相关产品推荐更多 >
万千商家帮你免费找货
0 人在求购买到急需产品
- 详细信息
- 文献和实验
- 技术资料
- 供应商:
上海康朗生物科技有限公司
- 库存:
大量
- 目录编号:
kl-2189R
- 克隆性:
多克隆
- 抗原来源:
Rabbit
- 保质期:
12个月
- 抗体英文名:
Uromucoid antibody
- 抗体名:
尿调节蛋白抗体
- 宿主:
Rabbit
- 适应物种:
Human, Mouse, Rat, Cow,
- 免疫原:
KLH conjugated synthetic peptide derived from mouse MCKD2:351-450/642
- 亚型:
IgG
- 形态:
冻干粉或液体
- 应用范围:
WB=1:500-2000 ELISA=1:500-1000 IHC-P=1:400-800 IHC-F=1:400-800 Flow-Cyt=1µg/Test IF=1:100-500
- 浓度:
1mg/ml
- 保存条件:
-20 °C
- 规格:
100ul 200ul
| 中文名称 | 尿调节蛋白抗体 |
| 别 名 | UMOD; ADMCKD2; FJHN; HNFJ; HNFJ1; MCKD2; medullary cystic kidney disease 2 (autosomal dominant); Tamm Horsfall glycoprotein; Tamm Horsfall urinary glycoprotein; Tamm-Horsfall urinary glycoprotein; THGP; THP; Umod; UROM_MOUSE; uromodulin (uromucoid, Tamm-Horsfall glycoprotein); Uromodulin; Uromodulin, secreted form. |
| 规格价格 | 100ul/1380元 购买 200ul/2200元 购买 大包装/询价 |
| 说 明 书 | 100ul 200ul |
| 研究领域 | 细胞生物 免疫学 |
| 抗体来源 | Rabbit |
| 克隆类型 | Polyclonal |
| 交叉反应 | Human, Mouse, Rat, Cow, |
| 产品应用 | WB=1:500-2000 ELISA=1:500-1000 IHC-P=1:400-800 IHC-F=1:400-800 Flow-Cyt=1µg/Test IF=1:100-500 (石蜡切片需做抗原修复) not yet tested in other applications. optimal dilutions/concentrations should be determined by the end user. |
| 分 子 量 | 61/65kDa |
| 细胞定位 | 细胞膜 分泌型蛋白 |
| 性 状 | Lyophilized or Liquid |
| 浓 度 | 1mg/ml |
| 免 疫 原 | KLH conjugated synthetic peptide derived from mouse MCKD2:351-450/642 |
| 亚 型 | IgG |
| 纯化方法 | affinity purified by Protein A |
| 储 存 液 | 0.01M TBS(pH7.4) with 1% BSA, 0.03% Proclin300 and 50% Glycerol. |
| 保存条件 | Store at -20 °C for one year. Avoid repeated freeze/thaw cycles. The lyophilized antibody is stable at room temperature for at least one month and for greater than a year when kept at -20°C. When reconstituted in sterile pH 7.4 0.01M PBS or diluent of antibody the antibody is stable for at least two weeks at 2-4 °C. |
| PubMed | PubMed |
| 产品介绍 | background: The protein encoded by this gene is the most abundant protein in mammalian urine under physiological conditions. Its excretion in urine follows proteolytic cleavage of the ectodomain of its glycosyl phosphatidylinosital-anchored counterpart that is situated on the luminal cell surface of the loop of Henle. This protein may act as a constitutive inhibitor of calcium crystallization in renal fluids. Excretion of this protein in urine may provide defense against urinary tract infections caused by uropathogenic bacteria. Defects in this gene are associated with the renal disorders medullary cystic kidney disease-2 (MCKD2), glomerulocystic kidney disease with hyperuricemia and isosthenuria (GCKDHI), and familial juvenile hyperuricemic nephropathy (FJHN). Alternative splicing of this gene results in multiple transcript variants. [provided by RefSeq, Jul 2013]. Function: Uromodulin: Functions in biogenesis and organization of the apical membrane of epithelial cells of the thick ascending limb of Henle's loop (TALH), where it promotes formation of complex filamentous gel-like structure providing the water barrier permeability. May serve as a receptor for binding and endocytosis for cytokines (IL-1, IL-2) and TNF. Facilitates neutrophil migration across renal epithelial (By similarity). Uromodulin, secreted form: Secreted into urine after proteolytically cleaveage. Into the urine, may contribute to colloid osmotic pressure, retards passage of positively charged electrolytes, prevents urinary tract infection and modulates formation of supersaturated salts and their crystals. Subcellular Location: Apical cell membrane; Lipid-anchor, GPI-anchor (By similarity). Basolateral cell membrane; Lipid-anchor, GPI-anchor (By similarity). Cell projection, cilium membrane (By similarity). Note=Only a small fraction is sorts to the basolateral pole of tubular epithelial cells compared to apical localization (By similarity). Uromodulin, secreted form: Secreted (By similarity). Post-translational modifications: N-glycosylated. Similarity: Contains 3 EGF-like domains. Contains 1 ZP domain. SWISS: Q91X17 Gene ID: 22242 Database links: Entrez Gene: 7369 Human Omim: 191845 Human SwissProt: P07911 Human Unigene: 654425 Human Important Note: This product as supplied is intended for research use only, not for use in human, therapeutic or diagnostic applications. |
