万千商家帮你免费找货
0 人在求购买到急需产品
- 详细信息
- 文献和实验
- 技术资料
- 免疫原:
KLH conjugated
- 亚型:
IgG
- 形态:
冻干粉
- 保存条件:
负20°保存
- 克隆性:
多克隆
- 标记物:
详情请来电索取说明书
- 适应物种:
详情请来电索取说明书
- 宿主:
Rabbit
- 应用范围:
WB=1:500-2000 ELISA=1:500-1000 IHC-P=1:400-800 IHC-F=1:400-800 IF=1:100-500
- 浓度:
1mg/ml
- 靶点:
详情请来电索取说明书
- 抗体英文名:
SOX2
- 抗体名:
胚胎干细胞关键蛋白抗体
- 规格:
100ul/200ul
| 规格: | 100ul | 产品价格: | ¥1380.0 |
|---|---|---|---|
| 规格: | 200ul | 产品价格: | ¥2200.0 |
中文名称SOX2胚胎干细胞关键蛋白抗体
别 名transcriptional factor SOX2; ANOP3; cb236; Delta EF2a; lcc; MCOPS3; MGC148683; MGC2413; RGD1565646; Sex determining region Y box 2; Sex determining region Y-box 2; SOX 2; SRY (sex determining region Y) box 2; SRY box containing gene 2; SRY related HMG box 2; SRY related HMG box gene 2; SRY-box 2; ysb; SOX2_HUMAN; Transcription factor SOX-2; SOX2_HUMAN.
Specific References (6) | bs-0523R has been referenced in 6 publications.[IF=2.51] Gao, Qian, et al. "Expression pattern of embryonic stem cell markers in DFAT cells and ADSCs." Molecular biology reports 39.5 (2012): 5791-5804. Rat. PubMed:22237862 [IF=2.15] Liu, Yu-Hong, et al. "A signature for induced pluripotent stem cell?Cassociated genes in colorectal cancer."Medical Oncology 30.1 (2013): 1-11.( WB ; Human. PubMed:23307247 [IF=2.47] Yan, Yu-hui, et al. "Osthole Protects Bone Marrow-Derived Neural Stem Cells from Oxidative Damage through PI3K/Akt-1 Pathway." Neurochemical Research (2016): 1-8. other ; Mouse. PubMed:27734182 [IF=3.18] Liu, Yi‐Zhen, et al. "A panel of protein markers for the early detection of lung cancer with bronchial brushing specimens." Cancer cytopathology 122.11 (2014): 833-841. IHC-P ; Human. PubMed:25045014 [IF=5.23] Ma, Fanglin, et al. "Lin28a promotes self-renewal and proliferation of dairy goat spermatogonial stem cells (SSCs) through regulation of mTOR and PI3K/AKT." Scientific Reports 6 (2016): 38805. IF(ICC) ; Goat. PubMed:27941834 [IF=3.61] Wang, Li, et al. "Silencing stem cell factor attenuates stemness and inhibits migration of cancer stem cells derived from Lewis lung carcinoma cells."Tumor Biology (2015): 1-15. WB ; Mouse. PubMed:26666817
规格价格50ul 100ul 200ul
研究领域肿瘤 细胞生物 神经生物学 干细胞 细胞类型标志物
抗体来源Rabbit
克隆类型Polyclonal
交叉反应 Human, Mouse, Rat, Chicken, Dog, Pig, Cow, Horse, Rabbit, Sheep, Guinea Pig,
产品应用ELISA=1:500-1000 IHC-P=1:400-800 IHC-F=1:400-800 Flow-Cyt=1μg/Test ICC=1:100-500 IF=1:100-500 (石蜡切片需做抗原修复)
not yet tested in other applications.
optimal dilutions/concentrations should be determined by the end user.
分 子 量32kDa
细胞定位细胞核 细胞浆
性 状Lyophilized or Liquid
浓 度1mg/ml
免 疫 原KLH conjugated synthetic peptide derived from human Transcription factor SOX-2:227-317/317
亚 型IgG
纯化方法affinity purified by Protein A
储 存 液0.01M TBS(pH7.4) with 1% BSA, 0.03% Proclin300 and 50% Glycerol.
保存条件Store at -20 °C for one year. Avoid repeated freeze/thaw cycles. The lyophilized antibody is stable at room temperature for at least one month and for greater than a year when kept at -20°C. When reconstituted in sterile pH 7.4 0.01M PBS or diluent of antibody the antibody is stable for at least two weeks at 2-4 °C.
