | Store at -20 °C for one year. Avoid repeated freeze/thaw cycles. The lyophilized antibody is stable at room temperature for at least one month and for greater than a year when kept at -20°C. When reconstituted in sterile pH 7.4 0.01M PBS or diluent of antibody the antibody is stable for at least two weeks at 2-4 °C. |
| PubMed | PubMed |
| 产品介绍 | background: IL1RA is a member of the Interleukin 1 cytokine family. This protein inhibits the activities of Interleukin 1, alpha (IL1A) and Interleukin 1, beta (IL1B), and modulates a variety of Interleukin 1 related immune and inflammatory responses. This gene and five other closely related cytokine genes form a gene cluster spanning approximately 400 kb on chromosome 2. A polymorphism of this gene is reported to be associated with increased risk of osteoporotic fractures and gastric cancer. Four alternatively spliced transcript variants encoding distinct isoforms have been reported. Function: Inhibits the activity of interleukin-1 by binding to eceptor IL1R1 and preventing its association with the coreceptor IL1RAP for signaling. Has no interleukin-1 like activity. Binds functional interleukin-1 receptor IL1R1 with greater affinity than decoy receptor IL1R2; however, the physiological relevance of the latter association is unsure. Subcellular Location: Isoform 1: Secreted. Isoform 2, 3, 4: Cytoplasm. Tissue Specificity: The intracellular form of IL1RN is predominantly expressed in epithelial cells. DISEASE: Microvascular complications of diabetes 4 (MVCD4) [MIM:612628]: Pathological conditions that develop in numerous tissues and organs as a consequence of diabetes mellitus. They include diabetic retinopathy, diabetic nephropathy leading to end-stage renal disease, and diabetic neuropathy. Diabetic retinopathy remains the major cause of new-onset blindness among diabetic adults. It is characterized by vascular permeability and increased tissue ischemia and angiogenesis. Note=Disease susceptibility is associated with variations affecting the gene represented in this entry. Interleukin 1 receptor antagonist deficiency (DIRA) [MIM:612852]: A rare autoinflammatory disease of skin and bone resulting in sterile multifocal osteomyelitis, periostitis, and pustulosis from birth. The term autoinflammatory disease describes a group of disorders characterized by attacks of seemingly unprovoked inflammation without significant levels of autoantibodies and autoreactive T-cells. Note=The disease is caused by mutations affecting the gene represented in this entry. SWISS: P25085 Gene ID: 3557 Database links: Entrez Gene: 3557 Human Entrez Gene: 16181 Mouse Entrez Gene: 60582 Rat Omim: 147679 Human SwissProt: P18510 Human SwissProt: P25085 Mouse SwissProt: P25086 Rat Unigene: 81134 Human Unigene: 882 Mouse Unigene: 162640 Rat Important Note: This product as supplied is intended for research use only, not for use in human, therapeutic or diagnostic applications. IL-1受体拮抗剂(IL-1ra)是IL-1强有力的内生拮抗剂,通过与白细胞介素-1的Ⅰ型和Ⅱ型受体结合,特异性地阻断白细胞介素-1的生物学作用。白介素1受体拮抗剂(IL-1Ra)是体内天然的一种对IL-1有拮抗作用的细胞因子。 |
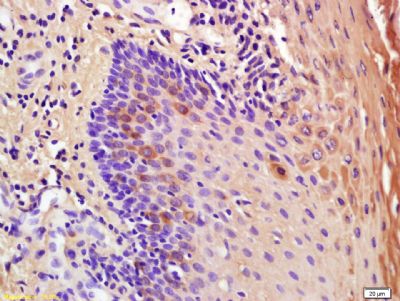
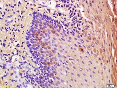
| 产品图片 | ![]() Sample: Lane1:Plasma(Mouse) Tissue Lysate at 30 ug Lane2:Hemocyte(Mouse) Tissue Lysate at 30 ug Primary: Anti-IL-1RA (bs-2216R)at 1/300 dilution Secondary: IRDye800CW Goat Anti-Rabbit IgG at 1/20000 dilution Predicted band size: 18 kD Observed band size: 23 kD ![]() Sample: Spleen(Mouse) Tissue Lysate at 30 ug Primary: Anti-IL-1RA (bs-2216R)at 1/300 dilution Secondary: IRDye800CW Goat Anti-Rabbit IgG at 1/20000 dilution Predicted band size: 18 kD Observed band size: 23 kD ![]() Tissue/cell: Human oral squamous cell carcinoma; 4% Paraformaldehyde-fixed and paraffin-embedded; Antigen retrieval: citrate buffer ( 0.01M, pH 6.0 ), Boiling bathing for 15min; Block endogenous peroxidase by 3% Hydrogen peroxide for 30min; Blocking buffer (normal goat serum,C-0005) at 37℃ for 20 min; Incubation: Anti-IL-1RA Polyclonal Antibody, Unconjugated(bs-2216R) 1:200, overnight at 4°C, followed by conjugation to the secondary antibody(SP-0023) and DAB(C-0010) staining |
风险提示:丁香通仅作为第三方平台,为商家信息发布提供平台空间。用户咨询产品时请注意保护个人信息及财产安全,合理判断,谨慎选购商品,商家和用户对交易行为负责。对于医疗器械类产品,请先查证核实企业经营资质和医疗器械产品注册证情况。
文献和实验Generation of Antibody Molecules Through Antibody Engineering
been overcome to a large extent using genetic-engineering techniques to produce chimeric mouse/human and completely human antibodies. Such an approach is particularly suitable because of the domain structure of the antibody molecule ( 2 ), where functional
The importance of antibody molecules was first recognized in the 1890s, when it was shown that immunity to tetanus and diphtheria was caused by antibodies against the bacterial exotoxins (1 ). Around the same time, it was shown that antisera
General comments: Antibodies, like most proteins, do not like to be freeze-thawed. Avoid repetitive freezing of your solution. The best way to store your antibody is to keep a high protein concentration (>1 mg/ml), add some protease
技术资料暂无技术资料 索取技术资料











