相关产品推荐更多 >
万千商家帮你免费找货
0 人在求购买到急需产品
- 详细信息
- 文献和实验
- 技术资料
- 供应商:
上海康朗生物科技有限公司
- 库存:
大量
- 目录编号:
kl-10750R
- 克隆性:
多克隆
- 抗原来源:
Rabbit
- 保质期:
12个月
- 抗体英文名:
C1Q antibody
- 抗体名:
补体C1qα链多肽抗体
- 宿主:
Rabbit
- 适应物种:
Human
- 免疫原:
KLH conjugated synthetic peptide derived from human C1Q:151-250/245
- 亚型:
IgG
- 形态:
冻干粉或液体
- 应用范围:
WB=1:500-2000 ELISA=1:500-1000 IHC-P=1:400-800 IHC-F=1:400-800 ICC=1:100-500 IF=1:100-500
- 浓度:
1mg/ml
- 保存条件:
-20 °C
- 规格:
100ul 200ul
| 中文名称 | 补体C1qα链多肽抗体 |
| 别 名 | C1QA; C1QA_HUMAN; C1QB; C1QC; Complement C1q subcomponent subunit A; Complement C1q subcomponent subunit B; Complement C1q subcomponent subunit C; Complement component 1 q subcomponent A chain; Complement component 1 q subcomponent alpha polypeptide; Complement component C1q A chain; Complement component C1q B chain; Complement component C1q C chain. |
| 规格价格 | 100ul/1380元 购买 200ul/2200元 购买 大包装/询价 |
| 说 明 书 | 100ul 200ul |
| 研究领域 | 免疫学 神经生物学 细胞类型标志物 |
| 抗体来源 | Rabbit |
| 克隆类型 | Polyclonal |
| 交叉反应 | Human, |
| 产品应用 | WB=1:500-2000 ELISA=1:500-1000 IHC-P=1:400-800 IHC-F=1:400-800 ICC=1:100-500 IF=1:100-500 (石蜡切片需做抗原修复) not yet tested in other applications. optimal dilutions/concentrations should be determined by the end user. |
| 分 子 量 | 24kDa |
| 细胞定位 | 分泌型蛋白 |
| 性 状 | Lyophilized or Liquid |
| 浓 度 | 1mg/ml |
| 免 疫 原 | KLH conjugated synthetic peptide derived from human C1Q:151-250/245 |
| 亚 型 | IgG |
| 纯化方法 | affinity purified by Protein A |
| 储 存 液 | 0.01M TBS(pH7.4) with 1% BSA, 0.03% Proclin300 and 50% Glycerol. |
| 保存条件 | Store at -20 °C for one year. Avoid repeated freeze/thaw cycles. The lyophilized antibody is stable at room temperature for at least one month and for greater than a year when kept at -20°C. When reconstituted in sterile pH 7.4 0.01M PBS or diluent of antibody the antibody is stable for at least two weeks at 2-4 °C. |
| PubMed | PubMed |
| 产品介绍 | background: C1q, a subcomponent of the classical complement pathway, is composed of nine subunits that mediate classical complement activation and thereby play an important role in the immune response. Six of these subunits are disulfide-linked dimers of chains A and B, while three of these subunits, designated C1q-A through C1q-C, are disulfide-linked dimers of chain C. The presence of receptors for C1q on effector cells modulates its activity, which may be antibody-dependent or independent. Macrophages are the primary source of C1q, while anti-inflammatory drugs as well as cytokines differentially regulate expression of the mRNA as well as the protein. However, its ability to modulate the interaction of platelets with collagen and immune complexes suggests C1q influences homeostasis as well as other immune activities, and perhaps thrombotic complications resulting from immune injury. Defects in C1q-A, C1q-B and C1q-C cause inactivation of the classical pathway, leading to a rare genetic disorder characterized by lupus-like symptoms. Function: C1q associates with the proenzymes C1r and C1s to yield C1, the first component of the serum complement system. The collagen-like regions of C1q interact with the Ca(2+)-dependent C1r(2)C1s(2) proenzyme complex, and efficient activation of C1 takes place on interaction of the globular heads of C1q with the Fc regions of IgG or IgM antibody present in immune complexes. Subunit: C1 is a calcium-dependent trimolecular complex of C1q, R and S in the molar ration of 1:2:2. C1q subcomponent is composed of nine subunits, six of which are disulfide-linked dimers of the A and B chains, and three of which are disulfide-linked dimers of the C chain. Subcellular Location: Secreted. Post-translational modifications: O-linked glycans consist of Glc-Gal disaccharides bound to the oxygen atom of post-translationally added hydroxyl groups. Similarity: Contains 1 C1q domain. Contains 1 collagen-like domain. SWISS: P02747 Gene ID: 712 Database links: Entrez Gene: 712 Human Omim: 120550 Human SwissProt: P02745 Human Unigene: 632379 Human Important Note: This product as supplied is intended for research use only, not for use in human, therapeutic or diagnostic applications. |
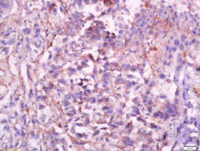
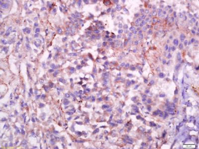
| 产品图片 | ![]() Tissue/cell: human lung carcinoma; 4% Paraformaldehyde-fixed and paraffin-embedded; Antigen retrieval: citrate buffer ( 0.01M, pH 6.0 ), Boiling bathing for 15min; Block endogenous peroxidase by 3% Hydrogen peroxide for 30min; Blocking buffer (normal goat serum,C-0005) at 37℃ for 20 min; Incubation: Anti-C1Q Polyclonal Antibody, Unconjugated(bs-10750R) 1:500, overnight at 4°C, followed by conjugation to the secondary antibody(SP-0023) and DAB(C-0010) staining |
风险提示:丁香通仅作为第三方平台,为商家信息发布提供平台空间。用户咨询产品时请注意保护个人信息及财产安全,合理判断,谨慎选购商品,商家和用户对交易行为负责。对于医疗器械类产品,请先查证核实企业经营资质和医疗器械产品注册证情况。
文献和实验C1q Assay for the Detection of Complement Fixing Antibody to HLA Antigens
complement fixing from non-complement fixing antibody, the former of which are considered the most clinically relevant in the peri-transplant period. This chapter describes a novel solid phase C1q binding assay to distinguish HLA antibodies that can bind
The classical complement pathway (CCP) activation is a multimolecular complex, composed of three subcomponents namely C1q, C1r, and C1s. C1q is the recognition subunit of this complex and its binding to the specific targets leads
Purification of C1q Receptors and Functional Analysis
The recognition subunit of C1, C1q, has emerged as an important player in various pathophysiologic conditions largely in part due to its ability to interact with pathogen-associated or cell surface expressed ligands and receptors
技术资料暂无技术资料 索取技术资料











