相关产品推荐更多 >
万千商家帮你免费找货
0 人在求购买到急需产品
- 详细信息
- 文献和实验
- 技术资料
- 供应商:
上海康朗生物科技有限公司
- 库存:
大量
- 目录编号:
kl-12203R
- 克隆性:
多克隆
- 抗原来源:
Rabbit
- 保质期:
12个月
- 抗体英文名:
SALL1 antibody
- 抗体名:
锌指转录蛋白Sall1抗体
- 宿主:
Rabbit
- 适应物种:
Human, Mouse, Rat, Chicken, Dog, Cow, Horse, Rabbit, Sheep,
- 免疫原:
KLH conjugated synthetic peptide derived from human SALL1 (401-500aa):451-550/1324
- 亚型:
IgG
- 形态:
冻干粉或液体
- 应用范围:
WB=1:500-2000 ELISA=1:500-1000 IHC-P=1:400-800 IHC-F=1:400-800 ICC=1:100-500 IF=1:100-500
- 浓度:
1mg/ml
- 保存条件:
-20 °C
- 规格:
100ul 200ul
| 中文名称 | 锌指转录蛋白Sall1抗体 |
| 别 名 | HSal1; Sal like protein 1; Sal-1; Sal-like protein 1; Sal1; SALL1; SALL1_HUMAN; Spalt like transcription factor 1; Spalt-like transcription factor 1; TBS; Townes Brocks syndrome; Zinc finger protein 794; Zinc finger protein SALL1; Zinc finger protein Spalt-1. |
| 规格价格 | 100ul/1380元 购买 200ul/2200元 购买 大包装/询价 |
| 说 明 书 | 100ul 200ul |
| 研究领域 | 细胞生物 发育生物学 转录调节因子 锌指蛋白 表观遗传学 |
| 抗体来源 | Rabbit |
| 克隆类型 | Polyclonal |
| 交叉反应 | Human, Mouse, Rat, Chicken, Dog, Cow, Horse, Rabbit, Sheep, |
| 产品应用 | WB=1:500-2000 ELISA=1:500-1000 IHC-P=1:400-800 IHC-F=1:400-800 ICC=1:100-500 IF=1:100-500 (石蜡切片需做抗原修复) not yet tested in other applications. optimal dilutions/concentrations should be determined by the end user. |
| 分 子 量 | 140kDa |
| 细胞定位 | 细胞核 |
| 性 状 | Lyophilized or Liquid |
| 浓 度 | 1mg/ml |
| 免 疫 原 | KLH conjugated synthetic peptide derived from human SALL1 (401-500aa):451-550/1324 |
| 亚 型 | IgG |
| 纯化方法 | affinity purified by Protein A |
| 储 存 液 | 0.01M TBS(pH7.4) with 1% BSA, 0.03% Proclin300 and 50% Glycerol. |
| 保存条件 | Store at -20 °C for one year. Avoid repeated freeze/thaw cycles. The lyophilized antibody is stable at room temperature for at least one month and for greater than a year when kept at -20°C. When reconstituted in sterile pH 7.4 0.01M PBS or diluent of antibody the antibody is stable for at least two weeks at 2-4 °C. |
| PubMed | PubMed |
| 产品介绍 | background: Sall1 and Sall2 are mammalian homologs of the Drosophila region-specific home-otic gene spalt (sal), which encodes a zinc finger-containing transcription regulator. Drosophila spalt (sal) is an essential genetic component required for the specification of posterior head and anterior tail as opposed to trunk. Mammalian Sall1 may mediate higher order chromatin structure, and may be a component of a distinct heterochromatin-dependent silencing process. Sall1 is present in kidney, brain and liver. Sall2 is a p53-independent regulator of p21 and BAX, and can function in some cell types as a regulator of cell growth and survival. Human Sall2 is present in brain, heart, kidney or pancreas. Sall1 and Sall2 are expressed in different areas of the fetal brain that may represent distinct sets of neurons. Function: Transcriptional repressor involved in organogenesis. Subunit: Interacts with HDAC1, HDAC2, RBBP4, RBPP7, MTA1 and MTA2. Interacts with FAM58A. Probably associates with NuRD histone deacetylase complex (HDAC). Subcellular Location: Nucleus. Tissue Specificity: Highest levels in kidney. Lower levels in adult brain (enriched in corpus callosum, lower expression in substantia nigra) and liver. DISEASE: Defects in SALL1 are the cause of