相关产品推荐更多 >
万千商家帮你免费找货
0 人在求购买到急需产品
- 详细信息
- 文献和实验
- 技术资料
- 供应商:
上海康朗生物科技有限公司
- 库存:
大量
- 目录编号:
kl-13208R
- 克隆性:
多克隆
- 抗原来源:
Rabbit
- 保质期:
12个月
- 抗体英文名:
phospho-FOXO4 (Thr451) antibody
- 抗体名:
磷酸化叉头蛋白4抗体
- 宿主:
Rabbit
- 适应物种:
Human, Mouse, Rat, Dog, Pig, Rabbit,
- 免疫原:
KLH conjugated synthesised phosphopeptide derived from human FOXO4 around the phosphorylation site of Thr451:LG(p-T)PV
- 亚型:
IgG
- 形态:
冻干粉或液体
- 应用范围:
WB=1:500-2000 ELISA=1:500-1000 IHC-P=1:400-800 IHC-F=1:400-800 ICC=1:100-500 IF=1:100-500
- 浓度:
1mg/ml
- 保存条件:
-20 °C
- 规格:
100ul
| 中文名称 | 磷酸化叉头蛋白4抗体 |
| 别 名 | FOXO4 (phospho T451);p-FOXO4 (phospho T451); AFX(Phospho-Ser197); Fork head domain transcription factor AFX1; AFX; AFX1; Afxh; ALL1-fused gene from X chromosome; Fork head domain transcription factor AFX1; Forkhead box O4; Forkhead box protein O4; FOXO 4; Mixed lineage leukemia, translocated to, 7; MLLT7; Myeloid lymphoid or mixed lineage leukemia translocated to 7; Myeloid/lymphoid or mixed lineage leukemia, translocated to, 7; Putative fork head domain transcription factor AFX1; FOXO4_HUMAN. |
| 规格价格 | 100ul/1580元 购买 大包装/询价 |
| 说 明 书 | 100ul |
| 产品类型 | 磷酸化抗体 |
| 研究领域 | 肿瘤 细胞生物 信号转导 转录调节因子 激酶和磷酸酶 |
| 抗体来源 | Rabbit |
| 克隆类型 | Polyclonal |
| 交叉反应 | Human, Mouse, Rat, Dog, Pig, Rabbit, |
| 产品应用 | WB=1:500-2000 ELISA=1:500-1000 IHC-P=1:400-800 IHC-F=1:400-800 ICC=1:100-500 IF=1:100-500 (石蜡切片需做抗原修复) not yet tested in other applications. optimal dilutions/concentrations should be determined by the end user. |
| 分 子 量 | 54kDa |
| 细胞定位 | 细胞核 细胞浆 |
| 性 状 | Lyophilized or Liquid |
| 浓 度 | 1mg/ml |
| 免 疫 原 | KLH conjugated synthesised phosphopeptide derived from human FOXO4 around the phosphorylation site of Thr451:LG(p-T)PV |
| 亚 型 | IgG |
| 纯化方法 | affinity purified by Protein A |
| 储 存 液 | 0.01M TBS(pH7.4) with 1% BSA, 0.03% Proclin300 and 50% Glycerol. |
| 保存条件 | Store at -20 °C for one year. Avoid repeated freeze/thaw cycles. The lyophilized antibody is stable at room temperature for at least one month and for greater than a year when kept at -20°C. When reconstituted in sterile pH 7.4 0.01M PBS or diluent of antibody the antibody is stable for at least two weeks at 2-4 °C. |
| PubMed | PubMed |
| 产品介绍 | background: FOXO4 is a forkhead transcription factor involved in the regulation of the insulin signaling pathway. It binds to insulin-response elements (IREs) and can activate transcription of IGFBP1. FOXO4 down-regulates expression of HIF1A and suppresses hypoxia-induced transcriptional activation of HIF1A-modulated genes. It is also involved in negative regulation of the cell cycle. Function: Transcription factor involved in the regulation of the insulin signaling pathway. Binds to insulin-response elements (IREs) and can activate transcription of IGFBP1. Down-regulates expression of HIF1A and suppresses hypoxia-induced transcriptional activation of HIF1A-modulated genes. Also involved in negative regulation of the cell cycle. Subunit: Interacts with CREBBP/CBP, CTNNB1, MYOCD, SIRT1, SRF and YWHAZ. Acetylated by CREBBP/CBP and deacetylated by SIRT1. Binding of YWHAZ inhibits DNA-binding. Interacts with USP7; the interaction is enhanced in presence of hydrogen peroxide and occurs independently of TP53. Interacts with NLK, and this inhibits monoubiquitination and transcriptional