相关产品推荐更多 >
万千商家帮你免费找货
0 人在求购买到急需产品
- 详细信息
- 文献和实验
- 技术资料
- 免疫原:
KLH conjugated synthetic peptide derived from human PRODH
- 亚型:
IgG
- 形态:
液态/冻干粉
- 保存条件:
Store at -2673 °C
- 克隆性:
多克隆
- 宿主:
rabbit
- 应用范围:
IHC-P=1:50-100 IHC-F=1:50-1421 (石蜡切片需做抗原修复) not yet tested in other applications.optimal dilutions/concentrations should be determined by the end user.
- 浓度:
1mg/1ml
- 规格:
0.2ml/0.1ML
中文名称磷酸化干扰素调节因子7抗体
别 名Interferon regulatory factor 7; Interferon regulatory factor 7H; IRF 7; IRF 7A; IRF 7H; IRF7A; IRF7; IRF7H.
规格100ul
文献有引用:
产品类型磷酸化抗体
研究领域肿瘤 信号转导 细胞凋亡 转录调节因子
抗体来源Rabbit
克隆类型Polyclonal
交叉反应 Human, Mouse, Rat, Pig, Cow, Horse,
产品应用WB=1:500-2000 ELISA=1:500-1000 IHC-P=1:400-800 Flow-Cyt=1ug/test (石蜡切片需做抗原修复)
not yet tested in other applications.
optimal dilutions/concentrations should be determined by the end user.
分 子 量54kDa
细胞定位细胞核 细胞浆
性 状Lyophilized or Liquid
浓 度1mg/ml
免 疫 原KLH conjugated synthesised phosphopeptide derived from human IRF7 around the phosphorylation site of Ser471/472:GV(p-S)(p-S)LD
亚 型IgG
纯化方法affinity purified by Protein A
储 存 液0.01M TBS(pH7.4) with 1% BSA, 0.03% Proclin300 and 50% Glycerol.
保存条件Store at -20 °C for one year. Avoid repeated freeze/thaw cycles. The lyophilized antibody is stable at room temperature for at least one month and for greater than a year when kept at -20°C. When reconstituted in sterile pH 7.4 0.01M PBS or diluent of antibody the antibody is stable for at least two weeks at 2-4 °C.
PubMedPubMed
产品介绍background:
IRF7 encodes interferon regulatory factor 7, a member of the interferon regulatory transcription factor (IRF) family. IRF7 has been shown to play a role in the transcriptional activation of virus-inducible cellular genes, including interferon beta chain genes. Inducible expression of IRF7 is largely restricted to lymphoid tissue. Multiple IRF7 transcript variants have been identified, although the functional consequences of these have not yet been established. [provided by RefSeq, Jul 2008]
Function:
Transcriptional activator. Binds to the interferon-stimulated response element (ISRE) in IFN promoters and in the Q promoter (Qp) of EBV nuclear antigen 1 (EBNA1). Functions as a molecular switch for antiviral activity. Activated by phosphorylation in response to infection. Activation leads to nuclear retention, DNA binding, and derepression of transactivation ability.
Subunit:
Homodimer.
Subcellular Location:
Nucleus. Cytoplasm. The phosphorylated and active form accumulates selectively in the nucleus.
Tissue Specificity:
Expressed predominantly in spleen, thymus and peripheral blood leukocytes.
Post-translational modifications:
In response to a viral infection, phosphorylated on the C-terminal serine cluster. Phosphorylation, and subsequent activation is inhibited by vaccinia virus protein E3.
TRAF6-mediated ubiquitination is required for IRF7 activation.
Similarity:
Belongs to the IRF family.
Contains 1 IRF tryptophan pentad repeat DNA-binding domain.
SWISS:
Q92985
Gene ID:
3665
Database links:
Entrez Gene: 3665 Human
Entrez Gene: 54123 Mouse
Entrez Gene: 293624 Rat
Omim: 605047 Human
SwissProt: Q92985 Human
SwissProt: P70434 Mouse
Unigene: 166120 Human
Unigene: 3233 Mouse
Unigene: 101159 Rat
Important Note:
This product as supplied is intended for research use only, not for use in human, therapeutic or diagnostic applications.
