相关产品推荐更多 >
万千商家帮你免费找货
0 人在求购买到急需产品
- 详细信息
- 文献和实验
- 技术资料
- 供应商:
上海康朗生物科技有限公司
- 库存:
大量
- 目录编号:
kl-1309R
- 克隆性:
多克隆
- 抗原来源:
Rabbit
- 保质期:
12个月
- 抗体英文名:
Syndecan-1 antibody
- 抗体名:
Syndecan-1
- 宿主:
Rabbit
- 适应物种:
Human, Mouse, Rat, Chicken, Dog, Pig, Cow, Horse, Rabbit,
- 免疫原:
KLH conjugated synthetic peptide derived from human CD138:201-310/310 <Cytoplasmic>
- 亚型:
IgG
- 形态:
冻干粉或液体
- 应用范围:
WB=1:500-2000 ELISA=1:500-1000 IHC-P=1:400-800 IHC-F=1:400-800 Flow-Cyt=1μg/Test IF=1:100-500
- 浓度:
1mg/ml
- 保存条件:
-20 °C
- 规格:
50ul 100ul 200ul
| 中文名称 | 多配体蛋白聚糖1抗体 |
| 别 名 | SDC1; SDC; SYND1; Syndecan I; SyndecanI; Syndecan-I; syndecan; Sdc1; Syndecan1; AA408134; AA409076; Sstn; syn-1; CD 138; CD-138; CD138 antigen; Heparan sulfate proteoglycan fibroblast growth factor receptor; SDC 1; Syndecan1 precursor; SDC1_HUMAN. |
![]() |
Specific References (3) | bs-1309R has been referenced in 3 publications. [IF=2.65] Miyatani, Kozo, et al. "A high number of IgG4-positive cells in gastric cancer tissue is associated with tumor progression and poor prognosis." Virchows Archiv (2016): 1-9. IHC-F ; Human. PubMed:26951261 [IF=2.54] Chen, Song, et al. "Heparanase Mediates Intestinal Inflammation and Injury in a Mouse Model of Sepsis." Journal of Histochemistry & Cytochemistry (2017): 0022155417692536. IHC-P ; Mouse. PubMed:28170292 [IF=2.97] Hambruch, N., et al. "Bovine placentomal heparanase and syndecan expression is related to placental maturation." Placenta. IHC-P ; Bovine. PubMed:0 |
| 规格价格 | 50ul/780元 购买 100ul/1380元 购买 200ul/2200元 购买 大包装/询价 |
| 说 明 书 | 50ul 100ul 200ul |
| 研究领域 | 肿瘤 神经生物学 细胞膜受体 细胞粘附分子 细胞表面分子 糖蛋白 上皮细胞 内皮细胞 |
| 抗体来源 | Rabbit |
| 克隆类型 | Polyclonal |
| 交叉反应 | Human, Mouse, Rat, Chicken, Dog, Pig, Cow, Horse, Rabbit, |
| 产品应用 | WB=1:500-2000 ELISA=1:500-1000 IHC-P=1:400-800 IHC-F=1:400-800 Flow-Cyt=1μg/Test IF=1:100-500 (石蜡切片需做抗原修复) not yet tested in other applications. optimal dilutions/concentrations should be determined by the end user. |
| 分 子 量 | 34kDa |
| 细胞定位 | 细胞膜 分泌型蛋白 |
| 性 状 | Lyophilized or Liquid |
| 浓 度 | 1mg/ml |
| 免 疫 原 | KLH conjugated synthetic peptide derived from human CD138:201-310/310 <Cytoplasmic> |
| 亚 型 | IgG |
| 纯化方法 | affinity purified by Protein A |
| 储 存 液 | 0.01M TBS(pH7.4) with 1% BSA, 0.03% Proclin300 and 50% Glycerol. |
| 保存条件 | Store at -20 °C for one year. Avoid repeated freeze/thaw cycles. The lyophilized antibody is stable at room temperature for at least one month and for greater than a year when kept at -20°C. When reconstituted in sterile pH 7.4 0.01M PBS or diluent of antibody the antibody is stable for at least two weeks at 2-4 °C. |
| PubMed | PubMed |
| 产品介绍 | background: The protein encoded by this gene is a transmembrane (type I) heparan sulfate proteoglycan and is a member of the syndecan proteoglycan family. The syndecans mediate cell binding, cell signaling, and cytoskeletal organization and syndecan receptors are required for internalization of the HIV-1 tat protein. The syndecan-1 protein functions as an integral membrane protein and participates in cell proliferation, cell migration and cell-matrix interactions via its receptor for extracellular matrix proteins. Altered syndecan-1 expression has been detected in several different tumor types. While several transcript variants may exist for this gene, the full-length natures of only two have been described to date. These two represent the major variants of this gene and encode the same protein. [provided by RefSeq, Jul 2008]. Function: Cell surface proteoglycan that bears both heparin sulfate and chondroitin sulfate and that links the cytoskeleton to the interstitial matrix. Subunit: Interacts with CDCP1. Subcellular Location: Membrane; Single-pass type I membrane protein. Secreted. Note=Shedding of the ectodomain produces a soluble form. Post-translational