相关产品推荐更多 >
万千商家帮你免费找货
0 人在求购买到急需产品
- 详细信息
- 询价记录
- 技术资料
- 供应商:
上海康朗生物科技有限公司
- 库存:
大量
- 目录编号:
kl-0188R
- 克隆性:
多克隆
- 抗原来源:
Rabbit
- 保质期:
12个月
- 抗体英文名:
Big endothelin-1 antibody
- 抗体名:
内皮素-1抗体
- 宿主:
Rabbit
- 适应物种:
Human
- 免疫原:
KLH conjugated synthetic peptide derived from human Big endothelin-1:16-110/212
- 亚型:
IgG
- 形态:
冻干粉或液体
- 应用范围:
WB=1:500-2000 ELISA=1:500-1000 IHC-P=1:400-800 IHC-F=1:400-800 IF=1:100-500
- 浓度:
1mg/ml
- 保存条件:
-20 °C
- 规格:
50ul 100ul 200ul
Big endothelin-1 antibody
| 中文名称 | 内皮素-1抗体 |
| 别 名 | EDN1_HUMAN; Big endothelin 1; EDN 1; EDN1; EDN1 protein; Endothelin1; Endothelin 1; Endothelin-1; ET 1; ET1; OTTHUMP00000039245; PPET1; Preproendothelin 1; Preproendothelin1. |
| 规格价格 | 50ul/780元 购买 100ul/1380元 购买 200ul/2200元 购买 大包装/询价 |
| 说 明 书 | 50ul 100ul 200ul |
| 研究领域 | 心血管 神经生物学 |
| 抗体来源 | Rabbit |
| 克隆类型 | Polyclonal |
| 交叉反应 | Human, Mouse, Rat, |
| 产品应用 | WB=1:500-2000 ELISA=1:500-1000 IHC-P=1:400-800 IHC-F=1:400-800 IF=1:100-500 (石蜡切片需做抗原修复) not yet tested in other applications. optimal dilutions/concentrations should be determined by the end user. |
| 分 子 量 | 22kDa |
| 细胞定位 | 分泌型蛋白 |
| 性 状 | Lyophilized or Liquid |
| 浓 度 | 1mg/ml |
| 免 疫 原 | KLH conjugated synthetic peptide derived from human Big endothelin-1:16-110/212 |
| 亚 型 | IgG |
| 纯化方法 | affinity purified by Protein A |
| 储 存 液 | 0.01M TBS(pH7.4) with 1% BSA, 0.03% Proclin300 and 50% Glycerol. |
| 保存条件 | Store at -20 °C for one year. Avoid repeated freeze/thaw cycles. The lyophilized antibody is stable at room temperature for at least one month and for greater than a year when kept at -20°C. When reconstituted in sterile pH 7.4 0.01M PBS or diluent of antibody the antibody is stable for at least two weeks at 2-4 °C. |
| PubMed | PubMed |
| 产品介绍 | background: Endothelins (ET) show potent constrictor activity in vascular and non-vascular smooth muscle. This family of 21-amino acid peptides exists in at least three isoforms - ET-1, ET-2, and ET-3, and is produced in endothelial and epithelial cells. ET's can mediate biological effects in cells and tissues, and have been shown to bind to an ET receptor in the lung, kidney, heart, and liver. Endothelin 1 is expressed in lung, placental stem villi vessels and in cultured placental vascular smooth muscle cells. Function: Endothelins are endothelium-derived vasoconstrictor peptides. Subcellular Location: Secreted. Tissue Specificity: Expressed in lung, placental stem villi vessels and in cultured placental vascular smooth muscle cells. Similarity: Belongs to the endothelin/sarafotoxin family. SWISS: P05305 Gene ID: 1906 Database links: Entrez Gene: 1906 Human Entrez Gene: 13614 Mouse Entrez Gene: 24323 Rat Omim: 131240 Human SwissProt: P05305 Human SwissProt: P22387 Mouse SwissProt: P22388 Rat Unigene: 511899 Human Unigene: 713645 Human Unigene: 10918 Rat Important Note: This product as supplied is intended for research use only, not for use in human, therapeutic or diagnostic applications. 