相关产品推荐更多 >
万千商家帮你免费找货
0 人在求购买到急需产品
- 详细信息
- 文献和实验
- 技术资料
- 库存:
749
- 英文名:
Recombinant Mouse Low Affinity Immunoglobulin Gamma Fc Region Receptor II
- 保质期:
长期
- 供应商:
北京百奥莱博科技有限公司
- 保存条件:
冻干蛋白置于-20℃
特别声明:本产品及我公司所售其他产品均为科研类试剂产品,严禁用于药物、医疗及其他非科研用途。
北京百奥莱博专注于生命科学和生物技术领域,致力于为客户提供包括重组小鼠CD32(FCGR2)销*(代"售")在内的一系列分子生物学试剂产品,并提供一系列相关的技术服务。
名称:重组小鼠CD32(FCGR2)销*(代"售")
品牌:百奥莱博
英文名:Recombinant Mouse Low Affinity Immunoglobulin Gamma Fc Region Receptor II
规格:10μg|50μg|500μg|1mg
本品由我们的哺乳动物细胞表达系统制备而成,目的基因编码的Thr30-Pro210在C端含有His标签。
CD32/FCGR2质量控制:>95%(还原性SDS-PAGE)
CD32/FCGR2制剂:冻干品
CD32/FCGR2保存:
冻干蛋白置于-20℃以下可长期保存,室温条件下可稳定保存3周。
复溶蛋白溶液可在4~7℃保存2~7天,可分装后置于-20℃保存三个月。
CD32/FCGR2复溶:
打开试剂管前请先离心。
复溶浓度推荐大于100 μg/ml。
冻干蛋白请溶于ddH2O。
复溶后,请根据用量分装冻存,避免反复冻融。
关于CD32/FCGR2:
Low affinity immunoglobulin gamma Fc region receptor II (CD32B) is asingle-pass type I membrane protein and contains 2 Ig-like C2-type (immunoglobulin-like) domains. The inhibitory CD32B is expressed on B cells and myeloid dendritic cells. Ligation of CD32B on B cells downregulates antibody production and may, in some circumstances, promote apoptosis. Co-ligation of CD32B on dendritic cells inhibits maturation and blocks cell activation. CD32B may also be a target formonoclonal antibody therapy for malignancies.
欲了解更多重组小鼠CD32(FCGR2)销*(代"售")的品牌、产地、价格及说明书等产品信息,请致电北京百奥莱博科技有限公司,我们将竭诚为您服务,另外,以下产品正在火爆促销:
·2×Hot Start Taq PCR MasterMix
编号:JN0038
规格:1ml×5
本制品是将PCR反应所需的HotStart Taq酶、dNTP混合物、MgCl2 以及反应缓冲液预先配制成2倍浓度的混合物。使用时只需加入模板和引物并稀释到1倍浓度即可进行PCR反应,大大地简化了操作过程,减少了PCR操作过程中的污染。本制品所使用的HotStart Taq是经特殊工艺处理后的Taq酶,在加热至高温前,其聚合酶活性被抑制,从而抑制低温条件下由引物的非特异性退火或引物二聚体引起的非特异性扩增。使用本制品扩增得到的PCR产物具有3´端"A"突出,因此可直接克隆于T载体中。
产品特点:
1、简便:与常规热启动Taq酶反应条件一致,无需改变扩增程序。
2、高效:有效减少了杂带及拖带产生,从而实现高特异性的PCR。
3、灵敏:可从0.05ng人基因组DNA模板中扩增出特定基因片段(图例二)。
4、稳定:经测试,反复冻融40次后,扩增性能仍不受影响。
5、快捷:PCR反应所必需试剂全集于一管之中,数分钟即可完成反应体系配制。
产品用途:
1、高特异性PCR反应;
2、复杂模板扩增;
3、Multiplex PCR;
4、基因组扩增检测。
应用实例:

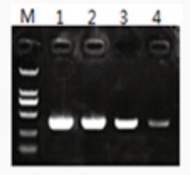
图例一)50μl扩增体系中,以50ng人基因组DNA为模板,2×Hot Start Taq可对特定基因片段(170bp)进行高特异性扩增。
泳道M:DNA 2000 Ladder; 泳道1,2:普通Taq酶 1.25U; 泳道3,4: HotStart Taq酶,1.25U

图例二) 50μ l 扩增体系中,分别以50ng~0.05ng人基因组DNA为模板, 可对特定基因片段(380bp)进行很好 的扩增。
