相关产品推荐更多 >
万千商家帮你免费找货
0 人在求购买到急需产品
- 详细信息
- 文献和实验
- 技术资料
- 供应商:
上海康朗生物科技有限公司
- 库存:
大量
- 目录编号:
kl-1744R
- 克隆性:
多克隆
- 抗原来源:
Rabbit
- 保质期:
12个月
- 抗体英文名:
Cytokeratin 7 antibody
- 抗体名:
细胞角蛋白7抗体
- 宿主:
Rabbit
- 适应物种:
Human, Mouse, Rat,
- 免疫原:
KLH conjugated synthetic peptide derived from the middle of mouse CK7:251-350/469
- 亚型:
IgG
- 形态:
冻干粉或液体
- 应用范围:
WB=1:500-2000 ELISA=1:500-1000 IHC-P=1:400-800 IHC-F=1:400-800 IF=1:100-500
- 浓度:
1mg/ml
- 保存条件:
-20 °C
- 规格:
50ul 100ul 200ul
| 中文名称 | 细胞角蛋白7抗体 |
| 别 名 | CK 7; CK-7; ck7; Cytokeratin 7; Cytokeratin-7; Cytokeratin7; D15Wsu77e; K2C7; K2C7_HUMAN; K7; Keratin 55k type ii cytoskeletal; Keratin 7; Keratin simple epithelial type 1 k7; Keratin type II cytoskeletal 7; Keratin type ii cytoskletal 7; Keratin, 55K type II cytoskeletal; Keratin, simple epithelial; Keratin, simple epithelial type I, K7; Keratin, type II cytoskeletal 7; Keratin-7; Keratin7; KRT 7; Krt2-7; KRT7; MGC11625; MGC129731; mgc3625; Sarcolectin; SCL; Type ii mesothelial keratin k7; Type-II keratin Kb7 |
![]() |
Specific References (1) | bs-1744R has been referenced in 1 publications. [IF=2.24] Zhang, Ni-Ni, et al. "Functional regeneration of irradiated salivary glands with human amniotic epithelial cells transplantation." International Journal of Clinical and Experimental Pathology? 6.10 (2013): 2039-2047. Mouse. PubMed:24133581 |
| 规格价格 | 50ul/780元 购买 100ul/1380元 购买 200ul/2200元 购买 大包装/询价 |
| 说 明 书 | 50ul 100ul 200ul |
| 研究领域 | 肿瘤 细胞生物 信号转导 |
| 抗体来源 | Rabbit |
| 克隆类型 | Polyclonal |
| 交叉反应 | Human, Mouse, Rat, |
| 产品应用 | WB=1:500-2000 ELISA=1:500-1000 IHC-P=1:400-800 IHC-F=1:400-800 IF=1:100-500 (石蜡切片需做抗原修复) not yet tested in other applications. optimal dilutions/concentrations should be determined by the end user. |
| 分 子 量 | 54kDa |
| 细胞定位 | 细胞浆 |
| 性 状 | Lyophilized or Liquid |
| 浓 度 | 1mg/ml |
| 免 疫 原 | KLH conjugated synthetic peptide derived from the middle of mouse CK7:251-350/469 |
| 亚 型 | IgG |
| 纯化方法 | affinity purified by Protein A |
| 储 存 液 | 0.01M TBS(pH7.4) with 1% BSA, 0.03% Proclin300 and 50% Glycerol. |
| 保存条件 | Store at -20 °C for one year. Avoid repeated freeze/thaw cycles. The lyophilized antibody is stable at room temperature for at least one month and for greater than a year when kept at -20°C. When reconstituted in sterile pH 7.4 0.01M PBS or diluent of antibody the antibody is stable for at least two weeks at 2-4 °C. |
| PubMed | PubMed |
| 产品介绍 | background: Cytokeratins are a subfamily of intermediate filament proteins and are characterized by a remarkable biochemical diversity, represented in human epithelial tissues by at least 20 different polypeptides. They range in molecular weight between 40 kDa and 68 kDa and isoelectric pH between 4.9 – 7.8. The individual human cytokeratins are designated 1 to 20. The various epithelia in the human body usually express cytokeratins which are not only characteristic of the type of epithelium, but also related to the degree of maturation or differentiation within an epithelium. Cytokeratin subtype expression patterns are used to an increasing extent in the distinction of different types of epithelial malignancies. The cytokeratin antibodies are not only of assistance in the differential diagnosis of tumors using immunohistochemistry on tissue sections, but are also a useful tool in cytopathology and flow cytometric assays. Function: Blocks interferon-dependent interphase and stimulates DNA synthesis