相关产品推荐更多 >
万千商家帮你免费找货
0 人在求购买到急需产品
- 详细信息
- 文献和实验
- 技术资料
- 供应商:
上海联迈生物工程有限公司
- 库存:
大量
- 目录编号:
LM-0878R
- 克隆性:
多克隆
- 抗原来源:
Rabbit
- 保质期:
1年
- 抗体英文名:
CD144/VE Cadherin
- 抗体名:
上皮型钙粘附分子抗体
- 宿主:
Rabbit
- 适应物种:
Human, Mouse, Rat,
- 免疫原:
KLH conjugated synthetic peptide derived from mouse Vascular endothelial cell cadherin:601-700/784 <Cytoplasmic>
- 亚型:
IgG
- 形态:
Lyophilized or Liquid
- 应用范围:
WB=1:500-2000 ELISA=1:500-1000 IHC-P=1:400-800 IHC-F=1:400-800 Flow-Cyt=1μg /test ICC=1:100-500 IF=1:100-500 (石蜡切片需做抗原修复)
- 浓度:
1mg/ml
- 保存条件:
Store at -20 °C
- 规格:
50ul 100ul 200ul
| 英文名称 | CD144/VE Cadherin |
| 中文名称 | 上皮型钙粘附分子抗体 |
| 别 名 | VE-cadherin; cadherin-5; VE-Cadherin;Cdh5; Vascular endothelial cadherin; 7B4 antigen; CD144 antigen; VECD; Vascular endothelial cell cadherin; 7B 4; 7B4; 7B4 antigen; Cadherin 5; Cadherin 5 type 2; Cadherin-5; Cadherin5; CD 144; CD144; CD144 antigen; CDH 5; CDH5; CDH5 protein; Vascular endothelial cadherin; Vascular epithelium cadherin; VE Cad antibody VE-cadherin; VE cadherin; VEC; CADH5_HUMAN. |
| 规格价格 | 50ul/780元 购买 100ul/1380元 购买 200ul/2200元 购买 大包装/询价 |
| 说 明 书 | 50ul 100ul 200ul |
| 研究领域 | 肿瘤 心血管 免疫学 信号转导 细胞粘附分子 血管内皮细胞 上皮细胞 内皮细胞 细胞外基质 |
| 抗体来源 | Rabbit |
| 克隆类型 | Polyclonal |
| 交叉反应 | Human, Mouse, Rat, |
| 产品应用 | WB=1:500-2000 ELISA=1:500-1000 IHC-P=1:400-800 IHC-F=1:400-800 Flow-Cyt=1μg /test ICC=1:100-500 IF=1:100-500 (石蜡切片需做抗原修复) not yet tested in other applications. optimal dilutions/concentrations should be determined by the end user. |
| 分 子 量 | 86kDa |
| 细胞定位 | 细胞膜 |
| 性 状 | Lyophilized or Liquid |
| 浓 度 | 1mg/ml |
| 免 疫 原 | KLH conjugated synthetic peptide derived from mouse Vascular endothelial cell cadherin:601-700/784 <Cytoplasmic> |
| 亚 型 | IgG |
| 纯化方法 | affinity purified by Protein A |
| 储 存 液 | 0.01M TBS(pH7.4) with 1% BSA, 0.03% Proclin300 and 50% Glycerol. |
| 保存条件 | Store at -20 °C for one year. Avoid repeated freeze/thaw cycles. The lyophilized antibody is stable at room temperature for at least one month and for greater than a year when kept at -20°C. When reconstituted in sterile pH 7.4 0.01M PBS or diluent of antibody the antibody is stable for at least two weeks at 2-4 °C. |
| PubMed | PubMed |
| 产品介绍 | background: This gene is a classical cadherin from the cadherin superfamily and is located in a six-cadherin cluster in a region on the long arm of chromosome 16 that is involved in loss of heterozygosity events in breast and prostate cancer. The encoded protein is a calcium-dependent cell-cell adhesion glycoprotein comprised of five extracellular cadherin repeats, a transmembrane region and a highly conserved cytoplasmic tail. Functioning as a classic cadherin by imparting to cells the ability to adhere in a homophilic manner, the protein may play an important role in endothelial cell biology through control of the cohesion and organization of the intercellular junctions. An alternative splice variant has been described but its full length sequence has not been determined. [provided by RefSeq, Jul 2008]. Function: Cadherins are calcium dependent cell adhesion proteins. They preferentially interact with themselves in a homophilic manner in connecting cells; cadherins may thus contribute to the sorting of heterogeneous cell types. This cadherin may play a important role in endothelial cell biology through control of the cohesion and organization of the intercellular junctions. It associates with alpha-catenin forming a link to the cytoskeleton. Acts in concert with KRIT1 to establish and maintain correct endothelial cell polarity and vascular lumen. These effects are mediated by recruitment and activation of the Par polarity complex and RAP1B. Required