泳道1:50ng; 泳道2:5ng; 泳道3:0.5ng; 泳道4:0.05ng;泳道M:DNA 2000 Ladder
常用反应体系(50μl):
| 组分 | 体积 |
| 2×PCR MasterMix* | 25μl |
| 上游引物 | 0.2-1.0μM(终浓度) |
| 下游引物 | 0.2-1.0μM(终浓度) |
| 模板 | 1-50ng(质粒) |
| 10ng-1μg(基因组) | |
| ddH2O | 至50μl |
| *Mg2+终浓度为2mM | |
常用PCR循环:
| 当扩增片段<3K: | |
| 94℃ | 10分钟 |
| 30次循环 | 94℃,30秒 57℃,30秒 72℃根据产物长度调整,60秒/kb |
| 72℃ | 5分钟 |
| 4℃ | 保温 |
| 当扩增片段≥3K(推荐引物长度≥30bp): | |
| 94℃ | 10分钟 |
| 30次循环 | 94℃,5秒 68℃根据产物长度调整,60秒/kb |
| 72℃ | 5分钟 |
| 4℃ | 保温 |
PCR MasterMix选购指南:
| 编号 | 产品名称 | 特点 |
| 适用于菌落鉴定、菌液鉴定及常规PCR鉴定实验的Mix系列 | ||
| JN0030 | 2×Taq PCR MasterMix | 高性价比PCR Mix,使用简便,扩增灵敏度高 |
| JN0034 | 2×Complex Taq PCR MasterMix | JN0030改进版,性能更均衡,适用面更广 |
| JN0040 | 2×Fast Taq PCR MasterMix | 最快速的PCR试剂,常规PCR鉴定45分钟内知道结果 |
| JN0035 | 2×RoomTop Taq PCR MasterMix | 可放在手边的PCR试剂,室温稳定存放60天 |
| JN0036 | 2×RoomTop Fast Taq PCR MasterMix | 室温稳定存放60天,高速PCR试剂,常规PCR鉴定45分钟内知道结果 |
| 适用于一些较难扩增的PCR条带的鉴定及短片段克隆 | ||
| JN0032 | 2×Taq Plus PCR MasterMix | 扩增效率更高及较好的保真度 |
| JN0038 | 2×Hot Start Taq PCR MasterMix | 采用热启动Taq,可获得很好的特异性 |
| JN0041 | 2×Ultra Taq PCR MasterMix | 高速扩增酶,优化配方,解决PCR扩增难题的,灵敏度高 |
| 高保真酶试剂,适用于长片段基因克隆 | ||
| JN0031 | 2×Pfu PCR MasterMix | 采用高保真酶,适用于基因克隆 |
| JN0043 | 2×Fast Pfu PCR MasterMix | 采用改良型高保真酶,更好的扩增效果,4倍扩增速度;扩增迅速 |
| 防止PCR产物二次污染、极高检测灵敏度的PCR试剂 | ||
| JN0047 | 2×PCR MasterMix(防污染) | 采用dUTP/UDG酶系统,从根本上杜绝PCR产物二次污染 |
| JN0033 | 2×Genotyping PCR Kit(nomal) | 极高检测灵敏度,可达到普通PCR试剂102至104倍扩增灵敏度 |
PCR MasterMix性能对比表:
| 名称 | 编号 | 扩增时间 | 扩增长度 | 是否有3"-A | 基因组扩增 |
| 2×Taq PCR MasterMix | JN0030 | 1min/kb | ≤8kb | √ | + |
| 2×RoomTop Taq PCR MasterMix | JN0035 | 1min/kb | ≤8kb | √ | ++ |
| 2×Complex Taq PCR MasterMix | JN0034 | 1min/kb | ≤8kb | √ | + |
| 2×Fast Taq PCR MasterMix | JN0040 | 15s/kb | ≤8kb | √ | + |
| 2×RoomTop Fast Taq PCR MasterMix | JN0036 | 15s/kb | ≤8kb | √ | ++ |
| 2×Ultra Taq PCR MasterMix | JN0041 | 15s/kb | ≤8kb | √ | +++ |
| 2×Taq Plus PCR MasterMix | JN0032 | 1min/kb | ≤20kb | √ | ++++ |
| 2×Ultra Taq Plus PCR MasterMix | JN0042 | 15s/kb | ≤30kb | √ | ++++ |
| 2×Hot Start Taq PCR MasterMix | JN0038 | 1min/kb | ≤8kb | √ | ++++ |
