相关产品推荐更多 >
万千商家帮你免费找货
0 人在求购买到急需产品
- 详细信息
- 文献和实验
- 技术资料
- 供应商:
上海联迈生物工程有限公司
- 库存:
大量
- 目录编号:
LM-0947R
- 克隆性:
多克隆
- 抗原来源:
Rabbit
- 保质期:
1年
- 抗体英文名:
ADRB2
- 抗体名:
肾上腺素能受体β2/β2-AR抗体
- 宿主:
Rabbit
- 适应物种:
Human, Mouse, Rat, Dog, Rabbit,
- 免疫原:
KLH conjugated synthetic peptide derived from human beta 2 Adrenergic Receptor:201-300/418 <Cytoplasmic>
- 亚型:
IgG
- 形态:
Lyophilized or Liquid
- 应用范围:
WB=1:500-2000 IHC-P=1:400-800 IHC-F=1:400-800 Flow-Cyt=1μg /test IF=1:100-500 (石蜡切片需做抗原修复)
- 浓度:
1mg/ml
- 保存条件:
Store at -20 °C
- 规格:
50ul 100ul 200ul
| 英文名称 | ADRB2 |
| 中文名称 | 肾上腺素能受体β2/β2-AR抗体 |
| 别 名 | Beta 2-adrenergic receptor; beta 2 Adrenergic Receptor; ADRB2; ADRB2R; ADRBR; ADRB2_HUMAN; Adrenergic beta 2 receptor surface; B2AR; BAR; beta 2 adrenoceptor; Beta 2 adrenoreceptor; BETA2AR; Catecholamine receptor; beta2-adrenergic receptor. β2-adrenergic receptor; |
![]() |
Specific References (1) | bs-0947R has been referenced in 1 publications. [IF=3.07] Deng, Guo-Hua, et al. "Exogenous norepinephrine attenuates the efficacy of sunitinib in a mouse cancer model." Journal of Experimental & Clinical Cancer Research 33:21 (2014). Mouse. PubMed:24555849 |
| 规格价格 | 50ul/780元 购买 100ul/1380元 购买 200ul/2200元 购买 大包装/询价 |
| 说 明 书 | 50ul 100ul 200ul |
| 研究领域 | 肿瘤 细胞生物 神经生物学 细胞膜受体 |
| 抗体来源 | Rabbit |
| 克隆类型 | Polyclonal |
| 交叉反应 | Human, Mouse, Rat, Dog, Rabbit, |
| 产品应用 | WB=1:500-2000 IHC-P=1:400-800 IHC-F=1:400-800 Flow-Cyt=1μg /test IF=1:100-500 (石蜡切片需做抗原修复) not yet tested in other applications. optimal dilutions/concentrations should be determined by the end user. |
| 分 子 量 | 46kDa |
| 细胞定位 | 细胞浆 细胞膜 |
| 性 状 | Lyophilized or Liquid |
| 浓 度 | 1mg/ml |
| 免 疫 原 | KLH conjugated synthetic peptide derived from human beta 2 Adrenergic Receptor:201-300/418 <Cytoplasmic> |
| 亚 型 | IgG |
| 纯化方法 | affinity purified by Protein A |
| 储 存 液 | 0.01M TBS(pH7.4) with 1% BSA, 0.03% Proclin300 and 50% Glycerol. |
| 保存条件 | Store at -20 °C for one year. Avoid repeated freeze/thaw cycles. The lyophilized antibody is stable at room temperature for at least one month and for greater than a year when kept at -20°C. When reconstituted in sterile pH 7.4 0.01M PBS or diluent of antibody the antibody is stable for at least two weeks at 2-4 °C. |
| PubMed | PubMed |
| 产品介绍 | background: Beta 2 Adrenergic Receptor is a member of the G protein coupled receptor superfamily. This receptor is directly associated with one of its ultimate effectors, the class C L type calcium channel Ca(V)1.2. This receptor channel complex also contains a G protein, an adenylyl cyclase, cAMP dependent kinase, and the counterbalancing phosphatase, PP2A. The assembly of the signaling complex provides a mechanism that