相关产品推荐更多 >
万千商家帮你免费找货
0 人在求购买到急需产品
- 详细信息
- 技术资料
- 供应商:
上海抚生
- 库存:
43
- 克隆性:
单克隆
- 抗体英文名:
S100A6 rabbit polyclonal antibody
- 抗体名:
polyclonal antibody
- 宿主:
rabbit
- 适应物种:
Human, Mouse, Rat
- 免疫原:
rabbit
- 应用范围:
ELISA, WB
- 规格:
100 ul
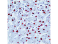
S100A6 rabbit polyclonal antibody免疫
●产品名称: S100A6 rabbit polyclonal antibody免疫
●反应物种:Human, Mouse, Rat
○测试应用:ELISA, WB
○包装规格:100ul
○价格和运输:详情可来电咨询。
S100A6 rabbit polyclonal antibody免疫效价测定方法:一般采用琼脂扩散法。
⑴ 将血清倍比稀释,加入外周孔。
⑵ 中间孔加动物 Ig。
⑶ 37℃湿盒琼扩24小时,观察结果。
进口/原装 罗汉果皂甙V 规格: 20mg/支
进口/原装 安石榴甙 规格: 20mg/支
进口/原装 獐牙菜苦苷 规格: 20mg/支
进口/原装 朝藿定A 规格: 20mg/支
进口/原装 朝藿定B 规格: 20mg/支
进口/原装 朝藿定C 规格: 20mg/支
S100A6 rabbit polyclonal antibody免疫P-GP(P-glycoprotein) P-糖蛋白抗原Multi-class antibodies规格: 0.5mg
Anti-Phospho-ATP1A1(Ser23) 磷酸化钠钾ATP酶蛋白a1抗体Multi-class antibodies规格: 0.1ml
Rhesus antibody Rh phospho-Alpha synuclein (Tyr125) 磷酸化核突触蛋白α抗体 规格 0.1ml
Neuron Specific Enolase 300 浓缩液 0.1ml 进口分装
Phospho-ATG1(Ser556) 英文名称: 磷酸化自噬相关蛋白1抗体 0.1ml
DDX19B 英文名称: 解旋酶DEAD5抗体 0.1ml
Anti-Phospho-ATP1A1(Ser23) 磷酸化钠钾ATP酶蛋白a1抗体Multi-class antibodies规格: 0.1ml
S100A6 rabbit polyclonal antibody免疫多克隆抗体和单克隆抗体的区别:
由一种克隆产生的特异性抗体叫做单克隆抗体。而同一种抗原决定簇,在机体内也可以由好几种克隆来产生抗体,形成好几种单克隆抗体混杂物,称为多克隆抗体。多克隆抗体是由异源抗原(大分子抗原、半抗原偶联物)刺激机体产生免疫反应,有机体浆细胞分泌的一组免疫球蛋白。
●产品名称: S100A6 rabbit polyclonal antibody免疫
●反应物种:Human, Mouse, Rat
○测试应用:ELISA, WB
○包装规格:100ul
○价格和运输:详情可来电咨询。
S100A6 rabbit polyclonal antibody免疫效价测定方法:一般采用琼脂扩散法。
⑴ 将血清倍比稀释,加入外周孔。
⑵ 中间孔加动物 Ig。
⑶ 37℃湿盒琼扩24小时,观察结果。
进口/原装 罗汉果皂甙V 规格: 20mg/支
进口/原装 安石榴甙 规格: 20mg/支
进口/原装 獐牙菜苦苷 规格: 20mg/支
进口/原装 朝藿定A 规格: 20mg/支
进口/原装 朝藿定B 规格: 20mg/支
进口/原装 朝藿定C 规格: 20mg/支
S100A6 rabbit polyclonal antibody免疫P-GP(P-glycoprotein) P-糖蛋白抗原Multi-class antibodies规格: 0.5mg
Anti-Phospho-ATP1A1(Ser23) 磷酸化钠钾ATP酶蛋白a1抗体Multi-class antibodies规格: 0.1ml
Rhesus antibody Rh phospho-Alpha synuclein (Tyr125) 磷酸化核突触蛋白α抗体 规格 0.1ml
Neuron Specific Enolase 300 浓缩液 0.1ml 进口分装
Phospho-ATG1(Ser556) 英文名称: 磷酸化自噬相关蛋白1抗体 0.1ml
DDX19B 英文名称: 解旋酶DEAD5抗体 0.1ml
Anti-Phospho-ATP1A1(Ser23) 磷酸化钠钾ATP酶蛋白a1抗体Multi-class antibodies规格: 0.1ml
S100A6 rabbit polyclonal antibody免疫多克隆抗体和单克隆抗体的区别:
由一种克隆产生的特异性抗体叫做单克隆抗体。而同一种抗原决定簇,在机体内也可以由好几种克隆来产生抗体,形成好几种单克隆抗体混杂物,称为多克隆抗体。多克隆抗体是由异源抗原(大分子抗原、半抗原偶联物)刺激机体产生免疫反应,有机体浆细胞分泌的一组免疫球蛋白。
风险提示:丁香通仅作为第三方平台,为商家信息发布提供平台空间。用户咨询产品时请注意保护个人信息及财产安全,合理判断,谨慎选购商品,商家和用户对交易行为负责。对于医疗器械类产品,请先查证核实企业经营资质和医疗器械产品注册证情况。
技术资料暂无技术资料 索取技术资料
S100A6 rabbit polyclonal antibody免疫
询价









