相关产品推荐更多 >
万千商家帮你免费找货
0 人在求购买到急需产品
- 详细信息
- 文献和实验
- 技术资料
- 抗体名:
BMR1A antibody抗体
- 抗体英文名:
BMR1A antibody
- 靶点:
BMR1A
- 浓度:
- 100 μg (in 200 μl): 0.5 mg/ml- 200 μg (in 400 μl): 0.5 mg/ml
- 应用范围:
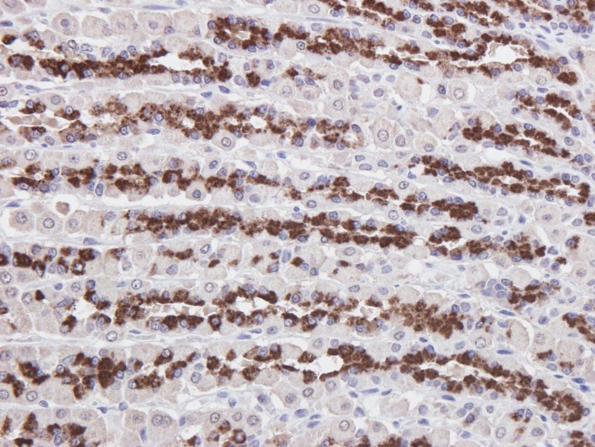
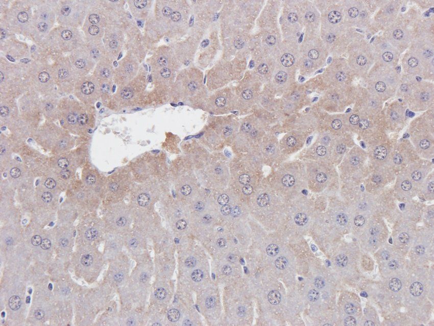
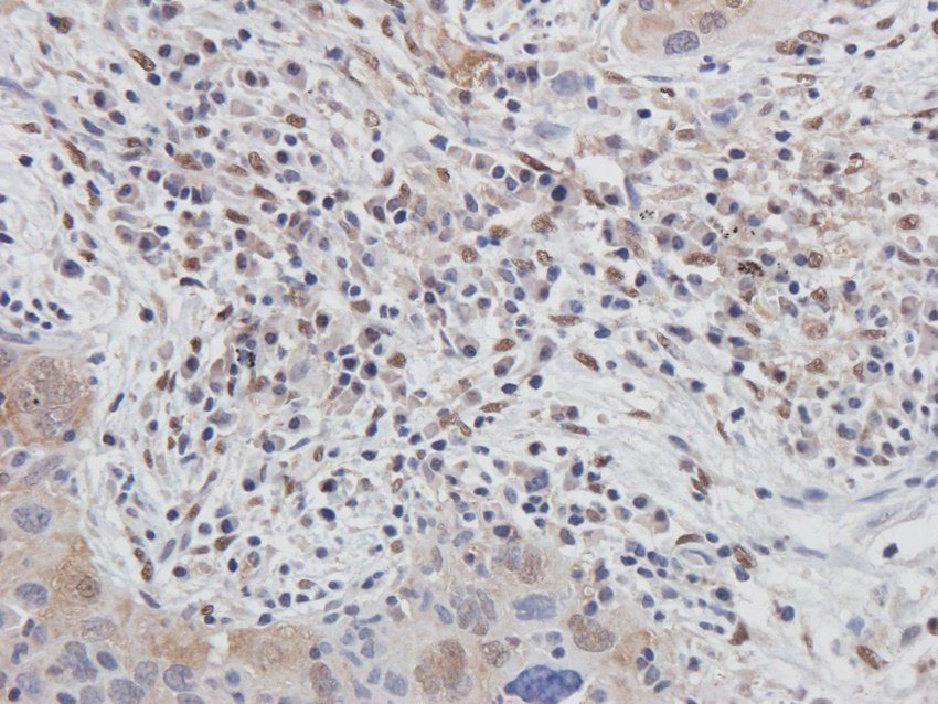
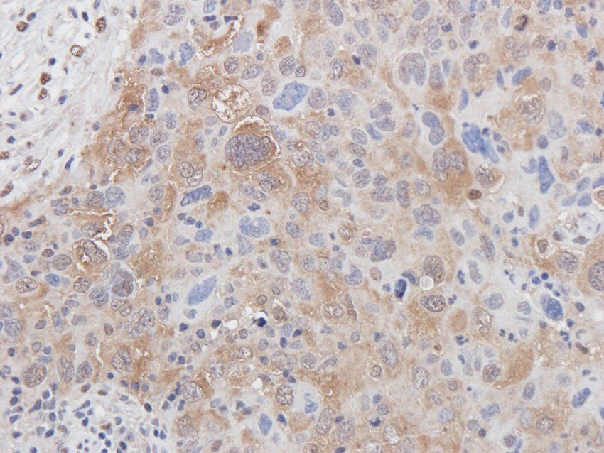
IHC-P, WB
- 宿主:
Rabbit
- 适应物种:
Human, Mouse, Rat
- 保质期:
6-12个月
- 抗原来源:
详询
- 目录编号:
orb19450
- 级别:
科研级
- 库存:
88
- 供应商:
biorbyt
- 标记物:
Unconjugated
- 克隆性:
Polyclonal
- 形态:
10 mM PBS, 0.02% sodium azide
- 亚型:
IgG
- 免疫原:
KLH conjugated synthetic peptide derived from human BMR1A. Please contact us for the exact immunogen sequence. The peptide is available as orb393966.
- 规格:
100 ug
别名:Anti-Adm antibody, anti-ADM precursor antibody, anti-ADML_HUMAN antibody, anti-AM antibody, anti-PAMP antibody, anti-Preproadrenomedullin antibody, anti-Proadrenomedullin N-20 terminal peptide antibody, anti-Proadrenomedullin N20 terminal peptide antibody, anti-ProAM N terminal 20 peptide antibody, anti-ProAM N-terminal 20 peptide antibody, anti-ProAM N20 antibody, anti-ProAM-N20 antibody, anti-ProAMN20 antibody
