相关产品推荐更多 >

RNA polymerase II CTD repeat YSPTSPS (phospho S2) Rabbit pAb, PerCP conjugated(bs-6581R-PerCP)-100ul
¥2980
CD97 Rabbit pAb, BF488 conjugated(bs-2522R-BF488)-100ul
¥2980
beta 2 Microglobulin Rabbit pAb(bs-6294R)-50ul/100ul/200ul
¥1180
Synaptopodin Rabbit pAb, APC-Cy5.5 conjugated(bs-14026R-APC-Cy5.5)-100ul
¥2980
SIK1 Rabbit pAb, Biotin conjugated(bs-6252R-Bio)-100ul
¥2980
万千商家帮你免费找货
0 人在求购买到急需产品
- 详细信息
- 文献和实验
- 技术资料
- 应用范围:
产品信息以Bioss网站为准
- 规格:
50ul/100ul/200ul/200ug
| 规格: | 50ul | 产品价格: | ¥1180.0 |
|---|---|---|---|
| 规格: | 100ul | 产品价格: | ¥1980.0 |
| 规格: | 200ul | 产品价格: | ¥2800.0 |
| 规格: | 200ug | 产品价格: | ¥5600.0 |
| 产品编号 | bsm-33323M |
| 英文名称 | Beclin 1 Mouse mAb |
| 中文名称 | 自噬效应蛋白Beclin 1单克隆抗体 |
| 英文别名 | Beclin-1; ATG6; beclin1; VPS30; Beclin 1 like protein 1; 4921513J16Rik; 5430417M23Rik; ATG6; BECLIN 1; BECN1; MGC6843; BECN1_HUMAN. |
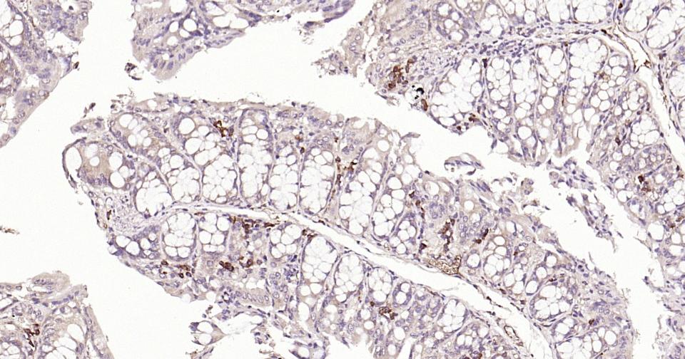
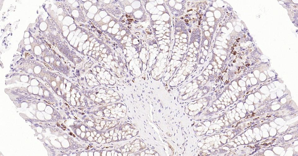
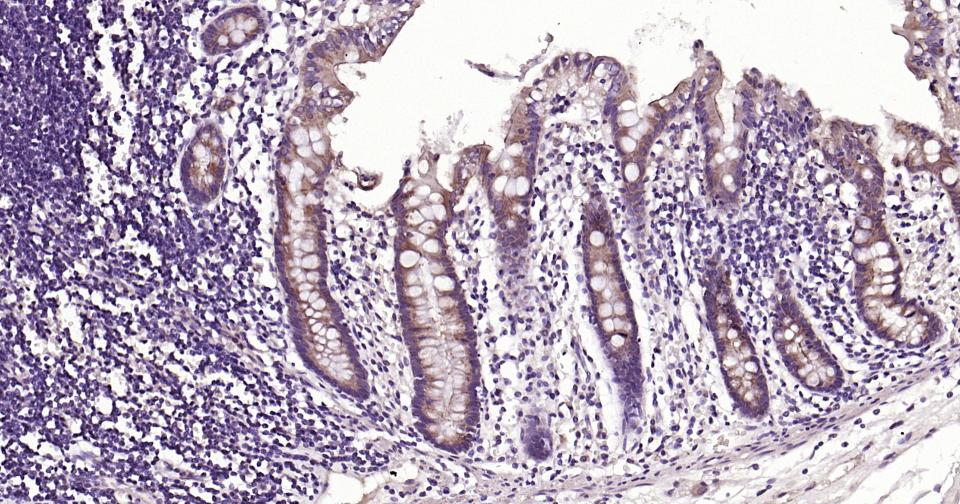
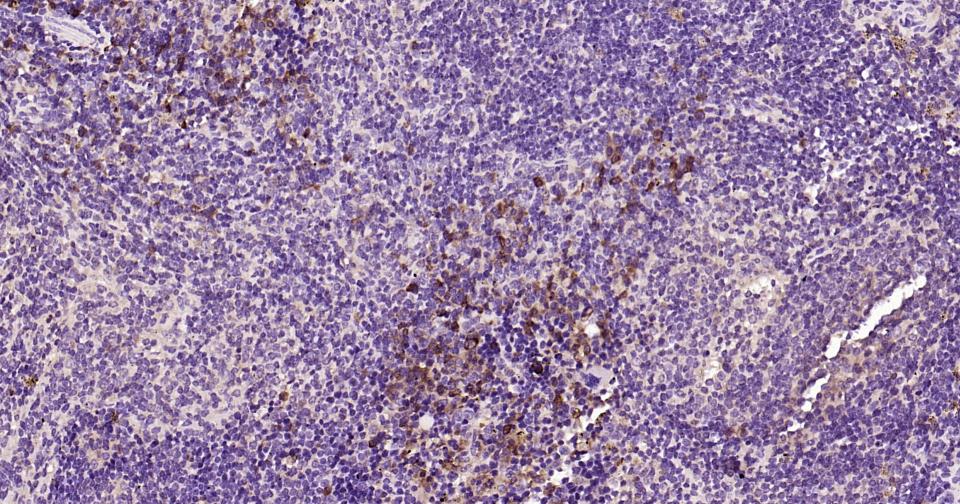
