相关产品推荐更多 >
万千商家帮你免费找货
0 人在求购买到急需产品
- 详细信息
- 技术资料
- 供应商:
上海抚生
- 库存:
42
- 克隆性:
单克隆
- 抗体英文名:
ZBTB40 rabbit polyclonal antibody
- 宿主:
rabbit
- 适应物种:
Human
- 免疫原:
rabbit
- 应用范围:
ELISA, IHC
- 规格:
100 ul
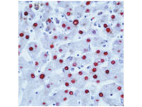
ZBTB40 rabbit polyclonal antibody用途
产品名称: ZBTB40 rabbit polyclonal antibody用途
反应性物种:Human
测试应用:ELISA, IHC
包装规格:100ul
价格和运输:详情可来电咨询。
ZBTB40 rabbit polyclonal antibody用途结果判定:
⑴ 抗 Ig 的效价测定 琼脂扩散效价达 ⑵ 6 或 1﹕32 者为合格。
⑶ 纯度鉴定采用琼扩法。中间孔加抗 Ig 血清,外周孔加 Ig 和标准品 Ig,产生抗原决定簇。只针对一个抗原决定簇起作用的浆细胞群就是一个纯系。由一种克隆产生的特异性抗体叫做单克隆抗体。同一个抗原决定簇,在机体内也可以由好几种克隆来产生抗体,形成多克隆抗体。
ZBTB40 rabbit polyclonal antibody用途多克隆抗体的概念:
由一种抗原(抗原通常是由多个抗原决定簇组成的)决定簇刺激机体,由一个B淋巴细胞接受该抗原刺激所产生的抗体称之为单克隆抗体。由多种抗原决定簇刺激机体,相应地就产生各种各样的单克隆抗体,这些单克隆抗体混杂在一起就是多克隆抗体;除了抗原决定簇的多样性以外,同样一种抗原决定簇,也可刺激机体产生IgG、IgM、IgA、IgE和IgD等五类抗体。
大鼠磷酸化乙酰辅酶A羧化酶(pACCase)ELISA试剂盒规格:96T/48T
大鼠磷酸肌醇3激酶(PI3K)ELISA试剂盒规格:96T/48T
大鼠磷脂酶A2(PL-A2)ELISA试剂盒规格:96T/48T
大鼠硫氧还蛋白还原酶(TrxR)ELISA试剂盒规格:96T/48T
大鼠硫氧化还原蛋白(Trx)ELISA试剂盒规格:96T/48T
大鼠卵巢癌标志物CA125ELISA试剂盒规格:96T/48T
大鼠卵泡抑素(FS)ELISA试剂盒规格:96T/48T
ZBTB40 rabbit polyclonal antibody用途JAK1(Tyrosine-protein kinase JAK1; Janus kinase 1) 蛋白质酪氨酸激酶JAK-1抗原Multi-class antibodies规格: 0.5mg
Anti-phospho-ADRB2(Ser346) 磷酸化肾上腺素能受体β2抗体Multi-class antibodies规格: 0.1ml
Rhesus antibody Rh phospho-CBL2(Tyr774) 磷酸化原癌蛋白CBL2抗体 规格 0.1ml
单组分AEC染色试剂盒 200片/20ml 需用甘油封固,红色
VAPB 英文名称: 囊泡相关膜蛋白相关的蛋白B 0.2ml
DNA polymerase mu 英文名称: DNA聚合酶μ/DNA pol μ抗体 0.2ml
Anti-phospho-ADRB2(Ser346) 磷酸化肾上腺素能受体β2抗体Multi-class antibodies规格: 0.1ml
产品名称: ZBTB40 rabbit polyclonal antibody用途
反应性物种:Human
测试应用:ELISA, IHC
包装规格:100ul
价格和运输:详情可来电咨询。
ZBTB40 rabbit polyclonal antibody用途结果判定:
⑴ 抗 Ig 的效价测定 琼脂扩散效价达 ⑵ 6 或 1﹕32 者为合格。
⑶ 纯度鉴定采用琼扩法。中间孔加抗 Ig 血清,外周孔加 Ig 和标准品 Ig,产生抗原决定簇。只针对一个抗原决定簇起作用的浆细胞群就是一个纯系。由一种克隆产生的特异性抗体叫做单克隆抗体。同一个抗原决定簇,在机体内也可以由好几种克隆来产生抗体,形成多克隆抗体。
ZBTB40 rabbit polyclonal antibody用途多克隆抗体的概念:
由一种抗原(抗原通常是由多个抗原决定簇组成的)决定簇刺激机体,由一个B淋巴细胞接受该抗原刺激所产生的抗体称之为单克隆抗体。由多种抗原决定簇刺激机体,相应地就产生各种各样的单克隆抗体,这些单克隆抗体混杂在一起就是多克隆抗体;除了抗原决定簇的多样性以外,同样一种抗原决定簇,也可刺激机体产生IgG、IgM、IgA、IgE和IgD等五类抗体。
大鼠磷酸化乙酰辅酶A羧化酶(pACCase)ELISA试剂盒规格:96T/48T
大鼠磷酸肌醇3激酶(PI3K)ELISA试剂盒规格:96T/48T
大鼠磷脂酶A2(PL-A2)ELISA试剂盒规格:96T/48T
大鼠硫氧还蛋白还原酶(TrxR)ELISA试剂盒规格:96T/48T
大鼠硫氧化还原蛋白(Trx)ELISA试剂盒规格:96T/48T
大鼠卵巢癌标志物CA125ELISA试剂盒规格:96T/48T
大鼠卵泡抑素(FS)ELISA试剂盒规格:96T/48T
ZBTB40 rabbit polyclonal antibody用途JAK1(Tyrosine-protein kinase JAK1; Janus kinase 1) 蛋白质酪氨酸激酶JAK-1抗原Multi-class antibodies规格: 0.5mg
Anti-phospho-ADRB2(Ser346) 磷酸化肾上腺素能受体β2抗体Multi-class antibodies规格: 0.1ml
Rhesus antibody Rh phospho-CBL2(Tyr774) 磷酸化原癌蛋白CBL2抗体 规格 0.1ml
单组分AEC染色试剂盒 200片/20ml 需用甘油封固,红色
VAPB 英文名称: 囊泡相关膜蛋白相关的蛋白B 0.2ml
DNA polymerase mu 英文名称: DNA聚合酶μ/DNA pol μ抗体 0.2ml
Anti-phospho-ADRB2(Ser346) 磷酸化肾上腺素能受体β2抗体Multi-class antibodies规格: 0.1ml
风险提示:丁香通仅作为第三方平台,为商家信息发布提供平台空间。用户咨询产品时请注意保护个人信息及财产安全,合理判断,谨慎选购商品,商家和用户对交易行为负责。对于医疗器械类产品,请先查证核实企业经营资质和医疗器械产品注册证情况。
技术资料暂无技术资料 索取技术资料
ZBTB40 rabbit polyclonal antibody用途
询价









