相关产品推荐更多 >
万千商家帮你免费找货
0 人在求购买到急需产品
- 详细信息
- 文献和实验
- 技术资料
- 供应商:
上海联迈生物工程有限公司
- 库存:
大量
- 目录编号:
LM-0526R
- 克隆性:
多克隆
- 抗原来源:
Rabbit
- 保质期:
1年
- 抗体英文名:
ALOX5/5 lipoxygenase
- 抗体名:
5-脂氧合酶抗体
- 宿主:
Rabbit
- 适应物种:
Human, Mouse, Rat, Dog, Pig, Cow, Horse, Rabbit,
- 免疫原:
KLH conjugated synthetic peptide derived from human 5 Lipoxygenase:601-674/674
- 亚型:
IgG
- 形态:
Lyophilized or Liquid
- 应用范围:
WB=1:500-2000 ELISA=1:500-1000 IHC-P=1:400-800 IHC-F=1:400-800 IF=1:100-500 (石蜡切片需做抗原修复)
- 浓度:
1mg/ml
- 保存条件:
Store at -20 °C
- 规格:
50ul 100ul 200ul
| 英文名称 | ALOX5/5 lipoxygenase |
| 中文名称 | 5-脂氧合酶抗体 |
| 别 名 | 5-lipoxygenase; 5-LOX; 5 LO; 5LPG; ALOX 5; ALOX5; Arachidonate 5 lipoxygenase; Arachidonic acid 5 lipoxygenase; Leukotriene A4 synthase; LOG 5; LOG5; MGC163204; LOX5_HUMAN. |
![]() |
Specific References (2) | bs-0526R has been referenced in 2 publications. [IF=0.00] Wang, Ruiqi, et al. "The comparative study of acetyl-11-keto-beta-boswellic acid (AKBA) and aspirin in the prevention of intestinal adenomatous polyposis in APC Min/+ mice." Drug Discoveries & Therapeutics 8.1 (2014). IHC-P ; Mouse. PubMed:24647155 [IF=1.72] Liang, Guojuan, et al. "The protective effect of caffeic acid on global cerebral ischemia-reperfusion injury in rats." Behavioral and Brain Functions 11.1 (2015): 1. WB ; Rat. PubMed:25907417 |
| 规格价格 | 50ul/780元 购买 100ul/1380元 购买 200ul/2200元 购买 大包装/询价 |
| 说 明 书 | 50ul 100ul 200ul |
| 研究领域 | 肿瘤 免疫学 转录调节因子 激酶和磷酸酶 合成与降解 |
| 抗体来源 | Rabbit |
| 克隆类型 | Polyclonal |
| 交叉反应 | Human, Mouse, Rat, Dog, Pig, Cow, Horse, Rabbit, |
| 产品应用 | WB=1:500-2000 ELISA=1:500-1000 IHC-P=1:400-800 IHC-F=1:400-800 IF=1:100-500 (石蜡切片需做抗原修复) not yet tested in other applications. optimal dilutions/concentrations should be determined by the end user. |
| 分 子 量 | 78kDa |
| 细胞定位 | 细胞核 细胞浆 细胞膜 |
| 性 状 | Lyophilized or Liquid |
| 浓 度 | 1mg/ml |
| 免 疫 原 | KLH conjugated synthetic peptide derived from human 5 Lipoxygenase:601-674/674 |
| 亚 型 | IgG |
| 纯化方法 | affinity purified by Protein A |
| 储 存 液 | 0.01M TBS(pH7.4) with 1% BSA, 0.03% Proclin300 and 50% Glycerol. |
| 保存条件 | Store at -20 °C for one year. Avoid repeated freeze/thaw cycles. The lyophilized antibody is stable at room temperature for at least one month and for greater than a year when kept at -20°C. When reconstituted in sterile pH 7.4 0.01M PBS or diluent of antibody the antibody is stable for at least two weeks at 2-4 °C. |
| PubMed | PubMed |
| 产品介绍 | background: This gene encodes a member of the lipoxygenase gene family and plays a dual role in the synthesis of leukotrienes from arachidonic acid. The encoded protein, which is expressed specifically in bone marrow-derived cells, catalyzes the conversion of arachidonic acid to 5(S)-hydroperoxy-6-trans-8,11,14-cis-eicosatetraenoic acid, and further to the allylic epoxide 5(S)-trans-7,9-trans-11,14-cis-eicosatetrenoic acid (leukotriene A4). Leukotrienes are important mediators of a number of inflammatory and allergic conditions. Mutations in the promoter region of this gene lead to a diminished response to antileukotriene drugs used in the treatment of asthma and may also be associated with atherosclerosis and several cancers. Alternatively spliced transcript variants have been observed, but their full-length nature has not been determined. Function: Catalyzes the first step in leukotriene biosynthesis, and thereby plays a role in