相关产品推荐更多 >
万千商家帮你免费找货
0 人在求购买到急需产品
- 详细信息
- 文献和实验
- 技术资料
- 抗体名:
IDH2 antibody抗体
- 抗体英文名:
IDH2 antibody
- 靶点:
IDH2
- 浓度:
- 100 μg (in 200 μl): 0.5 mg/ml- 200 μg (in 400 μl): 0.5 mg/ml
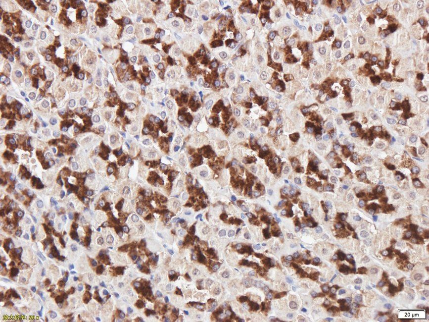
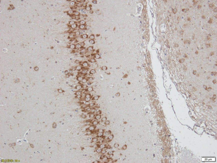
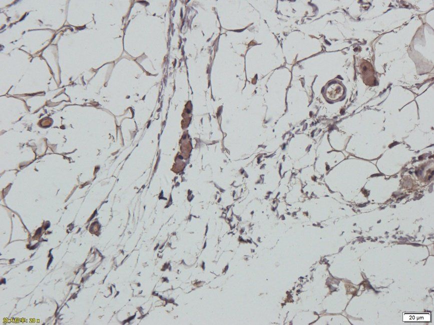
- 应用范围:
IHC-P, WB
- 宿主:
Rabbit
- 适应物种:
Human, Mouse, Rat
- 保质期:
6-12个月
- 抗原来源:
详询
- 目录编号:
orb55864
- 级别:
科研级
- 库存:
88
- 供应商:
biorbyt
- 标记物:
Unconjugated
- 克隆性:
Polyclonal
- 形态:
10 mM PBS, 0.02% sodium azide
- 亚型:
IgG
- 免疫原:
KLH conjugated synthetic peptide derived from human IDH2. Please contact us for the exact immunogen sequence. The peptide is available as orb393997.
- 规格:
100 ug
别名:anti-MARCO antibody, anti-SCARA2 antibody, anti-Scavenger receptor class A member 2.
免疫原:KLH conjugated synthetic peptide derived from human IDH2. Please contact us for the exact 免疫原 sequence. The peptide is available as orb393997.
分子量:53 kDa
应用稀释比例:WB: 1-200-2000, IHC-P: 1:100-500
纯度:Polyclonal antibodies are purified by peptide affinity chromatography
保存说明:Maintain refrigerated at 2-8°C for up to 2 weeks. For long term storage store at -20°C in small aliquots to prevent freeze-thaw cycles.
NCBI:006761, 006770
Entrez:8685
UniProt ID:P48735
Note:For research use only.









风险提示:丁香通仅作为第三方平台,为商家信息发布提供平台空间。用户咨询产品时请注意保护个人信息及财产安全,合理判断,谨慎选购商品,商家和用户对交易行为负责。对于医疗器械类产品,请先查证核实企业经营资质和医疗器械产品注册证情况。
文献和实验的突变(IDH1,IDH2和RAS)并没有在AEL中出现。 GATA2是一个和造血功能相关的锌指转录因子,在该研究中共有13个AEL出现突变。分析显示,这些突变影响7个不同的氨基酸区域。其中,10个病人的突变位于N-terminal ZF1,3个病人的突变位于转录激活区域(Q20H),12个病人的突变为错义突变,其中又有9个位于DNA-binding N-terminal zinc-finger区域。此外,为了探究GATA2与血液病的关系,研究人员对253个non-AEL AML,40
技术资料暂无技术资料 索取技术资料











