相关产品推荐更多 >
万千商家帮你免费找货
0 人在求购买到急需产品
- 详细信息
- 文献和实验
- 技术资料
- 抗体名:
CA181 Antibody
- 抗体英文名:
CA181 Antibody
- 靶点:
详见说明书
- 浓度:
1.0mg/ml
- 应用范围:
WB
- 宿主:
Human, Mouse
- 供应商:
上海钰博生物科技有限公司
- 库存:
大量
- 目录编号:
1449
- 抗原来源:
Human, Mouse
- 保质期:
1年
- 适应物种:
详见说明书
- 标记物:
详见说明书
- 克隆性:
多克隆
- 保存条件:
Store at -20°C
- 形态:
液体或冻干粉
- 亚型:
详见说明书
- 免疫原:
详见说明书
- 规格:
50μg/50μl, 100μg/100μl
-
- Catalog No. : Yb--1449
- Size : 50μg/50μl, 100μg/100μl
-
- Mol Weight : 54 KD
- UniProt : Q9NWK9
-
- Isotype : Rabbit IgG
- Clonality : Polyclonal
-
- Price : $265/100μg
- Availability : Ship next day
Category
- Primary Antibodies
- Secondary antibody
- Loading control / tag antibody
Details
Alternative Names:
HIT-type zinc finger-containing protein C1orf181, HIT-type zinc finger-containing protein C1orf181, C1orf181
Application:
WB
Reactivity:
Human, Mouse
Dilution:
WB 1:500~1:1000
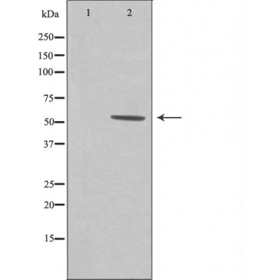
![]() |
Western blot analysis of extracts from Jurkat cells and HeLa cells, using CA181 antibody. |
Purification:
Affinity-chromatography
Specificity:
CA181 Antibody detects endogenous levels of total CA181
Immunogen:
A synthesized peptide derived from human CA181
Description:
Storage Condition and Buffer:
Rabbit IgG in phosphate buffered saline , pH 7.4, 150mM NaCl, 0.02% sodium azide and 50% glycerol. Store at +4°C short term. Store at -20°C long term. Avoid freeze / thaw cycle.
风险提示:丁香通仅作为第三方平台,为商家信息发布提供平台空间。用户咨询产品时请注意保护个人信息及财产安全,合理判断,谨慎选购商品,商家和用户对交易行为负责。对于医疗器械类产品,请先查证核实企业经营资质和医疗器械产品注册证情况。
文献和实验Protein Expression and Purification of RPA70-AB (181-422)
Comments: pSV281 RPA70AB Constructed by L.Mizoue; May '02.This plasmid encodes RPA 70 subunit residues 181-422 as a fusion protein with an NT 6His tag.The tag can be cleaved off with TEV protease (recognition site is ENLFYQG)leaving "GS" at NT
概述: 折射指数是一项非常重要光学参数,宝石的特性可以根据此项参数来测定。 各种宝石都可以根据折射率的值来测定,因为不同的宝石都有固定折射率。另外,双重折射率也可以被测出。根据此参数可以判断一块宝石,是单轴晶体还是双轴晶体,是正趋光性还是负趋光性。 这种宝石折射仪的特点是小巧轻便。便于携带,在珠宝行业中很受欢迎。 技术参数: 测量范围:1.30~1.81 最小刻度:0.01 体积:30×70×130
Measurement of Ca2+ Entry Using 45Ca2+
For decades, the measurement of extracellular Ca2+ (40 Cao 2+ ) entry into cells, using 45 Ca2+ as carrier, has been a widely used technique. One of the first studies was performed by Hodgkin and Keynes (1 ) to measure the rate at which 40
技术资料暂无技术资料 索取技术资料











