相关产品推荐更多 >
万千商家帮你免费找货
0 人在求购买到急需产品
- 详细信息
- 文献和实验
- 技术资料
- 供应商:
上海康朗生物科技有限公司
- 库存:
大量
- 目录编号:
kl-1544R
- 克隆性:
多克隆
- 抗原来源:
Rabbit
- 保质期:
12个月
- 抗体英文名:
Shh antibody
- 抗体名:
Shh信号转导通路膜蛋白受体抗体
- 宿主:
Rabbit
- 适应物种:
Human, Mouse, Rat, Chicken, Cow, Horse, Rabbit,
- 免疫原:
KLH conjugated synthetic peptide derived from human Shh:21-120/462
- 亚型:
IgG
- 形态:
冻干粉或液体
- 应用范围:
WB=1:500-2000 ELISA=1:500-1000 IHC-P=1:400-800 IHC-F=1:400-800 IF=1:100-500
- 浓度:
1mg/ml
- 保存条件:
-20 °C
- 规格:
50ul 100ul 200ul
| 中文名称 | Shh信号转导通路膜蛋白受体抗体 |
| 别 名 | Sonic hedgehog; Vhh-1; Sonic hedgehog protein; SHH; HHG 1; HHG1; HLP 3; HLP3; Holoprosencephaly 3; HPE 3; HPE3; MCOPCB5; SMMC I; SMMCI; Sonic Hedgehog (Drosophila) homolog; sonic hedgehog homolog (Drosophila); Sonic hedgehog homolog; Sonic hedgehog protein; TPT; TPTPS; Sonic hedgehog protein N-product; SHH_HUMAN. |
![]() |
Specific References (7) | bs-1544R has been referenced in 7 publications. [IF=8.98] Weiss, Robert M., et al. "Brg1 Determines Urothelial Cell Fate during Ureter Development." Journal of the American Society of Nephrology: JASN (2013). other ; PubMed:23449535 [IF=4.46] Du, Wen‐Zhong, et al. "Curcumin Suppresses Malignant Glioma Cells Growth and Induces Apoptosis by Inhibition of SHH/GLI1 Signaling Pathway in Vitro and Vivo." CNS Neuroscience & Therapeutics (2013). WB ; Human. PubMed:24165291 [IF=2.15] Fan, Hai-Xia, et al. "Sonic hedgehog signaling may promote invasion and metastasis of oral squamous cell carcinoma by activating MMP-9 and E-cadherin expression." Medical Oncology 31.7 (2014): 1-8. IHC-P ; Human. PubMed:24915900 [IF=3.70] Wu, Xiaoqin, et al. "Melittin induces PTCH1 expression by down-regulating MeCP2 in human hepatocellular carcinoma SMMC-7721 cells." Toxicology and Applied Pharmacology (2015). WB ; Human. PubMed:26189965 [IF=2.47] Ma, Tao-tao, et al. "Geniposide alleviates inflammation by suppressing MeCP2 in mice with carbon tetrachloride-induced acute liver injury and LPS-treated THP-1 cells." International Immunopharmacology (2015). WB ; Human. PubMed:26371859 [IF=4.56] Wang, H., et al. "Baicalin Attenuates Alcoholic Liver Injury through Modulation of Hepatic Oxidative Stress, Inflammation and Sonic Hedgehog Pathway in Rats." Cellular Physiology and Biochemistry 39.3 (2016): 1129-1140. WB ; Rat. PubMed:27576501 [IF=2.35] Bai, Yongheng, et al. "Sonic hedgehog-mediated epithelial-mesenchymal transition in renal tubulointerstitial fibrosis." International journal of molecular medicine 37.5 (2016): 1317-1327. IHC-P ; Rat. PubMed:27035418 |
| 规格价格 | 50ul/780元 购买 100ul/1380元 购买 200ul/2200元 购买 大包装/询价 |
| 说 明 书 | 50ul 100ul 200ul |
| 研究领域 | 肿瘤 细胞生物 发育生物学 信号转导 细胞膜受体 糖蛋白 |
| 抗体来源 | Rabbit |
| 克隆类型 | Polyclonal |
| 交叉反应 | Human, Mouse, Rat, Chicken, Cow, Horse, Rabbit, |
| 产品应用 | WB=1:500-2000 ELISA=1:500-1000 IHC-P=1:400-800 IHC-F=1:400-800 IF=1:100-500 (石蜡切片需做抗原修复) not yet tested in other applications. optimal dilutions/concentrations should be determined by the end user. |
| 分 子 量 | 19/47kDa |
| 细胞定位 | 细胞膜 细胞外基质 分泌型蛋白 |
| 性 状 | Lyophilized or Liquid |
| 浓 度 | 1mg/ml |
| 免 疫 原 | KLH conjugated synthetic peptide derived from human Shh:21-120/462 |
| 亚 型 | IgG |
| 纯化方法 | affinity purified by Protein A |
| 储 存 液 | 0.01M TBS(pH7.4) with 1% BSA, 0.03% Proclin300 and 50% Glycerol. |
| 保存条件 | Store at -20 °C for one year. Avoid repeated freeze/thaw cycles. The lyophilized antibody is stable at room temperature for at least one month and for greater than a year when kept at -20°C. When reconstituted in sterile pH 7.4 0.01M PBS or diluent of antibody the antibody is stable for at least two weeks at 2-4 °C. |
