相关产品推荐更多 >
万千商家帮你免费找货
0 人在求购买到急需产品
- 详细信息
- 文献和实验
- 技术资料
- 供应商:
上海康朗生物科技有限公司
- 库存:
大量
- 目录编号:
kl-12702R
- 克隆性:
多克隆
- 抗原来源:
Rabbit
- 保质期:
12个月
- 抗体英文名:
phospho-DRP1 (Ser616) antibody
- 抗体名:
磷酸化动力相关蛋白1抗体
- 宿主:
Rabbit
- 适应物种:
Human, Mouse, Rat, Dog, Pig, Guinea Pig,
- 免疫原:
KLH conjugated synthesised phosphopeptide derived from human DRP1 around the phosphorylation site of Ser616:PA(p-S)PQ
- 亚型:
IgG
- 形态:
冻干粉或液体
- 应用范围:
ELISA=1:500-1000 IHC-P=1:400-800 IHC-F=1:400-800 ICC=1:100-500 IF=1:100-500
- 浓度:
1mg/ml
- 保存条件:
-20 °C
- 规格:
100ul
| 中文名称 | 磷酸化动力相关蛋白1抗体 |
| 别 名 | DRP1 (phospho S616); p-DRP1 (phospho S616); P-DRP1 (Ser616); DLP1; dnm1l; DNM1L_HUMAN; Dnm1p/Vps1p-like protein; DVLP; Dymple; Dynamin 1 like; Dynamin family member proline-rich carboxyl-terminal domain less; Dynamin like protein; Dynamin related protein 1; Dynamin-1-like protein; Dynamin-like protein 4; Dynamin-like protein; Dynamin-like protein IV; Dynamin-related protein 1; DYNIV 11; FLJ41912; HdynIV; VPS1. |
| 规格价格 | 100ul/1580元 购买 大包装/询价 |
| 说 明 书 | 100ul |
| 产品类型 | 磷酸化抗体 |
| 研究领域 | 肿瘤 细胞生物 神经生物学 信号转导 细胞凋亡 表观遗传学 |
| 抗体来源 | Rabbit |
| 克隆类型 | Polyclonal |
| 交叉反应 | Human, Mouse, Rat, Dog, Pig, Guinea Pig, |
| 产品应用 | ELISA=1:500-1000 IHC-P=1:400-800 IHC-F=1:400-800 ICC=1:100-500 IF=1:100-500 (石蜡切片需做抗原修复) not yet tested in other applications. optimal dilutions/concentrations should be determined by the end user. |
| 分 子 量 | 82kDa |
| 细胞定位 | 细胞浆 |
| 性 状 | Lyophilized or Liquid |
| 浓 度 | 1mg/ml |
| 免 疫 原 | KLH conjugated synthesised phosphopeptide derived from human DRP1 around the phosphorylation site of Ser616:PA(p-S)PQ |
| 亚 型 | IgG |
| 纯化方法 | affinity purified by Protein A |
| 储 存 液 | 0.01M TBS(pH7.4) with 1% BSA, 0.03% Proclin300 and 50% Glycerol. |
| 保存条件 | Store at -20 °C for one year. Avoid repeated freeze/thaw cycles. The lyophilized antibody is stable at room temperature for at least one month and for greater than a year when kept at -20°C. When reconstituted in sterile pH 7.4 0.01M PBS or diluent of antibody the antibody is stable for at least two weeks at 2-4 °C. |
| PubMed | PubMed |
| 产品介绍 | background: This gene encodes a member of the dynamin superfamily of GTPases. The encoded protein mediates mitochondrial and peroxisomal division, and is involved in developmentally regulated apoptosis and programmed necrosis. Dysfunction of this gene is implicated in several neurological disorders, including Alzheimer's disease. Mutations in this gene are associated with the autosomal dominant disorder, encephalopathy, lethal, due to defective mitochondrial and peroxisomal fission (EMPF). Alternative splicing results in multiple transcript variants encoding different isoforms. [provided by RefSeq, Jun 2013] Function: Functions in mitochondrial and peroxisomal division. Mediates membrane fission through oligomerization into ring-like structures which wrap around the scission site to constict and sever the mitochondrial membrane through a GTP hydrolysis-dependent mechanism. Required for normal brain development. Facilitates developmentally-regulated apoptosis during neural tube development. Required for a normal rate of cytochrome c release and caspase activation during apoptosis. Also required for mitochondrial fission during mitosis. May be involved in vesicle transport. Isoform 1 and isoform 4 inhibit peroxisomal division when overexpressed. Subcellular Location: Cytoplasm > cytosol. Golgi apparatus. Endomembrane system. Mainly cytosolic. Translocated to the mitochondrial membrane through interaction with FIS1. Colocalized with MARCH5 at mitochondrial membrane. Localizes to mitochondria at sites of division. Associated with peroxisomal membranes, partly recruited