万千商家帮你免费找货
0 人在求购买到急需产品
- 详细信息
- 文献和实验
- 技术资料
- 免疫原:
KLH conjugated
- 亚型:
IgG
- 形态:
冻干粉
- 保存条件:
Store at -20 °C for one year
- 克隆性:
多克隆
- 标记物:
见说明书
- 适应物种:
见说明书
- 保质期:
见说明书
- 抗原来源:
Rabbit
- 目录编号:
见说明书
- 级别:
见说明书
- 库存:
见说明书
- 供应商:
上海彩佑实业有限公司
- 宿主:
Rabbit
- 应用范围:
WB=1:500-2000 ELISA=1:500-1000 IHC-P=1:400-800 IHC-F=1:400-800 IF=1:100-500
- 浓度:
1mg/ml
- 靶点:
见说明书
- 抗体英文名:
GAPDH
- 抗体名:
3-磷酸甘油醛脱氢酶免疫组化荧光抗体
- 规格:
100ul
中文名称3-磷酸甘油醛脱氢酶抗体
别 名38 kDa BFA-dependent ADP-ribosylation substrate; Aging-associated gene 9 protein; BARS-38; cb609; EC 1.2.1.12; G3PD; G3PDH; GAPD; Glyceraldehyde 3 phosphate dehydrogenase; Glyceraldehyde 3 phosphate dehydrogenase liver; Glyceraldehyde 3 phosphate dehydrogenase muscle; KNC-NDS6; MGC102544; MGC102546; MGC103190; MGC103191; MGC105239; MGC127711; MGC88685; OCAS, p38 component; OCT1 coactivator in S phase, 38-KD component; wu:fb33a10.
文献引用:
说 明 书50ul 100ul 200ul
产品类型内参抗体
研究领域免疫学
抗体来源Rabbit
克隆类型Polyclonal
交叉反应 Human, Mouse, Rat, Rabbit,
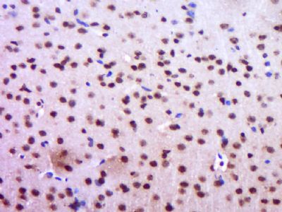
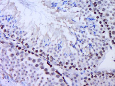
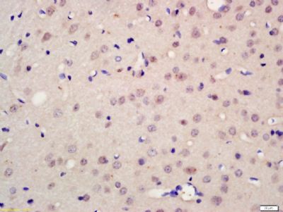
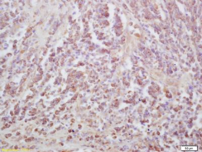
产品应用WB=1:2000-10000 IHC-P=1:400-800 IHC-F=1:400-800 IF=1:100-500 (石蜡切片需做抗原修复)
not yet tested in other applications.
optimal dilutions/concentrations should be determined by the end user.
分 子 量37kDa
细胞定位细胞核 细胞浆 细胞膜
性 状Lyophilized or Liquid
浓 度1mg/ml
免 疫 原GAPDH protein of rabbit:
亚 型IgG
纯化方法affinity purified by Protein A
储 存 液0.01M TBS(pH7.4) with 1% BSA, 0.03% Proclin300 and 50% Glycerol.
保存条件Store at -20 °C for one year. Avoid repeated freeze/thaw cycles. The lyophilized antibody is stable at room temperature for at least one month and for greater than a year when kept at -20°C. When reconstituted in sterile pH 7.4 0.01M PBS or diluent of antibody the antibody is stable for at least two weeks at 2-4 °C.
PubMedPubMed
产品介绍background:
Glyceraldehyde 3 phosphate dehydrogenase (GAPDH) is well known as one of the key enzymes involved in glycolysis. As well as functioning as a glycolytic enzyme in cytoplasm, recent evidence suggests that mammalian GAPDH is also involved in a great number of intracellular proceses such as membrane fusion, microtubule bundling, phosphotransferase activity, nuclear RNA export, DNA replication, and DNA repair. During the last decade a lot of data appeared concerning the role of GAPDH in different pathologies including prostate cancer progression, programmed neuronal cell death, age related neuronal diseases, such as Alzheimer's and Huntington's disease. GAPDH is expressed in all cells. It is constitutively expressed in almost all tissues at high levels. There are however some physiological factors such as hypoxia and diabetes that increase GAPDH expression in certain cell types. GAPDH molecule is composed of four 38kDa subunits.
Function:
Has both glyceraldehyde-3-phosphate dehydrogenase and nitrosylase activities, thereby playing a role in glycolysis and nuclear functions, respectively. Participates in nuclear events including transcription, RNA transport, DNA replication and apoptosis. Nuclear functions are probably due to the nitrosylase activity that mediates cysteine S-nitrosylation of nuclear target proteins such as SIRT1, HDAC2 and PRKDC. Glyceraldehyde-3-phosphate dehydrogenase is a key enzyme in glycolysis that catalyzes the first step of the pathway by converting D-glyceraldehyde 3-phosphate (G3P) into 3-phospho-D-glyceroyl phosphate.
Subunit:
Homotetramer. Interacts with TPPP; the interaction is direct. Interacts (when S-nitrosylated) with SIAH1; leading to nuclear translocation. Interacts with RILPL1/GOSPEL, leading to prevent the interaction between GAPDH and SIAH1 and prevent nuclear translocation. Interacts with EIF1AD, USP25, PRKCI and WARS.