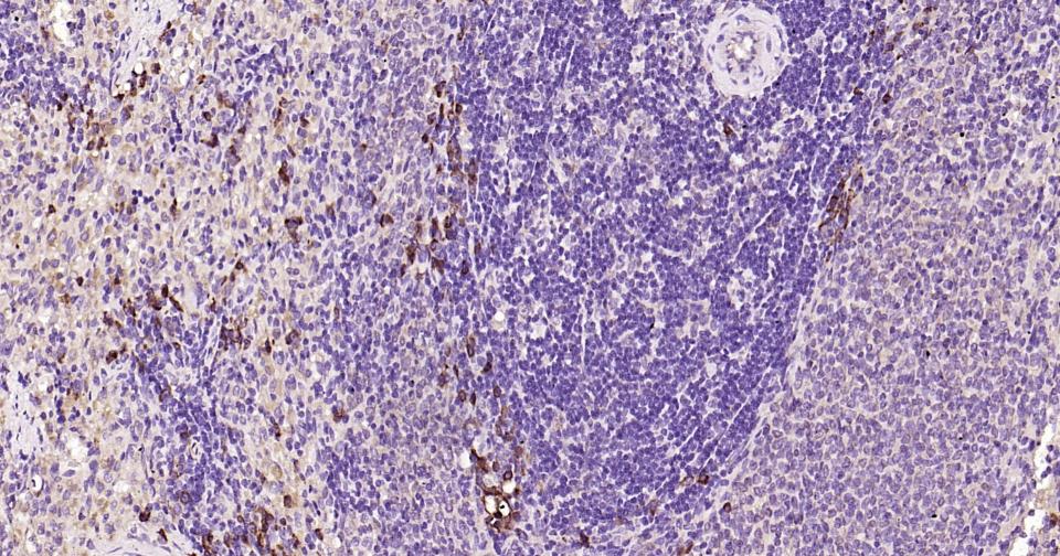
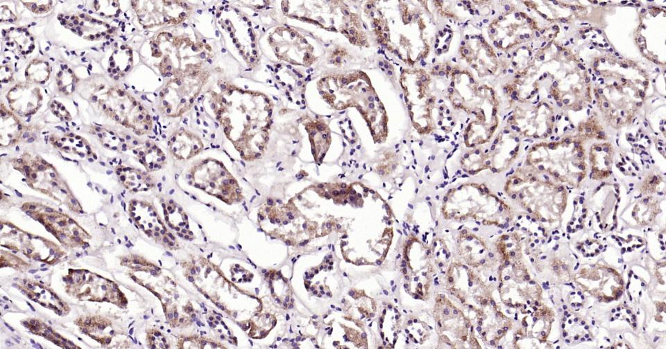
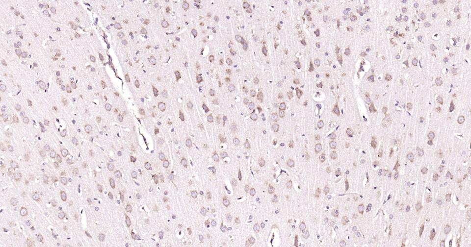
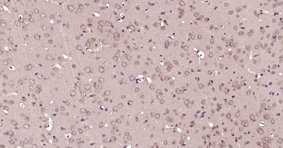
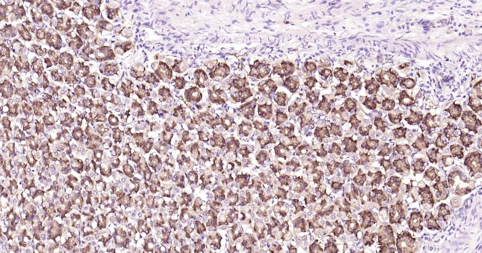
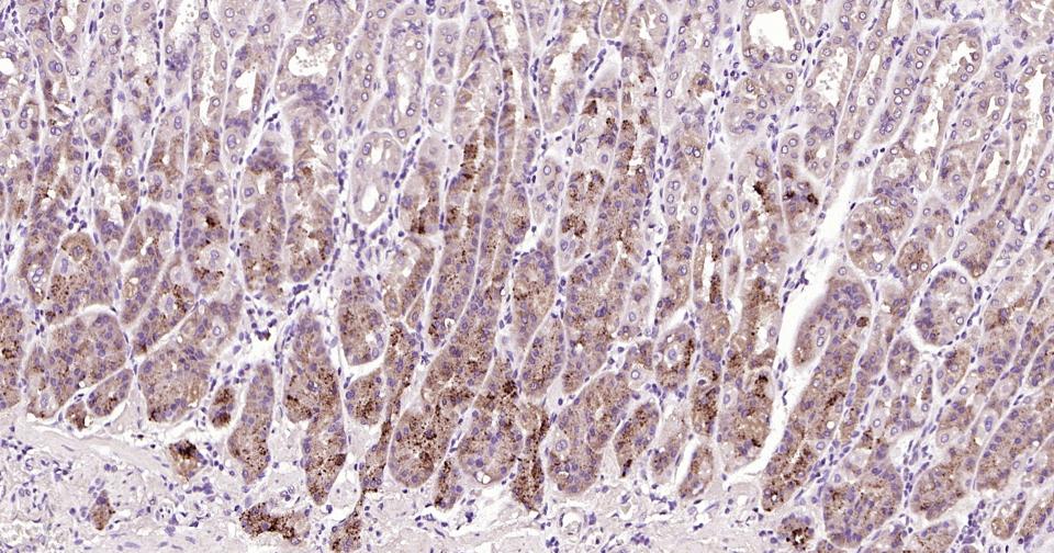
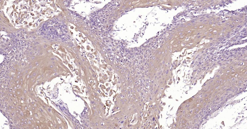
| 产品应用 | IHC-P=1:100-500, IHC-F=1:100-500, IF=1:100-500 Not yet tested in other applications. |
| 交叉反应 | Human, Mouse, Rat |
| 抗体来源 | Mouse |
| 免疫原 | KLH conjugated synthetic peptide derived from human Beclin 1 |
| 亚型 | IgG |
| 性状 | Liquid |
| 纯化方法 | affinity purified by Protein G |
| 克隆类型 | Monoclonal |
| 理论分子量 | 50 kDa |
| 浓度 | 1mg/ml |
| 储存液 | 0.01M TBS (pH7.4) with 1% BSA, 0.02% Proclin300 and 50% Glycerol. |
| 研究领域 | Cancer > Cell Death > Autophagy > Signal Transduction Cancer > Oncoproteins/suppressors > Tumor suppressors Cancer > Signal transduction > Autophagy Epigenetics and Nuclear Signaling > Transcription > Cancer susceptibility > Tumor Suppressors Metabolism > Pathways and Processes > Metabolism processes > Autophagy and mitophagy Microbiology > Interspecies Interaction > Host Immune Response |
| 亚基 | Interacts with GOPC and GRID2. Interacts with AMBRA1. Forms a complex with PIK3C3 and PIK3R4 and either UVRAG and KIAA0226/Rubicon, or with ATG14. UVRAG and ATG14 form mutually exclusive complexes through direct competition for BECN1-binding. The complex containing ATG14 up-regulates autophagy, while the one containing Rubicon down-regulates autophagy. Interacts with BCL2 and BCL2L1. Interacts with VMP1. Interacts with PIK3CB. Interacts with DAPK1. Interacts with human cytomegalovirus/HHV-5 protein TRS1. |
| 亚细胞定位 | Golgi apparatus, trans-Golgi network membrane; Peripheral membrane protein. Note=Interaction with ATG14 promotes translocation to autophagosomes. Expressed in dendrites and cell bodies of cerebellar Purkinje cells. |
| 组织特异性 | Ubiquitous. |
| 翻译后修饰 | Phosphorylation at Thr-119 by DAPK1 reduces its interaction with BCL2 and BCL2L1 and promotes induction of autophagy.