PubMedPubMed
SOX2胚胎干细胞关键蛋白抗体产品介绍background:
This intronless gene encodes a member of the SRY-related HMG-box (SOX) family of transcription factors involved in the regulation of embryonic development and in the determination of cell fate. The product of this gene is required for stem-cell maintenance in the central nervous system, and also regulates gene expression in the stomach. Mutations in this gene have been associated with optic nerve hypoplasia and with syndromic microphthalmia, a severe form of structural eye malformation. This gene lies within an intron of another gene called SOX2 overlapping transcript (SOX2OT). [provided by RefSeq, Jul 2008].
Function:
Transcription factor that forms a trimeric complex with OCT4 on DNA and controls the expression of a number of genes involved in embryonic development such as YES1, FGF4, UTF1 and ZFP206 (By similarity). Critical for early embryogenesis and for embryonic stem cell pluripotency. May function as a switch in neuronal development. Downstream SRRT target that mediates the promotion of neural stem cell self-renewal (By similarity). Keeps neural cells undifferentiated by counteracting the activity of proneural proteins and suppresses neuronal differentiation.
Subunit:
Interacts with ZSCAN10. Interacts with SOX3 and FGFR1.
Subcellular Location:
Nucleus.
Post-translational modifications:
Sumoylation inhibits binding on DNA and negatively regulates the FGF4 transactivation.
DISEASE:
Defects in SOX2 are the cause of microphthalmia syndromic type 3 (MCOPS3) [MIM:206900]. Microphthalmia is a clinically heterogeneous disorder of eye formation, ranging from small size of a single eye to complete bilateral absence of ocular tissues (anophthalmia). In many cases, microphthalmia/anophthalmia occurs in association with syndromes that include non-ocular abnormalities. MCOPS3 is characterized by the rare association of malformations including uni- or bilateral anophthalmia or microphthalmia, and esophageal atresia with trachoesophageal fistula.
Similarity:
Contains 1 HMG box DNA-binding domain.
SWISS:
P48432
Gene ID:
6657
Database links:
Entrez Gene: 6657 Human
Entrez Gene: 20674 Mouse
Omim: 184429 Human
SwissProt: P48431 Human
SwissProt: P48432 Mouse
Unigene: 518438 Human
Unigene: 65396 Mouse
Important Note:
This product as supplied is intended for research use only, not for use in human, therapeutic or diagnostic applications.
Embryonic Stem Cell Marker (胚胎干细胞标志物)
转录因子:胚胎干细胞相关蛋白Sox2是sox基因家族的一个成员,Sox2与Oct4、Nanog一样是胚胎干细胞重要的转录因子,是维持干细胞特性中起到重要的作用因子;由于它在早期胚胎发生、神经分化和晶状体发育等多种重要的发育事件中都起着关键的作用,从而引起了越来越广泛的关注。
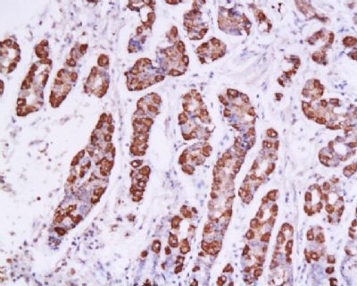
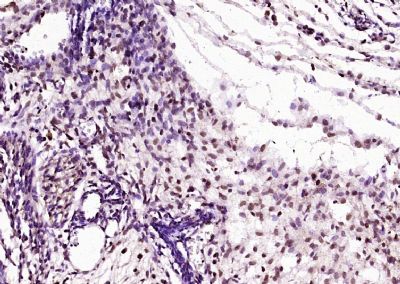
