相关产品推荐更多 >
万千商家帮你免费找货
0 人在求购买到急需产品
- 详细信息
- 文献和实验
- 技术资料
- 免疫原:
KLH conjugated
- 亚型:
IgG
- 形态:
冻干粉
- 保存条件:
零下20度保存
- 克隆性:
多克隆
- 标记物:
咨询客服索取说明书
- 适应物种:
人,大小鼠等多抗
- 宿主:
Rabbit
- 应用范围:
WB=1:500-2000 ELISA=1:500-1000 IHC-P=1:400-800 IHC-F=1:400-800 IF=1:100-500
- 浓度:
1mg/ml
- 靶点:
咨询客服索取说明书
- 抗体英文名:
PTEN
- 抗体名:
PTEN
- 规格:
100ul
中文名称一种肿瘤抑制基因抗体(C端)
别 名Bannayan Zonana; BZS a; ITGA 2; MGC11227; MHAM; MMAC 1; MMAC1; Multiple hamartoma (Cowden syndrome); Mutated in Mutiple Advanced Cancers 1; Phosphatase and Tensin Homolog; Phosphatidylinositol 345 trisphosphate 3 phosphatase and dual specificity protein phosphatase PTEN; Phosphatidylinositol 345 trisphosphate 3 phosphatase; Platelet antigen BR; PTEN 1; PTEN1; Tensin homolog; TEP 1; TEP1; VLA 2 Receptor Alpha Subunit; 10q23del; Bannayan Zonana syndrome; BZS; DEC; GLM2; MMAC1 phosphatase and tensin homolog deleted on chromosome 10; Phosphatase and Tensin Homolog; Phosphatase and Tensin Homolog; Phosphatase and tensin like protein; Phosphatidylinositol 345 trisphosphate 3 phosphatase and dual specificity protein phosphatase PTEN; Phosphatidylinositol-3,4,5-trisphosphate 3-phosphatase and dual-specificity protein phosphatase PTEN; PTEN 1; PTEN_HUMAN.
规格50ul 100ul 200ul
研究领域肿瘤 细胞凋亡
抗体来源Rabbit
克隆类型Polyclonal
交叉反应 Human, Mouse, Rat, Chicken, Dog, Pig, Cow, Horse,
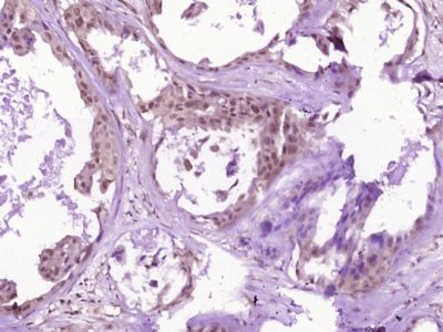
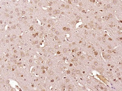
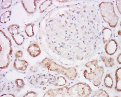
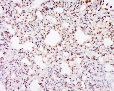
产品应用WB=1:500-2000 ELISA=1:500-1000 IHC-P=1:400-800 IHC-F=1:400-800 Flow-Cyt=1ug/Test IF=1:100-500 (石蜡切片需做抗原修复)
not yet tested in other applications.
optimal dilutions/concentrations should be determined by the end user.
分 子 量44kDa
细胞定位细胞核 细胞浆
性 状Lyophilized or Liquid
浓 度1mg/ml
免 疫 原KLH conjugated synthetic peptide derived from human PTEN:201-300/403
亚 型IgG
纯化方法affinity purified by Protein A
储 存 液0.01M TBS(pH7.4) with 1% BSA, 0.03% Proclin300 and 50% Glycerol.
保存条件Store at -20 °C for one year. Avoid repeated freeze/thaw cycles. The lyophilized antibody is stable at room temperature for at least one month and for greater than a year when kept at -20°C. When reconstituted in sterile pH 7.4 0.01M PBS or diluent of antibody the antibody is stable for at least two weeks at 2-4 °C.
PubMedPubMed
产品介绍background:
This gene was identified as a tumor suppressor that is mutated in a large number of cancers at high frequency. The protein encoded this gene is a phosphatidylinositol-3,4,5-trisphosphate 3-phosphatase. It contains a tensin like domain as well as a catalytic domain similar to that of the dual specificity protein tyrosine phosphatases. Unlike most of the protein tyrosine phosphatases, this protein preferentially dephosphorylates phosphoinositide substrates. It negatively regulates intracellular levels of phosphatidylinositol-3,4,5-trisphosphate in cells and functions as a tumor suppressor by negatively regulating AKT/PKB signaling pathway. [provided by RefSeq, Jul 2008]
Function:
Tumor suppressor. Acts as a dual-specificity protein phosphatase, dephosphorylating tyrosine-, serine- and threonine-phosphorylated proteins. Also acts as a lipid phosphatase, removing the phosphate in the D3 position of the inositol ring from phosphatidylinositol 3,4,5-trisphosphate, phosphatidylinositol 3,4-diphosphate, phosphatidylinositol 3-phosphate and inositol 1,3,4,5-tetrakisphosphate with order of substrate preference in vitro PtdIns(3,4,5)P3 > PtdIns(3,4)P2 > PtdIns3P > Ins(1,3,4,5)P4. The lipid phosphatase activity is critical for its tumor suppressor function. Antagonizes the PI3K-AKT/PKB signaling pathway by dephosphorylating phosphoinositides and thereby modulating cell cycle progression and cell survival. The unphosphorylated form cooperates with AIP1 to suppress AKT1 activation. Dephosphorylates tyrosine-phosphorylated focal adhesion kinase and inhibits cell migration and integrin-mediated cell spreading and focal adhesion formation. Plays a role as a key modulator of the AKT-mTOR signaling pathway controlling the tempo of the process of newborn neurons integration during adult neurogenesis, including correct neuron positioning, dendritic development and synapse formation. May be a negative regulator of insulin signaling and glucose metabolism in adipose tissue. The nuclear monoubiquitinated form possesses greater apoptotic potential, whereas the cytoplasmic nonubiquitinated form induces less tumor suppressive ability.
