相关产品推荐更多 >
万千商家帮你免费找货
0 人在求购买到急需产品
- 详细信息
- 文献和实验
- 技术资料
- 供应商:
上海康朗生物科技有限公司
- 库存:
大量
- 目录编号:
kl-1062R
- 克隆性:
多克隆
- 抗原来源:
Rabbit
- 保质期:
12个月
- 抗体英文名:
ADRA2 antibody
- 抗体名:
ADRA2肾上腺素能受体2抗体
- 宿主:
Rabbit
- 适应物种:
Human, Mouse, Rat, Pig, Cow, Rabbit,
- 免疫原:
KLH conjugated synthetic peptide derived from human ADRA2:385-450/450 <Cytoplasmic>
- 亚型:
IgG
- 形态:
冻干粉或液体
- 应用范围:
WB=1:500-2000 ELISA=1:500-1000 IHC-P=1:400-800 IHC-F=1:400-800 IF=1:100-500
- 浓度:
1mg/ml
- 保存条件:
-20 °C
- 规格:
100ul 200ul
| 中文名称 | ADRA2肾上腺素能受体2抗体 |
| 别 名 | alpha-2A adrenergic receptor; alpha 2a Adrenergic Receptor; ADRA2A; ADRA2; ADRA2R; ADRAR; ALPHA2AAR; ZNF32; RATRG20; RG20; Adrenergic alpha 2A receptor; Alpha 2AAR subtype C10; OTTHUMP00000058849; ADA2A_HUMAN; Alpha-2A adrenergic receptor; Alpha-2 adrenergic receptor subtype C10; Alpha-2A adrenoreceptor; Alpha-2A adrenoceptor; Alpha-2AAR. |
| 规格价格 | 100ul/1380元 购买 200ul/2200元 购买 大包装/询价 |
| 说 明 书 | 100ul 200ul |
| 研究领域 | 神经生物学 生长因子和激素 细胞膜受体 G蛋白偶联受体 G蛋白信号 |
| 抗体来源 | Rabbit |
| 克隆类型 | Polyclonal |
| 交叉反应 | Human, Mouse, Rat, Pig, Cow, Rabbit, |
| 产品应用 | WB=1:500-2000 ELISA=1:500-1000 IHC-P=1:400-800 IHC-F=1:400-800 IF=1:100-500 (石蜡切片需做抗原修复) not yet tested in other applications. optimal dilutions/concentrations should be determined by the end user. |
| 分 子 量 | 50kDa |
| 细胞定位 | 细胞膜 |
| 性 状 | Lyophilized or Liquid |
| 浓 度 | 1mg/ml |
| 免 疫 原 | KLH conjugated synthetic peptide derived from human ADRA2:385-450/450 <Cytoplasmic> |
| 亚 型 | IgG |
| 纯化方法 | affinity purified by Protein A |
| 储 存 液 | 0.01M TBS(pH7.4) with 1% BSA, 0.03% Proclin300 and 50% Glycerol. |
| 保存条件 | Store at -20 °C for one year. Avoid repeated freeze/thaw cycles. The lyophilized antibody is stable at room temperature for at least one month and for greater than a year when kept at -20°C. When reconstituted in sterile pH 7.4 0.01M PBS or diluent of antibody the antibody is stable for at least two weeks at 2-4 °C. |
| PubMed | PubMed |
| 产品介绍 | background: Alpha-2-adrenergic receptors are members of the G protein-coupled receptor superfamily. They include 3 highly homologous subtypes: alpha 2A, alpha 2B, and alpha 2C. These receptors have a critical role in regulating neurotransmitter release from sympathetic nerves and from adrenergic neurons in the central nervous system. Studies in mouse revealed that both the alpha 2A and alpha 2C subtypes were required for normal presynaptic control of transmitter release from sympathetic nerves in the heart and from central noradrenergic neurons; the alpha 2A subtype inhibited transmitter release at high stimulation frequencies, whereas the alpha 2C subtype modulated neurotransmission at lower levels of nerve activity. This gene encodes alpha 2A subtype and it contains no introns in either its coding or untranslated sequences. [provided by RefSeq]. Function: Alpha-2 adrenergic receptors mediate the catecholamine-induced inhibition of adenylate cyclase through the action of G proteins. The rank order of potency for agonists of this receptor is oxymetazoline > clonidine > epinephrine > norepinephrine > phenylephrine > dopamine > p-synephrine > p-tyramine > serotonin = p-octopamine. For antagonists, the rank order is yohimbine > phentolamine = mianserine > chlorpromazine = spiperone = prazosin > propanolol > alprenolol = pindolol. Subcellular Location: Cell membrane. Similarity: Belongs to the G-protein coupled receptor 1 family. Adrenergic receptor subfamily. ADRA2A sub-subfamily. SWISS: P08913 Gene ID: 150 Database links: Entrez Gene: 150 Human Entrez Gene: 11551 Mouse Entrez Gene: 25083 Rat Entrez Gene: 266750 Zebrafish Omim: 104210 Human SwissProt: P08913 Human SwissProt: Q01338 Mouse SwissProt: P22909 Rat SwissProt: Q1L8Y8 Zebrafish SwissProt: Q90WY4 Zebrafish Unigene: 249159 Human Unigene: 235195 Mouse Unigene: 170171 Rat Unigene: 30878 Zebrafish Important Note: This product as supplied is intended for research use only, not for use in human, therapeutic or diagnostic applications. |
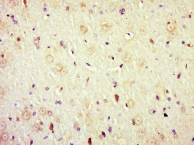
| 产品图片 | ![]() Sample: Kidney (Rat) Lysate at 30 ug Brain (Rat) Lysate at 30 ug Primary: Anti- ADRA2 (bs-1062R) at 1/200 dilution Secondary: HRP conjugated Goat-Anti-rabbit IgG (bs-0295G-HRP) at 1/3000 dilution Predicted band size: 50 kD Observed band size: 50 kD ![]() Paraformaldehyde-fixed, paraffin embedded (Rat brain); Antigen retrieval by boiling in sodium citrate buffer (pH6.0) for 15min; Block endogenous peroxidase by 3% hydrogen peroxide for 20 minutes; Blocking buffer (normal goat serum) at 37°C for 30min; Antibody incubation with (ADRA2) Polyclonal Antibody, Unconjugated (bs-1062R) at 1:500 overnight at 4°C, followed by a conjugated secondary (sp-0023) for 20 minutes and DAB staining. |
风险提示:丁香通仅作为第三方平台,为商家信息发布提供平台空间。用户咨询产品时请注意保护个人信息及财产安全,合理判断,谨慎选购商品,商家和用户对交易行为负责。对于医疗器械类产品,请先查证核实企业经营资质和医疗器械产品注册证情况。
文献和实验Generation of Antibody Molecules Through Antibody Engineering
been overcome to a large extent using genetic-engineering techniques to produce chimeric mouse/human and completely human antibodies. Such an approach is particularly suitable because of the domain structure of the antibody molecule ( 2 ), where functional
The importance of antibody molecules was first recognized in the 1890s, when it was shown that immunity to tetanus and diphtheria was caused by antibodies against the bacterial exotoxins (1 ). Around the same time, it was shown that antisera
General comments: Antibodies, like most proteins, do not like to be freeze-thawed. Avoid repetitive freezing of your solution. The best way to store your antibody is to keep a high protein concentration (>1 mg/ml), add some protease
技术资料暂无技术资料 索取技术资料