| PubMed | PubMed |
| 产品介绍 | background: SHH binds to the patched (PTC) receptor, which functions in association with smoothened (SMO), to activate the transcription of target genes. In the absence of SHH, PTC represses the constitutive signaling activity of SMO. Also regulates another target, the gli oncogene. Intercellular signal essential for a variety of patterning events during development: signal produced by the notochord that induces ventral cell fate in the neural tube and somites, and the polarizing signal for patterning of the anterior-posterior axis of the developing limb bud. Displays both floor plate- and motor neuron-inducing activity. The threshold concentration of N-product required for motor neuron induction is 5-fold lower than that required for floor plate induction (By similarity). Function: Binds to the patched (PTC) receptor, which functions in association with smoothened (SMO), to activate the transcription of target genes. In the absence of SHH, PTC represses the constitutive signaling activity of SMO. Also regulates another target, the gli oncogene. Intercellular signal essential for a variety of patterning events during development: signal produced by the notochord that induces ventral cell fate in the neural tube and somites, and the polarizing signal for patterning of the anterior-posterior axis of the developing limb bud. Displays both floor plate- and motor neuron-inducing activity. The threshold concentration of N-product required for motor neuron induction is 5-fold lower than that required for floor plate induction (By similarity). Subunit: Interacts with HHATL/GUP1 which negatively regulates HHAT-mediated palmitoylation of the SHH N-terminus. N-product is active as a multimer. Subcellular Location: Sonic hedgehog protein C-product: Secreted, extracellular space. Note=The C-terminal peptide diffuses from the cell. Sonic hedgehog protein N-product: Cell membrane; Lipid-anchor. Note=The N-product either remains associated with lipid rafts at the cell surface, or forms freely diffusible active multimers with its hydrophobic lipid-modified N- and C-termini buried inside. Tissue Specificity: Expressed in fetal intestine, liver, lung, and kidney. Not expressed in adult tissues. Post-translational modifications: The C-terminal domain displays an autoproteolysis activity and a cholesterol transferase activity. Both activities result in the cleavage of the full-length protein and covalent attachment of a cholesterol moiety to the C-terminal of the newly generated N-terminal fragment (N-product). The N-product is the active species in both local and long-range signaling, whereas the C-product has no signaling activity. Cholesterylation is required for N-product targeting to lipid rafts and multimerization (By similarity). N-palmitoylation of Cys-24 by HHAT is required for N-product multimerization and full activity (By similarity). DISEASE: Defects in SHH are the cause of microphthalmia isolated with coloboma type 5 (MCOPCB5) [MIM:611638]. Microphthalmia is a clinically heterogeneous disorder of eye formation, ranging from small size of a single eye to complete bilateral absence of ocular tissues. Ocular abnormalities like opacities of the cornea and lens, scaring of the retina and choroid, cataract and other abnormalities like cataract may also be present. Ocular colobomas are a set