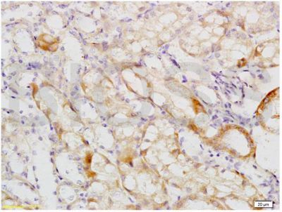
| 产品图片 | ![]() Sample: Kidney(Mouse) lysate at 30 ug; Primary: Anti-Uromucoid (bs-2189R) at 1:300 dilution; Secondary: HRP conjugated Goat-Anti-rabbit IgG(bs-0295G-HRP) at 1: 5000 dilution; Predicted band size:61/65 kD Observed band size:65 kD ![]() Sample: Lane1: Kidney(Rat) Lysate at 30 ug Lane2: Kidney carcinoma(Human) Lysate at 30 ug Primary: Anti-MCKD2/UMOD (bs-2189R) at 1:200 dilution; Secondary: HRP conjugated Goat Anti-Rabbit IgG(bs-0295G-HRP) at 1: 3000 dilution; Predicted band size : 65kD Observed band size : 65kD ![]() Tissue/cell: human kidney tissue;4% Paraformaldehyde-fixed and paraffin-embedded; Antigen retrieval: citrate buffer ( 0.01M, pH 6.0 ), Boiling bathing for 15min; Blocking buffer (normal goat serum,C-0005) at 37℃ for 20 min; Incubation: Anti-Uromucoid Polyclonal Antibody, Unconjugated(bs-2189R) 1:200, overnight at 4°C; The secondary antibody was Goat Anti-Rabbit IgG, Cy3 conjugated(bs-0295G-FITC)used at 1:200 dilution for 40 minutes at 37°C. DAPI(5ug/ml,blue,C-0033) was used to stain the cell nuclei ![]() Tissue/cell: rat kidney tissue;4% Paraformaldehyde-fixed and paraffin-embedded; Antigen retrieval: citrate buffer ( 0.01M, pH 6.0 ), Boiling bathing for 15min; Blocking buffer (normal goat serum,C-0005) at 37℃ for 20 min; Incubation: Anti-Uromucoid Polyclonal Antibody, Unconjugated(bs-2189R) 1:200, overnight at 4°C; The secondary antibody was Goat Anti-Rabbit IgG, Cy3 conjugated(bs-0295G-Cy3)used at 1:200 dilution for 40 minutes at 37°C. DAPI(5ug/ml,blue,C-0033) was used to stain the cell nuclei ![]() Blank control: Mouse kidney (blue). Primary Antibody:Rabbit Anti-Coxsackie Adenovirus Receptor antibody (bs-2189R,Green); Dilution: 1μg in 100 μL 1X PBS containing 0.5% BSA; Isotype Control Antibody: Rabbit IgG(orange) ,used under the same conditions; Secondary Antibody: Goat anti-rabbit IgG-FITC(white blue), Dilution: 1:200 in 1 X PBS containing 0.5% BSA. Protocol The cells were fixed with 2% paraformaldehyde for 10 min at 37℃. Primary antibody (bs-2189R, 1μg /1x10^6 cells) were incubated for 30 min at room temperature, followed by 1 X PBS containing 0.5% BSA + 10% goat serum (1 hour) to block non-specific protein-protein interactions. Then the Goat Anti-rabbit IgG/FITC antibody was added into the blocking buffer mentioned above to react with the primary antibody at 1/200 dilution for 40 min at room temperature. Acquisition of 20,000 events was performed. |
风险提示:丁香通仅作为第三方平台,为商家信息发布提供平台空间。用户咨询产品时请注意保护个人信息及财产安全,合理判断,谨慎选购商品,商家和用户对交易行为负责。对于医疗器械类产品,请先查证核实企业经营资质和医疗器械产品注册证情况。
文献和实验Generation of Antibody Molecules Through Antibody Engineering
been overcome to a large extent using genetic-engineering techniques to produce chimeric mouse/human and completely human antibodies. Such an approach is particularly suitable because of the domain structure of the antibody molecule ( 2 ), where functional
The importance of antibody molecules was first recognized in the 1890s, when it was shown that immunity to tetanus and diphtheria was caused by antibodies against the bacterial exotoxins (1 ). Around the same time, it was shown that antisera
General comments: Antibodies, like most proteins, do not like to be freeze-thawed. Avoid repetitive freezing of your solution. The best way to store your antibody is to keep a high protein concentration (>1 mg/ml), add some protease
技术资料暂无技术资料 索取技术资料














