相关产品推荐更多 >
万千商家帮你免费找货
0 人在求购买到急需产品
- 详细信息
- 文献和实验
- 技术资料
- 供应商:
上海联迈生物工程有限公司
- 库存:
大量
- 目录编号:
LM-0014R
- 克隆性:
多克隆
- 抗原来源:
Rabbit
- 保质期:
1年
- 抗体英文名:
IGF 1
- 抗体名:
胰岛素样生长因子1抗体
- 宿主:
Rabbit
- 适应物种:
Human, Mouse, Rat, Dog, Pig, Cow, Rabbit, Sheep,
- 免疫原:
KLH conjugated synthetic peptide derived from human IGF-1:49-100/195
- 亚型:
IgG
- 形态:
Lyophilized or Liquid
- 应用范围:
WB=1:500-2000 ELISA=1:500-1000 IP=1:20-100 IHC-P=1:400-800 IHC-F=1:400-800 IF=1:100-500
- 浓度:
1mg/ml
- 保存条件:
Store at -20 °C
- 规格:
50ul 100ul 200ul
| 产品编号 | bs-0014R |
| 英文名称 | IGF 1 |
| 中文名称 | 胰岛素样生长因子1抗体 |
| 别 名 | IBP1; IGF 1; IGF I; IGF-1;IGF IA; IGF IB; IGF1; IGFI; IGFIA; Insulin like growth factor 1 (somatomedin C); Full=Insulin-like growth factor I; Insulin Like Growth Factor 1; Insulin like growth factor IA; Insulin like growth factor IB; Mechano growth factor; MGF; Mechano growth factor; MGF; Somatomedia C; Somatomedin C; IGF1_HUMAN. IGF-I; |
![]() |
Specific References (6) | bs-0014R has been referenced in 6 publications. [IF=1.06] Baykara, B., et al. "Progesterone treatment decreases traumatic brain injury induced anxiety and is correlated with increased serum IGF-1 levels; prefrontal cortex, amygdala, hippocampus neuron density; and reduced serum corticosterone levels in immature rats." Biotechnic & Histochemistry 0 (2013): 1-8. Rat. PubMed:23480228 [IF=1.06] Kiray, M., et al. "Effects of carbon dioxide exposure on early brain development in rats." Biotechnic & Histochemistry 0 (2014): 1-13. IHC-P ; Rat. PubMed:24476563 [IF=0.48] Gabr, Hala, et al. "The effect of bone marrow‐derived mesenchymal stem cells on chemotherapy induced ovarian failure in albino rats." Microscopy Research and Technique (2016). IHC-P ; Rat. PubMed:27453009 [IF=0.00] Liao, Wei-Tao, et al. "The effect of celastrol on learning and memory in diabetic rats after sevoflurane inhalation." (2016). IHC-P ; Rat. PubMed:0 [IF=1.21] Müller, L., et al. "Different expression of leptin and IGF1 in the adult and prepubertal testis in dogs." Reproduction in Domestic Animals (2017). IHC-P ; Dog. PubMed:0 [IF=1.80] Uysal, Nazan, et al. "Exercise increases leptin levels correlated with IGF-1 in hippocampus and prefrontal cortex of adolescent male and female rats." Journal of Chemical Neuroanatomy (2017). IHC-P ; Rat. PubMed:28179125 |
| 规格价格 | 50ul/780元 购买 100ul/1380元 购买 200ul/2200元 购买 大包装/询价 |
| 说 明 书 | 50ul 100ul 200ul |
| 研究领域 | 免疫学 发育生物学 信号转导 生长因子和激素 糖尿病 |
| 抗体来源 | Rabbit |
| 克隆类型 | Polyclonal |
| 交叉反应 | Human, Mouse, Rat, Dog, Pig, Cow, Rabbit, Sheep, |
| 产品应用 | WB=1:500-2000 ELISA=1:500-1000 IP=1:20-100 IHC-P=1:400-800 IHC-F=1:400-800 IF=1:100-500 (石蜡切片需做抗原修复) not yet tested in other applications. optimal dilutions/concentrations should be determined by the end user. |
| 分 子 量 | 7.7/21kDa |
| 细胞定位 | 分泌型蛋白 |
| 性 状 | Lyophilized or Liquid |
| 浓 度 | 1mg/ml |
| 免 疫 原 | KLH conjugated synthetic peptide derived from human IGF-1:49-100/195 |
| 亚 型 | IgG |
| 纯化方法 | affinity purified by Protein A |
| 储 存 液 | 0.01M TBS(pH7.4) with 1% BSA, 0.03% Proclin300 and 50% Glycerol. |
| 保存条件 | Store at -20 °C for one year. Avoid repeated freeze/thaw cycles. The lyophilized antibody is stable at room temperature for at least one month and for greater than a year when kept at -20°C. When reconstituted in sterile pH 7.4 0.01M PBS or diluent of antibody the antibody is stable for at least two weeks at 2-4 °C. |
| PubMed | PubMed |
