相关产品推荐更多 >
万千商家帮你免费找货
0 人在求购买到急需产品
- 详细信息
- 文献和实验
- 技术资料
- 抗体名:
PPHLN Antibody
- 抗体英文名:
PPHLN Antibody
- 靶点:
详见说明书
- 浓度:
1.0mg/ml
- 应用范围:
WB IHC
- 宿主:
Human Mouse
- 供应商:
上海钰博生物科技有限公司
- 库存:
大量
- 目录编号:
3677
- 抗原来源:
Human Mouse
- 保质期:
1年
- 适应物种:
详见说明书
- 标记物:
详见说明书
- 克隆性:
多克隆
- 保存条件:
Store at -20°C
- 形态:
液体或冻干粉
- 亚型:
详见说明书
- 免疫原:
详见说明书
- 规格:
50μg/50μl, 100μg/100μl
-
- Catalog No. : YB3677
- Size : 50μg/50μl, 100μg/100μl
-
- Mol Weight : 53 KD
- UniProt : Q8NEY8
-
- Isotype : Rabbit IgG
- Clonality : Polyclonal
-
- Price : $265/100μg
- Availability : Ship next day
Category
- Primary Antibodies
- Secondary antibody
- Loading control / tag antibody
Details
Alternative Names:
Periphilin-1, Gastric cancer antigen Ga50, PPHLN1, HSPC206, HSPC232
Application:
WB IHC
Reactivity:
Human, Mouse
Dilution:
WB 1:500~1:1000 IHC: 1:50~1:200
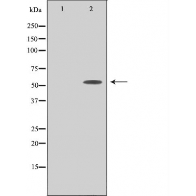
![]() |
Western blot analysis of extracts from COLO cells and 293 cells, using PPHLN antibody. |
Purification:
Affinity-chromatography
Specificity:
PPHLN Antibody detects endogenous levels of total PPHLN
Immunogen:
A synthesized peptide derived from human PPHLN
Description:
Storage Condition and Buffer:
Rabbit IgG in phosphate buffered saline , pH 7.4, 150mM NaCl, 0.02% sodium azide and 50% glycerol. Store at +4°C short term. Store at -20°C long term. Avoid freeze / thaw cycle.
风险提示:丁香通仅作为第三方平台,为商家信息发布提供平台空间。用户咨询产品时请注意保护个人信息及财产安全,合理判断,谨慎选购商品,商家和用户对交易行为负责。对于医疗器械类产品,请先查证核实企业经营资质和医疗器械产品注册证情况。
文献和实验Generation of Antibody Molecules Through Antibody Engineering
been overcome to a large extent using genetic-engineering techniques to produce chimeric mouse/human and completely human antibodies. Such an approach is particularly suitable because of the domain structure of the antibody molecule ( 2 ), where functional
The importance of antibody molecules was first recognized in the 1890s, when it was shown that immunity to tetanus and diphtheria was caused by antibodies against the bacterial exotoxins (1 ). Around the same time, it was shown that antisera
General comments: Antibodies, like most proteins, do not like to be freeze-thawed. Avoid repetitive freezing of your solution. The best way to store your antibody is to keep a high protein concentration (>1 mg/ml), add some protease
技术资料暂无技术资料 索取技术资料











