相关产品推荐更多 >
万千商家帮你免费找货
0 人在求购买到急需产品
- 详细信息
- 技术资料
- 供应商:
上海抚生
- 库存:
38
- 克隆性:
单克隆
- 抗体英文名:
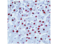
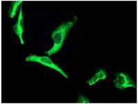
VSIG1 rabbit polyclonal antibody
- 抗体名:
polyclonal antibody
- 宿主:
rabbit
- 适应物种:
Human, Mouse, Rat
- 免疫原:
rabbit
- 应用范围:
ELISA, IHC
- 规格:
100 ul
VSIG1 rabbit polyclonal antibody特征一、乳化方法:
1.采用研钵乳化;
2.直接在旋涡振荡器上乳化;
3.组织捣碎器乳化。
4.少量时,特别是弗氏佐剂与抗原乳化时,常采用注射器乳化,用两个注射器,一个吸入抗原液,一个吸入佐剂,两注射器头以胶管连接,注意一定扎紧,然后来回抽吸。
5.大量乳化时,可采用胶体磨进行。
VSIG1 rabbit polyclonal antibody特征二、乳化效果:
1.取一滴乳化剂滴入水中呈现球形而不分散。如出现平展扩散即为未乳化好。乳化过的物质放置一段时间(在保存期内)出现油水分层也是未乳化好的表现。
2.根据抗原的性质、免疫原性和动物的免疫反应性来决定免疫途径、免疫次数和间隔时间等。 免疫途径包括皮下注射、皮内注射、肌肉注射、静脉注射、腹腔注射以及淋巴结内注射等。可以把各种注射途径联合起来应用,最终以达到效价要求为目的。
产品信息
VSIG1 rabbit polyclonal antibody特征尊敬的顾客你们好,我司提供各种仅供科研和实验的试剂、抗体以及相应的耗材,想获取更多产品相关的说明以及价格,欢迎来电详细咨询!
人类似RIKEN cDNA 2610307008 基因 ELISA试剂盒规格:96T/48T
人类似RIKEN cDNA 3110050K21 基因 ELISA试剂盒规格:96T/48T
人类似RIKEN cDNA 4931408D14 基因 ELISA试剂盒规格:96T/48T
人类似RIKEN cDNA A630077B13 基因 ELISA试剂盒规格:96T/48T
人类嗜T淋巴细胞Ⅰ型病毒(HTLV-Ⅰ)ELISA试剂盒规格:96T/48T
人类粘蛋白(ORM)ELISA试剂盒规格:96T/48T
人类粘蛋白2(ORM2)ELISA试剂盒规格:96T/48T
VSIG1 rabbit polyclonal antibody特征Uridine 5'-Diphosphate Trisodium Salt尿苷-5'-三磷酸三钠19817-92-620mg
vitamin B6 维生素B658-56-020mg
无粉乳胶手套小号盒
3MM滤纸 厚度0.34mm 20cm×20cm100张盒
MetforMin Hydrochloride 盐酸二甲双胍5g瓶
NKA大孔吸附树脂500g瓶
PIPES 1,4-二乙磺酸10g瓶
结晶紫染色液(1%)10ml瓶
Sitagliptin 西他列汀100mg瓶
Uricase 尿酸酶1KU瓶
MRS琼脂250g瓶
100 bp DNA Ladder100T支
兔抗马IgG(免疫血清)0.5ml支
荧光抗体稀释液50ml瓶
Gass beads acid-washed 玻璃珠(600-800um)10g瓶
支原体检测试剂盒100T盒
Sweroside 獐牙菜苷-当药苷14215-86-220mg
Mangiferin 芒果苷4773-96-020mg
1.采用研钵乳化;
2.直接在旋涡振荡器上乳化;
3.组织捣碎器乳化。
4.少量时,特别是弗氏佐剂与抗原乳化时,常采用注射器乳化,用两个注射器,一个吸入抗原液,一个吸入佐剂,两注射器头以胶管连接,注意一定扎紧,然后来回抽吸。
5.大量乳化时,可采用胶体磨进行。
VSIG1 rabbit polyclonal antibody特征二、乳化效果:
1.取一滴乳化剂滴入水中呈现球形而不分散。如出现平展扩散即为未乳化好。乳化过的物质放置一段时间(在保存期内)出现油水分层也是未乳化好的表现。
2.根据抗原的性质、免疫原性和动物的免疫反应性来决定免疫途径、免疫次数和间隔时间等。 免疫途径包括皮下注射、皮内注射、肌肉注射、静脉注射、腹腔注射以及淋巴结内注射等。可以把各种注射途径联合起来应用,最终以达到效价要求为目的。
产品信息
| 产品全名 | 适用物种 | 应用范围 | 规格和包装 | 价格以及说明书 |
| VSIG1 rabbit polyclonal antibody特征 | Human, Mouse, Rat | ELISA, IHC | 100 ul | 来电咨询 |
人类似RIKEN cDNA 2610307008 基因 ELISA试剂盒规格:96T/48T
人类似RIKEN cDNA 3110050K21 基因 ELISA试剂盒规格:96T/48T
人类似RIKEN cDNA 4931408D14 基因 ELISA试剂盒规格:96T/48T
人类似RIKEN cDNA A630077B13 基因 ELISA试剂盒规格:96T/48T
人类嗜T淋巴细胞Ⅰ型病毒(HTLV-Ⅰ)ELISA试剂盒规格:96T/48T
人类粘蛋白(ORM)ELISA试剂盒规格:96T/48T
人类粘蛋白2(ORM2)ELISA试剂盒规格:96T/48T
VSIG1 rabbit polyclonal antibody特征Uridine 5'-Diphosphate Trisodium Salt尿苷-5'-三磷酸三钠19817-92-620mg
vitamin B6 维生素B658-56-020mg
无粉乳胶手套小号盒
3MM滤纸 厚度0.34mm 20cm×20cm100张盒
MetforMin Hydrochloride 盐酸二甲双胍5g瓶
NKA大孔吸附树脂500g瓶
PIPES 1,4-二乙磺酸10g瓶
结晶紫染色液(1%)10ml瓶
Sitagliptin 西他列汀100mg瓶
Uricase 尿酸酶1KU瓶
MRS琼脂250g瓶
100 bp DNA Ladder100T支
兔抗马IgG(免疫血清)0.5ml支
荧光抗体稀释液50ml瓶
Gass beads acid-washed 玻璃珠(600-800um)10g瓶
支原体检测试剂盒100T盒
Sweroside 獐牙菜苷-当药苷14215-86-220mg
Mangiferin 芒果苷4773-96-020mg
风险提示:丁香通仅作为第三方平台,为商家信息发布提供平台空间。用户咨询产品时请注意保护个人信息及财产安全,合理判断,谨慎选购商品,商家和用户对交易行为负责。对于医疗器械类产品,请先查证核实企业经营资质和医疗器械产品注册证情况。
技术资料暂无技术资料 索取技术资料
VSIG1 rabbit polyclonal antibody特征
询价