of malformations resulting from abnormal morphogenesis of the optic cup and stalk, and the fusion of the fetal fissure (optic fissure). Defects in SHH are the cause of holoprosencephaly type 3 (HPE3) [MIM:142945]. Holoprosencephaly (HPE) [MIM:236100] is the most common structural anomaly of the brain, in which the developing forebrain fails to correctly separate into right and left hemispheres. Holoprosencephaly is genetically heterogeneous and associated with several distinct facies and phenotypic variability. The majority of HPE3 cases are apparently sporadic, although clear examples of autosomal dominant inheritance have been described. Interestingly, up to 30% of obligate carriers of HPE3 gene in autosomal dominant pedigrees are clinically unaffected. Defects in SHH are a cause of solitary median maxillary central incisor (SMMCI) [MIM:147250]. SMMCI is a rare dental anomaly characterized by the congenital absence of one maxillary central incisor. Defects in SHH are the cause of triphalangeal thumb-polysyndactyly syndrome (TPTPS) [MIM:174500]. TPTPS is an autosomal dominant syndrome characterized by a wide spectrum of pre- and post-axial abnormalities due to altered SHH expression pattern during limb development. TPTPS mutations have been mapped to the 7q36 locus in the LMBR1 gene which contains in its intron 5 a long-range cis-regulatory element of SHH expression. Similarity: Belongs to the hedgehog family. SWISS: Q15465 Gene ID: 6469 Database links: Entrez Gene: 6469 Human Omim: 600725 Human SwissProt: Q15465 Human Unigene: 164537 Human Important Note: This product as supplied is intended for research use only, not for use in human, therapeutic or diagnostic applications. Shh是Hedgehog(Hh)信号转导通路中分泌型信号糖蛋白,也是调控胚胎组织分化发育过程中重要因素,具有高度保守性。 |
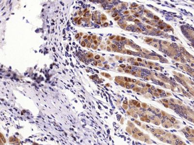
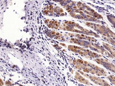
| 产品图片 | ![]() Sample:Stomach (Mouse) Lysate at 40 ug Primary: Anti-Shh(bs-1544R)at 1/300 dilution Secondary: IRDye800CW Goat Anti-Rabbit IgG at 1/20000 dilution Predicted band size: 19/47kD Observed band size: 49 kD ![]() Sample: Embryo(Mouse) tissue at 30ug; Primary: Anti-Shh (bs-1544R) at 1:300 dilution; Secondary: HRP conjugated Goat Anti-Rabbit IgG(bs-0295G-HRP) at 1: 5000 dilution; Predicted band size : 19/47kD Observed band size : 50kD ![]() Paraformaldehyde-fixed, paraffin embedded (Mouse stomach); Antigen retrieval by microwave in sodium citrate buffer (pH6.0) ; Block endogenous peroxidase by 3% hydrogen peroxide for 30 minutes; Blocking buffer (3% BSA) at RT for 30min; Antibody incubation with (Shh) Polyclonal Antibody, Unconjugated (bs-1544R) at 1:400 overnight at 4℃, followed by conjugation to the secondary antibody (labeled with HRP)and DAB staining. |
风险提示:丁香通仅作为第三方平台,为商家信息发布提供平台空间。用户咨询产品时请注意保护个人信息及财产安全,合理判断,谨慎选购商品,商家和用户对交易行为负责。对于医疗器械类产品,请先查证核实企业经营资质和医疗器械产品注册证情况。
文献和实验薇安夕夕宝 请问有人了解SHH通路吗?这个通路有激动剂吗? acola SAG C28H28ClN3OS 黑糊糊2000 Oxysterols, could be one but not sure can be used for all the cell lines 本文由丁香园论坛提供,想了解更多有用的、有意思的前沿资讯以及酷炫的实验方法的你,都可以成为师兄的好伙伴
人Sonic Hedgehog(SHH)ELISA试剂盒 说明书
上海西唐生物科技有限公司 021-55229872, 65333639 www.westang.com 人 Sonic Hedgehog ( SHH )ELISA 试剂盒 ( 用于血清、血浆、细胞培养上清液和其它生物体液内 ) 原理 本实验采用双抗体夹心 ABC-ELISA 法。用抗人 SHH 单抗包被于酶标板上,标准品和样品中的 SHH与单抗结合,加入生物
人音猬因子(Shh) 酶联免疫 分析( ELISA ) 试剂 盒使用说明书 本试剂仅供研究使用 目的:本试剂盒用于测定人血清,细胞上清及相关液体样本中音猬因子(Shh)含量。 实验原理 : 本试剂盒应用双抗体夹心法测定 标本 中 人音猬因子(Shh) 水平。用纯化的 人音猬因子(Shh) 抗体包被微孔板,制成固相抗体,往包被单抗的微孔中依次加入 音猬因子(Shh), 再与 HRP 标记的音猬因子 (Shh) 抗体
技术资料暂无技术资料 索取技术资料














