万千商家帮你免费找货
0 人在求购买到急需产品
- 详细信息
- 技术资料
- 供应商:
上海抚生
- 库存:
54
- 克隆性:
单克隆
- 抗体英文名:
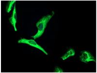
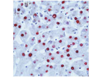
DKKL1 rabbit polyclonal antibody
- 抗体名:
polyclonal antibody
- 宿主:
rabbit
- 适应物种:
Human
- 免疫原:
rabbit
- 应用范围:
ELISA, IHC
- 规格:
100 ul
DKKL1 rabbit polyclonal antibody免疫欢迎广大客户来电咨询,我们将为您提供优惠的价格详情、使用说明书以及相应的技术支持。
DKKL1 rabbit polyclonal antibody免疫多克隆抗体的制备步骤:
1、制备抗原。
(一)抗原制备
经适当提取后,产生抗 Ig 抗体(Ig 是免疫球蛋白,对异种动物而言,是良好的抗原物质。可以刺激异种动物产生抗 Ig 血清),在多数的间接标记反应中,均需制备。
(二)材料与试剂
a.提取的动物 Ig
b.弗氏完全佐剂和弗氏不完全佐剂
c.青霉素和链霉素
d.实验动物 兔
e.其它材料及试剂
2、选择实验活体。
3、进行动物免疫实验。
4、试取血样进行测试,查看免疫效果。
5、如果免疫成功,杀死实验活体,采集全部血清。
6、纯化出抗体。
7、鉴定抗体。
小鼠CXC趋化因子配体16(CXCL16)ELISA试剂盒规格:96T/48T
小鼠CXC趋化因子受体3(CXCR3)ELISA试剂盒规格:96T/48T
小鼠C肽(C-Peptide)ELISA试剂盒 规格:96T/48T
小鼠E钙粘着蛋白/上皮性钙黏附蛋白(E-Cad)ELISA试剂盒规格:96T/48T
小鼠E选择素(E-Selectin/CD62E)ELISA试剂盒 规格:96T/48T
小鼠FMS样酪氨酸激酶3(Flt3)ELISA试剂盒 规格:96T/48T
小鼠FMS样酪氨酸激酶3配体(Flt3L)ELISA试剂盒规格:96T/48T
DKKL1 rabbit polyclonal antibody免疫Cholesterol 胆固醇1kg瓶
Sodium Cyclamate 甜蜜素100g瓶
Sephadex G-50 medium 葡聚糖凝胶G-5025g瓶
Resveratrol 白藜芦醇1g瓶
0.1%吕氏碱性美蓝染色液100ml瓶
β-胡萝卜素(原装)1g瓶
D-Proline D-脯氨酸25g瓶
TOP10感受态细胞20×100ul袋
通用基因组DNA提取试剂盒50T盒
兔抗马IgG-HRP1ml支
彩虹245plus广谱蛋白Marker(5-245KD)2×250ul包
特级马血清200ml瓶
Scopolamine hydrobromide-Hyoscine hydrobromide 氢溴酸东莨菪碱114-49-820mg
Petunidin Chloride 化矮牵牛素1429-30-71mg
Isoacteoside 异类叶升麻苷-异毛蕊花糖苷61303-13-720mg
Catechin gallate 儿茶素没食子酸130405-40-210mg
Aloeemodin 芦荟大黄素481-72-120mg
Levonorgestrel 左炔诺孕酮797-63-7100mg
| 产品全名 | 测试范围 | 适应物种 | 规格 |
| DKKL1 rabbit polyclonal antibody免疫 | ELISA, IHC | Human | 100 ul |
1、制备抗原。
(一)抗原制备
经适当提取后,产生抗 Ig 抗体(Ig 是免疫球蛋白,对异种动物而言,是良好的抗原物质。可以刺激异种动物产生抗 Ig 血清),在多数的间接标记反应中,均需制备。
(二)材料与试剂
a.提取的动物 Ig
b.弗氏完全佐剂和弗氏不完全佐剂
c.青霉素和链霉素
d.实验动物 兔
e.其它材料及试剂
2、选择实验活体。
3、进行动物免疫实验。
4、试取血样进行测试,查看免疫效果。
5、如果免疫成功,杀死实验活体,采集全部血清。
6、纯化出抗体。
7、鉴定抗体。
小鼠CXC趋化因子配体16(CXCL16)ELISA试剂盒规格:96T/48T
小鼠CXC趋化因子受体3(CXCR3)ELISA试剂盒规格:96T/48T
小鼠C肽(C-Peptide)ELISA试剂盒 规格:96T/48T
小鼠E钙粘着蛋白/上皮性钙黏附蛋白(E-Cad)ELISA试剂盒规格:96T/48T
小鼠E选择素(E-Selectin/CD62E)ELISA试剂盒 规格:96T/48T
小鼠FMS样酪氨酸激酶3(Flt3)ELISA试剂盒 规格:96T/48T
小鼠FMS样酪氨酸激酶3配体(Flt3L)ELISA试剂盒规格:96T/48T
DKKL1 rabbit polyclonal antibody免疫Cholesterol 胆固醇1kg瓶
Sodium Cyclamate 甜蜜素100g瓶
Sephadex G-50 medium 葡聚糖凝胶G-5025g瓶
Resveratrol 白藜芦醇1g瓶
0.1%吕氏碱性美蓝染色液100ml瓶
β-胡萝卜素(原装)1g瓶
D-Proline D-脯氨酸25g瓶
TOP10感受态细胞20×100ul袋
通用基因组DNA提取试剂盒50T盒
兔抗马IgG-HRP1ml支
彩虹245plus广谱蛋白Marker(5-245KD)2×250ul包
特级马血清200ml瓶
Scopolamine hydrobromide-Hyoscine hydrobromide 氢溴酸东莨菪碱114-49-820mg
Petunidin Chloride 化矮牵牛素1429-30-71mg
Isoacteoside 异类叶升麻苷-异毛蕊花糖苷61303-13-720mg
Catechin gallate 儿茶素没食子酸130405-40-210mg
Aloeemodin 芦荟大黄素481-72-120mg
Levonorgestrel 左炔诺孕酮797-63-7100mg
风险提示:丁香通仅作为第三方平台,为商家信息发布提供平台空间。用户咨询产品时请注意保护个人信息及财产安全,合理判断,谨慎选购商品,商家和用户对交易行为负责。对于医疗器械类产品,请先查证核实企业经营资质和医疗器械产品注册证情况。
技术资料暂无技术资料 索取技术资料
DKKL1 rabbit polyclonal antibody免疫
询价