Townes-Brocks syndrome (TBS) [MIM:107480]. TBS is a rare, autosomal dominant malformation syndrome with a combination of imperforate anus, triphalangeal and supernumerary thumbs, malformed ears and sensorineural hearing loss. Defects in SALL1 may cause a phenotype overlapping with TBS, similar to bronchio-oto-renal syndrome (BOR) [MIM:113650]. BOR is an autosomal dominant disorder, manifested by various combinations of preauricular pits, branchial fistulae or cysts, lacrimal duct stenosis, hearing loss, structural defects of the outer, middle, or inner ear, and renal dysplasia. Associated defects include asthenic habitus, long narrow facies, constricted palate, deep overbite, and myopia. Hearing loss may be due to Mondini type cochlear defect and stapes fixation. Similarity: Belongs to the sal C2H2-type zinc-finger protein family. Contains 9 C2H2-type zinc fingers. SWISS: Q9NSC2 Gene ID: 6299 Database links: Entrez Gene: 395446 Chicken Entrez Gene: 6299 Human Entrez Gene: 58198 Mouse Omim: 602218 Human SwissProt: Q9NSC2 Human SwissProt: Q9ER74 Mouse Unigene: 135787 Human Unigene: 214361 Mouse Important Note: This product as supplied is intended for research use only, not for use in human, therapeutic or diagnostic applications. |
| 产品图片 |
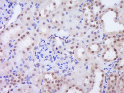
Paraformaldehyde-fixed, paraffin embedded (Rat kidney); Antigen retrieval by boiling in sodium citrate buffer (pH6.0) for 15min; Block endogenous peroxidase by 3% hydrogen peroxide for 20 minutes; Blocking buffer (normal goat serum) at 37°C for 30min; Antibody incubation with (SALL1) Polyclonal Antibody, Unconjugated (bs-12203R) at 1:400 overnight at 4°C, followed by operating according to SP Kit(Rabbit) (sp-0023) instructionsand DAB staining.
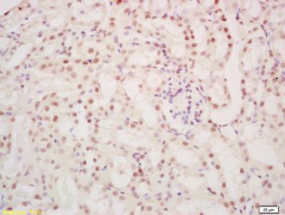
Tissue/cell: mouse kidney tissue; 4% Paraformaldehyde-fixed and paraffin-embedded;
Antigen retrieval: citrate buffer ( 0.01M, pH 6.0 ), Boiling bathing for 15min; Block endogenous peroxidase by 3% Hydrogen peroxide for 30min; Blocking buffer (normal goat serum,C-0005) at 37℃ for 20 min; Incubation: Anti-SALL1 Polyclonal Antibody, Unconjugated(bs-12203R) 1:200, overnight at 4°C, followed by conjugation to the secondary antibody(SP-0023) and DAB(C-0010) staining |
风险提示:丁香通仅作为第三方平台,为商家信息发布提供平台空间。用户咨询产品时请注意保护个人信息及财产安全,合理判断,谨慎选购商品,商家和用户对交易行为负责。对于医疗器械类产品,请先查证核实企业经营资质和医疗器械产品注册证情况。
文献和实验Generation of Antibody Molecules Through Antibody Engineering
been overcome to a large extent using genetic-engineering techniques to produce chimeric mouse/human and completely human antibodies. Such an approach is particularly suitable because of the domain structure of the antibody molecule ( 2 ), where functional
The importance of antibody molecules was first recognized in the 1890s, when it was shown that immunity to tetanus and diphtheria was caused by antibodies against the bacterial exotoxins (1 ). Around the same time, it was shown that antisera
General comments: Antibodies, like most proteins, do not like to be freeze-thawed. Avoid repetitive freezing of your solution. The best way to store your antibody is to keep a high protein concentration (>1 mg/ml), add some protease
技术资料暂无技术资料 索取技术资料











