相关产品推荐更多 >
万千商家帮你免费找货
0 人在求购买到急需产品
- 详细信息
- 文献和实验
- 技术资料
- 供应商:
上海康朗生物科技有限公司
- 库存:
大量
- 目录编号:
kl-15449R
- 克隆性:
多克隆
- 抗原来源:
Rabbit
- 保质期:
12个月
- 抗体英文名:
HEG1 antibody
- 抗体名:
HEG同源蛋白1抗体
- 宿主:
Rabbit
- 适应物种:
Human, Mouse, Rat, Dog, Cow, Horse, Rabbit, Sheep,
- 免疫原:
KLH conjugated synthetic peptide derived from human HEG1:1151-1581/1381 <Extracellular>
- 亚型:
IgG
- 形态:
冻干粉或液体
- 应用范围:
ELISA=1:500-1000 IHC-P=1:400-800 IHC-F=1:400-800 ICC=1:100-500 IF=1:100-500
- 浓度:
1mg/ml
- 保存条件:
-20 °C
- 规格:
100ul 200ul
| 中文名称 | HEG同源蛋白1抗体 |
| 别 名 | HEG; HEG1; HEG1_HUMAN; KIAA1237; MST112; MSTP112; HEG homolog 1; Protein HEG homolog 1. |
| 规格价格 | 100ul/1380元 购买 200ul/2200元 购买 大包装/询价 |
| 说 明 书 | 100ul 200ul |
| 研究领域 | 心血管 细胞生物 免疫学 信号转导 |
| 抗体来源 | Rabbit |
| 克隆类型 | Polyclonal |
| 交叉反应 | Human, Mouse, Rat, Dog, Cow, Horse, Rabbit, Sheep, |
| 产品应用 | ELISA=1:500-1000 IHC-P=1:400-800 IHC-F=1:400-800 ICC=1:100-500 IF=1:100-500 (石蜡切片需做抗原修复) not yet tested in other applications. optimal dilutions/concentrations should be determined by the end user. |
| 分 子 量 | 144kDa |
| 细胞定位 | 细胞浆 细胞膜 |
| 性 状 | Lyophilized or Liquid |
| 浓 度 | 1mg/ml |
| 免 疫 原 | KLH conjugated synthetic peptide derived from human HEG1:1151-1581/1381 <Extracellular> |
| 亚 型 | IgG |
| 纯化方法 | affinity purified by Protein A |
| 储 存 液 | 0.01M TBS(pH7.4) with 1% BSA, 0.03% Proclin300 and 50% Glycerol. |
| 保存条件 | Store at -20 °C for one year. Avoid repeated freeze/thaw cycles. The lyophilized antibody is stable at room temperature for at least one month and for greater than a year when kept at -20°C. When reconstituted in sterile pH 7.4 0.01M PBS or diluent of antibody the antibody is stable for at least two weeks at 2-4 °C. |
| PubMed | PubMed |
| 产品介绍 | background: HEG1 (HEG homolog 1) is also known as HEG and is a 1,381 amino acid protein that exists as two alternatively spliced isoforms, one of which is a single-pass membrane protein and the other of which is secreted. HEG1, which is expressed in endothelial cells and smooth muscle cells of heart tissue, contains two EGF-like domains that play a role in calcium-binding events which may regulate concentric heart growth. The gene encoding HEG1 maps to human chromosome 3, which houses over 1,100 genes, including a chemokine receptor (CKR) gene cluster and a variety of human cancer-related gene loci. Key tumor suppressing genes on chromosome 3 include those that encode the apoptosis mediator RASSF1, the cell migration regulator HYAL1 and the angiogenesis suppressor SEMA3B. Marfan Syndrome, porphyria, von Hippel-Lindau syndrome, osteogenesis imperfecta and Charcot-Marie-Tooth Disease are a few of the numerous genetic diseases associated with chromosome 3. Function: Receptor component of the CCM signaling pathway which is a crucial regulator of heart and vessel formation and integrity May act through the stabilization of endothelial cell junctions. Subunit: Interacts with CCM2 and KRIT1; KRIT1 markedly facilitates interaction with CCM2. Subcellular Location: Isoform 1: Cell membrane; Single-pass type I membrane protein (Potential). Cell junction. Isoform 2: Secreted (Potential). Similarity: Contains 2 EGF-like domains. SWISS: Q9ULI3 Gene ID: 57493 Database links: Entrez Gene: 57493 Human Omim: 614182 Human SwissProt: Q9ULI3 Human Unigene: 477420 Human Important Note: This product as supplied is intended for research use only, not for use in human, therapeutic or diagnostic applications. |
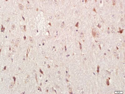
| 产品图片 | ![]() Paraformaldehyde-fixed, paraffin embedded (Mouse brain); Antigen retrieval by boiling in sodium citrate buffer (pH6.0) for 15min; Block endogenous peroxidase by 3% hydrogen peroxide for 20 minutes; Blocking buffer (normal goat serum) at 37°C for 30min; Antibody incubation with (HEG homolog 1) Polyclonal Antibody, Unconjugated (bs-15449R) at 1:400 overnight at 4°C, followed by a conjugated secondary antibody (sp-0023) for 20 minutes and DAB staining. ![]() Paraformaldehyde-fixed, paraffin embedded (Mouse brain); Antigen retrieval by boiling in sodium citrate buffer (pH6.0) for 15min; Block endogenous peroxidase by 3% hydrogen peroxide for 20 minutes; Blocking buffer (normal goat serum) at 37°C for 30min; Antibody incubation with (HEG homolog 1) Polyclonal Antibody, Unconjugated (bs-15449R) at 1:400 overnight at 4°C, followed by a conjugated secondary antibody (bs-0295G-cy3) for 90 minutes, and DAPI for nuclei staining. |
风险提示:丁香通仅作为第三方平台,为商家信息发布提供平台空间。用户咨询产品时请注意保护个人信息及财产安全,合理判断,谨慎选购商品,商家和用户对交易行为负责。对于医疗器械类产品,请先查证核实企业经营资质和医疗器械产品注册证情况。
文献和实验Generation of Antibody Molecules Through Antibody Engineering
been overcome to a large extent using genetic-engineering techniques to produce chimeric mouse/human and completely human antibodies. Such an approach is particularly suitable because of the domain structure of the antibody molecule ( 2 ), where functional
The importance of antibody molecules was first recognized in the 1890s, when it was shown that immunity to tetanus and diphtheria was caused by antibodies against the bacterial exotoxins (1 ). Around the same time, it was shown that antisera
General comments: Antibodies, like most proteins, do not like to be freeze-thawed. Avoid repetitive freezing of your solution. The best way to store your antibody is to keep a high protein concentration (>1 mg/ml), add some protease
技术资料暂无技术资料 索取技术资料











