相关产品推荐更多 >
万千商家帮你免费找货
0 人在求购买到急需产品
- 详细信息
- 技术资料
- 品系:
详见说明书
- ATCC Number:
小鼠杂交瘤细胞;AURKB价格
- 细胞类型:
A类
- 肿瘤类型:
详见说明书
- 供应商:
上海抚生
- 库存:
52
- 生长状态:
贴壁生长
- 年限:
详见说明书
- 运输方式:
低温冷藏
- 器官来源:
详见说明书
- 是否是肿瘤细胞:
否
- 细胞形态:
详见说明书
- 免疫类型:
详见说明书
- 物种来源:
详见说明书
- 相关疾病:
详见说明书
- 组织来源:
详见说明书
- 英文名:
详见说明书
- 规格:
株
细胞名称 小鼠杂交瘤细胞;AURKB价格
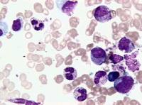
形态特性 淋巴母细胞样
生长特性 半贴壁生长
特征特性 该杂交瘤细胞由湖南远泰生物技术有限公司制备并提交,细胞注射小鼠腹腔可产生高滴度的单抗,可用于基础研究和临床检验。
培养条件 RPMI 1640 (w/o Hepes) 10%FBS
传代方法 1:
3传代,2-3天传一代
传代情况 C10
冻存条件 基础培养基+5%DMSO+20%FBS
支原体检测 阴性
STR
同工酶 同工酶鉴定
染色体
使用权限 A类
本公司所经营产品均为科研产品,为科研实验使用,小鼠杂交瘤细胞;AURKB价格不得用于人体注射,服用等,望注意,谢谢合作!
小鼠杂交瘤细胞;AURKB价格的操作流程:
1. 细胞收到后建议在培养箱稳定4小时左右再依据细胞密度,换液培养或传代。
2. 如果细胞为贴壁细胞,而收到时呈悬浮或者部分悬浮的状态,请将悬浮的细胞及时离心,加15%血清的完全培养基到新的培养皿/瓶中继续培养3天;同时原培养瓶中剩下的贴壁细胞更换为15%血清的完全培养基,培养2-3天。若3天后细胞都没有出现增殖而是继续脱落死亡,请及时联系实验室,技术人员会跟进解决。
3. 贴壁细胞生长缓慢:适当提高血清浓度(最高不超过20%),或可根据该细胞生长密度,考虑胰酶消化后,转移到新的培养瓶继续培养。
4. 生长不均:贴壁细胞若出现生长不均,成岛状生长,可将细胞进行消化,重新打散细胞,加入新鲜培养基进行培养。
细胞周期的概念:
细胞周期是可再生细胞从准备时期到分裂为两个细胞的一个循环阶段。
细胞周期分为细胞间期和细胞分裂期,细胞间期较长,而细胞分裂期较短。
FBS (fetal bovine serum, 胚牛血清), CS (calf serum, 小牛血清)和HS (horse serum, 马血清),对细胞而言差异极大,请务必依据细胞株资料单指定之血清种类培养之。
对于小鼠杂交瘤细胞;AURKB价格培养,只要我们细心操作,注意细节,并不是大家说的那样困难。对于有经验和有条件的客户,我们提供专人指导。对于无培养经验和条件的客户,建议由公司代为培养细胞及进行后续研究。我司对每一位客户追踪服务,因材施教,对产品不仅售前负责,售后更负责。
小鼠杂交瘤细胞;AURKB价格细胞总RNA的提取
1)、6孔板细胞(CNE-2)汇合度为90-100%时,取出无菌室,去其上清,用PBS洗两次后,每孔加TRIZOL试剂 1 ml,摇匀,无菌罩内消化3-5分钟(观察:液体变粘稠,细胞脱壁)。
2)、将各孔内消化好的细胞裂解液吸到一DEPC处理过的1.5 ml EP管中,加新开的氯仿0.2 ml,轻摇15秒。
3)、室温静置2-3分钟后,12000 rpm,15 min,4℃,离心。然后取上清无色水相(约0.6 ml)到 EP管(DEPC处理过),加0.5 ml新开的异丙醇,室温下静置10分钟。
4)、12000 rpm,10分钟,4℃,离心。观察总RNA在管底的白色沉淀,弃去上清(小心别丢了沉淀),75%乙醇1.0 ml洗涤(用DEPC水新配制)后,7500 rpm,5 min,4℃离心。
5)、去上清,点离,用小Tip吸干液体。气干沉淀5-10分钟, DEPC处理水20-30 ul加入,中枪打匀,按实验方法流程60℃水浴10分钟溶解总RNA,测OD值。
6)、电泳。
人溶血磷脂酸受体3(LPA receptor 3)ELISA试剂盒人96T0.78-50 ng/mL大鼠血红素氧合酶2(HO-2)ELISA试剂盒,英文名:HO-2 ELISA KitELISA Kit for Human Glucocorticoid receptor大鼠抗肌内膜抗体IgA(EMA IgA)ELISA试剂盒,英文名:EMA IgA ELISA Kit人阿啡肽(OPI)ELISA试剂盒人96T0.156-10 ng/mL大鼠花生四烯酸5脂氧合酶(Alox5)ELISA试剂盒,英文名:Alox5 ELISA KitELISA Kit for Human Pannexin-1大鼠肺炎病毒抗体(PV-Ab)ELISA试剂盒,英文名:PV-Ab ELISA Kit人磷脂酶A2受体(PLA2R)ELISA试剂盒人96T0.625-40 ng/mL大鼠补体蛋白4(C4)ELISA试剂盒,英文名:C4 ELISA KitELISA Kit for Human Protein disulfide-isomerase大鼠β2整合素(ITG β2/CD11+CD18)ELISA试剂盒,英文名:ITG β2/CD11+CD18 ELISA Kit人血小板衍生生长因子AB(PDGF-AB)ELISA试剂盒人96T31.2-2000 pg/mL大鼠Ⅰ型前胶原羧基端肽(PⅠCP)ELISA试剂盒,英文名:PⅠCP ELISA Kit