Subunit:
Monomer. The unphosphorylated form interacts with the second PDZ domain of AIP1 and with DLG1 and MAST2 in vitro. Interacts with MAGI2, MAGI3, MAST1 and MAST3, but neither with MAST4 nor with DLG5. Interaction with MAGI2 increases protein stability. Interacts with NEDD4. Interacts with NDFIP1 and NDFIP2; in the presence of NEDD4 or ITCH, this interaction promotes PTEN ubiquitination. Interacts (via C2 domain) with FRK. Interacts with USP7; the interaction is direct. Interacts with ROCK1. Interacts with XIAP/BIRC4.
Subcellular Location:
Cytoplasm. Nucleus. Nucleus, PML body. Note=Monoubiquitinated form is nuclear. Nonubiquitinated form is cytoplasmic. Colocalized with PML and USP7 in PML nuclear bodies. XIAP/BIRC4 promotes its nuclear localization.
Tissue Specificity:
Expressed at a relatively high level in all adult tissues, including heart, brain, placenta, lung, liver, muscle, kidney and pancreas.
Post-translational modifications:
Constitutively phosphorylated by CK2 under normal conditions. Phosphorylated in vitro by MAST1, MAST2 and MAST3. Phosphorylation results in an inhibited activity towards PIP3. Phosphorylation can both inhibit or promote PDZ-binding. Phosphorylation at Tyr-336 by FRK/PTK5 protects this protein from ubiquitin-mediated degradation probably by inhibiting its binding to NEDD4. Phosphorylation by ROCK1 is essential for its stability and activity. Phosphorylation by PLK3 promotes its stability and prevents its degradation by the proteasome.
Monoubiquitinated; monoubiquitination is increased in presence of retinoic acid. Deubiquitinated by USP7; leading to its nuclear exclusion. Monoubiquitination of one of either Lys-13 and Lys-289 amino acid is sufficient to modulate PTEN compartmentalization. Ubiquitinated by XIAP/BIRC4.
DISEASE:
Defects in PTEN are a cause of Cowden disease (CD) [MIM:158350]; also known as Cowden syndrome (CS). CD is an autosomal dominant cancer predisposition syndrome associated with elevated risk for tumors of the breast, thyroid and skin. The predominant phenotype for CD is multiple hamartoma syndrome, in many organ systems including the breast (70% of CD patients), thyroid (40-60%), skin, CNS (40%), gastrointestinal tract. Affected individuals are at an increased risk of both breast and thyroid cancers. Trichilemmomas (benign tumors of the hair follicle infundibulum), and mucocutaneous papillomatosis (99%) are hallmarks of CD.
Defects in PTEN are the cause of Lhermitte-Duclos disease (LDD) [MIM:158350]; also known as cerebelloparenchymal disorder VI. LDD is characterized by dysplastic gangliocytoma of the cerebellum which often results in cerebellar signs and seizures. LDD and CD seem to be the same entity, and are considered as hamartoma-neoplasia syndromes.
Defects in PTEN are a cause of Bannayan-Zonana syndrome (BZS) [MIM:153480]; also known as Ruvalcaba-Myhre-Smith syndrome (RMSS) or Bannayan-Riley-Ruvalcaba syndrome (BRRS). In BZS there seems not to be an increased risk of malignancy. It has a partial clinical overlap with CD. BZS is characterized by the classic triad of macrocephaly, lipomatosis and pigmented macules of the gland penis.
Defects in PTEN are a cause of head and neck squamous cell carcinomas (HNSCC) [MIM:275355]; also known as squamous cell carcinoma of the head and neck.
Defects in PTEN are a cause of susceptibility to endometrial cancer (ENDMC) [MIM:608089].
Note=PTEN mutations are found in a subset of patients with Proteus syndrome, a genetically heterogeneous condition. The molecular diagnosis of PTEN mutation positive cases classifies Proteus syndrome patients as part of the PTEN hamartoma syndrome spectrum. As such, patients surviving the early years of Proteus syndrome are likely at a greater risk of developing malignancies.