activity. Subcellular Location: Cytoplasm. Nucleus. When phosphorylated, translocated from nucleus to cytoplasm. Dephosphorylation triggers nuclear translocation. Monoubiquitination increases nuclear localization. When deubiquitinated, translocated from nucleus to cytoplasm. Tissue Specificity: Heart, brain, placenta, lung, liver, skeletal muscle, kidney and pancreas. Isoform zeta is most abundant in the liver, kidney, and pancreas. Post-translational modifications: Acetylation by CBP, which is induced by peroxidase stress, inhibits transcriptional activity. Deacetylation by SIRT1 is NAD-dependent and stimulates transcriptional activity. Phosphorylation by PKB/AKT1 inhibits transcriptional activity and is responsible for cytoplasmic localization. DISEASE: Note=A chromosomal aberration involving FOXO4 is found in acute leukemias. Translocation t(X;11)(q13;q23) with MLL/HRX. The result is a rogue activator protein. Similarity: Contains 1 fork-head DNA-binding domain. SWISS: P98177 Gene ID: 4303 Database links: Entrez Gene: 4303 Human Entrez Gene: 54601 Mouse Entrez Gene: 302415 Rat Omim: 300033 Human SwissProt: P98177 Human SwissProt: Q9WVH3 Mouse Unigene: 584654 Human Unigene: 240299 Mouse Unigene: 19646 Rat Important Note: This product as supplied is intended for research use only, not for use in human, therapeutic or diagnostic applications. |
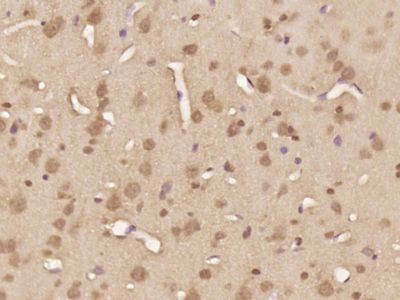
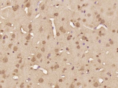
| 产品图片 | ![]() Sample: K562(human) Cell Lysate at 40 ug Primary: Anti-p-FOXO4 (Thr451 (bs-13208R) at 1/300 dilution Secondary: IRDye800CW Goat Anti-Rabbit IgG at 1/20000 dilution Predicted band size: 54 kD Observed band size: 54 kD ![]() Paraformaldehyde-fixed, paraffin embedded (Rat brain); Antigen retrieval by boiling in sodium citrate buffer (pH6.0) for 15min; Block endogenous peroxidase by 3% hydrogen peroxide for 20 minutes; Blocking buffer (normal goat serum) at 37°C for 30min; Antibody incubation with (phospho-FOXO4 (Thr451)) Polyclonal Antibody, Unconjugated (bs-13208R) at 1:400 overnight at 4°C, followed by operating according to SP Kit(Rabbit) (sp-0023) instructionsand DAB staining. |
风险提示:丁香通仅作为第三方平台,为商家信息发布提供平台空间。用户咨询产品时请注意保护个人信息及财产安全,合理判断,谨慎选购商品,商家和用户对交易行为负责。对于医疗器械类产品,请先查证核实企业经营资质和医疗器械产品注册证情况。
文献和实验Using Phospho‐Motif Antibodies to Determine Kinase Substrates
comprising both the phosphorylated residue and the surrounding residues that determine kinase specificity, with degenerate residues taking up the remaining positions. Currently, several categories of phospho?motif antibody are commercially available
Optimized Protocol to Make Phospho-Specific Antibodies that Work
, not simply its level of expression. In this review, we will discuss both the design of the phosphopeptide immunogen and immunization. The affinity purification of the phospho-specific antibody as well as the methods most suitable for characterizing
Absorption Control in Immunohistochemistry Using Phospho-Peptides Immobilized on Magnetic Beads
neutralization of phospho-specific antibodies with phospho-peptides immobilized on magnetic beads. This technique allows for sequestration of antibody–peptide complex from the incubation solution, minimizing the risk of formation of unblocked antibodies capable
技术资料暂无技术资料 索取技术资料











