相关产品推荐更多 >
万千商家帮你免费找货
0 人在求购买到急需产品
- 详细信息
- 文献和实验
- 技术资料
- 供应商:
上海康朗生物科技有限公司
- 库存:
大量
- 目录编号:
kl-19812R
- 克隆性:
多克隆
- 抗原来源:
Rabbit
- 保质期:
12个月
- 抗体英文名:
SLC34A1 antibody
- 抗体名:
溶质载体家族蛋白34成员A1抗体
- 宿主:
Rabbit
- 适应物种:
Human, Mouse, Rat, Pig, Rabbit, Sheep, Cat,
- 免疫原:
KLH conjugated synthetic peptide derived from human SLC34A1:101-200/639 <Extracellular>
- 亚型:
IgG
- 形态:
冻干粉或液体
- 应用范围:
WB=1:500-2000 ELISA=1:500-1000 IHC-P=1:400-800 IHC-F=1:400-800 ICC=1:100-500 IF=1:100-500
- 浓度:
1mg/ml
- 保存条件:
-20 °C
- 规格:
100ul 200ul
| 中文名称 | 溶质载体家族蛋白34成员A1抗体 |
| 别 名 | FRTS2; Na(+)-dependent phosphate cotransporter 2A; Na(+)/Pi cotransporter 2A; Na+-phosphate cotransporter type II; naPi-2a; NAPI-3; naPi2a; NAPI3; NPHLOP1; NPT2; NPTIIa; renal sodium-dependent phosphate transporter; renal sodium/phosphate transporter protein 2; SLC11; SLC17A2; SLC17A2, formerly; NPT2A_HUMAN; sodium-dependent phosphate transport protein 2A; sodium-phosphate transport protein 2A; sodium/phosphate co-transporter; sodium/phosphate cotransporter 2A; sodium/phosphate transporter 2, kidney; solute carrier family 17 (sodium phosphate), member 2; solute carrier family 17, member 2, formerly; solute carrier family 34 (sodium phosphate), member 1; solute carrier family 34 (type II sodium/phosphate. |
| 规格价格 | 100ul/1380元 购买 200ul/2200元 购买 大包装/询价 |
| 说 明 书 | 100ul 200ul |
| 研究领域 | 细胞生物 信号转导 转运蛋白 |
| 抗体来源 | Rabbit |
| 克隆类型 | Polyclonal |
| 交叉反应 | Human, Mouse, Rat, Pig, Rabbit, Sheep, Cat, |
| 产品应用 | WB=1:500-2000 ELISA=1:500-1000 IHC-P=1:400-800 IHC-F=1:400-800 ICC=1:100-500 IF=1:100-500 (石蜡切片需做抗原修复) not yet tested in other applications. optimal dilutions/concentrations should be determined by the end user. |
| 分 子 量 | 69kDa |
| 细胞定位 | 细胞膜 |
| 性 状 | Lyophilized or Liquid |
| 浓 度 | 1mg/ml |
| 免 疫 原 | KLH conjugated synthetic peptide derived from human SLC34A1:101-200/639 <Extracellular> |
| 亚 型 | IgG |
| 纯化方法 | affinity purified by Protein A |
| 储 存 液 | 0.01M TBS(pH7.4) with 1% BSA, 0.03% Proclin300 and 50% Glycerol. |
| 保存条件 | Store at -20 °C for one year. Avoid repeated freeze/thaw cycles. The lyophilized antibody is stable at room temperature for at least one month and for greater than a year when kept at -20°C. When reconstituted in sterile pH 7.4 0.01M PBS or diluent of antibody the antibody is stable for at least two weeks at 2-4 °C. |
| PubMed | PubMed |
| 产品介绍 | background: This gene encodes a member of the type II sodium-phosphate cotransporter family. Mutations in this gene are associated with hypophosphatemia nephrolithiasis/osteoporosis 1. Alternative splicing results in multiple transcript variants. [provided by RefSeq, Nov 2009] Function: May be involved in actively transporting phosphate into cells via Na+ cotransport in the renal brush border membrane. Probably mediates 70-80% of the apical influx. Subunit: Interacts via its C-terminal region with PDZK2 (By similarity). Interacts with SLC9A3R1. Subcellular Location: Membrane; Multi-pass membrane protein. Tissue Specificity: Kidney and