相关产品推荐更多 >
万千商家帮你免费找货
0 人在求购买到急需产品
- 详细信息
- 文献和实验
- 技术资料
- 抗体名:
ACSL4 Antibody抗体
- 抗体英文名:
ACSL4 Antibody
- 应用范围:
WB
- 宿主:
Rabbit
- 适应物种:
Human, Mouse, Rat
- 保质期:
6-12个月
- 抗原来源:
详询
- 目录编号:
orb412494
- 级别:
科研级
- 库存:
88
- 供应商:
biorbyt
- 标记物:
Unconjugated
- 克隆性:
Polyclonal
- 形态:
Liquid in 0.42% Potassium phosphate, 0.87% Sodium chloride, pH 7.3, 30% glycerol, and 0.01% sodium azide.
- 免疫原:
Recombinant fusion protein of human ACSL4
- 规格:
30 ul
产品描述:The ACSL4 Antibody is suitable for WB. It is a Polyclonal, Unconjugated antibody which raised against Recombinant fusion protein of human ACSL4 .Purification: The antibody was purified by immunogen affinity chromatography.
别名:ACS4; FACL4; LACS4; Long-chain-fatty-acid--CoA ligase 4; Long-chain acyl-CoA synthetase 4; LACS 4
免疫原:Recombinant fusion protein of human ACSL4
应用稀释比例:WB: 1:500-2000
纯化:The antibody was purified by immunogen affinity chromatography.
保存说明:Maintain refrigerated at 2-8°C for up to 2 weeks. For long term storage store at -20°C in small aliquots to prevent freeze-thaw cycles.
Entrez:2182, 50790
UniProt ID:O60488, Q9QUJ7
Note:For research use only.

别名:ACS4; FACL4; LACS4; Long-chain-fatty-acid--CoA ligase 4; Long-chain acyl-CoA synthetase 4; LACS 4
免疫原:Recombinant fusion protein of human ACSL4
应用稀释比例:WB: 1:500-2000
纯化:The antibody was purified by immunogen affinity chromatography.
保存说明:Maintain refrigerated at 2-8°C for up to 2 weeks. For long term storage store at -20°C in small aliquots to prevent freeze-thaw cycles.
Entrez:2182, 50790
UniProt ID:O60488, Q9QUJ7
Note:For research use only.

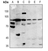
Western blot analysis of ACSL4 expression in HEK293T (A), H1688 (B), HCT116 (C), mouse brain (D), mouse kidney (E), rat kidney (F) whole cell lysates. (Predicted band size: 79 kD; Observed band size: 79; 74 kD)
风险提示:丁香通仅作为第三方平台,为商家信息发布提供平台空间。用户咨询产品时请注意保护个人信息及财产安全,合理判断,谨慎选购商品,商家和用户对交易行为负责。对于医疗器械类产品,请先查证核实企业经营资质和医疗器械产品注册证情况。
文献和实验该产品被引用文献
G Tian, J Li, W Wang, L Zhou FGF12 restrains mitochondria‐dependent ferroptosis in doxorubicin‐induced cardiomyocytes through the activation of FGFR1/AMPK/NRF2 signaling Drug Development Research, (2024)
技术资料暂无技术资料 索取技术资料
文献支持
ACSL4 Antibody抗体,orb412494,biorbyt
¥1560









