相关产品推荐更多 >
万千商家帮你免费找货
0 人在求购买到急需产品
- 详细信息
- 询价记录
- 文献和实验
- 技术资料
- 库存:
库存充足
- 细胞类型:
正常细胞/癌细胞
- 组织来源:
详见说明
- 相关疾病:
详询
- 物种来源:
人源
- 细胞形态:
上皮细胞样
- 器官来源:
详询人员
- 运输方式:
快递托运
- 年限:
三代内
- 生长状态:
优良
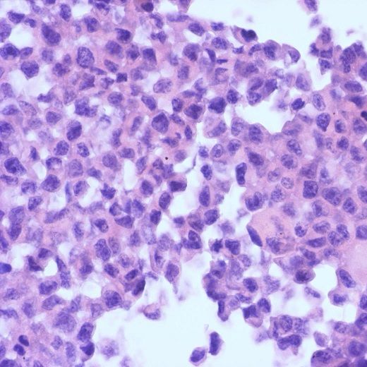
细胞名称:Lo2 人正常肝细胞
组织来源:肝细胞
培养条件:RPMI-1640 +10% FBS
形 态:贴壁;上皮细胞样
背 景:L-02细胞建系鉴定于1980年(叶秀珍等,1980)。该细胞是一株正常肝细胞系,具有典型的肝细胞形态学特征,可用于多种实验研究。
PubMed=31160637; DOI=10.1038/s41598-019-44491-x
Quentmeier H., Pommerenke C., Dirks W.G., Eberth S., Koeppel M., MacLeod R.A.F., Nagel S., Steube K., Uphoff C.C., Drexler H.G.
The LL-100 panel: 100 cell lines for blood cancer studies.
Sci. Rep. 9:8218-8218(2019)
PubMed=31978347; DOI=10.1016/j.cell.2019.12.023
Nusinow D.P., Szpyt J., Ghandi M., Rose C.M., McDonald E.R. III, Kalocsay M., Jane-Valbuena J., Gelfand E.T., Schweppe D.K., Jedrychowski M.P., Golji J., Porter D.A., Rejtar T., Wang Y.K., Kryukov G.V., Stegmeier F., Erickson B.K., Garraway L.A., Sellers W.R., Gygi S.P.
Quantitative proteomics of the Cancer Cell Line Encyclopedia.
Cell 180:387-402.e16(2020)
PubMed=35354797; DOI=10.1038/s41467-022-29224-5
Leo I.R., Aswad L., Stahl M., Kunold E., Post F., Erkers T., Struyf N., Mermelekas G., Joshi R.N., Gracia-Villacampa E., Ostling P., Kallioniemi O.-P., Pokrovskaja Tamm K., Siavelis I., Lehtio J., Vesterlund M., Jafari R.
Integrative multi-omics and drug response profiling of childhood acute lymphoblastic leukemia cell lines.
Nat. Commun. 13:1691.1-1691.19(2022)
风险提示:丁香通仅作为第三方平台,为商家信息发布提供平台空间。用户咨询产品时请注意保护个人信息及财产安全,合理判断,谨慎选购商品,商家和用户对交易行为负责。对于医疗器械类产品,请先查证核实企业经营资质和医疗器械产品注册证情况。
- 作者
- 内容
- 询问日期
文献和实验*发表【中文论文】请标注:由上海盖宁生物科技有限公司提供;
*发表【英文论文】请标注:From Shanghai Gaining Biotechnology Co., Ltd.
技术资料暂无技术资料 索取技术资料