for activation of PRKCZ and for the localization of phosphorylated PRKCZ, PARD3, TIAM1 and RAP1B to the cell junction. Subunit: Interacts via cadherin 5 domain with PTPRB. Interacts with TRPC4. Interacts with KRIT1. Subcellular Location: Cell junction. Cell membrane. Found at cell-cell boundaries and probably at cell-matrix boundaries. Tissue Specificity: Endothelial tissues and brain. Post-translational modifications: Phosphorylated on tyrosine residues by KDR/VEGFR-2. Dephosphorylated by PTPRB. Similarity: Contains 5 cadherin domains. SWISS: P55284 Gene ID: 12562 Database links: Entrez Gene: 1003 Human Entrez Gene: 12562 Mouse Entrez Gene: 307618 Rat Omim: 601120 Human SwissProt: P33151 Human SwissProt: P55284 Mouse Unigene: 76206 Human Unigene: 21767 Mouse Unigene: 224644 Rat Important Note: This product as supplied is intended for research use only, not for use in human, therapeutic or diagnostic applications. 血管内皮钙粘蛋白(Vascularendothelial cell cadherin;VE-cadherin;VECD),又名CD144,Cadherin-5,是AJ连接(粘附连接)的主要粘附分子,是维持血管内皮细胞极性和完整性必不可少的内皮细胞特异性钙粘蛋白. |
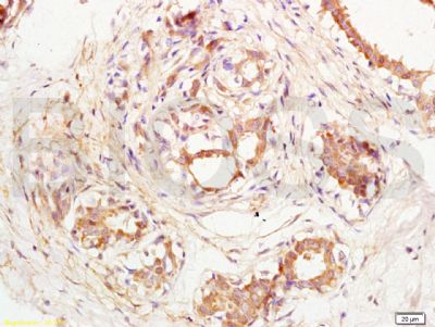
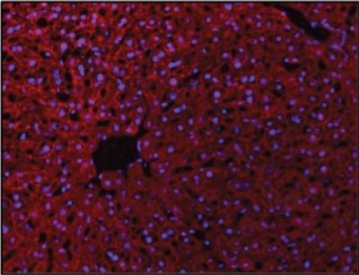
| 产品图片 | ![]() Sample: Heart (Mouse) Lysate at 40 ug Primary: Anti- VE Cadherin (bs-0878R) at 1/300 dilution Secondary: IRDye800CW Goat Anti-Rabbit IgG at 1/10000 dilution Predicted band size: 86 kD Observed band size: 86 kD ![]() Tissue/cell: human breast carcinoma; 4% Paraformaldehyde-fixed and paraffin-embedded; Antigen retrieval: citrate buffer ( 0.01M, pH 6.0 ), Boiling bathing for 15min; Block endogenous peroxidase by 3% Hydrogen peroxide for 30min; Blocking buffer (normal goat serum,C-0005) at 37℃ for 20 min; Incubation: Anti-CD144/VECD/VE Cadherin Polyclonal Antibody, Unconjugated(bs-0878R) 1:200, overnight at 4°C, followed by conjugation to the secondary antibody(SP-0023) and DAB(C-0010) staining ![]() Images provided by the Independent Validation Program, badge number 029590:Formalin-fixed and frozen-OCT embedded mouse liver labeled with Rabbit Anti-VE Cadherin Polyclonal Antibody, Unconjugated(bs-0878R) 1:100, overnight at 4∑C, The secondary antibody was diluted to 1:100 for 120 minutes at 37∑C. ![]() Blank control: RSC96 Cells (blue). Primary Antibody: Rabbit Anti- CD144/VE Cadherin/AF488 Conjugated antibody (bs-0878R-AF488), Dilution: 1μg in 100 μL 1X PBS containing 0.5% BSA; Isotype Control Antibody: Rabbit IgG/FITC(orange) ,used under the same conditions. Protocol The cells were washed twice with phosphate-buffered saline (PBS). The cells were incubated in 1 X PBS containing 0.5% BSA + 1 0% goat serum (15 min) to block non-specific protein-protein interactions followed by the antibody (bs-0878R-AF488, 1μg /1x10^6 cells) for 30 min on ice. Acquisition of 20,000 events was performed. |
风险提示:丁香通仅作为第三方平台,为商家信息发布提供平台空间。用户咨询产品时请注意保护个人信息及财产安全,合理判断,谨慎选购商品,商家和用户对交易行为负责。对于医疗器械类产品,请先查证核实企业经营资质和医疗器械产品注册证情况。
文献和实验cells infected with 3ZF and 6ZF libraries were screened with monoclonal antibodies against ten different markers: vascular endothelial cadherin (also known as VE-cadherin; cadherin-5 type 2, CDH5; CD144); 3-FAL selectin ligand (fucosyltransferase-4, FUT4
与肿瘤侵袭转移有关的基因 侵袭性是恶性肿瘤的重要特征。肿瘤的侵袭、转移包括细胞黏附能力下降、穿破基底膜进入血液循环、逃避免疫监视及在远隔部位生长。目前,已发现3种参与乳腺癌侵袭转移的基因发生异常甲基化。 1.钙粘连蛋白 (cadherin) 钙粘连蛋白在抑制肿瘤侵袭、转移中起重要作用。E―钙粘连蛋白定位于16q22,编码细胞表面的黏附分子。E―钙粘连蛋白的表达下降在分化差、分级高的肿瘤中十分常见。在E―钙粘连蛋白表达阴性的乳腺癌细胞系和乳腺原发肿瘤中,E―钙粘
的粘附分子,以及属于免疫球蛋白超家族的粘附分子NCAM及CD31。已经发现,Cadherin分子是组织学上在细胞连接中起重要作用的粘着小带(zonula adherence)的重要跨膜万分。参与细胞与细胞间附着粘附分子的共同特点是以自身识别的方式相互作用,即相同的粘附分子之间的相互作用。如将转染了不同Cadherin cDNA的L细胞混合在一起后,表达相同Cadherin分子的L细胞可以重新聚集在一起。这种特殊的自身相互识别的作用方式保证了相同细胞的聚集。在胚胎发育过程中,细胞粘附分子的表达有规律
技术资料暂无技术资料 索取技术资料