modifications: Shedding is enhanced by a number of factors such as heparanase, thrombin or EGF. Also by stress and wound healing. PMA-mediated shedding is inhibited by TIMP3. Similarity: Belongs to the syndecan proteoglycan family. SWISS: P18827 Gene ID: 6382 Database links: Entrez Gene: 6382 Human Entrez Gene: 20969 Mouse Entrez Gene: 25216 Rat Omim: 186355 Human SwissProt: P18827 Human SwissProt: P18828 Mouse SwissProt: P26260 Rat Unigene: 224607 Human Unigene: 665958 Human Unigene: 2580 Mouse Unigene: 11176 Rat Important Note: This product as supplied is intended for research use only, not for use in human, therapeutic or diagnostic applications. Syndecan1(CD138)属于Syndecans基因家族,该家族是一类细胞表面跨膜蛋白多糖 ,是膜表面粘附受体 ,参与细胞-细胞外基质之间的粘附。 CD138表达于上皮细胞、胚胎间质细胞、血管平滑肌细胞、内皮细胞和神经细胞基底膜。Syndecan-1与恶性肿瘤的发生发展、浸润及转移有关,着色于胞浆和胞膜. |
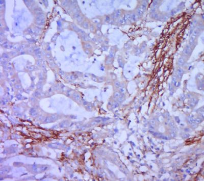
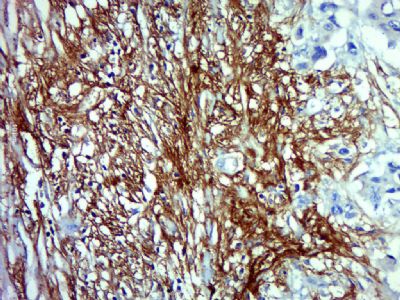
| 产品图片 | ![]() Sample: JEG-3(Human) Cell Lysate at 30 ug Primary: Anti-Syndecan-1 (bs-1309R) at 1/500 dilution Secondary: IRDye800CW Goat Anti-Rabbit IgG at 1/20000 dilution Predicted band size: 34 kD Observed band size: 34 kD ![]() Paraformaldehyde-fixed, paraffin embedded (human colon carcinoma); Antigen retrieval by boiling in sodium citrate buffer (pH6.0) for 15min; Block endogenous peroxidase by 3% hydrogen peroxide for 20 minutes; Blocking buffer (normal goat serum) at 37°C for 30min; Antibody incubation with (Syndecan-1) Polyclonal Antibody, Unconjugated (bs-1309R) at 1:400 overnight at 4°C, followed by a conjugated secondary (sp-0023) for 20 minutes and DAB staining. ![]() Paraformaldehyde-fixed, paraffin embedded (human cervical cancer); Antigen retrieval by boiling in sodium citrate buffer (pH6.0) for 15min; Block endogenous peroxidase by 3% hydrogen peroxide for 20 minutes; Blocking buffer (normal goat serum) at 37°C for 30min; Antibody incubation with (Syndecan-1) Polyclonal Antibody, Unconjugated (bs-1309R) at 1:400 overnight at 4°C, followed by a conjugated secondary (sp-0023) for 20 minutes and DAB staining. ![]() Paraformaldehyde-fixed, paraffin embedded (Human cervical cancer); Antigen retrieval by boiling in sodium citrate buffer (pH6.0) for 15min; Block endogenous peroxidase by 3% hydrogen peroxide for 20 minutes; Blocking buffer (normal goat serum) at 37°C for 30min; Antibody incubation with (Syndecan-1) Polyclonal Antibody, Unconjugated (bs-1309R) at 1:500 overnight at 4°C, followed by a conjugated secondary (sp-0023) for 20 minutes and DAB staining. ![]() Blank control: Hela(blue), the cells were fixed with 2% paraformaldehyde (10 min) and then permeabilized with ice-cold 90% methanol for 30 min on ice. Isotype Control Antibody: Rabbit IgG(orange) ; Secondary Antibody: Goat anti-rabbit IgG-PE(white blue), Dilution: 1:200 in 1 X PBS containing 0.5% BSA ; Primary Antibody Dilution: 1μg in 100 μL1X PBS containing 0.5% BSA(green). |
风险提示:丁香通仅作为第三方平台,为商家信息发布提供平台空间。用户咨询产品时请注意保护个人信息及财产安全,合理判断,谨慎选购商品,商家和用户对交易行为负责。对于医疗器械类产品,请先查证核实企业经营资质和医疗器械产品注册证情况。
文献和实验Generation of Antibody Molecules Through Antibody Engineering
been overcome to a large extent using genetic-engineering techniques to produce chimeric mouse/human and completely human antibodies. Such an approach is particularly suitable because of the domain structure of the antibody molecule ( 2 ), where functional
The importance of antibody molecules was first recognized in the 1890s, when it was shown that immunity to tetanus and diphtheria was caused by antibodies against the bacterial exotoxins (1 ). Around the same time, it was shown that antisera
General comments: Antibodies, like most proteins, do not like to be freeze-thawed. Avoid repetitive freezing of your solution. The best way to store your antibody is to keep a high protein concentration (>1 mg/ml), add some protease
技术资料暂无技术资料 索取技术资料