ensures specific and rapid signaling by this G protein coupled receptor. This gene contains no introns in either its coding or untranslated sequences. Different polymorphic forms, point mutations, and/or downregulation of this gene are associated with nocturnal asthma, obesity and type 2 diabetes. Expression of the beta 2 Adrenergic Receptor has been reported in adipose, blood, brain, heart, lung, nose, pancreas, skeletal muscle, skin, and vessel. Function: Beta-adrenergic receptors mediate the catecholamine-induced activation of adenylate cyclase through the action of G proteins. The beta-2-adrenergic receptor binds epinephrine with an approximately 30-fold greater affinity than it does norepinephrine. Subunit: Binds SLC9A3R1 and GPRASP1. Interacts with ARRB1 and ARRB2. Interacts with SRC, USP20 and USP33. Interacts with VHL; the interaction, which is increased on hydroxylation of ADRB2, ubiquitinates ADRB2 leading to its degradation. Interacts with EGLN3; the interaction hydroxylates ADRB2 facilitating VHL-E3 ligase-mediated ubiquitination. Subcellular Location: Cell membrane; Multi-pass membrane protein. Note=Colocalizes with VHL at the cell membrane. Post-translational modifications: Palmitoylated; may reduce accessibility of Ser-345 and Ser-346 by anchoring Cys-341 to the plasma membrane. Agonist stimulation promotes depalmitoylation and further allows Ser-345 and Ser-346 phosphorylation. Phosphorylated by PKA and BARK upon agonist stimulation, which mediates homologous desensitization of the receptor. PKA-mediated phosphorylation seems to facilitate phosphorylation by BARK. Phosphorylation of Tyr-141 is induced by insulin and leads to supersensitization of the receptor. Polyubiquitinated. Agonist-induced ubiquitination leads to sort internalized receptors to the lysosomes for degradation. Deubiquitination by USP20 and USP33, leads to ADRB2 recycling and resensitization after prolonged agonist stimulation. USP20 and USP33 are constitutively associated and are dissociated immediately after agonist stimulation. Ubiquitination by the VHL-E3 ligase complex is oxygen-dependent. Hydroxylation by EGLN3 occurs only under normoxia and increases the interaction with VHL and the subsequent ubiquitination and degradation of ADRB2. Similarity: Belongs to the G-protein coupled receptor 1 family. Adrenergic receptor subfamily. ADRB2 sub-subfamily. SWISS: P07550 Gene ID: 154 Database links: Entrez Gene: 154 Human Entrez Gene: 11555 Mouse Entrez Gene: 24176 Rat Omim: 109690 Human SwissProt: P07550 Human SwissProt: P18762 Mouse SwissProt: P10608 Rat Unigene: 2551 Human Unigene: 5598 Mouse Unigene: 10206 Rat Important Note: This product as supplied is intended for research use only, not for use in human, therapeutic or diagnostic applications. |
