相关产品推荐更多 >
万千商家帮你免费找货
0 人在求购买到急需产品
- 详细信息
- 技术资料
- 供应商:
上海抚生
- 库存:
23
- 克隆性:
单克隆
- 抗体英文名:
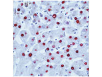
ARL6 rabbit polyclonal antibody
- 抗体名:
polyclonal antibody
- 宿主:
rabbit
- 适应物种:
Human, Mouse
- 免疫原:
rabbit
- 应用范围:
ELISA, IHC
- 规格:
100 ul
ARL6 rabbit polyclonal antibody说明
☆产品名称: ARL6 rabbit polyclonal antibody说明
☆反应性物种:Human, Mouse
★测试应用:ELISA, IHC
★包装规格:100ul
☆价格和运输:详情可来电咨询。
ARL6 rabbit polyclonal antibody说明免疫动物:
根据抗体的用途和用量以及抗原本身的性质,通常选择家兔、绵羊、山羊、马、骡和豚鼠及小鼠等动物作免疫用。形体大的动物可获得大量的抗体;若直接采用动物本体则可获得直接标记诊断的抗体;用异源动物可制备间接的标记诊断用抗体;如果难以获得的抗原,且抗体的需要量少,则可以采用纯系小鼠制备;一般实验室采用的抗体,多用兔和羊制备。
免疫用的动物最好选择适龄的健康雄性动物,不合适选用雌性动物特别是妊娠期的动物。由于对免疫应答的个别差异,免疫时应同时选用数只动物进行免疫。
抗原多种多样的,千差万别,按化学成分分,有蛋白质抗原、类脂抗原、多糖类抗原和核酸抗原等;按抗原性分,有完全抗原和不完全抗原。不同的抗原,其免疫原性的强弱均不相同,这种免疫原性的强弱取决于抗原的分子量、化学活性基团、立体结构、物理形状和弥散速度等。
全组织β-半乳糖苷酶原位染色试剂盒10次特价促销
全组织β-半乳糖苷酶活性原位染色试剂盒10次特价促销
全组织NADH心肌黄酶活性染色试剂盒10次特价促销
全组织NADH心肌黄酶和琥珀酸脱氢酶(Combined NADH-TR-SDH)双酶活性染色试剂盒 10次特价促销
全组织NADH心肌黄酶(NADH-TR)活性染色试剂盒10次特价促销
全组织a-淀粉酶染色试剂盒10次特价促销
全组织ATP酶活性染色试剂盒10次特价促销
全血总RNA纯化试剂盒20次特价促销
ARL6 rabbit polyclonal antibody说明sCD40L ELISA Kit 大鼠可溶性CD40配体Multi-class antibodies规格: 48T
Anti-Amylin/FITC 荧光素标记兔抗糖尿病相关肽/胰岛淀粉样肽抗体IgGMulti-class antibodies规格: 0.2ml
Rhesus antibody Rh Fascin/Actin bundling protein 肌动蛋白结合蛋白Fascin抗体 规格 0.2ml
8-OHdG ELISA Kit 大鼠8羟基脱氧鸟苷 96T
MSH gamma 英文名称: 促黑细胞激素γ抗体 0.2ml
phospho-ATF2 (Ser322) 英文名称: 磷酸化活化复制因子2抗体 0.1ml
Anti-Amylin/FITC 荧光素标记兔抗糖尿病相关肽/胰岛淀粉样肽抗体IgGMulti-class antibodies规格: 0.2ml
ARL6 rabbit polyclonal antibody说明结果判定:
⑴ 抗 Ig 的效价测定 琼脂扩散效价达 ⑵ 6 或 1﹕32 者为合格。
⑶ 纯度鉴定采用琼扩法。中间孔加抗 Ig 血清,外周孔加 Ig 和标准品 Ig,产生抗原决定簇。只针对一个抗原决定簇起作用的浆细胞群就是一个纯系。由一种克隆产生的特异性抗体叫做单克隆抗体。同一个抗原决定簇,在机体内也可以由好几种克隆来产生抗体,形成多克隆抗体。
