相关产品推荐更多 >
万千商家帮你免费找货
0 人在求购买到急需产品
- 详细信息
- 文献和实验
- 技术资料
- 应用范围:
产品信息以Bioss网站为准
- 规格:
50ul/100ul/200ul
| 规格: | 50ul | 产品价格: | ¥1180.0 |
|---|---|---|---|
| 规格: | 100ul | 产品价格: | ¥1980.0 |
| 规格: | 200ul | 产品价格: | ¥2800.0 |
| 产品编号 | bs-20746R |
| 英文名称 | GPR49/LGR5 Rabbit pAb |
| 中文名称 | G蛋白偶联受体49抗体 |
| 英文别名 | G protein coupled receptor 49; G-protein coupled receptor 49; G-protein coupled receptor 67; GPCR GPR49; G protein coupled receptor 67; FEX; g protein-coupled receptor fex; G-protein coupled receptor HG38; GPR 49; GPR 67; GPR49; GPR67; Leucine rich repeat containing G protein coupled receptor 5; LGR5; HG 38; HG38; LGR5; LGR5_HUMAN; MGC117008; Leucine-rich repeat-containing G-protein coupled receptor 5; LGR 5; Orphan G protein coupled receptor HG38. |
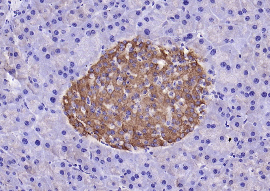
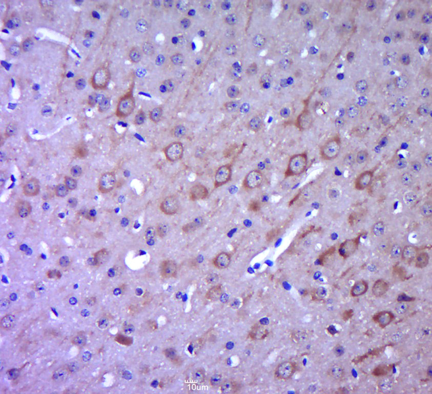
| 产品应用 | WB=1:500-2000, IHC-P=1:100-500, IHC-F=1:100-500, IF=1:100-500 Not yet tested in other applications. |
| 交叉反应 | Human, Mouse, Rat (Pig, Cow, Sheep) |
| 抗体来源 | Rabbit |
| 免疫原 | KLH conjugated synthetic peptide derived from human GPR49/LGR5 |
| 亚型 | IgG |
| 性状 | Liquid |
| 纯化方法 | affinity purified by Protein A |
| 克隆类型 | Polyclonal |
| 理论分子量 | 98 kDa |
| 浓度 | 1mg/ml |
| 储存液 | 0.01M TBS (pH7.4) with 1% BSA, 0.02% Proclin300 and 50% Glycerol. |
| 研究领域 | Cancer > Signal transduction > G protein signaling > GPCR Signal Transduction > Signaling Pathway > G Protein Signaling > GPCR Stem Cells > Signaling Pathways > Wnt > Surface Molecules |
| 亚基 | Identified in a complex composed of RNF43, LGR5 and RSPO1. |
| 亚细胞定位 | Cell membrane; Multi-pass membrane protein. |
| 组织特异性 | Expressed in skeletal muscle, placenta, spinal cord, and various region of brain. Expressed at the base of crypts in colonic and small mucosa stem cells. In premalignant cancer expression is not restricted to the cript base. Overexpressed in cancers of the ovary, colon and liver. |
| 相似性 | Belongs to the G-protein coupled receptor 1 family. Contains 16 LRR (leucine-rich) repeats. Contains 1 LRRNT domain. |
| 功能 | Receptor for R-spondins that potentiates the canonical Wnt signaling pathway and acts as a stem cell marker of the intestinal epithelium and the hair follicle. Upon binding to R-spondins (RSPO1, RSPO2, RSPO3 or RSPO4), associates with phosphorylated LRP6 and frizzled receptors that are activated by extracellular Wnt receptors, triggering the canonical Wnt signaling pathway to increase expression of target genes. In contrast to classical G-protein coupled receptors, does not activate heterotrimeric G-proteins to transduce the signal. Involved in the development and/or maintenance of the adult intestinal stem cells during postembryonic development. |
| 保存条件 | Shipped at 4℃. Store at -20℃ for one year. Avoid repeated freeze/thaw cycles. |
| 注意事项 | This product as supplied is intended for research use only, not for use in human, therapeutic or diagnostic applications. |
| 背景资料 | The protein encoded by this gene is a leucine-rich repeat-containing receptor (LGR) and member of the G protein-coupled, 7-transmembrane receptor (GPCR) superfamily. The encoded protein is a receptor for R-spondins and is involved in the canonical Wnt signaling pathway. This protein plays a role in the formation and maintenance of adult intestinal stem cells during postembryonic development. Several transcript variants encoding different isoforms have been found for this gene. [provided by RefSeq, Sep 2015] |
| 应用 | 推荐稀释比例 |
| {WB} | {1:500-2000} |
| {IHC-P} | {1:100-500} |
| {IHC-F} | {1:100-500} |
| {IF} | {1:100-500} |

