相关产品推荐更多 >
万千商家帮你免费找货
0 人在求购买到急需产品
- 详细信息
- 询价记录
- 技术资料
- 供应商:
上海康朗生物科技有限公司
- 库存:
大量
- 目录编号:
kl-0380R
- 克隆性:
多克隆
- 抗原来源:
Rabbit
- 保质期:
12个月
- 抗体英文名:
MBP antibody
- 抗体名:
髓鞘碱性蛋白/磷脂碱性蛋白抗体
- 宿主:
Rabbit
- 适应物种:
Human, Mouse, Rat, Pig, Guinea Pig, G
- 免疫原:
KLH conjugated synthetic peptide derived from Gpig MBP:69-85/167
- 亚型:
IgG
- 形态:
冻干粉或液体
- 应用范围:
WB=1:500-2000 ELISA=1:500-1000 IHC-P=1:400-800 IHC-F=1:400-800 IF=1:100-500
- 浓度:
1mg/ml
- 保存条件:
-20 °C
- 规格:
50ul 100ul 200ul
MBP antibody
| 中文名称 | 髓鞘碱性蛋白/磷脂碱性蛋白抗体 |
| 别 名 | Myelin Basic Protein; Myelin basic protien; GDB; Golli MBP; Hemopoietic MBP; HMBPR; HUGO; MBP; MGC99675; MLD; Myelin A1 Protein; Myelin Deficient; Myelin Membrane Encephalitogenic Protein; SHI; Shiverer; SP; MBP_HUMAN . |
![]() |
Specific References (4) | bs-0380R has been referenced in 4 publications.
[IF=2.24] Liu, Jia, et al. "Acellular spinal cord scaffold seeded with mesenchymal stem cells promotes long-distance axon regeneration and functional recovery in spinal cord injured rats." Journal of the neurological sciences 325.1 (2013): 127-136. Rat.
PubMed:23317924
[IF=2.34] Gao, Yuhua, et al. "Isolation of a Pluripotent Neural Stem Cell from the Embryonic Bovine Brain." International Journal of Molecular Sciences 16.3 (2015): 5990-5999. Bovine.
PubMed:25782160
[IF=2.86] Mori, Miki, et al. "Stromal Cell-Derived Factor-1α Plays a Crucial Role Based on Neuroprotective Role in Neonatal Brain Injury in Rats." International Journal of Molecular Sciences 16.8 (2015): 18018-18032. IHC-F ; Rat.
PubMed:26251894
[IF=4.21] Luo, Guangying, et al. "Paternal bisphenol a diet changes prefrontal cortex proteome and provokes behavioral dysfunction in male offspring." Chemosphere (2017). WB ; Mouse.
PubMed:28641223
|
| 规格价格 | 50ul/780元 购买 100ul/1380元 购买 200ul/2200元 购买 大包装/询价 |
| 说 明 书 | 50ul 100ul 200ul |
| 研究领域 | 神经生物学 生长因子和激素 激酶和磷酸酶 |
| 抗体来源 | Rabbit |
| 克隆类型 | Polyclonal |
| 交叉反应 | Human, Mouse, Rat, Pig, Guinea Pig, G |
| 产品应用 | WB=1:500-2000 ELISA=1:500-1000 IHC-P=1:400-800 IHC-F=1:400-800 IF=1:100-500 (石蜡切片需做抗原修复) not yet tested in other applications. optimal dilutions/concentrations should be determined by the end user. |
| 分 子 量 | 33kDa |
| 细胞定位 | 细胞核 细胞膜 |
| 性 状 | Lyophilized or Liquid |
| 浓 度 | 1mg/ml |
| 免 疫 原 | KLH conjugated synthetic peptide derived from Gpig MBP:69-85/167 |
| 亚 型 | IgG |
| 纯化方法 | affinity purified by Protein A |
| 储 存 液 | 0.01M TBS(pH7.4) with 1% BSA, 0.03% Proclin300 and 50% Glycerol. |
| 保存条件 | Store at -20 °C for one year. Avoid repeated freeze/thaw cycles. The lyophilized antibody is stable at room temperature for at least one month and for greater than a year when kept at -20°C. When reconstituted in sterile pH 7.4 0.01M PBS or diluent of antibody the antibody is stable for at least two weeks at 2-4 °C. |
| PubMed | PubMed |
| 产品介绍 | background: The classic group of Myelin basic protein (MBP) isoforms (isoforms 4 to 14) are with PLP the most abundant protein components of the myelin membrane in the CNS. They have a role in both its formation and stabilization. The smaller isoforms might have an important role in remyelination of denuded axons in multiple sclerosis. The non classic group of MBP isoforms (isoforms 1 to 3/Golli MBPs) may preferentially have a role in the early developing brain long before myelination, maybe as components of transcriptional complexes, and may also be involved in signaling pathways in T cells and neural cells. Differential splicing events combined to optional posttranslational modifications give a wide spectrum of isomers, each of them having maybe a specialized function. Function: The classic group of MBP isoforms (isoform 4-isoform 14) are with PLP the most abundant protein components of the myelin membrane in the CNS. They have a role in both its formation and stabilization. The smaller isoforms might have an important role in remyelination of denuded axons in multiple sclerosis. The non-classic group of MBP isoforms (isoform 1-isoform 3/Golli-MBPs) may preferentially have a role in the early developing brain long