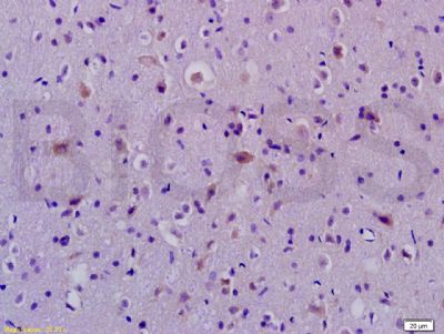
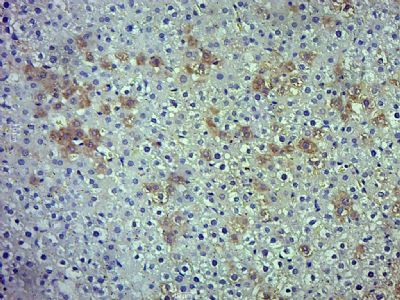
| 产品图片 | ![]() Sample: Lung (Mouse) Lysate at 40 ug Primary: Anti-ADRB2 (bs-0947R) at 1/300 dilution Secondary: IRDye800CW Goat Anti-Rabbit IgG at 1/20000 dilution Predicted band size: 46 kD Observed band size: 46 kD ![]() Tissue/cell: rat brain tissue; 4% Paraformaldehyde-fixed and paraffin-embedded; Antigen retrieval: citrate buffer ( 0.01M, pH 6.0 ), Boiling bathing for 15min; Block endogenous peroxidase by 3% Hydrogen peroxide for 30min; Blocking buffer (normal goat serum,C-0005) at 37℃ for 20 min; Incubation: Anti-ADRB2 Polyclonal Antibody, Unconjugated(bs-0947R) 1:200, overnight at 4°C, followed by conjugation to the secondary antibody(SP-0023) and DAB(C-0010) staining ![]() Paraformaldehyde-fixed, paraffin embedded (Rat liver); Antigen retrieval by boiling in sodium citrate buffer (pH6.0) for 15min; Block endogenous peroxidase by 3% hydrogen peroxide for 20 minutes; Blocking buffer (normal goat serum) at 37°C for 30min; Antibody incubation with (ADRB2) Polyclonal Antibody, Unconjugated (bs-0947R) at 1:500 overnight at 4°C, followed by a conjugated secondary (sp-0023) for 20 minutes and DAB staining. ![]() Positive control: (mo)Splenocytes(2% Paraformaldehyde-fixed ) Isotype Control Antibody Antibody: Rabbit IgG; Supplier: Cell Signaling Technology; Dilution: 1μg in 100 μl 1 X PBS containing 0.5% BSA Secondary Antibody Antibody: Goat anti-rabbit IgG-FITC; Supplier: Cell Signaling Technology; Dilution: 1:200 in 1 X PBS containing 0.5% BSA Primary Antibody Supplier: Bioss; Supplier catalog number: bs-0947R; Dilution: 1μg in 100 μl 1X PBS containing 0.5% BSA |
风险提示:丁香通仅作为第三方平台,为商家信息发布提供平台空间。用户咨询产品时请注意保护个人信息及财产安全,合理判断,谨慎选购商品,商家和用户对交易行为负责。对于医疗器械类产品,请先查证核实企业经营资质和医疗器械产品注册证情况。
文献和实验脂肪燃烧的指令从哪里来?Nature 揭示神经免疫互作如何与
的交感神经纤维网络。为了进一步检测肾上腺素是否能够调控局部 ILC2s,他们使用 6-羟基多巴胺(6-OHDA)诱导儿茶酚胺能神经元损伤,结果发现 ILC2s 来源的 IL-5、IL-13 随之显著减少。随后,借助小鼠模型,选择性消融外周交感神经元亦可导致 ILC2 活性受损。相比之下,激活 β2 肾上腺素能受体(ADRB2)则会导致内脏脂肪中 ILC2 来源的细胞因子上调,激活神经元也可使得 ILC2 功能增强。图片来源:Nature接下来,为了研究交感神经调节脂肪 ILC2s 的机制,他们将小鼠
整合素家族白细胞黏附受体组 ( β 2 组 ) β2亚单位为CDl8,分子质量为95kDa。CDl8可分别与CDlla-c(αL、αM和αX)亚单位和αD亚单位组成不同的整合素二聚体LFA-1(αLp2,CDlla/CDl8)、Mac-1(αM日2,CDllb/CDl8)、p150,95(αXβ2,CDllc/CDl8)和αDβ2。CDl8表达于所有的白细胞。CDl8胞质区可与多种细胞骨架蛋白相互作用,如。辅肌动蛋白和细丝蛋白以及胞质调节分子
肾上腺素受体激动药(adrenoceptor agonists)
性质不稳定,见光易失效,在中性尤其是在碱性溶液中迅速氧化变为粉红色乃至棕色而失效。在酸性溶液中较稳定,常用其重酒石酸盐。 【药理作用】 主要激动α受体,对心脏β1受体也有较弱激动作用,但对β2受体几无作用。 1、血管 激动血管的α1受体,使血管收缩。由于体内各部位血管的α肾上腺素受体的密度不同,小动脉和毛细血管前括约肌的受体密度最高,故作用强,而静脉和大动脉的受体密度低,则作用较弱。具体表现为小动脉和小静脉收缩,以皮肤粘膜的血管收缩最明显,其次是对肾血管的收缩,脑
技术资料暂无技术资料 索取技术资料