免疫原:KLH conjugated synthetic peptide derived from human BMR1A. Please contact us for the exact 免疫原 sequence. The peptide is available as orb393966.
分子量:60 kDa
应用稀释比例:WB: 1-200-1000, IHC-P: 1:100-500
纯度:Polyclonal antibodies are purified by peptide affinity chromatography
保存说明:Maintain refrigerated at 2-8°C for up to 2 weeks. For long term storage store at -20°C in small aliquots to prevent freeze-thaw cycles.
NCBI:057057, 015973
Entrez:51083
UniProt ID:P10683
Note:For research use only.









风险提示:丁香通仅作为第三方平台,为商家信息发布提供平台空间。用户咨询产品时请注意保护个人信息及财产安全,合理判断,谨慎选购商品,商家和用户对交易行为负责。对于医疗器械类产品,请先查证核实企业经营资质和医疗器械产品注册证情况。
文献和实验人 CYP1A2酶联免疫 分析 试剂 盒使用说明书 本试剂仅供研究使用 目的:本试剂盒用于测定人血清,血浆及相关液体样本中 CYP1A2 的含量。 实验原理 : 本试剂盒应用双抗体夹心法测定 标本 中 人 CYP1A2 水平。用纯化的 人 CYP1A2 抗体包被微孔板,制成固相抗体,往包被单抗的微孔中依次加入 CYP1A2 ,再与HRP 标记的 CYP1A2 抗体结合,形成抗体- 抗原 - 酶标抗体复合物 ,经过彻底
世霸总批发 SB1A01 SB1A01S SB1A02 SB1A02S SB1A03 SB1A03S SB1A01E SB1A01ES
Ovarian carcinoma is the most lethal tumor of the female genital tract and continues to be a major cause of female cancer deaths, largely as a function of early abdominal seeding producing carcinomatosis. The high rate of mortality is mainly
技术资料暂无技术资料 索取技术资料










