相关产品推荐更多 >
万千商家帮你免费找货
0 人在求购买到急需产品
- 详细信息
- 文献和实验
- 技术资料
- 供应商:
上海康朗生物科技有限公司
- 库存:
大量
- 目录编号:
kl-13471R
- 克隆性:
多克隆
- 抗原来源:
Rabbit
- 保质期:
12个月
- 抗体英文名:
GNL2 antibody
- 抗体名:
鸟嘌呤核苷酸结合蛋白2抗体
- 宿主:
Rabbit
- 适应物种:
Human, Mouse, Rat, Dog, Pig, Cow, Horse, Sheep,
- 免疫原:
KLH conjugated synthetic peptide derived from human GNL2:1-100/731
- 亚型:
IgG
- 形态:
冻干粉或液体
- 应用范围:
WB=1:500-2000 ELISA=1:500-1000 IHC-P=1:400-800 IHC-F=1:400-800 ICC=1:100-500 IF=1:100-500
- 浓度:
1mg/ml
- 保存条件:
-20 °C
- 规格:
100ul 200ul
| 中文名称 | 鸟嘌呤核苷酸结合蛋白2抗体 |
| 别 名 | Autoantigen NGP-1; Autoantigen NGP1; DJ423B22.6 (novel nucleolar guanosine 5'-triphosphate binding protein; FLJ40906; GNL2; Guanine nucleotide binding protein-like 2 (nucleolar); HUMAUANTIG; NGP1; NOG2_HUMAN; Nucleolar GTP binding protein 2; Nucleolar GTP-binding protein 2; Nucleolar GTPase. |
| 规格价格 | 100ul/1380元 购买 200ul/2200元 购买 大包装/询价 |
| 说 明 书 | 100ul 200ul |
| 研究领域 | 细胞生物 信号转导 G蛋白偶联受体 表观遗传学 G蛋白信号 |
| 抗体来源 | Rabbit |
| 克隆类型 | Polyclonal |
| 交叉反应 | Human, Mouse, Rat, Dog, Pig, Cow, Horse, Sheep, |
| 产品应用 | WB=1:500-2000 ELISA=1:500-1000 IHC-P=1:400-800 IHC-F=1:400-800 ICC=1:100-500 IF=1:100-500 (石蜡切片需做抗原修复) not yet tested in other applications. optimal dilutions/concentrations should be determined by the end user. |
| 分 子 量 | 84kDa |
| 细胞定位 | 细胞核 |
| 性 状 | Lyophilized or Liquid |
| 浓 度 | 1mg/ml |
| 免 疫 原 | KLH conjugated synthetic peptide derived from human GNL2:1-100/731 |
| 亚 型 | IgG |
| 纯化方法 | affinity purified by Protein A |
| 储 存 液 | 0.01M TBS(pH7.4) with 1% BSA, 0.03% Proclin300 and 50% Glycerol. |
| 保存条件 | Store at -20 °C for one year. Avoid repeated freeze/thaw cycles. The lyophilized antibody is stable at room temperature for at least one month and for greater than a year when kept at -20°C. When reconstituted in sterile pH 7.4 0.01M PBS or diluent of antibody the antibody is stable for at least two weeks at 2-4 °C. |
| PubMed | PubMed |
| 产品介绍 | background: GNL2 is a nucleolar guanasine-triphosphate binding protein that is ubiquitously expressed at low levels in almost all tissues. GNL2 is involved in the crucial process of trafficking proteins out of the nucleus. Specifically, it is a GTPase that interacts with the 60s preribosomal subunit in the nucleus and facilitates export of the subunit into the cytoplasm. GTPases are responsible for the hydrolysis of GTP by way of a protein region dubbed the G domain. GTPases are often involved in the translocating proteins through membranes gleaning energy for the activity by hydrolizing GTP. GNL2 shares G domain homology and some functionality with nucleostemin (GNL3), another nuclear GTPase. Highest expression of GNL2 is found in testis. Function: GTPase that associates with pre-60S ribosomal subunits in the nucleolus and is required for their nuclear export and maturation. Subcellular Location: Nucleus; nucleolus. Tissue Specificity: Ubiquitously expressed at relatively low levels in all human tissues tested, with the highest level of expression in the testes. Similarity: Belongs to the MMR1/HSR1 GTP-binding protein family. NOG2 subfamily. Contains 1 G (guanine nucleotide-binding) domain. SWISS: Q13823 Gene ID: 29889 Database links: Entrez Gene: 29889 Human Entrez Gene: 230737 Mouse Entrez Gene: 362593 Rat Omim: 609365 Human SwissProt: Q13823 Human SwissProt: Q99LH1 Mouse Unigene: 75528 Human Unigene: 90760 Mouse Unigene: 18964 Rat Important Note: This product as supplied is intended for research use only, not for use in human, therapeutic or diagnostic applications. |
| 产品图片 |
Sample:
Muscle (Mouse) Lysate at 40 ug Primary: Anti- GNL2 (bs-13471R)at 1/300 dilution Secondary: IRDye800CW Goat Anti-Rabbit IgG at 1/20000 dilution Predicted band size: 84 kD Observed band size: 84 kD
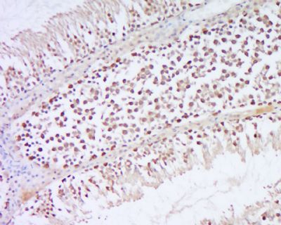
Tissue/cell: Rat testis tissue; 4% Paraformaldehyde-fixed and paraffin-embedded;
Antigen retrieval: citrate buffer ( 0.01M, pH 6.0 ), Boiling bathing for 15min; Block endogenous peroxidase by 3% Hydrogen peroxide for 30min; Blocking buffer (normal goat serum,C-0005) at 37℃ for 20 min; Incubation: Anti-GNL2 Polyclonal Antibody, Unconjugated(bs-13471R) 1:500, overnight at 4°C, followed by conjugation to the secondary antibody(SP-0023) and DAB(C-0010) staining
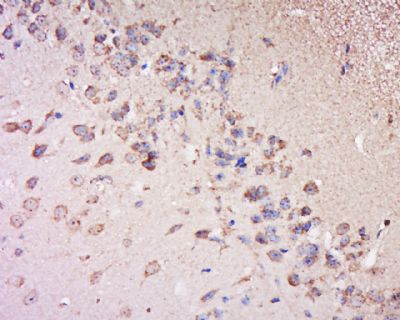
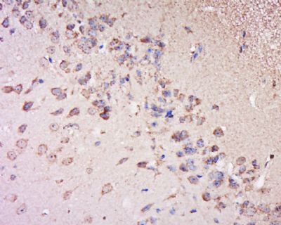
Tissue/cell: Mouse brain tissue; 4% Paraformaldehyde-fixed and paraffin-embedded;
Antigen retrieval: citrate buffer ( 0.01M, pH 6.0 ), Boiling bathing for 15min; Block endogenous peroxidase by 3% Hydrogen peroxide for 30min; Blocking buffer (normal goat serum,C-0005) at 37℃ for 20 min; Incubation: Anti-GNL2 Polyclonal Antibody, Unconjugated(bs-13471R) 1:500, overnight at 4°C, followed by conjugation to the secondary antibody(SP-0023) and DAB(C-0010) staining |
风险提示:丁香通仅作为第三方平台,为商家信息发布提供平台空间。用户咨询产品时请注意保护个人信息及财产安全,合理判断,谨慎选购商品,商家和用户对交易行为负责。对于医疗器械类产品,请先查证核实企业经营资质和医疗器械产品注册证情况。
文献和实验Generation of Antibody Molecules Through Antibody Engineering
been overcome to a large extent using genetic-engineering techniques to produce chimeric mouse/human and completely human antibodies. Such an approach is particularly suitable because of the domain structure of the antibody molecule ( 2 ), where functional
The importance of antibody molecules was first recognized in the 1890s, when it was shown that immunity to tetanus and diphtheria was caused by antibodies against the bacterial exotoxins (1 ). Around the same time, it was shown that antisera
General comments: Antibodies, like most proteins, do not like to be freeze-thawed. Avoid repetitive freezing of your solution. The best way to store your antibody is to keep a high protein concentration (>1 mg/ml), add some protease
技术资料暂无技术资料 索取技术资料