Ubiquitinated. Deubiquitinated by USP10 and USP13, leading to stabilize the PIK3C3/VPS34-containing complexes. |
| 相似性 | Belongs to the beclin family. |
| 功能 | Plays a central role in autophagy. Required for the abcission step in cytokinesis. May play a role in antiviral host defense. Protects against infection by a neurovirulent strain of Sindbis virus. |
| 保存条件 | Shipped at 4℃. Store at -20℃ for one year. Avoid repeated freeze/thaw cycles. |
| 注意事项 | This product as supplied is intended for research use only, not for use in human, therapeutic or diagnostic applications. |
| 背景资料 | Beclin 1 is the first identified mammalian gene to mediate autophagy and also has tumor suppressor and antiviral function. Autophagy, a process of bulk protein degradation through an autophagosomic lysosomal pathway, is important for differentiation, survival during nutrient deprivation, and normal growth control, and is often defective in tumor cells. Beclin 1 was originally isolated in a yeast two hybrid screen to identify Bcl 2 binding partners and maps to a tumor susceptibility locus on human chromosome 17q21 that is frequently monoallelically deleted in human breast, ovarian and prostate cancer. Beclin 1 encodes an evolutionarily conserved 52kDa coiled coil protein that is expressed in human muscle, epithelial cells and neurons. |
| 应用 | 推荐稀释比例 |
| {IHC-P} | {1:100-500} |
| {IHC-F} | {1:100-500} |
| {IF} | {1:100-500} |












风险提示:丁香通仅作为第三方平台,为商家信息发布提供平台空间。用户咨询产品时请注意保护个人信息及财产安全,合理判断,谨慎选购商品,商家和用户对交易行为负责。对于医疗器械类产品,请先查证核实企业经营资质和医疗器械产品注册证情况。
文献和实验[IF={{ 8.469 }}] {Mao, Shaowei. et al. FKBP51 promotes invasion and migration by increasing the autophagic degradation of TIMP3 in clear cell renal cell carcinoma. Cell Death Dis. 2021 Oct;12(10):1-15} {IF} {Human}
[IF={{ 5.988 }}] {Zhao-Jie Ji. et al. Neuroprotective Effect of Taohong Siwu Decoction on Cerebral Ischemia/Reperfusion Injury via Mitophagy-NLRP3 Inflammasome Pathway. FRONT PHARMACOL. 2022; 13: 910217} {IF} {Rat}
[IF={{ 5.4 }}] {Xiaoxiao Shan. et al. Kai-Xin-San ameliorates Alzheimer's disease-related neuropathology and cognitive impairment in APP/PS1 mice via the mitochondrial autophagy-NLRP3 inflammasome pathway. J ETHNOPHARMACOL. 2024 Apr;:118145} {WB} {Mouse}
[IF={{ 4.8 }}] {Wenzhou Wang. et al. Transforming growth factor-β3/Smad2/Smad3 Signaling Pathway Inhibition and Autophagy by the Yunpi-Xiefei-Huatan Decoction Ameliorated Airway Inflammation and Mucus Hypersecretion in Asthmatic Rats. J ETHNOPHARMACOL. 2024 Nov;:119125} {WB} {Rat}
[IF={{ 13.3 }}] {Ze-Min Li. et al. Bunyavirus SFTSV NSs utilizes autophagy to escape the antiviral innate immune response. AUTOPHAGY. 2024 五月 18} {IP,WB,Co-IP} {Human}
技术资料暂无技术资料 索取技术资料