inflammatory processes. Subunit: Interacts with ALOX5AP and LTC4S. Subcellular Location: Cytoplasm. Nucleus matrix. Nucleus membrane; Peripheral membrane protein. Post-translational modifications: Serine phosphorylation by MAPKAPK2 is stimulated by arachidonic acid. Phosphorylation on Ser-523 by PKA has an inhibitory effect. Phosphorylation on Ser-272 prevents export from the nucleus. Similarity: Belongs to the lipoxygenase family. Contains 1 lipoxygenase domain. Contains 1 PLAT domain. SWISS: P48999 Gene ID: 240 Database links: Entrez Gene: 477753 Dog Entrez Gene: 240 Human Entrez Gene: 11689 Mouse Entrez Gene: 25290 Rat Omim: 152390 Human SwissProt: P09917 Human SwissProt: P48999 Mouse SwissProt: P12527 Rat Unigene: 89499 Human Unigene: 41072 Mouse Unigene: 9662 Rat Important Note: This product as supplied is intended for research use only, not for use in human, therapeutic or diagnostic applications. 合成与降解(Synthesis and Degradation) 5-脂氧合酶蛋白是花生四烯酸代谢途径中的一种关键酶,在恶性肿瘤的发生、发展过程中起了重要作用。抑制5-脂氧合酶及其产物的表达有可能预防和逆转恶性肿瘤的发生。 |
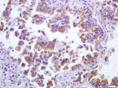
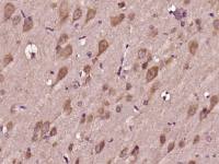
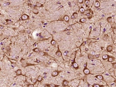
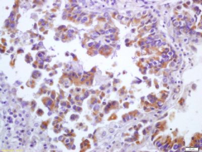
| 产品图片 | ![]() Sample: Cerebrum (Rat) Lysate at 40 ug Intestine (Mouse) Lysate at 40 ug Primary: Anti-5 lipoxygenase (bs-0526R) at 1/300 dilution Secondary: HRP conjugated Goat-Anti-rabbit IgG (bs-0295G-HRP) at 1/5000 dilution Predicted band size: 78 kD Observed band size: 40,78 kD ![]() Paraformaldehyde-fixed, paraffin embedded (Mouse brain); Antigen retrieval by boiling in sodium citrate buffer (pH6.0) for 15min; Block endogenous peroxidase by 3% hydrogen peroxide for 20 minutes; Blocking buffer (normal goat serum) at 37°C for 30min; Antibody incubation with (ALOX5 5 lipoxygenase) Polyclonal Antibody, Unconjugated (bs-0526R) at 1:400 overnight at 4°C, followed by operating according to SP Kit(Rabbit) (sp-0023) instructionsand DAB staining. ![]() Tissue/cell: human lung carcinoma; 4% Paraformaldehyde-fixed and paraffin-embedded; Antigen retrieval: citrate buffer ( 0.01M, pH 6.0 ), Boiling bathing for 15min; Block endogenous peroxidase by 3% Hydrogen peroxide for 30min; Blocking buffer (normal goat serum,C-0005) at 37℃ for 20 min; Incubation: Anti-5 lipoxygenase Polyclonal Antibody, Unconjugated(bs-0526R) 1:200, overnight at 4°C, followed by conjugation to the secondary antibody(SP-0023) and DAB(C-0010) staining |
风险提示:丁香通仅作为第三方平台,为商家信息发布提供平台空间。用户咨询产品时请注意保护个人信息及财产安全,合理判断,谨慎选购商品,商家和用户对交易行为负责。对于医疗器械类产品,请先查证核实企业经营资质和医疗器械产品注册证情况。
文献和实验(3)同上。两个磷酸化位点都要做,但是可能在不同的病理条件下,侧重点有所不同,这主要体现在你的论文的讨论中。因此建议实验前多做论文研究,查阅一下别人的发表文章,看看与你的病理模型更相关的是哪个位点。 真爱满行囊 非常感谢你 的回复,现在我遇到的问题是我做出来蛋白总量还有216位点是有变化的,9位因为买的是santa curz的抗体,现在死活做不出来,很头痛,我要说明的问题是他的活性降低,我也看到216位点磷酸化水平降低了,可是现在没有第九位的结果(就是没有办法得到第九
扫描仪中,都采用机械式的二维X,Y线性扫描技术实现,即X,Y方向都采用直线驱动器和直线导轨实现往复运动。此类装置,由于驱动系统的频率限制,驱动器的扫描惯性大,使得扫描效率低,分析时间相当长;并且往复行程长,对直线导轨的精度要求相当高。二、光机结合的二维扫描系统为同样实现生物芯片的二维扫描,我们的实验装置设计如图2,采用了振镜和大数值孔径的远心f-è物镜相结合实现X方向扫描,Y方向的运动仍采用直线驱动器和直线导轨实现。 系统中,对于f-è物镜,满足x=2fè(è为振镜的摆动角度,f为物镜焦距)的线性
Analysis of RB Action in DNA Damage Checkpoint Response
checkpoint response: (1) transcriptional repression of E2F-regulated genes (cyclin A reporter assay); (2) induction of cell cycle arrest (Brd-U incorporation assay); and (3) inhibition of DNA double-strand break accumulation (phosphorylated-histone H2A.X
技术资料暂无技术资料 索取技术资料













