相关产品推荐更多 >
万千商家帮你免费找货
0 人在求购买到急需产品
- 详细信息
- 文献和实验
- 技术资料
- 抗体名:
ERCC5 antibody抗体
- 抗体英文名:
ERCC5 antibody
- 靶点:
ERCC5
- 浓度:
- 100 μg (in 200 μl): 0.5 mg/ml- 200 μg (in 400 μl): 0.5 mg/ml
- 应用范围:
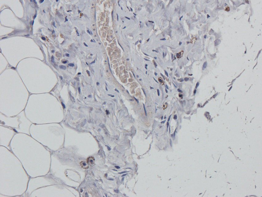
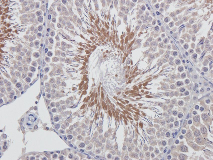
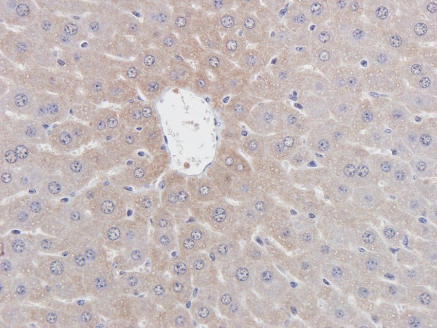
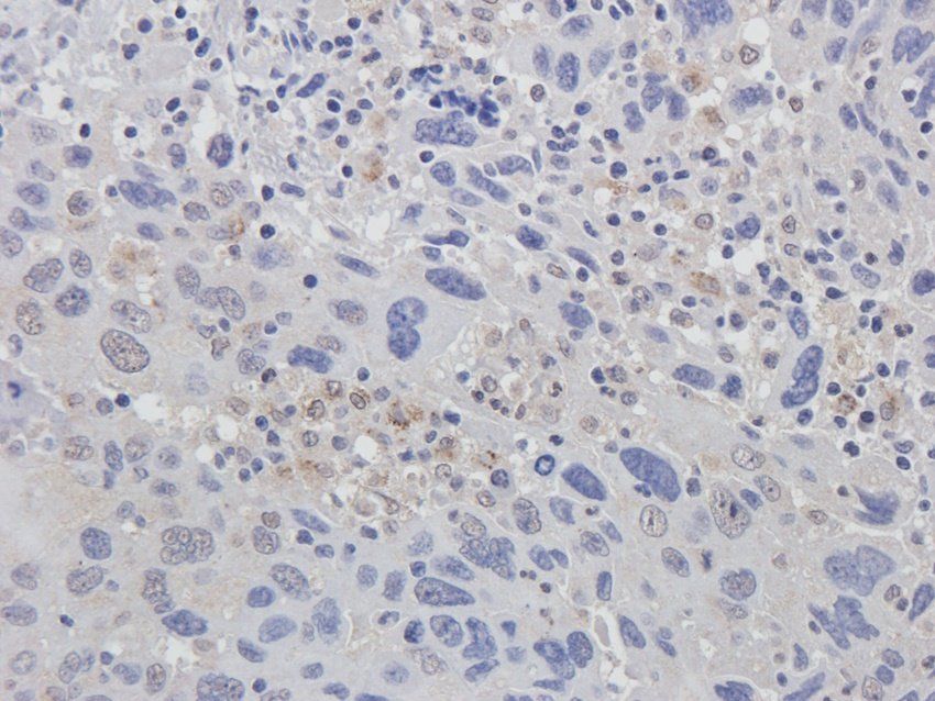
IHC-P, WB
- 宿主:
Rabbit
- 适应物种:
Human, Mouse, Rat
- 保质期:
6-12个月
- 抗原来源:
详询
- 目录编号:
orb55872
- 级别:
科研级
- 库存:
88
- 供应商:
biorbyt
- 标记物:
Unconjugated
- 克隆性:
Polyclonal
- 形态:
10 mM PBS, 0.02% sodium azide
- 亚型:
IgG
- 免疫原:
KLH conjugated synthetic peptide derived from human ERCC5. Please contact us for the exact immunogen sequence. The peptide is available as orb394003.
- 规格:
100 ug
免疫原:KLH conjugated synthetic peptide derived from human ERCC5. Please contact us for the exact 免疫原 sequence. The peptide is available as orb394003.
分子量:133 kDa
应用稀释比例:WB: 1-100-600, IHC-P: 1:100-500
纯度:Polyclonal antibodies are purified by peptide affinity chromatography
保存说明:Maintain refrigerated at 2-8°C for up to 2 weeks. For long term storage store at -20°C in small aliquots to prevent freeze-thaw cycles.
UniProt ID:P28715
Note:For research use only.





风险提示:丁香通仅作为第三方平台,为商家信息发布提供平台空间。用户咨询产品时请注意保护个人信息及财产安全,合理判断,谨慎选购商品,商家和用户对交易行为负责。对于医疗器械类产品,请先查证核实企业经营资质和医疗器械产品注册证情况。
文献和实验)。 Lanes 1 to 7 are loaded with samples for ERCC1 (NM_202001), ERCC1 (NM_001983), ERCC2 (NM_000400), ERCC3 (NM_000122), ERCC4 (NM_005236), ERCC5 (NM_000123) and PCYT1A (NM_005017)。Figure2 To develop the most highly specific anti-ERCC1 monoclonal antibody
技术资料暂无技术资料 索取技术资料