| 2×Hot Start Taq Plus PCR MasterMix | JN0039 | 1min/kb | ≤20kb | √ | ++++ |
| 2×Pfu PCR MasterMix | JN0031 | 1min/kb | ≤6kb | × | + |
| 2×Fast Pfu PCR MasterMix | JN0043 | 30min/kb | ≤12kb | × | + |
| 2×SYBR Green Realtime PCR MasterMix | JN0049 | 1min/kb | ≤8kb | √ | ++ |
| 2×Genotyping PCR Kit(Normal) | JN0033 | 1min/kb | ≤8kb | √ | +++++ |
| 2×Genotyping PCR Kit(Fast) | JN0044 | 15s/kb | ≤8kb | √ | +++++ |
| 2×PCR MasterMix(防污染) | JN0047 | 1min/kb | ≤8kb | √ | + |
重组小鼠CD32(FCGR2)销*(代"售")关键词:重组CD32,重组小鼠CD32,重组小鼠FCGR2,重组小鼠CD32蛋白,JN1879
·DNA聚合酶I(大肠杆菌)
编号:JN0075
英文名称:DNA Polymerase I
规格:250U
本品是依赖于 DNA 的 DNA Polymerase,具有双链特异性的5′→3′外切核酸酶活性以及单链特异性的3′→5′外切核酸酶的活性。该酶的 5´→3´核酸外切酶活性能够切除位于延伸链前端的核苷酸,从而使切刻平移成为可能。
产品用途:DNA 切刻平移(DNase I一起使用);cDNA第二条链的合成。
使用建议:
1、不含内切酶活性,单独使用不表现切口平移活性。
2、由于同 DNA 有较强的亲和性,过量使用易发生凝集作用(Aggregation),会使反应不能充分进行。
质量保证:经多次柱纯化,SDS-PAGE胶检测仅可见清晰单一的目的条带;PCR方法检测无大肠杆菌DNA残留,无核酸内、外切酶污染。
活性定义:以合成的Poly d(A-T)DNA为模板/引物,在37℃、pH7.4的条件下,30分钟内使10nmol的全核苷酸掺入酸不溶性沉淀物所需要的酶量定义为1个活性单位。
热失活:75℃,20分钟。
·重组人玻连蛋白(Vitronectin)
编号:JN0549
英文名称:Recombinant Human Vitronectin
规格:10μg|50μg|500μg|1mg
本品由我们的哺乳动物细胞表达系统制备而成,目的基因编码的Asp20-Leu478在C端含有His标签。
Vitronectin质量控制:>95%(还原性SDS-PAGE)
Vitronectin制剂:冻干品
Vitronectin保存:
冻干蛋白置于-20℃以下可长期保存,室温条件下可稳定保存3周。
复溶蛋白溶液可在4~7℃保存2~7天,可分装后置于-20℃保存三个月。
Vitronectin复溶:
打开试剂管前请先离心。
复溶浓度推荐大于100 μg/ml。
冻干蛋白请溶于ddH2O。
复溶后,请根据用量分装冻存,避免反复冻融。
关于Vitronectin:
Human Vitronectin/VTN is a cell adhesion and spreading factor. It can be found in the blood and the extracellular matrix (ECM). Vitronectin interacts with glycosaminoglycans and proteoglycans. The multimeric Vitronectin can efficiently bind to and incorporate into the ECM; Vitronectin can support cell adhesion through binding to various integrins and other proteoglycans. Vitronectin can be recognized by certain members of the integrin family and serves as a cell-to-substrate adhesion molecular. It can as a inhibitor of the membrane-damaging effect of the terminal cytolytic complement pathway. Vitronectin contains an endogenous cleavage site, plus cleavage sites for elastase, thrombin, and plasmin.