| 产品图片 | ![]() Tissue/cell: human stomach tissue; 4% Paraformaldehyde-fixed and paraffin-embedded; Antigen retrieval: citrate buffer ( 0.01M, pH 6.0 ), Boiling bathing for 15min; Block endogenous peroxidase by 3% Hydrogen peroxide for 30min; Blocking buffer (normal goat serum,C-0005) at 37℃ for 20 min; Incubation: Anti-Sox-2 Polyclonal Antibody, Unconjugated(bs-0523R) 1:200, overnight at 4°C, followed by conjugation to the secondary antibody(SP-0023) and DAB(C-0010) staining ![]() Paraformaldehyde-fixed, paraffin embedded (Mouse embryo); Antigen retrieval by boiling in sodium citrate buffer (pH6.0) for 15min; Block endogenous peroxidase by 3% hydrogen peroxide for 20 minutes; Blocking buffer (normal goat serum) at 37°C for 30min; Antibody incubation with (SOX2) Polyclonal Antibody, Unconjugated (bs-0523R) at 1:400 overnight at 4°C, followed by operating according to SP Kit(Rabbit) (sp-0023) instructionsand DAB staining. ![]() Paraformaldehyde-fixed, paraffin embedded (Rat brain); Antigen retrieval by boiling in sodium citrate buffer (pH6.0) for 15min; Block endogenous peroxidase by 3% hydrogen peroxide for 20 minutes; Blocking buffer (normal goat serum) at 37°C for 30min; Antibody incubation with (SOX2) Polyclonal Antibody, Unconjugated (bs-0523R) at 1:400 overnight at 4°C, followed by operating according to SP Kit(Rabbit) (sp-0023) instructionsand DAB staining. ![]() Paraformaldehyde-fixed, paraffin embedded (Mouse brain); Antigen retrieval by boiling in sodium citrate buffer (pH6.0) for 15min; Block endogenous peroxidase by 3% hydrogen peroxide for 20 minutes; Blocking buffer (normal goat serum) at 37°C for 30min; Antibody incubation with (SOX2) Polyclonal Antibody, Unconjugated (bs-0523R) at 1:400 overnight at 4°C, followed by operating according to SP Kit(Rabbit) (sp-0023) instructionsand DAB staining. ![]() Cell: NCCIT Concentration:1:100 Host/Isotype:Rabbit/IgG Flow cytometric analysis of Rabbit IgG isotype control (Cat#: bs-0523R) on NCCIT(green) compared with control in the absence of primary antibody (blue) followed by Alexa Fluor 488-conjugated goat anti-rabbit IgG(H+L) secondary antibody . |
风险提示:丁香通仅作为第三方平台,为商家信息发布提供平台空间。用户咨询产品时请注意保护个人信息及财产安全,合理判断,谨慎选购商品,商家和用户对交易行为负责。对于医疗器械类产品,请先查证核实企业经营资质和医疗器械产品注册证情况。
文献和实验性意味着到现在为止科学家们对此知之甚少,直到 20 世纪 90 年代早期研究者 YoshinoriOhsumi 进行了一系列实验,他利用面包酵母进行研究鉴别出于对自体吞噬作用非常重要的关键基因,随后他进行了大量研究阐明了酵母细胞中自体吞噬作用发生的分子机制,并且也在我们的机体细胞中发现了类似更为复杂的机制。新研究将焦点放在 ATG12 和 ATG5 这两种蛋白的结构和功能上。这些蛋白正确连接可形成一种称作自噬体(autophagosome)的细胞器。自噬体可像垃圾袋一样移除有毒物质,通过再循环向细胞
1 个关键药物,实现小鼠全能干细胞体外捕获和长期维持,北大杜鹏 Cell 报道新技术
背景介绍 干细胞研究与再生医学、辅助生殖、癌症、代谢紊乱和衰老有着广泛的联系,其中,在体外捕获和维持具有高分化潜能的胚胎干细胞 (ESCs) 是进行干细胞相关研究的基础。目前,体外培养的 ESCs 通常来自于内细胞团,能够分化为成年生物体的任何细胞类型,具有最高的发育潜能。但是到目前为止,在体外捕获和维持与体内全能卵裂球分子和功能相似的全能干细胞仍然是领域内的难题。 剪接体是由 5 个核心亚基和若干辅助因子组成的大分子核糖核蛋白复合体,是信使 RNA (mRNA) 剪接和成熟的动态分子机器
。他们确定出在小鼠胚胎干细胞中表达的24个基因并利用病毒载体将这些基因的额外拷贝引入从小鼠尾巴顶部获得的皮肤细胞中。当他们将24个基因的额外拷贝都插入细胞后发现,吸收了这些基因的小部分细胞确实表现出了胚胎干细胞的特征。但是只引入一个基因不能引发这种转变。通过排除法,研究组将候选基因删减到了4个:当将它们同时引入小鼠尾巴细胞中时,能够产生出类似胚胎干细胞的克隆。这四个基因中的三个基因是之前已经认识的,它们是Oct4、Sox2和从c-Myc。这些基因都是早期胚胎和胚胎干细胞中的关键基因。Yamanaka目前
技术资料暂无技术资料 索取技术资料














