相关产品推荐更多 >
万千商家帮你免费找货
0 人在求购买到急需产品
- 详细信息
- 文献和实验
- 技术资料
- 供应商:
上海康朗生物科技有限公司
- 库存:
大量
- 目录编号:
kl-13054R
- 克隆性:
多克隆
- 抗原来源:
Rabbit
- 保质期:
12个月
- 抗体英文名:
eEF1A2 antibody
- 抗体名:
翻译延伸因子EF-1 α2抗体
- 宿主:
Rabbit
- 适应物种:
Human, Mouse, Rat, Zebrafish,
- 免疫原:
KLH conjugated synthetic peptide derived from human eEF1A2:1-100/463
- 亚型:
IgG
- 形态:
冻干粉或液体
- 应用范围:
ELISA=1:500-1000 IHC-P=1:400-800 IHC-F=1:400-800 ICC=1:100-500 IF=1:100-500
- 浓度:
1mg/ml
- 保存条件:
-20 °C
- 规格:
100ul 200ul
| 中文名称 | 翻译延伸因子EF-1 α2抗体 |
| 别 名 | eEF1A 2; eEF1A-2; Eef1a2; EEF1AL; EF 1 alpha 2; EF-1-alpha-2; EF1A; EF1A2_HUMAN; Elongation factor 1 A 2; Elongation factor 1 alpha; Elongation factor 1 alpha 2; Elongation factor 1-alpha 2; Eukaryotic elongation factor 1 A-2; Eukaryotic translation elongation factor 1 alpha 2; HS1; OTTHUMP00000031776; Statin like; Statin S1; Statin-S1; STN; STNL. |
| 规格价格 | 100ul/1380元 购买 200ul/2200元 购买 大包装/询价 |
| 说 明 书 | 100ul 200ul |
| 研究领域 | 肿瘤 心血管 细胞生物 神经生物学 转录调节因子 表观遗传学 |
| 抗体来源 | Rabbit |
| 克隆类型 | Polyclonal |
| 交叉反应 | Human, Mouse, Rat, Zebrafish, |
| 产品应用 | ELISA=1:500-1000 IHC-P=1:400-800 IHC-F=1:400-800 ICC=1:100-500 IF=1:100-500 (石蜡切片需做抗原修复) not yet tested in other applications. optimal dilutions/concentrations should be determined by the end user. |
| 分 子 量 | 50kDa |
| 细胞定位 | 细胞核 |
| 性 状 | Lyophilized or Liquid |
| 浓 度 | 1mg/ml |
| 免 疫 原 | KLH conjugated synthetic peptide derived from human eEF1A2:1-100/463 |
| 亚 型 | IgG |
| 纯化方法 | affinity purified by Protein A |
| 储 存 液 | 0.01M TBS(pH7.4) with 1% BSA, 0.03% Proclin300 and 50% Glycerol. |
| 保存条件 | Store at -20 °C for one year. Avoid repeated freeze/thaw cycles. The lyophilized antibody is stable at room temperature for at least one month and for greater than a year when kept at -20°C. When reconstituted in sterile pH 7.4 0.01M PBS or diluent of antibody the antibody is stable for at least two weeks at 2-4 °C. |
| PubMed | PubMed |
| 产品介绍 | background: Elongation factor 1 alpha 2 (EF-1 alpha2) is a eukaryotic protein translation factor that is expressed in terminally differentiated cells of skeletal muscle, heart, and certain areas of the brain. Along with protein synthesis, EF-1 alpha2 also plays a role in cytoskeletal remodelling and apoptosis. The gene encoding for EF-1 alpha2 maps to chromosome 20q13. Wasted (wst) refers to a spontaneous autosomal recessive mutation in which this gene is deleted, and it leads to tremors and disturbances of gait shortly after weaning, followed by motor neuron degeneration, paralysis, and death by about 28 days in mice. EF-1 alpha2 has the ability to transform mammalian cells and is highly expressed in tumors of the ovary, breast, and lung, thereby proving a good candidate for an oncogene. In addition to this, EF-1 alpha2 enhances focus formation, allows anchorage-independent growth, and decreases the doubling time of rodent fibroblasts. Function: This protein promotes the GTP-dependent binding of aminoacyl-tRNA to the A-site of ribosomes during protein biosynthesis. Subunit: Monomer Subcellular Location: Nucleus. Tissue Specificity: Brain, heart, and skeletal muscle. Similarity: Belongs to the GTP-binding elongation factor family. EF-Tu/EF-1A subfamily. Gene ID: 1917 Database links: Entrez Gene: 1917 Human Entrez Gene: 13628 Mouse Entrez Gene: 24799 Rat Entrez Gene: 101109898 Sheep Entrez Gene: 380550 Xenopus laevis Omim: 602959 Human SwissProt: Q05639 Human SwissProt: P62631 Mouse SwissProt: P62632 Rat Unigene: 433839 Human Unigene: 2645 Mouse Unigene: 9764 Rat Important Note: This product as supplied is intended for research use only, not for use in human, therapeutic or diagnostic applications. |
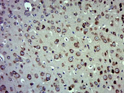
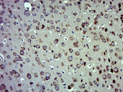
| 产品图片 | ![]() Paraformaldehyde-fixed, paraffin embedded (Mouse brain); Antigen retrieval by boiling in sodium citrate buffer (pH6.0) for 15min; Block endogenous peroxidase by 3% hydrogen peroxide for 20 minutes; Blocking buffer (normal goat serum) at 37°C for 30min; Antibody incubation with (eEF1A2) Polyclonal Antibody, Unconjugated (bs-13054R) at 1:500 overnight at 4°C, followed by a conjugated secondary (sp-0023) for 20 minutes and DAB staining. |
风险提示:丁香通仅作为第三方平台,为商家信息发布提供平台空间。用户咨询产品时请注意保护个人信息及财产安全,合理判断,谨慎选购商品,商家和用户对交易行为负责。对于医疗器械类产品,请先查证核实企业经营资质和医疗器械产品注册证情况。
文献和实验Generation of Antibody Molecules Through Antibody Engineering
been overcome to a large extent using genetic-engineering techniques to produce chimeric mouse/human and completely human antibodies. Such an approach is particularly suitable because of the domain structure of the antibody molecule ( 2 ), where functional
The importance of antibody molecules was first recognized in the 1890s, when it was shown that immunity to tetanus and diphtheria was caused by antibodies against the bacterial exotoxins (1 ). Around the same time, it was shown that antisera
General comments: Antibodies, like most proteins, do not like to be freeze-thawed. Avoid repetitive freezing of your solution. The best way to store your antibody is to keep a high protein concentration (>1 mg/ml), add some protease
技术资料暂无技术资料 索取技术资料