ELISA Kit for Human Mitogen-activated protein kinase 8大鼠维甲酸受体应答蛋白2(RARRES2)ELISA试剂盒,英文名:RARRES2 ELISA KitELISA Kit for Human Retinol-binding protein 4大鼠中性粒细胞弹性蛋白酶(ELA2)ELISA试剂盒,英文名:ELA2 ELISA Kit人蛋白S100-A2( Protein S100-A2)ELISA试剂盒人96T0.312-20 ng/mL大鼠信号传导转录激活因子6(STAT6)ELISA试剂盒,英文名:STAT6 ELISA KitELISA Kit for Human Secreted frizzled-related protein 4大鼠丝氨酸蛋白酶1(PRSS1)ELISA试剂盒,英文名:PRSS1 ELISA Kit人性别决定区Y框蛋白2(SOX2)ELISA试剂盒人96T0.312-20 ng/mL大鼠凝血因子Ⅴ(F5)ELISA试剂盒,英文名:F5 ELISA Kit人跨膜蛋白126A(Transmembrane protein 126A)ELISA试剂盒人96T0.156-10 ng/mL大鼠环加氧酶2(PTGS2)ELISA试剂盒,英文名:PTGS2 ELISA Kit人解偶联蛋白2(UCP-2)ELISA试剂盒人96T0.156-10 ng/mL大鼠胆囊收素八肽(CCK8)ELISA试剂盒,英文名:CCK8 ELISA Kit
TLR4(human) 人Toll样受体4Multi-class antibodies规格: 48T
Anti-Phospho-Dab1 (Tyr220) 磷酸化Disabled 1抗体Multi-class antibodies规格: 0.1ml
Rhesus antibody Rh Neuropilin-2 神经纤毛蛋白-2抗体 规格 0.1ml
human corticotropin releasing hormone,CRH ELISA Kit 人促肾上皮质激素释放激素 96T
TACI 英文名称: 坏死因子受体超家族成员13B抗体 0.2ml
CD163/M130 英文名称: CD163抗体 0.1ml
Anti-Phospho-Dab1 (Tyr220) 磷酸化Disabled 1抗体Multi-class antibodies规格: 0.1ml
Lgr5/GPR49 肠上皮干细胞蛋白(多肽)Multi-class antibodies规格: 0.5mg
Anti-AGEs 晚期糖基化终末产物抗体Multi-class antibodies规格: 0.1ml
Rhesus antibody Rh Phospho-CaMKII (Thr286) 磷酸化钙/钙调素依赖蛋白激酶2α抗体 规格 0.1ml
Avidin阻挡剂 10ml Sigma原料
VANGL2 英文名称: 神经管畸形相关蛋白VANGL2抗体 0.2ml
DMAP1 英文名称: DNA甲基转移酶相关蛋白1抗体 0.2ml
Anti-AGEs 晚期糖基化终末产物抗体Multi-class antibodies规格: 0.1ml
小鼠杂交瘤细胞;AURKB价格Rabbit Anti-Monkey IgG/HRP 辣根过氧化物酶标记的兔抗猴IgG 0.1ml
Phospho-c-Fos (Ser32) 英文名称: 磷酸化c-fos抗体 0.1ml
细胞角蛋白18抗体 Anti-CK18 0.1ml
Anti-OXR /FITC 荧光素标记整合素样金属蛋白酶与凝血酶1型-7抗体IgGMulti-class antibodies规格: 0.2ml
Rhesus antibody Rh PIWIL4 piwi样4蛋白抗体 规格 0.1ml
Mouse Anti-rabbit IgM/HRP 辣根过氧化物酶标小鼠抗兔IgMMulti-class antibodies规格: 0.1ml
形态特性 淋巴母细胞样
生长特性 半贴壁生长
特征特性 该杂交瘤细胞由湖南远泰生物技术有限公司制备并提交,细胞注射小鼠腹腔可产生高滴度的单抗,可用于基础研究和临床检验。
培养条件 RPMI 1640 (w/o Hepes) 10%FBS
传代方法 1:
3传代,2-3天传一代
传代情况 C10
冻存条件 基础培养基+5%DMSO+20%FBS
支原体检测 阴性
STR
同工酶 同工酶鉴定
染色体
使用权限 A类
本公司所经营产品均为科研产品,为科研实验使用,小鼠杂交瘤细胞;AURKB价格不得用于人体注射,服用等,望注意,谢谢合作!