内皮素(Endothelin,ET)是一种强的血管收缩剂,分为ET-1,ET-2,ET-3 三种,ET-1主要在内皮细胞中表达,而ET-2和ET-3则主要在神经系统中表达。ET具有广泛的生物学作用。此抗体是ET-1特异性抗体,与ET-2,ET-3无交叉反应。 |
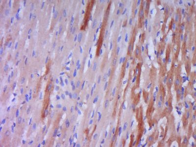
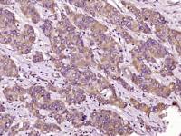
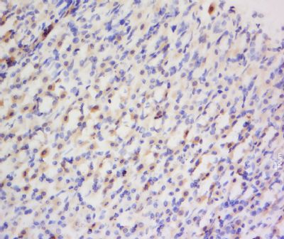
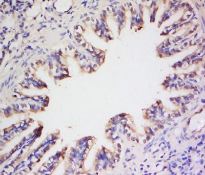
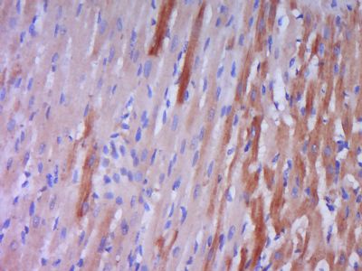
| 产品图片 | ![]() Sample: Liver (Mouse) Lysate at 40 ug Liver (Rat) Lysate at 40 ug Primary: Anti-Big endothelin-1 (bs-0188R) at 1/300 dilution Secondary: IRDye800CW Goat Anti-Rabbit IgG at 1/20000 dilution Predicted band size: 22 kD Observed band size: 22 kD ![]() Tissue/cell: Rat stomach tissue; 4% Paraformaldehyde-fixed and paraffin-embedded; Antigen retrieval: citrate buffer ( 0.01M, pH 6.0 ), Boiling bathing for 15min; Block endogenous peroxidase by 3% Hydrogen peroxide for 30min; Blocking buffer (normal goat serum,C-0005) at 37℃ for 20 min; Incubation: Anti- Big endothelin-1 Polyclonal Antibody, Unconjugated(bs-0118R) 1:200, overnight at 4°C, followed by conjugation to the secondary antibody(SP-0023) and DAB(C-0010) staining ![]() Tissue/cell: Rat lung tissue; 4% Paraformaldehyde-fixed and paraffin-embedded; Antigen retrieval: citrate buffer ( 0.01M, pH 6.0 ), Boiling bathing for 15min; Block endogenous peroxidase by 3% Hydrogen peroxide for 30min; Blocking buffer (normal goat serum,C-0005) at 37℃ for 20 min; Incubation: Anti- Big endothelin-1 Polyclonal Antibody, Unconjugated(bs-0118R) 1:200, overnight at 4°C, followed by conjugation to the secondary antibody(SP-0023) and DAB(C-0010) staining ![]() Paraformaldehyde-fixed, paraffin embedded (Rat heart); Antigen retrieval by boiling in sodium citrate buffer (pH6.0) for 15min; Block endogenous peroxidase by 3% hydrogen peroxide for 20 minutes; Blocking buffer (normal goat serum) at 37°C for 30min; Antibody incubation with (Big endothelin-1) Polyclonal Antibody, Unconjugated (bs-0188R) at 1:400 overnight at 4°C, followed by operating according to SP Kit(Rabbit) (sp-0023) instructionsand DAB staining. |
风险提示:丁香通仅作为第三方平台,为商家信息发布提供平台空间。用户咨询产品时请注意保护个人信息及财产安全,合理判断,谨慎选购商品,商家和用户对交易行为负责。对于医疗器械类产品,请先查证核实企业经营资质和医疗器械产品注册证情况。
- 作者
- 内容
- 询问日期
技术资料暂无技术资料 索取技术资料
Big endothelin-1 antibody
¥780 - 2200