Defects in PTEN are a cause of susceptibility to glioma type 2 (GLM2) [MIM:613028]. Gliomas are central nervous system neoplasms derived from glial cells and comprise astrocytomas, glioblastoma multiforme, oligodendrogliomas, and ependymomas.
[DISEASE] Defects in PTEN are a cause of VACTERL association with hydrocephalus (VACTERL-H) [MIM:276950]. VACTERL is an acronym for vertebral anomalies, anal atresia, congenital cardiac disease, tracheoesophageal fistula, renal anomalies, radial dysplasia, and other limb defects.
Defects in PTEN may be a cause of susceptibility to prostate cancer (PC) [MIM:176807]. It is a malignancy originating in tissues of the prostate. Most prostate cancers are adenocarcinomas that develop in the acini of the prostatic ducts. Other rare histopathologic types of prostate cancer that occur in approximately 5% of patients include small cell carcinoma, mucinous carcinoma, prostatic ductal carcinoma, transitional cell carcinoma, squamous cell carcinoma, basal cell carcinoma, adenoid cystic carcinoma (basaloid), signet-ring cell carcinoma and neuroendocrine carcinoma.
Defects in PTEN are a cause of macrocephaly/autism syndrome (MCEPHAS) [MIM:605309]. Patients have autism spectrum disorders and macrocephaly, with head circumferences ranging from +2.5 to +8 SD for age and sex (average head circumference +4.0 SD).
Note=A microdeletion of chromosome 10q23 involving BMPR1A and PTEN is a cause of chromosome 10q23 deletion syndrome, which shows overlapping features of the following three disorders: Bannayan-Zonana syndrome, Cowden disease and juvenile polyposis syndrome.
Similarity:
Contains 1 C2 tensin-type domain.
Contains 1 phosphatase tensin-type domain.
SWISS:
P60484
Gene ID:
5728
Database links:
Entrez Gene: 5728 Human
Entrez Gene: 19211 Mouse
Entrez Gene: 50557 Rat
Omim: 601728 Human
SwissProt: P60484 Human
SwissProt: O08586 Mouse
Unigene: 500466 Human
Unigene: 245395 Mouse
Unigene: 444861 Mouse
Important Note:
This product as supplied is intended for research use only, not for use in human, therapeutic or diagnostic applications.
PTEN是一种肿瘤抑制基因(C端抗体),在维持细胞的增殖、分化和凋亡平衡起重要作用,该基因在许多肿瘤常表现为突变或杂合性丢失,NMAC1主要用于胶质瘤、乳腺、前列腺癌、非何杰金氏淋巴瘤各种恶性肿瘤的研究.
风险提示:丁香通仅作为第三方平台,为商家信息发布提供平台空间。用户咨询产品时请注意保护个人信息及财产安全,合理判断,谨慎选购商品,商家和用户对交易行为负责。对于医疗器械类产品,请先查证核实企业经营资质和医疗器械产品注册证情况。
文献和实验共表达。结果,显著地增加T细胞反应,但细胞免疫强于体液免疫。 细胞内源性蛋白的降解主要通过泛素途径。泛素是一种由76个氨基酸组成的蛋白质分子,其C端为—Gly。当要降解的底物蛋白被识别后,其Lys与泛素末位Gly共价结合,其它泛素分子的Gly再顺次结合到前一分子的Lys上,形成多聚泛素--底物蛋白复合物,该复合物最终将被蛋白酶体降解。最近,Rodriguez等利用此降解途径,将淋巴细胞脉络丛脑炎病毒的核心蛋白(NP)与泛素蛋白(Ub)融合表达,Ub稍作改动,即将末位的Gly改为Ala,以防
,但细胞免疫强于体液免疫。 细胞内源性蛋白的降解主要通过泛素途径。泛素是一种由76个氨基酸组成的蛋白质分子,其C端为—Gly。当要降解的底物蛋白被识别后,其Lys与泛素末位Gly共价结合,其它泛素分子的Gly再顺次结合到前一分子的Lys上,形成多聚泛素--底物蛋白复合物,该复合物最终将被蛋白酶体降解。最近,Rodriguez等利用此降解途径,将淋巴细胞脉络丛脑炎病毒的核心蛋白(NP)与泛素蛋白(Ub)融合表达,Ub稍作改动,即将末位的Gly改为Ala,以防止融合蛋白降解为NP和Ub单体
)是一种RNA质粒之外,迄今所知的所有质粒无一例外地都是属于这种类型的DNA分子[1],质粒DNA分子可以持续稳定地处于染色体外的游离状态,随着染色体的复制而复制,并通过细胞分裂传递到后代[2],为了更好地适应细胞的生理特点,质粒主要以细长并具有负超螺旋结构的形式存在于原核细胞中[3]。环形双链的质粒DNA分子具有三种不同的构型:超螺旋型(SC)质粒DNA;开环型(OC)质粒DNA和线性(L)质粒DNA分子[4]。 用于基因工程改造的质粒载体通常包括复制子、选择标记和目的基因和启动子[5],为了获得


