小鼠杂交瘤细胞;AURKB价格的操作流程:
1. 细胞收到后建议在培养箱稳定4小时左右再依据细胞密度,换液培养或传代。
2. 如果细胞为贴壁细胞,而收到时呈悬浮或者部分悬浮的状态,请将悬浮的细胞及时离心,加15%血清的完全培养基到新的培养皿/瓶中继续培养3天;同时原培养瓶中剩下的贴壁细胞更换为15%血清的完全培养基,培养2-3天。若3天后细胞都没有出现增殖而是继续脱落死亡,请及时联系实验室,技术人员会跟进解决。
3. 贴壁细胞生长缓慢:适当提高血清浓度(最高不超过20%),或可根据该细胞生长密度,考虑胰酶消化后,转移到新的培养瓶继续培养。
4. 生长不均:贴壁细胞若出现生长不均,成岛状生长,可将细胞进行消化,重新打散细胞,加入新鲜培养基进行培养。
细胞周期的概念:
细胞周期是可再生细胞从准备时期到分裂为两个细胞的一个循环阶段。
细胞周期分为细胞间期和细胞分裂期,细胞间期较长,而细胞分裂期较短。
FBS (fetal bovine serum, 胚牛血清), CS (calf serum, 小牛血清)和HS (horse serum, 马血清),对细胞而言差异极大,请务必依据细胞株资料单指定之血清种类培养之。
对于小鼠杂交瘤细胞;AURKB价格培养,只要我们细心操作,注意细节,并不是大家说的那样困难。对于有经验和有条件的客户,我们提供专人指导。对于无培养经验和条件的客户,建议由公司代为培养细胞及进行后续研究。我司对每一位客户追踪服务,因材施教,对产品不仅售前负责,售后更负责。
小鼠杂交瘤细胞;AURKB价格细胞总RNA的提取
1)、6孔板细胞(CNE-2)汇合度为90-100%时,取出无菌室,去其上清,用PBS洗两次后,每孔加TRIZOL试剂 1 ml,摇匀,无菌罩内消化3-5分钟(观察:液体变粘稠,细胞脱壁)。
2)、将各孔内消化好的细胞裂解液吸到一DEPC处理过的1.5 ml EP管中,加新开的氯仿0.2 ml,轻摇15秒。
3)、室温静置2-3分钟后,12000 rpm,15 min,4℃,离心。然后取上清无色水相(约0.6 ml)到 EP管(DEPC处理过),加0.5 ml新开的异丙醇,室温下静置10分钟。
4)、12000 rpm,10分钟,4℃,离心。观察总RNA在管底的白色沉淀,弃去上清(小心别丢了沉淀),75%乙醇1.0 ml洗涤(用DEPC水新配制)后,7500 rpm,5 min,4℃离心。
5)、去上清,点离,用小Tip吸干液体。气干沉淀5-10分钟, DEPC处理水20-30 ul加入,中枪打匀,按实验方法流程60℃水浴10分钟溶解总RNA,测OD值。
6)、电泳。
人溶血磷脂酸受体3(LPA receptor 3)ELISA试剂盒人96T0.78-50 ng/mL大鼠血红素氧合酶2(HO-2)ELISA试剂盒,英文名:HO-2 ELISA KitELISA Kit for Human Glucocorticoid receptor大鼠抗肌内膜抗体IgA(EMA IgA)ELISA试剂盒,英文名:EMA IgA ELISA Kit人阿啡肽(OPI)ELISA试剂盒人96T0.156-10 ng/mL大鼠花生四烯酸5脂氧合酶(Alox5)ELISA试剂盒,英文名:Alox5 ELISA KitELISA Kit for Human Pannexin-1大鼠肺炎病毒抗体(PV-Ab)ELISA试剂盒,英文名:PV-Ab ELISA Kit人磷脂酶A2受体(PLA2R)ELISA试剂盒人96T0.625-40 ng/mL大鼠补体蛋白4(C4)ELISA试剂盒,英文名:C4 ELISA KitELISA Kit for Human Protein disulfide-isomerase大鼠β2整合素(ITG β2/CD11+CD18)ELISA试剂盒,英文名:ITG β2/CD11+CD18 ELISA Kit人血小板衍生生长因子AB(PDGF-AB)ELISA试剂盒人96T31.2-2000 pg/mL大鼠Ⅰ型前胶原羧基端肽(PⅠCP)ELISA试剂盒,英文名:PⅠCP ELISA Kit