there by PEX11B. May also be associated with endoplasmic reticulum tubules and cytoplasmic vesicles and found to be perinuclear. In some cell types, localizes to the Golgi complex. Tissue Specificity: Ubiquitously expressed with highest levels found in skeletal muscles, heart, kidney and brain. Isoform 1 is brain-specific. Isoform 2 and isoform 3 are predominantly expressed in testis and skeletal muscles respectively. Isoform 4 is weakly expressed in brain, heart and kidney. Isoform 5 is dominantly expressed in liver, heart and kidney. Isoform 6 is expressed in neurons. Post-translational modifications: Phosphorylation/dephosphorylation events on two sites near the GED domain regulate mitochondrial fission. Phosphorylation on Ser-637 inhibits mitochondrial fissin probably through preventing intramolecular interaction. Dephosphorylated on this site by PPP3CA which promotes mitochondrial fission. Phosphorylation on Ser-616 also promotes mitochondrial fission. Sumoylated on various lysine residues within the B domain. Desumoylated by SENP5 during G2/M transition of mitosis. Appears to be linked to its catalytic activity. S-nitrosylation increases DNM1L dimerization, mitochondrial fission and causes neuronal damage. Ubiquitination by MARCH5 affects mitochondrial morphology. DISEASE: Note=May be associated with Alzheimer disease through beta-amyloid-induced increased S-nitrosylation of DNM1L, which triggers, directly or indirectly, excessive mitochondrial fission, synaptic loss and neuronal damage. Similarity: Belongs to the dynamin family. Contains 1 GED domain. SWISS: O00429 Gene ID: 10059 Database links: Entrez Gene: 10059 Human Entrez Gene: 74006 Mouse Entrez Gene: 114114 Rat Omim: 603850 Human SwissProt: O00429 Human SwissProt: Q8K1M6 Mouse SwissProt: O35303 Rat Unigene: 556296 Human Unigene: 218820 Mouse Unigene: 216851 Rat Important Note: This product as supplied is intended for research use only, not for use in human, therapeutic or diagnostic applications. |
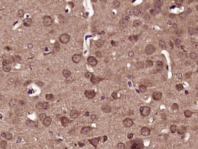
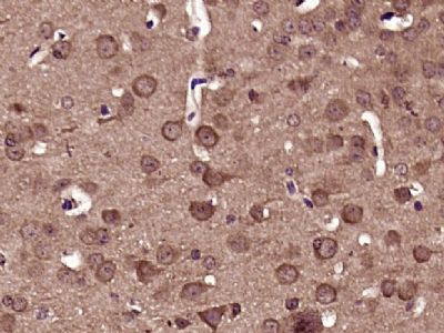
| 产品图片 | ![]() Paraformaldehyde-fixed, paraffin embedded (Mouse brain); Antigen retrieval by boiling in sodium citrate buffer (pH6.0) for 15min; Block endogenous peroxidase by 3% hydrogen peroxide for 20 minutes; Blocking buffer (normal goat serum) at 37°C for 30min; Antibody incubation with (phospho-DRP1 (Ser616)) Polyclonal Antibody, Unconjugated (bs-12702R) at 1:400 overnight at 4°C, followed by operating according to SP Kit(Rabbit) (sp-0023) instructionsand DAB staining. |
风险提示:丁香通仅作为第三方平台,为商家信息发布提供平台空间。用户咨询产品时请注意保护个人信息及财产安全,合理判断,谨慎选购商品,商家和用户对交易行为负责。对于医疗器械类产品,请先查证核实企业经营资质和医疗器械产品注册证情况。
文献和实验Using Phospho‐Motif Antibodies to Determine Kinase Substrates
comprising both the phosphorylated residue and the surrounding residues that determine kinase specificity, with degenerate residues taking up the remaining positions. Currently, several categories of phospho?motif antibody are commercially available
Optimized Protocol to Make Phospho-Specific Antibodies that Work
, not simply its level of expression. In this review, we will discuss both the design of the phosphopeptide immunogen and immunization. The affinity purification of the phospho-specific antibody as well as the methods most suitable for characterizing
Absorption Control in Immunohistochemistry Using Phospho-Peptides Immobilized on Magnetic Beads
neutralization of phospho-specific antibodies with phospho-peptides immobilized on magnetic beads. This technique allows for sequestration of antibody–peptide complex from the incubation solution, minimizing the risk of formation of unblocked antibodies capable
技术资料暂无技术资料 索取技术资料










