相关产品推荐更多 >
万千商家帮你免费找货
0 人在求购买到急需产品
- 详细信息
- 询价记录
- 文献和实验
- 技术资料
- 供应商:
上海康朗生物科技有限公司
- 库存:
大量
- 目录编号:
kl-0747R
- 克隆性:
多克隆
- 抗原来源:
Rabbit
- 保质期:
12个月
- 抗体英文名:
RANKL/CD254 antibody
- 抗体名:
骨保护蛋白配体/破骨细胞分化因子抗体
- 宿主:
Rabbit
- 适应物种:
Human, Mouse, Rat, Dog,
- 免疫原:
KLH conjugated synthetic peptide derived from human OPGL:210-317/317
- 亚型:
IgG
- 形态:
冻干粉或液体
- 应用范围:
WB=1:500-2000 ELISA=1:500-1000 IHC-P=1:400-800 IHC-F=1:400-800 Flow-Cyt=1μg/Test IF=1:100-500
- 浓度:
1mg/ml
- 保存条件:
-20 °C
- 规格:
50ul 100ul 200ul
| 中文名称 | 骨保护蛋白配体/破骨细胞分化因子抗体 |
| 别 名 | OPGL; CD254; hRANKL2; ODF; OPGL; Osteoclast differentiation factor; Osteoprotegerin ligand; RANKL; Receptor activator of nuclear factor kappa B ligand; sOdf; SOFA; TNF related activation induced cytokine; TNFSF 11; TNFSF11; TRANCE; Tumor necrosis factor ligand superfamily member 11; Osteoprotegerin Ligand; TNF11_HUMAN. |
![]() |
Specific References (15) | bs-0747R has been referenced in 15 publications. [IF=1.77] Li, Ping. "Efficacy and Safety of Echinacoside in a Rat Osteopenia Model." Evidence-Based Complementary and Alternative Medicine 2013 (2013). Rat. PubMed:23573159 [IF=1.68] Sun, Jiabing, et al. "A Crucial Role of IL-17 in Bone Resorption During Rejection of Fresh Bone Xenotransplantation in Rats." Cell Biochemistry and Biophysics: 1-7. IHC-P ; Rat. PubMed:25331672 [IF=1.98] Yu, Xijiao, et al. "Expression of neuropeptides and bone remodeling-related factors during periodontal tissue regeneration in denervated rats." Journal of Molecular Histology: 1-9. WB ; Rat. PubMed:25663522 [IF=2.38] Zhu, Wenjing, et al. "Effect of PI3K/Akt Signaling Pathway on the Process of Prostate Cancer Metastasis to Bone." Cell Biochemistry and Biophysics (2015): 1-7. WB ; Human. PubMed:22870197 [IF=2.84] Ota, Takehiro, et al. "Expression of colony-stimulating factor 1 is associated with occurrence of osteochondral change in pigmented villonodular synovitis."Tumor Biology (2015): 1-7. IHC-P ; Human. PubMed:25854167 [IF=1.88] Li, Xianxian, et al. "Oral administration of 5-Hydroxytryptophan aggravated periodontitis-induced alveolar bone loss in rats." Archives of Oral Biology(2015). IHC-P ; Rat. PubMed:25766472 [IF=0.94] Zhang, Yuanyu, et al. "Mycobacterium tuberculosis 10-kDa co-chaperonin regulates the expression levels of receptor activator of nuclear factor-κB ligand and osteoprotegerin in human osteoblasts." Experimental and Therapeutic Medicine. WB ; Human. PubMed:25667654 [IF=2.09] Chen, Zhiguang, et al. "Curcumin alleviates glucocorticoid-induced osteoporosis through the regulation of the Wnt signaling pathway."International Journal of Molecular Medicine. WB ; Rat. PubMed:26677102 [IF=2.68] Xiao, Wanan, et al. "Bone fracture healing is delayed in splenectomic rats." Life Sciences (2016). WB ; Rat. PubMed:27956350 [IF=2.62] Zhang, Xiaonan, et al. "Ginsenosides Rg3 attenuates glucocorticoid-induced osteoporosis through regulating BMP-2/BMPR1A/Runx2 signaling pathway." Chemico-Biological Interactions 256 (2016): 188-197. WB ; Rat. PubMed:27387537 [IF=1.69] Dolci, Gabriel Schmidt, et al. "Atorvastatin-induced osteoclast inhibition reduces orthodontic relapse." American Journal of Orthodontics and Dentofacial Orthopedics 151.3 (2017): 528-538. IHC-P ; Rat. PubMed:28257738 [IF=1.56] He, Ming, et al. "Effect of glucocorticoids on osteoclast function in a mouse model of bone necrosis." Molecular medicine reports 14.2 (2016): 1054-1060. Mouse. PubMed:27277157 [IF=2.66] Yu, X., et al. "Denervation effectively aggravates rat experimental periodontitis." Journal of Periodontal Research (2017). WB ; Rat. PubMed:28621056 [IF=3.08] Zhan, Fu‐Liang, Xin‐Yang Liu, and Xing‐Bo Wang. "The Role of MicroRNA‐143‐5p in the Differentiation of Dental Pulp Stem Cells into Odontoblasts by Targeting Runx2 via the OPG/RANKL Signaling Pathway." Journal of Cellular Biochemistry (2017). WB ; Human. PubMed:28608628 [IF=1.75] Chen, Helin, et al. "Intermittent administration of parathyroid hormone ameliorated alveolar bone loss in experimental periodontitis in streptozotocin-induced diabetic rats." Archives of Oral Biology (2017). IHC-P ; Rat. PubMed:28732226 |