in cells. Involved in the translational regulation of the human papillomavirus type 16 E7 mRNA (HPV16 E7). Subunit: Heterotetramer of two type I and two type II keratins. Interacts with eukaryotic translation initiator factor 3 (eIF3) subunit EIF3S10 and with HPV16 E7. Subcellular Location: Cytoplasm. Tissue Specificity: Expressed in cultured epidermal, bronchial and mesothelial cells but absent in colon, ectocervix and liver. Observed throughout the glandular cells in the junction between stomach and esophagus but is absent in the esophagus. Post-translational modifications: Arg-20 is dimethylated, probably to asymmetric dimethylarginine. Similarity: Belongs to the intermediate filament family. SWISS: Q9DCV7 Gene ID: 110310 Database links: Entrez Gene: 3855 Human Entrez Gene: 110310 Mouse Entrez Gene: 300242 Rat Omim: 148059 Human SwissProt: P08729 Human SwissProt: Q9DCV7 Mouse SwissProt: Q6IG12 Rat Unigene: 411501 Human Unigene: 670221 Human Unigene: 289377 Mouse Unigene: 7913 Rat Important Note: This product as supplied is intended for research use only, not for use in human, therapeutic or diagnostic applications. 结构蛋白(Structural Proteins) CK-7是一种 54KDa 的中间丝蛋白,存在于大多数正常组织的腺上皮和移行上皮细胞中。 该抗体与多种良/恶性上皮性肿瘤反应。腺癌中的卵巢、乳腺、肺的腺癌呈阳性反应,而胃肠道的腺癌阴性。移行细胞肿瘤、前列腺癌也呈阳性反应。通常认为 CK7是腺癌和移行上皮细胞癌的比较特异性的标志。 |
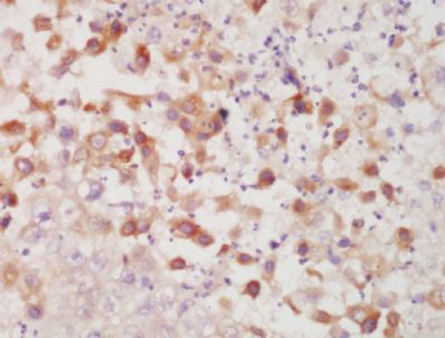
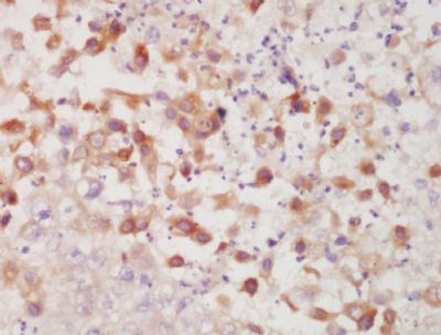
| 产品图片 | ![]() Sample: Placenta (Mouse) Lysate at 30 ug Lung (Mouse) Lysate at 30 ug Primary: Anti-Cytokeratin 7 (bs-1744R) at 1/300 dilution Secondary: IRDye800CW Goat Anti-Mouse IgG at 1/10000 dilution Predicted band size: 54 kD Observed band size: 54 kD ![]() Sample: Large intestine (Mouse) Lysate at 30 ug Primary: Anti- Cytokeratin 7 (bs-1744R) at 1/300 dilution Secondary: IRDye800CW Goat Anti-Mouse IgG at 1/10000 dilution Predicted band size: 54 kD Observed band size: 54 kD ![]() Tissue/cell: human lung carcinoma; 4% Paraformaldehyde-fixed and paraffin-embedded; Antigen retrieval: citrate buffer ( 0.01M, pH 6.0 ), Boiling bathing for 15min; Block endogenous peroxidase by 3% Hydrogen peroxide for 30min; Blocking buffer (normal goat serum,C-0005) at 37℃ for 20 min; Incubation: Anti-Cytokeratin 7 Polyclonal Antibody, Unconjugated(bs-1744R) 1:200, overnight at 4°C, followed by conjugation to the secondary antibody(SP-0023) and DAB(C-0010) staining |
风险提示:丁香通仅作为第三方平台,为商家信息发布提供平台空间。用户咨询产品时请注意保护个人信息及财产安全,合理判断,谨慎选购商品,商家和用户对交易行为负责。对于医疗器械类产品,请先查证核实企业经营资质和医疗器械产品注册证情况。
文献和实验上皮及间皮类常用标记抗体EPITHELIAL AND MESOTHELIAL MARKERSCK (MNF 116)- MNF-116 is a pan-cytokeratin antibody.- Source: Dakopatts.- Dilution 1:50.- Antigen retrieval method: HIER (pressure cooking) using EDTA.- Staining pattern: Cytoplasmic, typically
Immunocytochemical Detection and Characterisation of Individual Micrometastatic Tumour Cells
. This chapter describes a robust reliable system for the immunochemical detection of individual micrometastatic tumour cells from the BM aspirates of patients with solid epithelial tumours, based on the binding of antibody to cytokeratin proteins.
Fluorescent Immunohistochemistry and In Situ Hybridization Analysis of Pancreas
is always required for different tissues and antigens. Using a low-power antigen retrieval technique, with appropriate dilution of antibodies, we successfully immunostained key antigens in the pancreas such as insulin, PDX-1, glucagon, cytokeratin, and CD
技术资料暂无技术资料 索取技术资料