before myelination, maybe as components of transcriptional complexes, and may also be involved in signaling pathways in T-cells and neural cells. Differential splicing events combined with optional post-translational modifications give a wide spectrum of isomers, with each of them potentially having a specialized function. Induces T-cell proliferation. Subunit: Homodimer. Isoform 3 exists as a homodimer. Subcellular Location: Myelin membrane; Peripheral membrane protein; Cytoplasmic side. Note=Cytoplasmic side of myelin. Tissue Specificity: MBP isoforms are found in both the central and the peripheral nervous system, whereas Golli-MBP isoforms are expressed in fetal thymus, spleen and spinal cord, as well as in cell lines derived from the immune system. Post-translational modifications: Several charge isomers of MBP; C1 (the most cationic, least modified, and most abundant form), C2, C3, C4, C5, C6, C7, C8-A and C8-B (the least cationic form); are produced as a result of optional PTM, such as phosphorylation, deamidation of glutamine or asparagine, arginine citrullination and methylation. C8-A and C8-B contain each two mass isoforms termed C8-A(H), C8-A(L), C8-B(H) and C8-B(L), (H) standing for higher and (L) for lower molecular weight. C3, C4 and C5 are phosphorylated. The ratio of methylated arginine residues decreases during aging, making the protein more cationic. The N-terminal alanine is acetylated (isoform 3, isoform 4, isoform 5 and isoform 6). Arg-241 was found to be 6% monomethylated and 60% symmetrically dimethylated. Phosphorylated by TAOK2, VRK2, MAPK11, MAPK12, MAPK14 and MINK1. Similarity: Belongs to the myelin basic protein family. SWISS: N/A Gene ID: 100731253 Database links: Gene ID: 100731253 Guinea pig Entrez Gene: 4155 Human Entrez Gene: 17196 Mouse Entrez Gene: 414286 Pig Entrez Gene: 24547 Rat Omim: 159430 Human SwissProt: P02686 Human SwissProt: P04370 Mouse SwissProt: P81558 Pig SwissProt: P25274 Rabbit SwissProt: P02688 Rat Unigene: 551713 Human Unigene: 63285 Rat Important Note: This product as supplied is intended for research use only, not for use in human, therapeutic or diagnostic applications. 神经生物学相关蛋白(Neurobiology) 少突胶质细胞标志物 主要用于脊髓脱髓鞘病-脊髓多发硬化症的研究。 MBP髓鞘碱性蛋白和髓鞘相伴糖蛋白是多发性硬化的自身免疫攻击的靶。 Myelin basic protein (MPB) :Oligodendrocyte Protein produced by mature oligodendrocytes; located in the myelin sheath surrounding neuronal structures 髓磷脂Myelin/oligodendrocyte specific protein (MOSP)是由中枢神经系统中少突胶质细胞和外周神经系统中雪旺氏细胞产生特殊蛋白质。是形成髓鞘的主要成分,对于引导神经冲动的传递起着致关重要的作用。 多年来,关于髓鞘的形成机理和与其相关的一些先天性疾病的发病机制一直是众多科学家关注的重点。如:多重硬化症和脑白质营养不良等,都与神经系统的去髓鞘化相关。 |
| 产品图片 |
Sample: Brain (Mouse) Lysate at 30 ug
Primary: Anti- MBP (bs-0380R) at 1/300 dilution Secondary: IRDye800CW Goat Anti-Rabbit IgG at 1/20000 dilution Predicted band size: 33 kD Observed band size: 33 kD
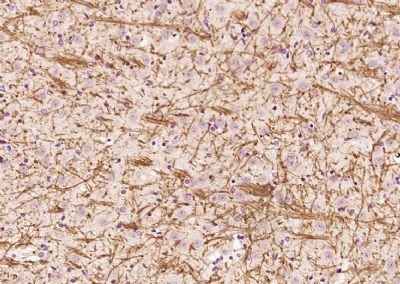
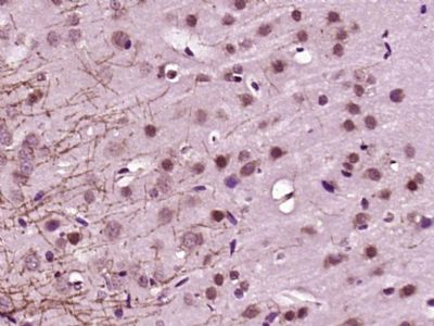
Paraformaldehyde-fixed, paraffin embedded (Mouse brain); Antigen retrieval by boiling in sodium citrate buffer (pH6.0) for 15min; Block endogenous peroxidase by 3% hydrogen peroxide for 20 minutes; Blocking buffer (normal goat serum) at 37°C for 30min; Antibody incubation with (MBP) Polyclonal Antibody, Unconjugated (bs-0380R) at 1:400 overnight at 4°C, followed by operating according to SP Kit(Rabbit) (sp-0023) instructionsand DAB staining.
Tissue/cell: rat brain tissue; 4% Paraformaldehyde-fixed and paraffin-embedded;
Paraformaldehyde-fixed, paraffin embedded (Rat brain); Antigen retrieval by boiling in sodium citrate buffer (pH6.0) for 15min; Block endogenous peroxidase by 3% hydrogen peroxide for 20 minutes; Blocking buffer (normal goat serum) at 37°C for 30min; Antibody incubation with (MBP) Polyclonal Antibody, Unconjugated (bs-0380R) at 1:400 overnight at 4°C, followed by operating according to SP Kit(Rabbit) (sp-0023) instructionsand DAB staining. |
风险提示:丁香通仅作为第三方平台,为商家信息发布提供平台空间。用户咨询产品时请注意保护个人信息及财产安全,合理判断,谨慎选购商品,商家和用户对交易行为负责。对于医疗器械类产品,请先查证核实企业经营资质和医疗器械产品注册证情况。
- 作者
- 内容
- 询问日期
技术资料暂无技术资料 索取技术资料
MBP antibody
¥780 - 2200