| 规格价格 | 50ul/780元 购买 100ul/1380元 购买 200ul/2200元 购买 大包装/询价 |
| 说 明 书 | 50ul 100ul 200ul |
| 研究领域 | 肿瘤 细胞生物 免疫学 发育生物学 |
| 抗体来源 | Rabbit |
| 克隆类型 | Polyclonal |
| 交叉反应 | Human, Mouse, Rat, Dog, |
| 产品应用 | WB=1:500-2000 ELISA=1:500-1000 IHC-P=1:400-800 IHC-F=1:400-800 Flow-Cyt=1μg/Test IF=1:100-500 (石蜡切片需做抗原修复) not yet tested in other applications. optimal dilutions/concentrations should be determined by the end user. |
| 分 子 量 | 35kDa |
| 细胞定位 | 细胞浆 细胞膜 分泌型蛋白 |
| 性 状 | Lyophilized or Liquid |
| 浓 度 | 1mg/ml |
| 免 疫 原 | KLH conjugated synthetic peptide derived from human OPGL:210-317/317 |
| 亚 型 | IgG |
| 纯化方法 | affinity purified by Protein A |
| 储 存 液 | 0.01M TBS(pH7.4) with 1% BSA, 0.03% Proclin300 and 50% Glycerol. |
| 保存条件 | Store at -20 °C for one year. Avoid repeated freeze/thaw cycles. The lyophilized antibody is stable at room temperature for at least one month and for greater than a year when kept at -20°C. When reconstituted in sterile pH 7.4 0.01M PBS or diluent of antibody the antibody is stable for at least two weeks at 2-4 °C. |
| PubMed | PubMed |
| 产品介绍 | background: This gene encodes a member of the tumor necrosis factor (TNF) cytokine family which is a ligand for osteoprotegerin and functions as a key factor for osteoclast differentiation and activation. This protein was shown to be a dentritic cell survival factor and is involved in the regulation of T cell-dependent immune response. T cell activation was reported to induce expression of this gene and lead to an increase of osteoclastogenesis and bone loss. This protein was shown to activate antiapoptotic kinase AKT/PKB through a signaling complex involving SRC kinase and tumor necrosis factor receptor-associated factor (TRAF) 6, which indicated this protein may have a role in the regulation of cell apoptosis. Targeted disruption of the related gene in mice led to severe osteopetrosis and a lack of osteoclasts. The deficient mice exhibited defects in early differentiation of T and B lymphocytes, and failed to form lobulo-alveolar mammary structures during pregnancy. Two alternatively spliced transcript variants have been found. [provided by RefSeq, Jul 2008]. Function: Cytokine that binds to TNFRSF11B/OPG and to TNFRSF11A/RANK. Osteoclast differentiation and activation factor. Augments the ability of dendritic cells to stimulate naive T-cell proliferation. May be an important regulator of interactions between T-cells and dendritic cells and may play a role in the regulation of the T-cell-dependent immune response. May also play an important role in enhanced bone-resorption in humoral hypercalcemia of malignancy. Subcellular Location: Cytoplasm; Secreted and Cell membrane. Tissue Specificity: Highest in the peripheral lymph nodes, weak in spleen, peripheral blood Leukocytes, bone marrow, heart, placenta, skeletal muscle, stomach and thyroid. Post-translational modifications: The soluble form of isoform 1 derives from the membrane form by proteolytic processing. The cleavage may be catalyzed by ADAM17. DISEASE: Defects in TNFSF11 are the cause of osteopetrosis autosomal recessive type 2 (OPTB2) [MIM:259710]; also known as osteoclast-poor