HepG2(Human) Cell Lysate at 40 ug
Primary: Anti-LGR5 (bs-20476R) at 1/300 dilution
Secondary: IRDye800CW Goat Anti-Rabbit IgG at 1/20000 dilution
Predicted band size: 98 kD
Observed band size: 115 kD

Lane 1: Cerebrum (Mouse) Lysate at 40 ug
Lane 1: Cerebrum (Rat) Lysate at 40 ug
Primary: Anti-GPR49/LGR5 (bs-20746R) at 1/1000 dilution
Secondary: IRDye800CW Goat Anti-Rabbit IgG at 1/20000 dilution
Predicted band size: 100 kD
Observed band size: 105 kD



风险提示:丁香通仅作为第三方平台,为商家信息发布提供平台空间。用户咨询产品时请注意保护个人信息及财产安全,合理判断,谨慎选购商品,商家和用户对交易行为负责。对于医疗器械类产品,请先查证核实企业经营资质和医疗器械产品注册证情况。
文献和实验[IF={{ 7.9 }}] {Zhen-Ye Luo. et al. Coptidis Rhizoma processed with Evodia Rutaecarpa improves the effect on ulcerative colitis by increasing intestinal energy metabolites alpha-ketoglutarate and Lactobacillus reuteri. PHYTOMEDICINE. 2023 Sep;:155115} {IF} {Mouse}
[IF={{ 2.792 }}] {Yan, Wei. et al. Neural, adipocyte and hepatic differentiation potential of primary and secondary hair follicle stem cells isolated from Arbas Cashmere goats. BMC VET RES. 2022 Dec;18(1):1-18} {IF,WB} {Goat}
= NAL), appears to form upon oxidative cyclization of the nonfluorescent 2:1 lysine-HNE Michael adduct-Schiff base cross-link (Scheme 1). Polyclonal antibody (PAb) to the NAL-HNE fluorophore was raised in rabbit and found to be highly specific
6xW7xs2tF3mD2mZSWiRkdaCZeWWrSItcUOmFn0ix60i5KwM7X6LRZBzWgGwIfuKXLpoN9240E6ec5aNGtMmni1fdOmyJgCiVc7a1h391t3dbxPGjRV5ZvFpbXI3V++WBltLWneMzFu90a/JgBulWW6x4SNGqYLZXUtxQ5Ah37L28N/dbFmScOH3vFj8djzjlYjAG49AtEl+4zGNOUYEIgIRgYjAAYvA79Ye74YlxBsgy5rE1xQJruAGri
secondary antibody review -- data from 99 publications
whether any cell surface DFz2 had been internalized 4 flow cytometry localize of GPR30 in the endoplasmic reticulum 5 rhodamine immunocytochemistry detect kaposin B in SLK endothelial cells 6 IgG IgG2b Alexa Fluor 647 flow
技术资料暂无技术资料 索取技术资料