lung. DISEASE: The disease is caused by mutations affecting the gene represented in this entry. Disease description:A disease characterized by decreased renal phosphate absorption, renal phosphate wasting, hypophosphatemia, hyperphosphaturia, hypercalciuria, nephrolithiasis and osteoporosis. Similarity: Belongs to the SLC34A transporter family. SWISS: Q06495 Gene ID: 6569 Database links: Entrez Gene: 282483 Cow Entrez Gene: 100735387 Guinea pig Entrez Gene: 100058397 Horse Entrez Gene: 6569 Human Entrez Gene: 20505 Mouse Entrez Gene: 100155735 Pig Entrez Gene: 733703 Pig Entrez Gene: 100009392 Rabbit Entrez Gene: 25548 Rat Entrez Gene: 443505 Sheep Omim: 182309 Human SwissProt: Q06495 Human SwissProt: Q60825 Mouse SwissProt: Q28620 Rabbit SwissProt: Q06496 Rat SwissProt: O97704 Sheep Unigene: 936 Human Unigene: 276355 Mouse Unigene: 92022 Rat Important Note: This product as supplied is intended for research use only, not for use in human, therapeutic or diagnostic applications. |
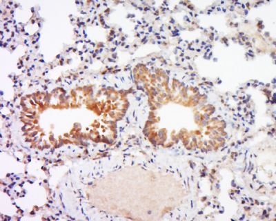
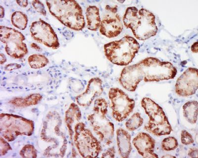
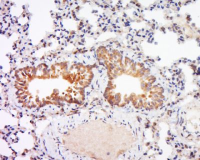
| 产品图片 | ![]() Tissue/cell: human kidney tissue; 4% Paraformaldehyde-fixed and paraffin-embedded; Antigen retrieval: citrate buffer ( 0.01M, pH 6.0 ), Boiling bathing for 15min; Block endogenous peroxidase by 3% Hydrogen peroxide for 30min; Blocking buffer (normal goat serum,C-0005) at 37℃ for 20 min; Incubation: Anti-SLC34A1 Polyclonal Antibody, Unconjugated(bs-19812R) 1:600, overnight at 4°C, followed by conjugation to the secondary antibody(SP-0023) and DAB(C-0010) staining ![]() Tissue/cell: rat lung tissue; 4% Paraformaldehyde-fixed and paraffin-embedded; Antigen retrieval: citrate buffer ( 0.01M, pH 6.0 ), Boiling bathing for 15min; Block endogenous peroxidase by 3% Hydrogen peroxide for 30min; Blocking buffer (normal goat serum,C-0005) at 37℃ for 20 min; Incubation: Anti-SLC34A1 Polyclonal Antibody, Unconjugated(bs-19812R) 1:600, overnight at 4°C, followed by conjugation to the secondary antibody(SP-0023) and DAB(C-0010) staining |
风险提示:丁香通仅作为第三方平台,为商家信息发布提供平台空间。用户咨询产品时请注意保护个人信息及财产安全,合理判断,谨慎选购商品,商家和用户对交易行为负责。对于医疗器械类产品,请先查证核实企业经营资质和医疗器械产品注册证情况。
文献和实验Generation of Antibody Molecules Through Antibody Engineering
been overcome to a large extent using genetic-engineering techniques to produce chimeric mouse/human and completely human antibodies. Such an approach is particularly suitable because of the domain structure of the antibody molecule ( 2 ), where functional
The importance of antibody molecules was first recognized in the 1890s, when it was shown that immunity to tetanus and diphtheria was caused by antibodies against the bacterial exotoxins (1 ). Around the same time, it was shown that antisera
General comments: Antibodies, like most proteins, do not like to be freeze-thawed. Avoid repetitive freezing of your solution. The best way to store your antibody is to keep a high protein concentration (>1 mg/ml), add some protease
技术资料暂无技术资料 索取技术资料