Subcellular Location:
Cytoplasm, cytosol. Nucleus. Cytoplasm, perinuclear region. Membrane. Note=Translocates to the nucleus following S-nitrosylation and interaction with SIAH1, which contains a nuclear localization signal. Postnuclear and Perinuclear regions.
Post-translational modifications:
S-nitrosylation of Cys-152 leads to interaction with SIAH1, followed by translocation to the nucleus.
ISGylated (Probable).
Sulfhydration at Cys-152 increases catalytic activity.
Similarity:
Belongs to the glyceraldehyde-3-phosphate dehydrogenase family.
SWISS:
P04406
Gene ID:
100009074
Database links:
Entrez Gene: 493876 Cat
Entrez Gene: 374193 Chicken
Entrez Gene: 403755 Dog
Entrez Gene: 2597 Human
Entrez Gene: 100042025 Mouse
Entrez Gene: 14433 Mouse
Entrez Gene: 396823 Pig
Entrez Gene: 100009074 Rabbit
Entrez Gene: 24383 Rat
Entrez Gene: 685186 Rat
Entrez Gene: 380259 Xenopus laevis
Entrez Gene: 448356 Xenopus tropicalis
Entrez Gene: 317743 Zebrafish
Omim: 138400 Human
SwissProt: Cat
SwissProt: P00356 Chicken
SwissProt: Q28259 Dog
SwissProt: P70685 Guinea pig
SwissProt: P04406 Human
SwissProt: P16858 Mouse
SwissProt: P00355 Pig
SwissProt: P46406 Rabbit
SwissProt: P04797 Rat
SwissProt: P51469 Xenopus laevis
SwissProt: Q5XJ10 Zebrafish
Unigene: 544577 Human
Unigene: 592355 Human
Unigene: 598320 Human
Unigene: 304088 Mouse
Unigene: 309092 Mouse
Unigene: 317779 Mouse
Unigene: 343110 Mouse
Unigene: 392463 Mouse
Unigene: 392480 Mouse
Unigene: 414470 Mouse
Unigene: 458138 Mouse
Unigene: 458416 Mouse
Unigene: 475698 Mouse
Unigene: 129558 Rat
Unigene: 91450 Rat
Unigene: 995 Xenopus laevis
Unigene: 35640 Zebrafish
Important Note:
This product as supplied is intended for research use only, not for use in human, therapeutic or diagnostic applications.
甘油醛-3-磷酸脱氢酶(Glyceraldehyde 3 phosphate dehydrogenase,GAPDH)是糖酵解(glycolysis)过程中的关键酶。除了在胞质中作为糖酵解的酶以外,有证据表明哺乳动物细胞中的GAPDH参与了多种胞内生化过程,包括膜融合(membrane fusion)、微管成束(microtubule bundling)、磷酸转移酶(phosphotransferase)激活、核内RNA出核、DNA复制与DNA修复。一些生理因素,诸如低氧(hypoxia)和尿糖(diabetes),可以增加GAPDH在特定细胞中的表达。GAPDH存在于几乎所有的组织中,以高水平持续表达。 GAPDH(甘油醛-3-磷酸脱氢酶)是参与糖酵解的一种关键酶,由4个30-40kDa的亚基组成。
产品图片
风险提示:丁香通仅作为第三方平台,为商家信息发布提供平台空间。用户咨询产品时请注意保护个人信息及财产安全,合理判断,谨慎选购商品,商家和用户对交易行为负责。对于医疗器械类产品,请先查证核实企业经营资质和医疗器械产品注册证情况。
文献和实验问:求3-磷酸甘油醛脱氢酶测定方法及材料,感谢! 答:楼上说的就是GAPDH,主要用来做内参的,我现在就是用这个 做内参,你可以上网找这方面的信息,就是在结合二抗的时候按照一定的比例加到二抗里面,一起结合,效果很好。
3- 磷酸甘油醛脱氢酶 glyceraldehyde-3-phosphate dehydrogenase
催化糖酵解系统中最重要的一个阶段的酶。广泛发现在许多生物中 EC1. 2. 1. 12.是将有机分子的氧化能用高能磷酸键的形式保存起来的生物体反应中的一个典型。 D型 3-磷酸甘油醛 磷酸 NAD+ (在 NADH( NADHP)+ H 。反应机制已被相当详细的阐明。该酶具有活性所必需的 SH基。肌肉中的酶是与 NAD 牢固结合着的,已经能被结晶化。分子量 14万,由 4个相同的亚基组成。
量是否一致的参照,也常被用于免疫染色观察细胞的微管结构。 【GAPDH】甘油醛-3-磷酸脱氢酶,是参与糖酵解的一种关键酶,催化糖酵解的第六步,它还参与核转录等事件,核糖核酸转录、DNA复制和修复以及细胞凋亡。由 4 个30-40kDa 的亚基组成,分子量 146kDa,检测条带大约在36kDa。GAPDH 基因几乎在所有组织中都高水平表达,广泛用作WB的内参。在某些生理因素,如缺氧和糖尿病,会增加 GAPDH 在特定的细胞和组织的表达,如出现这类的样品,尽量避免选择 GAPDH 作为内参。 五
技术资料暂无技术资料 索取技术资料




