| 产品介绍 | background: The protein encoded by this gene is similar to insulin in function and structure and is a member of a family of proteins involved in mediating growth and development. The encoded protein is processed from a precursor, bound by a specific receptor, and secreted. Defects in this gene are a cause of insulin-like growth factor I deficiency. Several transcript variants encoding different isoforms have been found for this gene.[provided by RefSeq, Mar 2009] Function: The insulin-like growth factors, isolated from plasma, are structurally and functionally related to insulin but have a much higher growth-promoting activity. May be a physiological regulator of [1-14C]-2-deoxy-D-glucose (2DG) transport and glycogen synthesis in osteoblasts. Stimulates glucose transport in rat bone-derived osteoblastic (PyMS) cells and is effective at much lower concentrations than insulin, not only regarding glycogen and DNA synthesis but also with regard to enhancing glucose uptake. Subcellular Location: Secreted. DISEASE: Defects in IGF1 are the cause of insulin-like growth factor I deficiency (IGF1 deficiency) [MIM:608747]. IGF1 deficiency is an autosomal recessive disorder characterized by growth retardation, sensorineural deafness and mental retardation. Similarity: Belongs to the insulin family. SWISS: P05019 Gene ID: 3479 Database links: Entrez Gene: 3479 Human Omim: 147440 Human SwissProt: P05019 Human Unigene: 160562 Human Important Note: This product as supplied is intended for research use only, not for use in human, therapeutic or diagnostic applications. 胰岛素样生长因子1(IGF-1)是一种生长调节激素,由肝分泌并入血液循环的中性多肽,具有调节生长和代谢、胰岛素样及促细胞分裂的活性,主要作用于成人。 |
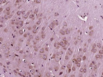
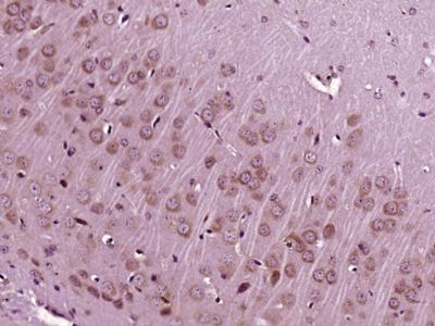
| 产品图片 | ![]() Paraformaldehyde-fixed, paraffin embedded (Mouse brain); Antigen retrieval by boiling in sodium citrate buffer (pH6.0) for 15min; Block endogenous peroxidase by 3% hydrogen peroxide for 20 minutes; Blocking buffer (normal goat serum) at 37°C for 30min; Antibody incubation with (IGF 1) Polyclonal Antibody, Unconjugated (bs-0014R) at 1:400 overnight at 4°C, followed by operating according to SP Kit(Rabbit) (sp-0023) instructionsand DAB staining. ![]() Paraformaldehyde-fixed, paraffin embedded (Rat brain); Antigen retrieval by boiling in sodium citrate buffer (pH6.0) for 15min; Block endogenous peroxidase by 3% hydrogen peroxide for 20 minutes; Blocking buffer (normal goat serum) at 37°C for 30min; Antibody incubation with (IGF 1) Polyclonal Antibody, Unconjugated (bs-0014R) at 1:400 overnight at 4°C, followed by operating according to SP Kit(Rabbit) (sp-0023) instructionsand DAB staining. |
风险提示:丁香通仅作为第三方平台,为商家信息发布提供平台空间。用户咨询产品时请注意保护个人信息及财产安全,合理判断,谨慎选购商品,商家和用户对交易行为负责。对于医疗器械类产品,请先查证核实企业经营资质和医疗器械产品注册证情况。
文献和实验胰岛素样生长因子-1受体(IGF-IR)是一种在质膜中发现的受体酪氨酸激酶,它会介导IGF-1(这是一种参与促进细胞生长和增殖的蛋白质激素)的作用。异常的IGF-1R信号传导与多种癌症有关。 在2010年2月9日刊的Science Signaling的一篇Research Article中,Sehat 等人研究显示,IGF-1可刺激一种叫作SUMOylation的IGF-1R的修饰,这种修饰可使该受体能够被转运到细胞核,并在那里与特别的DNA序列结合以增进标
兔胰岛素样生长因子-1(IGF-1)ELISA试剂盒 说明书
上海西唐生物科技有限公司 021-55229872, 65333639 www.westang.com 兔胰岛素样生长因子-1 ( IGF-1 )ELISA 试剂盒 ( 用于血清、血浆、细胞培养上清液和其它生物体液内 ) 原理 本实验采用双抗体夹心 ABC-ELISA 法。用抗兔 IGF-1 单抗包被于酶标板上,标准品和样品中的 IGF-1与单抗结合,加入生物
狗胰岛素样生长因子-1(IGF-1)ELISA试剂盒 说明书
上海西唐生物科技有限公司 021-55229872, 65333639 www.westang.com 狗胰岛素样生长因子 -1(IGF-1)ELISA 试剂盒 ( 用于血清、血浆、细胞培养上清液和其它生物体液内 ) 原理 本实验采用双抗体夹心 ABC-ELISA 法。用抗狗 IGF-1 单抗包被于酶标板上,标准品和样品中的 IGF-1 与单抗结合,加入生物素化的抗狗 IGF-1 ,形成免疫复合物连接在板上
技术资料暂无技术资料 索取技术资料













