相关产品推荐更多 >
万千商家帮你免费找货
0 人在求购买到急需产品
- 详细信息
- 文献和实验
- 技术资料
- 供应商:
上海康朗生物科技有限公司
- 库存:
大量
- 目录编号:
kl-0826R
- 克隆性:
多克隆
- 抗原来源:
Rabbit
- 保质期:
12个月
- 抗体英文名:
TTF1 antibody
- 抗体名:
甲状腺核转录因子-1抗体
- 宿主:
Rabbit
- 适应物种:
Human, Mouse, Rat,
- 免疫原:
KLH conjugated synthetic peptide derived from human TTF-1:201-300/372
- 亚型:
IgG
- 形态:
冻干粉或液体
- 应用范围:
WB=1:500-2000 IHC-P=1:400-800 IHC-F=1:400-800
- 浓度:
1mg/ml
- 保存条件:
-20 °C
- 规格:
50ul 100ul 200ul
| 中文名称 | 甲状腺核转录因子-1抗体 |
| 别 名 | AV026640; BCH; Benign chorea; BHC; Homeobox protein NK 2 homolog A; Homeobox protein NK-2 homolog A; Homeobox protein Nkx 2.1; Homeobox protein Nkx-2.1; Homeobox protein Nkx2.1; NK 2; NK 2 homolog A; NK2; NK2 homeobox 1; NK2, drosophila, homolog of, A; NK2.1, mouse, homolog of; Nkx 2 1; NKX 2.1; NKX 2A; NKX2 1; Nkx2-1; NKX2.1; NKX21_HUMAN; NKX2A; T EBP; T/EBP; TEBP; Thyroid nuclear factor 1; Thyroid nuclear factor; Thyroid specific enhancer binding protein; Thyroid transcription factor 1; Tin man; Tinman; TITF 1; TITF1; TTF 1; TTF-1; TTF1. |
![]() |
Specific References (2) | bs-0826R has been referenced in 2 publications. [IF=3.14] Huang, Huibin, et al. "Upregulation of thyroid transcription factor-1 and human leukocyte antigen class I in Hashimoto's disease providing a clinical evidence for possible triggering autoimmune reaction." European Journal of Endocrinology 164.5 (2011): 795-800. WB, IHC-P ; Human. PubMed:21343336 [IF=1.38] Vadasz, Stephanie, et al. "Second and third trimester amniotic fluid mesenchymal stem cells can repopulate a de-cellularized lung scaffold and express lung markers." Journal of Pediatric Surgery (2014). Human. PubMed:25475793 |
| 规格价格 | 50ul/780元 购买 100ul/1380元 购买 200ul/2200元 购买 大包装/询价 |
| 说 明 书 | 50ul 100ul 200ul |
| 研究领域 | 肿瘤 细胞生物 转录调节因子 表观遗传学 |
| 抗体来源 | Rabbit |
| 克隆类型 | Polyclonal |
| 交叉反应 | Human, Mouse, Rat, |
| 产品应用 | WB=1:500-2000 IHC-P=1:400-800 IHC-F=1:400-800 (石蜡切片需做抗原修复) not yet tested in other applications. optimal dilutions/concentrations should be determined by the end user. |
| 分 子 量 | 38kDa |
| 细胞定位 | 细胞核 |
| 性 状 | Lyophilized or Liquid |
| 浓 度 | 1mg/ml |
| 免 疫 原 | KLH conjugated synthetic peptide derived from human TTF-1:201-300/372 |
| 亚 型 | IgG |
| 纯化方法 | affinity purified by Protein A |
| 储 存 液 | 0.01M TBS(pH7.4) with 1% BSA, 0.03% Proclin300 and 50% Glycerol. |
| 保存条件 | Store at -20 °C for one year. Avoid repeated freeze/thaw cycles. The lyophilized antibody is stable at room temperature for at least one month and for greater than a year when kept at -20°C. When reconstituted in sterile pH 7.4 0.01M PBS or diluent of antibody the antibody is stable for at least two weeks at 2-4 °C. |
| PubMed | PubMed |
| 产品介绍 | background: This gene encodes a protein initially identified as a thyroid-specific transcription factor. The encoded protein binds to the thyroglobulin promoter and regulates the expression of thyroid-specific genes but has also been shown to regulate the expression of genes involved in morphogenesis. Mutations and deletions in this gene are associated with benign hereditary chorea, choreoathetosis, congenital hypothyroidism, and neonatal respiratory distress, and may be associated with thyroid cancer. Multiple transcript variants encoding different isoforms have been found for this gene. This gene shares the symbol/alias 'TFF1' with another gene, transcription termination factor 1, which plays a role in ribosomal gene transcription. [provided by RefSeq, Apr 2011] Function: Transcription factor that binds and activates the promoter of thyroid specific genes such as thyroglobulin, thyroperoxidase, and thyrotropin receptor. Crucial in the maintenance of the thyroid differentiation phenotype. May play a role in lung development and surfactant homeostasis. Subcellular Location: Nucleus. Tissue Specificity: Thyroid and lung. Post-translational modifications: Phosphorylated on serine residues by STK3. DISEASE: Chorea, hereditary benign (BHC) [MIM:118700]: A rare autosomal dominant movement disorder, defined by early onset in childhood, a stable or non-progressive course of chorea, and no mental deterioration. Chorea is characterized by involuntary, forcible, rapid, jerky movements that may be subtle or become confluent, markedly altering normal patterns of movement. Note=The disease is caused by mutations affecting the gene represented in this entry. Choreoathetosis and congenital hypothyroidism with or without pulmonary dysfunction (CAHTP) [MIM:610978]: An autosomal dominant disorder that manifests in infancy with neurological disturbances, hypothyroidism, and respiratory problems. It is characterized by movement abnormalities beginning with muscular hypotonia followed by the development of chorea, athetosis, dystonia, ataxia, and dysarthria. {ECO:0000269|PubMed:11854318, Note=The disease is caused by mutations affecting the gene represented in this entry. Similarity: Belongs to the NK-2 homeobox family. Contains 1 homeobox DNA-binding domain. SWISS: P43699 Gene ID: 7080 Database links: Entrez Gene: 7080 Human Entrez Gene: 21869 Mouse Entrez Gene: 25628 Rat Omim: 600635 Human SwissProt: P43699 Human SwissProt: P50220 Mouse SwissProt: P23441 Rat Unigene: 94367 Human Unigene: 89972 Mouse Unigene: 34265 Rat Important Note: This product as supplied is intended for research use only, not for use in human, therapeutic or diagnostic applications. 同源结构域蛋白(Homeodomain Proteins) TTF-1存在于肺和大脑的一些区域内;包括垂体,甲状旁腺和甲状腺旁细胞中也有表达。 TTF-1有调节甲状腺、肺和大脑的基因表达的功能。它在甲状腺中的分子靶点是甲状腺球蛋白、促甲状腺素受体和甲状腺过氧化酶。 TTF1在肺腺癌和肺神经内分泌肿瘤(包括有肺小细胞癌)中是较好的标记物之一。其特异性和敏感性都很高,可以用于区分肺原发性、继发性腺癌、小部分胃肠道腺癌等。 |
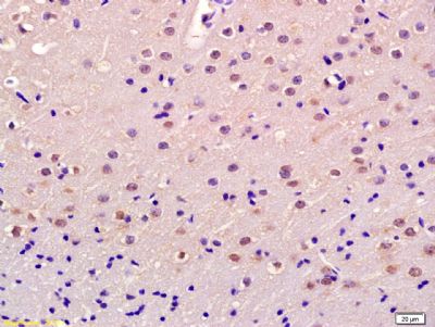
| 产品图片 | ![]() Sample: Spleen (Mouse) Lysate at 40 ug Primary: Anti-TTF1 (bs-0826R) at 1/300 dilution Secondary: IRDye800CW Goat Anti-Rabbit IgG at 1/20000 dilution Predicted band size: 38 kD Observed band size: 38 kD ![]() Tissue/cell: rat brain tissue; 4% Paraformaldehyde-fixed and paraffin-embedded; Antigen retrieval: citrate buffer ( 0.01M, pH 6.0 ), Boiling bathing for 15min; Block endogenous peroxidase by 3% Hydrogen peroxide for 30min; Blocking buffer (normal goat serum,C-0005) at 37∩ for 20 min; Incubation: Anti-TTF1/NKX2.1 Polyclonal Antibody, Unconjugated(bs-0826R) 1:200, overnight at 4∑C, followed by conjugation to the secondary antibody(SP-0023) and DAB(C-0010) staining ![]() PFA fixed A549 cells with Anti-TTF1 Polyclonal Antibody (bs-0826R) at 1:200 dilution, followed by conjugation to the secondary, Goat Anti-Rabbit IgG A488 1:100 for 30min. This data was generously submitted by an end user as part of our Bioss Discovery program. |
风险提示:丁香通仅作为第三方平台,为商家信息发布提供平台空间。用户咨询产品时请注意保护个人信息及财产安全,合理判断,谨慎选购商品,商家和用户对交易行为负责。对于医疗器械类产品,请先查证核实企业经营资质和医疗器械产品注册证情况。
文献和实验Generation of Antibody Molecules Through Antibody Engineering
been overcome to a large extent using genetic-engineering techniques to produce chimeric mouse/human and completely human antibodies. Such an approach is particularly suitable because of the domain structure of the antibody molecule ( 2 ), where functional
The importance of antibody molecules was first recognized in the 1890s, when it was shown that immunity to tetanus and diphtheria was caused by antibodies against the bacterial exotoxins (1 ). Around the same time, it was shown that antisera
General comments: Antibodies, like most proteins, do not like to be freeze-thawed. Avoid repetitive freezing of your solution. The best way to store your antibody is to keep a high protein concentration (>1 mg/ml), add some protease
技术资料暂无技术资料 索取技术资料