☆产品名称: ARL6 rabbit polyclonal antibody说明
☆反应性物种:Human, Mouse
★测试应用:ELISA, IHC
★包装规格:100ul
☆价格和运输:详情可来电咨询。
ARL6 rabbit polyclonal antibody说明免疫动物:
根据抗体的用途和用量以及抗原本身的性质,通常选择家兔、绵羊、山羊、马、骡和豚鼠及小鼠等动物作免疫用。形体大的动物可获得大量的抗体;若直接采用动物本体则可获得直接标记诊断的抗体;用异源动物可制备间接的标记诊断用抗体;如果难以获得的抗原,且抗体的需要量少,则可以采用纯系小鼠制备;一般实验室采用的抗体,多用兔和羊制备。
免疫用的动物最好选择适龄的健康雄性动物,不合适选用雌性动物特别是妊娠期的动物。由于对免疫应答的个别差异,免疫时应同时选用数只动物进行免疫。
抗原多种多样的,千差万别,按化学成分分,有蛋白质抗原、类脂抗原、多糖类抗原和核酸抗原等;按抗原性分,有完全抗原和不完全抗原。不同的抗原,其免疫原性的强弱均不相同,这种免疫原性的强弱取决于抗原的分子量、化学活性基团、立体结构、物理形状和弥散速度等。
全组织β-半乳糖苷酶原位染色试剂盒10次特价促销
全组织β-半乳糖苷酶活性原位染色试剂盒10次特价促销
全组织NADH心肌黄酶活性染色试剂盒10次特价促销
全组织NADH心肌黄酶和琥珀酸脱氢酶(Combined NADH-TR-SDH)双酶活性染色试剂盒 10次特价促销
全组织NADH心肌黄酶(NADH-TR)活性染色试剂盒10次特价促销
全组织a-淀粉酶染色试剂盒10次特价促销
全组织ATP酶活性染色试剂盒10次特价促销
全血总RNA纯化试剂盒20次特价促销
ARL6 rabbit polyclonal antibody说明sCD40L ELISA Kit 大鼠可溶性CD40配体Multi-class antibodies规格: 48T
Anti-Amylin/FITC 荧光素标记兔抗糖尿病相关肽/胰岛淀粉样肽抗体IgGMulti-class antibodies规格: 0.2ml
Rhesus antibody Rh Fascin/Actin bundling protein 肌动蛋白结合蛋白Fascin抗体 规格 0.2ml
8-OHdG ELISA Kit 大鼠8羟基脱氧鸟苷 96T
MSH gamma 英文名称: 促黑细胞激素γ抗体 0.2ml
phospho-ATF2 (Ser322) 英文名称: 磷酸化活化复制因子2抗体 0.1ml
Anti-Amylin/FITC 荧光素标记兔抗糖尿病相关肽/胰岛淀粉样肽抗体IgGMulti-class antibodies规格: 0.2ml
ARL6 rabbit polyclonal antibody说明结果判定:
⑴ 抗 Ig 的效价测定 琼脂扩散效价达 ⑵ 6 或 1﹕32 者为合格。
⑶ 纯度鉴定采用琼扩法。中间孔加抗 Ig 血清,外周孔加 Ig 和标准品 Ig,产生抗原决定簇。只针对一个抗原决定簇起作用的浆细胞群就是一个纯系。由一种克隆产生的特异性抗体叫做单克隆抗体。同一个抗原决定簇,在机体内也可以由好几种克隆来产生抗体,形成多克隆抗体。
风险提示:丁香通仅作为第三方平台,为商家信息发布提供平台空间。用户咨询产品时请注意保护个人信息及财产安全,合理判断,谨慎选购商品,商家和用户对交易行为负责。对于医疗器械类产品,请先查证核实企业经营资质和医疗器械产品注册证情况。
技术资料暂无技术资料 索取技术资料
ARL6 rabbit polyclonal antibody说明
询价