ELISA Kit for Human Mitogen-activated protein kinase 8大鼠维甲酸受体应答蛋白2(RARRES2)ELISA试剂盒,英文名:RARRES2 ELISA KitELISA Kit for Human Retinol-binding protein 4大鼠中性粒细胞弹性蛋白酶(ELA2)ELISA试剂盒,英文名:ELA2 ELISA Kit人蛋白S100-A2( Protein S100-A2)ELISA试剂盒人96T0.312-20 ng/mL大鼠信号传导转录激活因子6(STAT6)ELISA试剂盒,英文名:STAT6 ELISA KitELISA Kit for Human Secreted frizzled-related protein 4大鼠丝氨酸蛋白酶1(PRSS1)ELISA试剂盒,英文名:PRSS1 ELISA Kit人性别决定区Y框蛋白2(SOX2)ELISA试剂盒人96T0.312-20 ng/mL大鼠凝血因子Ⅴ(F5)ELISA试剂盒,英文名:F5 ELISA Kit人跨膜蛋白126A(Transmembrane protein 126A)ELISA试剂盒人96T0.156-10 ng/mL大鼠环加氧酶2(PTGS2)ELISA试剂盒,英文名:PTGS2 ELISA Kit人解偶联蛋白2(UCP-2)ELISA试剂盒人96T0.156-10 ng/mL大鼠胆囊收素八肽(CCK8)ELISA试剂盒,英文名:CCK8 ELISA Kit
TLR4(human) 人Toll样受体4Multi-class antibodies规格: 48T
Anti-Phospho-Dab1 (Tyr220) 磷酸化Disabled 1抗体Multi-class antibodies规格: 0.1ml
Rhesus antibody Rh Neuropilin-2 神经纤毛蛋白-2抗体 规格 0.1ml
human corticotropin releasing hormone,CRH ELISA Kit 人促肾上皮质激素释放激素 96T
TACI 英文名称: 坏死因子受体超家族成员13B抗体 0.2ml
CD163/M130 英文名称: CD163抗体 0.1ml
Anti-Phospho-Dab1 (Tyr220) 磷酸化Disabled 1抗体Multi-class antibodies规格: 0.1ml
Lgr5/GPR49 肠上皮干细胞蛋白(多肽)Multi-class antibodies规格: 0.5mg
Anti-AGEs 晚期糖基化终末产物抗体Multi-class antibodies规格: 0.1ml
Rhesus antibody Rh Phospho-CaMKII (Thr286) 磷酸化钙/钙调素依赖蛋白激酶2α抗体 规格 0.1ml
Avidin阻挡剂 10ml Sigma原料
VANGL2 英文名称: 神经管畸形相关蛋白VANGL2抗体 0.2ml
DMAP1 英文名称: DNA甲基转移酶相关蛋白1抗体 0.2ml
Anti-AGEs 晚期糖基化终末产物抗体Multi-class antibodies规格: 0.1ml
小鼠杂交瘤细胞;AURKB价格Rabbit Anti-Monkey IgG/HRP 辣根过氧化物酶标记的兔抗猴IgG 0.1ml
Phospho-c-Fos (Ser32) 英文名称: 磷酸化c-fos抗体 0.1ml
细胞角蛋白18抗体 Anti-CK18 0.1ml
Anti-OXR /FITC 荧光素标记整合素样金属蛋白酶与凝血酶1型-7抗体IgGMulti-class antibodies规格: 0.2ml
Rhesus antibody Rh PIWIL4 piwi样4蛋白抗体 规格 0.1ml
Mouse Anti-rabbit IgM/HRP 辣根过氧化物酶标小鼠抗兔IgMMulti-class antibodies规格: 0.1ml
风险提示:丁香通仅作为第三方平台,为商家信息发布提供平台空间。用户咨询产品时请注意保护个人信息及财产安全,合理判断,谨慎选购商品,商家和用户对交易行为负责。对于医疗器械类产品,请先查证核实企业经营资质和医疗器械产品注册证情况。
技术资料暂无技术资料 索取技术资料
小鼠杂交瘤细胞;AURKB价格
询价









