相关产品推荐更多 >
万千商家帮你免费找货
0 人在求购买到急需产品
- 详细信息
- 技术资料
- 供应商:
上海康朗生物科技有限公司
- 库存:
大量
- 目录编号:
kl-0608R
- 克隆性:
多克隆
- 抗原来源:
Rabbit
- 保质期:
12个月
- 抗体英文名:
ICAM1/CD54 antibody
- 抗体名:
细胞间粘附分子-1抗体
- 宿主:
Rabbit
- 适应物种:
Human, Mouse, Rat,
- 免疫原:
KLH conjugated synthetic peptide derived from human CD54:201-300/537 <Extracellular>
- 亚型:
IgG
- 形态:
冻干粉或液体
- 应用范围:
WB=1:500-2000 ELISA=1:500-1000 IHC-P=1:400-800 IHC-F=1:400-800 Flow-Cyt=1μg/Test ICC=1:100-500 IF=1:100-500
- 浓度:
1mg/ml
- 保存条件:
-20 °C
- 规格:
50ul 100ul 200ul
ICAM1/CD54 antibody
| 中文名称 | 细胞间粘附分子-1抗体 |
| 别 名 | BB2; CD54 antigen; CD54; ICAM1; ICAM 1; ICAM-1; Cell surface glycoprotein P3.58; Human rhinovirus receptor; Intercellular adhesion molecule 1; Major group rhinovirus receptor; MALA2; MyD10; P3.58; Surface antigen of activated B cells; ICAM1_HUMAN; MALA-2; MyD10; intercellular adhesion molecule 1 precursor; intercellular adhesion molecule 1 (CD54), human rhinovirus receptor; major group rhinovirus receptor. |
![]() |
Specific References (11) | bs-0608R has been referenced in 11 publications.
|
| 规格价格 | 50ul/780元 购买 100ul/1380元 购买 200ul/2200元 购买 大包装/询价 |
| 说 明 书 | 50ul 100ul 200ul |
| 研究领域 | 肿瘤 细胞生物 免疫学 信号转导 干细胞 细胞膜受体 细胞粘附分子 细胞表面分子 糖蛋白 细胞类型标志物 t-淋巴细胞 b-淋巴细胞 |
| 抗体来源 | Rabbit |
| 克隆类型 | Polyclonal |
| 交叉反应 | Human, Mouse, Rat, |
| 产品应用 | WB=1:500-2000 ELISA=1:500-1000 IHC-P=1:400-800 IHC-F=1:400-800 Flow-Cyt=1μg/Test ICC=1:100-500 IF=1:100-500 (石蜡切片需做抗原修复) not yet tested in other applications. optimal dilutions/concentrations should be determined by the end user. |
| 分 子 量 | 56kDa |
| 细胞定位 | 细胞膜 |
| 性 状 | Lyophilized or Liquid |
| 浓 度 | 1mg/ml |
| 免 疫 原 | KLH conjugated synthetic peptide derived from human CD54:201-300/537 <Extracellular> |
| 亚 型 | IgG |
| 纯化方法 | affinity purified by Protein A |
| 储 存 液 | 0.01M TBS(pH7.4) with 1% BSA, 0.03% Proclin300 and 50% Glycerol. |
| 保存条件 | Store at -20 °C for one year. Avoid repeated freeze/thaw cycles. The lyophilized antibody is stable at room temperature for at least one month and for greater than a year when kept at -20°C. When reconstituted in sterile pH 7.4 0.01M PBS or diluent of antibody the antibody is stable for at least two weeks at 2-4 °C. |
| PubMed | PubMed |
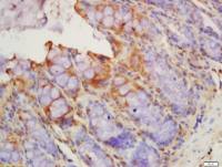
| 产品介绍 | background: This gene encodes a cell surface glycoprotein which is typically expressed on endothelial cells and cells of the immune system. It binds to integrins of type CD11a / CD18, or CD11b / CD18 and is also exploited by Rhinovirus as a receptor. [provided by RefSeq, Jul 2008]. Function: ICAM proteins are ligands for the leukocyte adhesion protein LFA-1 (integrin alpha-L/beta-2). During leukocyte trans-endothelial migration, ICAM1 engagement promotes the assembly