osteopetrosis. Osteopetrosis is a rare genetic disease characterized by abnormally dense bone, due to defective resorption of immature bone. The disorder occurs in two forms: a severe autosomal recessive form occurring in utero, infancy, or childhood, and a benign autosomal dominant form occurring in adolescence or adulthood. Autosomal recessive osteopetrosis is usually associated with normal or elevated amount of non-functional osteoclasts. OPTB2 is characterized by paucity of osteoclasts, suggesting a molecular defect in osteoclast development. Similarity: Belongs to the tumor necrosis factor family. SWISS: O14788 Gene ID: 8600 Database links: Entrez Gene: 8600 Human Entrez Gene: 21943 Mouse Omim: 602642 Human SwissProt: O14788 Human SwissProt: O35235 Mouse Unigene: 333791 Human Unigene: 249221 Mouse Important Note: This product as supplied is intended for research use only, not for use in human, therapeutic or diagnostic applications. OPGL骨保护蛋白配体又称骨保护素配体(破骨细胞发育刺激因子)。属肿瘤坏死因子TNF-a家族。 OPGL促进破骨细胞的分化和活性,而OPG抑制这些过程。骨髓瘤细胞影响骨髓中这两种蛋白的生理平衡,是发生溶骨性病变的根本所在。 |
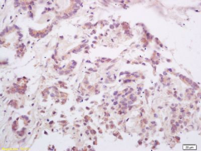
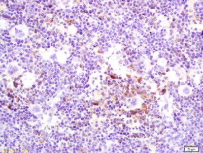
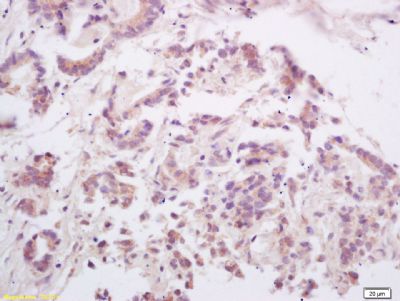
| 产品图片 | ![]() Sample: HUVEC-C Cell (Human) Lysate at 40 ug HepG2 Cell (Human) Lysate at 40 ug Primary: Anti-RANKL/CD254 (bs-0747R)at 1/300 dilution Secondary: IRDye800CW Goat Anti-Rabbit IgG at 1/20000 dilution Predicted band size: 35kD Observed band size: 50kD ![]() Tissue/cell: mouse spleen tissue; 4% Paraformaldehyde-fixed and paraffin-embedded; Antigen retrieval: citrate buffer ( 0.01M, pH 6.0 ), Boiling bathing for 15min; Block endogenous peroxidase by 3% Hydrogen peroxide for 30min; Blocking buffer (normal goat serum,C-0005) at 37℃ for 20 min; Incubation: Anti-OPGL/RANKL/ODF Polyclonal Antibody, Unconjugated(bs-0747R) 1:200, overnight at 4°C, followed by conjugation to the secondary antibody(SP-0023) and DAB(C-0010) staining ![]() Tissue/cell: human gastric carcinoma; 4% Paraformaldehyde-fixed and paraffin-embedded; Antigen retrieval: citrate buffer ( 0.01M, pH 6.0 ), Boiling bathing for 15min; Block endogenous peroxidase by 3% Hydrogen peroxide for 30min; Blocking buffer (normal goat serum,C-0005) at 37℃ for 20 min; Incubation: Anti-OPGL/RANKL/ODF Polyclonal Antibody, Unconjugated(bs-0747R) 1:200, overnight at 4°C, followed by conjugation to the secondary antibody(SP-0023) and DAB(C-0010) staining ![]() Blank control: mouse splenocytes(blue) Isotype Control Antibody: Rabbit IgG(orange) ; Secondary Antibody: Goat anti-rabbit IgG-FITC(white blue), Dilution: 1:100 in 1 X PBS containing 0.5% BSA ; Primary Antibody Dilution: 1μl in 100 μL1X PBS containing 0.5% BSA(green). |
风险提示:丁香通仅作为第三方平台,为商家信息发布提供平台空间。用户咨询产品时请注意保护个人信息及财产安全,合理判断,谨慎选购商品,商家和用户对交易行为负责。对于医疗器械类产品,请先查证核实企业经营资质和医疗器械产品注册证情况。
- 作者
- 内容
- 询问日期
文献和实验Generation of Antibody Molecules Through Antibody Engineering
been overcome to a large extent using genetic-engineering techniques to produce chimeric mouse/human and completely human antibodies. Such an approach is particularly suitable because of the domain structure of the antibody molecule ( 2 ), where functional
The importance of antibody molecules was first recognized in the 1890s, when it was shown that immunity to tetanus and diphtheria was caused by antibodies against the bacterial exotoxins (1 ). Around the same time, it was shown that antisera
General comments: Antibodies, like most proteins, do not like to be freeze-thawed. Avoid repetitive freezing of your solution. The best way to store your antibody is to keep a high protein concentration (>1 mg/ml), add some protease
技术资料暂无技术资料 索取技术资料















