相关产品推荐更多 >
万千商家帮你免费找货
0 人在求购买到急需产品
- 详细信息
- 询价记录
- 文献和实验
- 技术资料
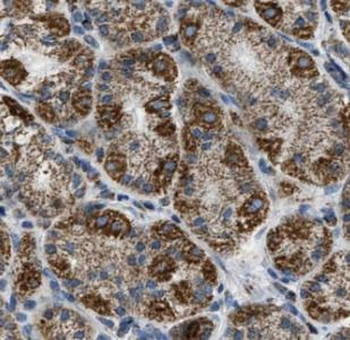
- 抗体名:
GRP Antibody抗体
- 抗体英文名:
GRP Antibody
- 靶点:
GRP
- 应用范围:
ELISA, IHC, WB
- 宿主:
Rabbit
- 适应物种:
Human
- 保质期:
6-12个月
- 抗原来源:
详询
- 目录编号:
orb395477
- 级别:
科研级
- 库存:
88
- 供应商:
biorbyt
- 标记物:
Unconjugated
- 克隆性:
Polyclonal
- 形态:
liquid
- 亚型:
IgG
- 免疫原:
gastrin-releasing peptide
- 规格:
50 ug
别名:BN, gastrin releasing peptide, GRP, GRP 10, preproGRP, proGRP
免疫原:gastrin-releasing peptide
分子量:16kd,32kd
应用稀释比例:WB: 1:500-1:2000; IHC: 1:20-1:200; IF: 1:20-1:200
纯度:≥95% as determined by SDS-PAGE
纯化:Immunogen affinity purified
保存说明:Maintain refrigerated at 2-8°C for up to 2 weeks. For long term storage store at -20°C in small aliquots to prevent freeze-thaw cycles.
UniProt ID:P07492
Note:For research use only.


风险提示:丁香通仅作为第三方平台,为商家信息发布提供平台空间。用户咨询产品时请注意保护个人信息及财产安全,合理判断,谨慎选购商品,商家和用户对交易行为负责。对于医疗器械类产品,请先查证核实企业经营资质和医疗器械产品注册证情况。
- 作者
- 内容
- 询问日期
文献和实验【求助】谁有关于GRP78或者ER stress 相关的信号通路图?
syo820924 急需,谢谢共享! liuxin20040601 从文献上下的图片 liuxin20040601 还有一张。 本文由丁香园论坛提供,想了解更多有用的、有意思的前沿资讯以及酷炫的实验方法的你,都可以成为师兄的好伙伴 师兄微信号:shixiongcoming
Cell:为啥听到恐怖电影的音乐会害怕?这篇文章告诉你恐惧感到底「挑逗」了哪根神经
网络活性。尽管对皮层细胞类型和调节模式有了一定的了解,但是皮层中大多数神经肽在细胞层面及其对行为的影响尚不明确。2021 年 10 月 4 日,霍华德·休斯医学研究所的 Bernardo L. Sabatini 团队在 Cell 杂志上发表了题为 Bombesin-like peptide recruits disinhibitory cortical circuits and enhances fear memories 的文章,揭示 GRP(gastrin-releasing peptide)主要
化。BAPTA的pKa3为5.47,pKa4为6.36。这个特点显示了去质子化的步骤并不包含在Ca的螯合步骤中。由于不受质子的干扰,它的螯合率比EGTA要高很多。BAPTA-AM是BAPTA的乙酰甲酯衍生物,通过AM法,能被轻易负载到细胞中。BAPTA-AM对于细胞内钙离子的监控是非常有用的。 kaige88 葡萄糖调节蛋白(glucose regulated proteins, GRPs)是内质网中一类重要的驻留蛋白,包括GRP78和GRP94。 GRP
技术资料暂无技术资料 索取技术资料







![EEF2K Antibody [KO/KD Validated]抗体,orb304741,biorbyt](https://img1.dxycdn.com/p/s14/2025/1204/179/6108530765771146991.jpg!wh200)