of endothelial apical cups through ARHGEF26/SGEF and RHOG activation. In case of rhinovirus infection acts as a cellular receptor for the virus. Subunit: Homodimer (Probable). Interacts with human herpesvirus 8 MIR2 protein (Probable). Interacts with MUC1 and promotes cell aggregation in epithelial cells. Interacts with ARHGEF26/SGEF. Binds to coxsackievirus A21 capsid proteins and acts as a receptor for this virus. Subcellular Location: Membrane; Single-pass type I membrane protein. Post-translational modifications: Monoubiquitinated, which is promoted by MARCH9 and leads to endocytosis. Similarity: Belongs to the immunoglobulin superfamily. ICAM family. ontains 5 Ig-like C2-type (immunoglobulin-like) domains. SWISS: P13597 Gene ID: 3383 Database links: Entrez Gene: 3383 Human Entrez Gene: 15894 Mouse Entrez Gene: 25464 Rat Omim: 147840 Human Unigene: 643447 Human SwissProt: P05362 Human SwissProt: P13597 Mouse SwissProt: Q00238 Rat Unigene: 435508 Mouse Unigene: 12 Rat Important Note: This product as supplied is intended for research use only, not for use in human, therapeutic or diagnostic applications. CD54(ICAM-1)是分子量为60-110KD的膜型糖蛋白,表达于单核和内皮细胞。许多细胞如B或T淋巴细胞、胸腺细胞、纤维母细胞和上皮细胞都可诱导表达CD54,在调节免疫和炎症反应中CD54有重要作用。 |
| 产品图片 |
Sample:
Hela(Human) Cell Lysate at 30 ug Hela KO ICAM1 (Human) Cell Lysate at 30 ug Primary: Anti-ICAM1/CD54 (bs-0608R) at 1/1000 dilution Secondary: IRDye800CW Goat Anti-Rabbit IgG at 1/20000 dilution Predicted band size: 56 kD Observed band size: 56 kD
Sample:
Lymph node (Mouse) Lysate at 40 ug Primary: Anti-ICAM1 (bs-0608R) at 1/300 dilution Secondary: IRDye800CW Goat Anti-Rabbit IgG at 1/20000 dilution Predicted band size: 56 kD Observed band size: 56 kD
Sample:
A549(Human) Cell Lysate at 30 ug Primary: Anti-ICAM1 (bs-0608R) at 1/300 dilution Secondary: IRDye800CW Goat Anti-Rabbit IgG at 1/20000 dilution Predicted band size: 56 kD Observed band size: 56/69 kD
Sample:
Lung (Mouse) Lysate at 40 ug Primary: Anti-ICAM1 (bs-0608R) at 1/300 dilution Secondary: IRDye800CW Goat Anti-Rabbit IgG at 1/20000 dilution Predicted band size: 56 kD Observed band size: 56/69 kD
Sample:
Raji(Human) Cell Lysate at 30 ug Primary: Anti-CD54 (bs-0608R) at 1/1000 dilution Secondary: IRDye800CW Goat Anti-Rabbit IgG at 1/20000 dilution Predicted band size: 56 kD Observed band size: 56 kD
Sample:
Spleen (Mouse) Lysate at 40 ug Primary: Anti-ICAM1 (bs-0608R) at 1/300 dilution Secondary: IRDye800CW Goat Anti-Rabbit IgG at 1/20000 dilution Predicted band size: 56 kD Observed band size: 56/69 kD |
风险提示:丁香通仅作为第三方平台,为商家信息发布提供平台空间。用户咨询产品时请注意保护个人信息及财产安全,合理判断,谨慎选购商品,商家和用户对交易行为负责。对于医疗器械类产品,请先查证核实企业经营资质和医疗器械产品注册证情况。
技术资料暂无技术资料 索取技术资料
ICAM1/CD54 antibody
¥780 - 2200
