重组小鼠CD32(FCGR2)销*(代"售")关键词:重组CD32,重组小鼠CD32,重组小鼠FCGR2,重组小鼠CD32蛋白,JN1879
BL1274 4×蛋白上样缓冲液(含DTT)
无菌山梨醇-磷酸盐溶液(pH7.5) 1.2mol/L 100ml
ARB12949 小鼠血浆α颗粒膜蛋白(GMP-140)含量检测 Mouse alpha-granular membrane protein,gmp-140 ELISA KIT
盐*(代"酸")*丙林 Arginine Sepharose 4B 137-88-2
ARB10433 人甲状旁腺激素(PTH)elisa测定使用说明书 Human paRathyroid hormone,pth ELISA KIT
PY02-088 马丁氏肉汤 250克
DP322 口腔拭子基因组提取试剂盒
ARB10283 人上皮细胞粘附分子(Ep-CAM/CD362)尿液中含量检测 Human epithelial cell adhesion molecule,ep-cam ELISA KIT
SDS-PAGE凝胶快速配制试剂盒 30T
CYB162030 羊抗人IgA(α链特异)(抗血清) 0.5ml
BTN3080 植物RNAOUT Plant RNAOUT
ARB12241 大鼠血管内皮细胞生长因子受体2(VEGFR-2/Flk-1)检测服务 Rat vascuoar endothelial cell growth factor receptor 2,vegfr-2/flk-1 ELISA KIT
ARB10096 人EB病毒IgA(EBv IgA)酶联免疫定量检测 Human epstein-barr virus iga,ebv iga ELISA KIT
BTN120705 L-谷胱甘肽(还原型) Glutathione
我公司强烈推荐重组蛋白系列产品,热情期待您的咨询选购重组小鼠CD32(FCGR2)销*(代"售")。
风险提示:丁香通仅作为第三方平台,为商家信息发布提供平台空间。用户咨询产品时请注意保护个人信息及财产安全,合理判断,谨慎选购商品,商家和用户对交易行为负责。对于医疗器械类产品,请先查证核实企业经营资质和医疗器械产品注册证情况。
文献和实验。 Cellectis Bioresearch的市场销售副总裁Dr. Luc Selig表示:“我们推出这个技术服务才几个月,就得到如此殊荣,我深表荣幸,这个奖项极大地激励我们团队,会进一步优化此技术,以高质量的服务、合理的价格回报给客户。” “我们第一个将TALENs技术推向市场,力争每一天都会有新的客户接受我们的服务。” Cellectis Bioresearch的CEO Marc Le Bozec补充道,“我们的目标是为全世界的生物科研人员提供基因组定制
的能力,广泛应用于各种免疫诊断试剂的制备,包括抗体的检测和纯化、免疫细胞化学、病原体的快速诊断;蛋白A也可用于免疫吸附治疗领域。采用发酵、基因诱导、镍柱纯化生产的重组蛋白A使得其成本下降、纯度提高、特异性增强,已经成为免疫诊断试剂抗体制备中最重要的工具!目前,国外有2-3家蛋白A的产品在中国销售,但价格昂贵;国内已有数家公司开展了蛋白A 的克隆或表达,其中,广州精达公司采用美国克隆和生产工艺,顺利的完成了该种产品的国产化。I、蛋白A的应用范围1、用于抗体的检测和纯化 由于蛋白A与IgG具有特异
1973年重组DNA获得成功,开创了基因工程的新时代。以此为基础,生物技术作为前途远大的高新技术产业在世界范围兴起,生物工程将成为现代化的大工业,与此同时还极大地推动了医学和农业科技的发展,在这些领域中正展示出广阔的应用前景。 培育转基因动物的设想始于20世纪70年代。科学家大胆设想,如将所需要基因转入产乳量高的牛、羊等家畜体内,从动物的乳汁中获取、提炼珍贵的蛋白质药物,成本将会大为降低。 自1982年第一只转基因动物(小鼠)降生以来,各种转基因动物相继问世。1998年
技术资料暂无技术资料 索取技术资料










