相关产品推荐更多 >
万千商家帮你免费找货
0 人在求购买到急需产品
- 详细信息
- 文献和实验
- 技术资料
- 供应商:
上海康朗生物科技有限公司
- 库存:
大量
- 目录编号:
kl-10471R
- 克隆性:
多克隆
- 抗原来源:
Rabbit
- 保质期:
12个月
- 抗体英文名:
DYNC1I2 antibody
- 抗体名:
胞浆动力蛋白中间链2抗体
- 宿主:
Rabbit
- 适应物种:
Human, Mouse, Rat, Dog, Pig, Horse, Rabbit, Sheep,
- 免疫原:
KLH conjugated synthetic peptide derived from human DYNC1I2:61-160/638
- 亚型:
IgG
- 形态:
冻干粉或液体
- 应用范围:
ELISA=1:500-1000 IHC-P=1:400-800 IHC-F=1:400-800 ICC=1:100-500 IF=1:100-500
- 浓度:
1mg/ml
- 保存条件:
-20 °C
- 规格:
100ul 200ul
| 中文名称 | 胞浆动力蛋白中间链2抗体 |
| 别 名 | Cytoplasmic dynein 1 intermediate chain 2; Cytoplasmic dynein intermediate chain 2; Dynein intermediate chain 2, cytosolic; DH IC-2; DC1I2_HUMAN; DNCI2; DNCIC2; Dynein cytoplasmic intermediate polypeptide 2. |
| 规格价格 | 100ul/1380元 购买 200ul/2200元 购买 大包装/询价 |
| 说 明 书 | 100ul 200ul |
| 研究领域 | 细胞生物 神经生物学 信号转导 细胞粘附分子 细胞骨架 |
| 抗体来源 | Rabbit |
| 克隆类型 | Polyclonal |
| 交叉反应 | Human, Mouse, Rat, Dog, Pig, Horse, Rabbit, Sheep, |
| 产品应用 | ELISA=1:500-1000 IHC-P=1:400-800 IHC-F=1:400-800 ICC=1:100-500 IF=1:100-500 (石蜡切片需做抗原修复) not yet tested in other applications. optimal dilutions/concentrations should be determined by the end user. |
| 分 子 量 | 70kDa |
| 细胞定位 | 细胞浆 |
| 性 状 | Lyophilized or Liquid |
| 浓 度 | 1mg/ml |
| 免 疫 原 | KLH conjugated synthetic peptide derived from human DYNC1I2:61-160/638 |
| 亚 型 | IgG |
| 纯化方法 | affinity purified by Protein A |
| 储 存 液 | 0.01M TBS(pH7.4) with 1% BSA, 0.03% Proclin300 and 50% Glycerol. |
| 保存条件 | Store at -20 °C for one year. Avoid repeated freeze/thaw cycles. The lyophilized antibody is stable at room temperature for at least one month and for greater than a year when kept at -20°C. When reconstituted in sterile pH 7.4 0.01M PBS or diluent of antibody the antibody is stable for at least two weeks at 2-4 °C. |
| PubMed | PubMed |
| 产品介绍 | background: The inner- and outer-arm dyneins, which bridge between the doublet microtubules in axonemes, are the force-generating proteins responsible for the sliding movement in axonemes. The intermediate and light chains, thought to form the base of the dynein arm, help mediate attachment and may also participate in regulating dynein activity. This gene encodes an intermediate chain dynein, belonging to the large family of motor proteins. Mutations in this gene result in abnormal ciliary ultrastructure and function associated with primary ciliary dyskinesia (PCD) and Kartagener syndrome. [provided by RefSeq, Jul 2008]. Function: Acts as one of several non-catalytic accessory components of the cytoplasmic dynein 1 complex that are thought to be involved in linking dynein to cargos and to adapter proteins that regulate dynein function. Cytoplasmic dynein 1 acts as a motor for the intracellular retrograde motility of vesicles and organelles along microtubules. The intermediate chains mediate the binding of dynein to dynactin via its 150 kDa component (p150-glued) DCNT1. Involved in membrane-transport, such as Golgi apparatus, late endosomes and lysosomes. Subunit: Homodimer. The cytoplasmic dynein 1 complex consists of two catalytic heavy chains (HCs) and a number of non-catalytic subunits presented by intermediate chains (ICs), light intermediate chains (LICs) and light chains (LCs); the composition seems to vary in respect to the IC, LIC and LC composition. The heavy chain homodimer serves as a scaffold for the probable homodimeric assembly of the respective non-catalytic subunits. The ICs and LICs bind directly to the HC dimer and the LCs assemble on the IC dimer. Interacts with DYNLT1 and DYNLT3. Interacts with DCNT1. Interacts with human adenovirus 5 hexon protein; this interaction probably allows virus intracellular transport. Subcellular Location: Cytoplasm, cytoskeleton. Post-translational modifications: The phosphorylation status of Ser-90 appears to be involved in dynactin-dependent target binding. Similarity: Belongs to the dynein intermediate chain family. Contains 7 WD repeats. SWISS: Q13409 Gene ID: 1781 Database links: Entrez Gene: 1781 Human Entrez Gene: 13427 Mouse Entrez Gene: 116659 Rat Omim: 603331 Human SwissProt: Q13409 Human SwissProt: O88487 Mouse SwissProt: Q62871 Rat Unigene: 546250 Human Unigene: 249479 Mouse Unigene: 11014 Rat Important Note: This product as supplied is intended for research use only, not for use in human, therapeutic or diagnostic applications. |
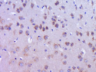
| 产品图片 | ![]() Paraformaldehyde-fixed, paraffin embedded (Mouse brain); Antigen retrieval by boiling in sodium citrate buffer (pH6.0) for 15min; Block endogenous peroxidase by 3% hydrogen peroxide for 20 minutes; Blocking buffer (normal goat serum) at 37°C for 30min; Antibody incubation with (DYNC1I2) Polyclonal Antibody, Unconjugated (bs-10471R) at 1:400 overnight at 4°C, followed by operating according to SP Kit(Rabbit) (sp-0023) instructionsand DAB staining. |
风险提示:丁香通仅作为第三方平台,为商家信息发布提供平台空间。用户咨询产品时请注意保护个人信息及财产安全,合理判断,谨慎选购商品,商家和用户对交易行为负责。对于医疗器械类产品,请先查证核实企业经营资质和医疗器械产品注册证情况。
文献和实验Generation of Antibody Molecules Through Antibody Engineering
been overcome to a large extent using genetic-engineering techniques to produce chimeric mouse/human and completely human antibodies. Such an approach is particularly suitable because of the domain structure of the antibody molecule ( 2 ), where functional
The importance of antibody molecules was first recognized in the 1890s, when it was shown that immunity to tetanus and diphtheria was caused by antibodies against the bacterial exotoxins (1 ). Around the same time, it was shown that antisera
General comments: Antibodies, like most proteins, do not like to be freeze-thawed. Avoid repetitive freezing of your solution. The best way to store your antibody is to keep a high protein concentration (>1 mg/ml), add some protease
技术资料暂无技术资料 索取技术资料











