相关产品推荐更多 >
万千商家帮你免费找货
0 人在求购买到急需产品
- 详细信息
- 文献和实验
- 技术资料
- 供应商:
上海康朗生物科技有限公司
- 库存:
大量
- 目录编号:
kl-13362R
- 克隆性:
多克隆
- 抗原来源:
Rabbit
- 保质期:
12个月
- 抗体英文名:
GJA10 antibody
- 抗体名:
间隙连接蛋白10抗体
- 宿主:
Rabbit
- 适应物种:
Human, Mouse, Rat, Chicken, Cow, Rabbit, Sheep,
- 免疫原:
KLH conjugated synthetic peptide derived from human GJA10:151-250/543 <Extracellular>
- 亚型:
IgG
- 形态:
冻干粉或液体
- 应用范围:
ELISA=1:500-1000 IHC-P=1:400-800 IHC-F=1:400-800 ICC=1:100-500 IF=1:100-500
- 浓度:
1mg/ml
- 保存条件:
-20 °C
- 规格:
100ul 200ul
| 中文名称 | 间隙连接蛋白10抗体 |
| 别 名 | Gap junction alpha 10; Connexin-62; Cx62; CXA10_HUMAN; Gap junction alpha 10; Gap junction alpha 10 protein; Gap junction alpha-10 protein; Gap junction protein alpha 10 59kDa; GJA10; MGC50985; RP11-63K6.6; Gap junction alpha 10; Connexin 58; Connexin 59; Connexin-62; CX58; CX59; Cx62; CXA10_HUMAN; Gap junction alpha 10; Gap junction alpha 10 protein; Gap junction alpha 9 protein; Gap junction alpha-10 protein; Gap junction protein alpha 10 59kDa; Gap junction protein alpha 9 59kDa; GJA10; MGC50985. |
| 规格价格 | 100ul/1380元 购买 200ul/2200元 购买 大包装/询价 |
| 说 明 书 | 100ul 200ul |
| 研究领域 | 心血管 细胞生物 细胞粘附分子 |
| 抗体来源 | Rabbit |
| 克隆类型 | Polyclonal |
| 交叉反应 | Human, Mouse, Rat, Chicken, Cow, Rabbit, Sheep, |
| 产品应用 | ELISA=1:500-1000 IHC-P=1:400-800 IHC-F=1:400-800 ICC=1:100-500 IF=1:100-500 (石蜡切片需做抗原修复) not yet tested in other applications. optimal dilutions/concentrations should be determined by the end user. |
| 分 子 量 | 62kDa |
| 细胞定位 | 细胞膜 |
| 性 状 | Lyophilized or Liquid |
| 浓 度 | 1mg/ml |
| 免 疫 原 | KLH conjugated synthetic peptide derived from human GJA10:151-250/543 <Extracellular> |
| 亚 型 | IgG |
| 纯化方法 | affinity purified by Protein A |
| 储 存 液 | 0.01M TBS(pH7.4) with 1% BSA, 0.03% Proclin300 and 50% Glycerol. |
| 保存条件 | Store at -20 °C for one year. Avoid repeated freeze/thaw cycles. The lyophilized antibody is stable at room temperature for at least one month and for greater than a year when kept at -20°C. When reconstituted in sterile pH 7.4 0.01M PBS or diluent of antibody the antibody is stable for at least two weeks at 2-4 °C. |
| PubMed | PubMed |
| 产品介绍 | background: Connexins, such as GJA10, are involved in the formation of gap junctions, intercellular conduits that directly connect the cytoplasms of contacting cells. Each gap junction channel is formed by docking of 2 hemichannels, each of which contains 6 connexin subunits (Sohl et al., 2003 [PubMed 12881038]).[supplied by OMIM, Mar 2008]. Function: One gap junction consists of a cluster of closely packed pairs of transmembrane channels, the connexons, through which materials of low MW diffuse from one cell to a neighboring cell. Involved in tracer coupling between horizontal cells of the retina. May play a role in the regulation of horizontal cell patterning. Subunit: A connexon is composed of a hexamer of connexins. Subcellular Location: Cell membrane. Cell junction; gap junction. Tissue Specificity: Expressed in skeletal muscle and heart. Similarity: Belongs to the connexin family. Alpha-type (group II) subfamily. SWISS: P57773 Gene ID: 84694 Database links: UniProtKB/Swiss-Prot: Q969M2.1 Entrez Gene: 84694 Human Omim: 611924 Human SwissProt: P57773 Human SwissProt: Q969M2 Human Unigene: 334499 Human Unigene: 632402 Human
Important Note: This product as supplied is intended for research use only, not for use in human, therapeutic or diagnostic applications. |
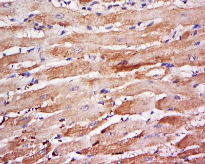
| 产品图片 | ![]() Tissue/cell: Rat skeletal muscle; 4% Paraformaldehyde-fixed and paraffin-embedded; Antigen retrieval: citrate buffer ( 0.01M, pH 6.0 ), Boiling bathing for 15min; Block endogenous peroxidase by 3% Hydrogen peroxide for 30min; Blocking buffer (normal goat serum,C-0005) at 37℃ for 20 min; Incubation: Anti-GJA10 Polyclonal Antibody, Unconjugated(bs-13362R) 1:500, overnight at 4°C, followed by conjugation to the secondary antibody(SP-0023) and DAB(C-0010) staining |
风险提示:丁香通仅作为第三方平台,为商家信息发布提供平台空间。用户咨询产品时请注意保护个人信息及财产安全,合理判断,谨慎选购商品,商家和用户对交易行为负责。对于医疗器械类产品,请先查证核实企业经营资质和医疗器械产品注册证情况。
文献和实验Generation of Antibody Molecules Through Antibody Engineering
been overcome to a large extent using genetic-engineering techniques to produce chimeric mouse/human and completely human antibodies. Such an approach is particularly suitable because of the domain structure of the antibody molecule ( 2 ), where functional
The importance of antibody molecules was first recognized in the 1890s, when it was shown that immunity to tetanus and diphtheria was caused by antibodies against the bacterial exotoxins (1 ). Around the same time, it was shown that antisera
General comments: Antibodies, like most proteins, do not like to be freeze-thawed. Avoid repetitive freezing of your solution. The best way to store your antibody is to keep a high protein concentration (>1 mg/ml), add some protease
技术资料暂无技术资料 索取技术资料