Sample:
Uterus (Mouse) Lysate at 40 ug
Large intestine (Mouse) Lysate at 40 ug
Primary: Anti-Phospho-IRF7 (Ser471 + Ser472)(bs-3196R)at 1/300 dilution
Secondary: IRDye800CW Goat Anti-Rabbit IgG at 1/20000 dilution
Predicted band size: 54kD
Observed band size: 49kD
Sample:Cerebrum (Rat) Lysate at 40 ug
Primary: Anti-Phospho-IRF7 (Ser471 + Ser472)(bs-3196R)at 1/300 dilution
Secondary: IRDye800CW Goat Anti-Rabbit IgG at 1/20000 dilution
Predicted band size: 54kD
Observed band size: 48kD
Sample:Spleen (Mouse) Lysate at 40 ug
Primary: Anti-Phospho-IRF7 (Ser471 + Ser472)(bs-3196R)at 1/300 dilution
Secondary: IRDye800CW Goat Anti-Rabbit IgG at 1/20000 dilution
Predicted band size: 54kD
Observed band size: 49kD
Sample: Heart(Mouse) lysate at 30ug;
Primary: Anti-Phospho-IRF7 (Ser471+Ser472) (bs-3196R) at 1:200 dilution;
Secondary: HRP conjugated Goat Anti-Rabbit IgG(bs-0295G-HRP) at 1: 5000 dilution;
Predicted band size : 54kD
Observed band size : 51kD
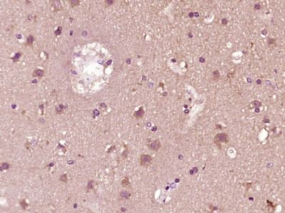
Paraformaldehyde-fixed, paraffin embedded (Human brain glioma); Antigen retrieval by boiling in sodium citrate buffer (pH6.0) for 15min; Block endogenous peroxidase by 3% hydrogen peroxide for 20 minutes; Blocking buffer (normal goat serum) at 37°C for 30min; Antibody incubation with (Phospho-IRF7 (Ser471 + Ser472)) Polyclonal Antibody, Unconjugated (bs-3196R) at 1:400 overnight at 4°C, followed by operating according to SP Kit(Rabbit) (sp-0023) instructionsand DAB staining.
Paraformaldehyde-fixed, paraffin embedded (Mouse brain); Antigen retrieval by boiling in sodium citrate buffer (pH6.0) for 15min; Block endogenous peroxidase by 3% hydrogen peroxide for 20 minutes; Blocking buffer (normal goat serum) at 37°C for 30min; Antibody incubation with (Phospho-IRF7 (Ser471 + Ser472)) Polyclonal Antibody, Unconjugated (bs-3196R) at 1:400 overnight at 4°C, followed by operating according to SP Kit(Rabbit) (sp-0023) instructionsand DAB staining.
Blank control:Molt-4.
Primary Antibody (green line): Rabbit Anti-Phospho-IRF7 (Ser471 + Ser472) antibody (bs-3196R)
Dilution: 1μg /10^6 cells;
Isotype Control Antibody (orange line): Rabbit IgG .
Secondary Antibody : Goat anti-rabbit IgG-AF647
Dilution: 1μg /test.
Protocol
The cells were fixed with 4% PFA (10min at room temperature)and then permeabilized with 90% ice-cold methanol for 20 min at-20℃. The cells were then incubated in 5%BSA to block non-specific protein-protein interactions for 30 min at at room temperature .Cells stained with Primary Antibody for 30 min at room temperature. The secondary antibody used for 40 min at room temperature. Acquisition of 20,000 events was performed.
风险提示:丁香通仅作为第三方平台,为商家信息发布提供平台空间。用户咨询产品时请注意保护个人信息及财产安全,合理判断,谨慎选购商品,商家和用户对交易行为负责。对于医疗器械类产品,请先查证核实企业经营资质和医疗器械产品注册证情况。
文献和实验青鸟使者 小弟刚接触细胞信号转导,做VEGFR-2,有个基础的菜鸟问题,VEGFR-2有6个自磷酸化位点,我做的是抑制其磷酸化的小分子抑制剂,观察其对VEGFR-2磷酸化的抑制作用,那western-blot时选哪个磷酸化位点的抗体检测好呢?还是都一样?先谢谢高手相助! xb0810 应该先看看文献,一般下游不同的分支的激活可能与不同的位点磷酸化有关。 shutaozheng_824 还是查
prince1101 非磷酸化抗体是识别总得蛋白的,比如AKT。 P-AKT和AKT其实只差一些磷酸基,分子量稍大点,以前听别人讲P-AKT和AKT之间有shift,有时候WB是可以做出来的。 用的是梯度胶?分子量在68KD左右。应该怎么样来配胶呢?梯度胶的浓度? 谢谢! prince1101 希望高手能赐教! ourlab 某些 AKT抗体,如cell
在HIV-1感染期间,自然杀伤细胞作为广泛中和抗体反应的关键调节因子
12月1日是世界艾滋病日。为了纪念这一时刻,我们邀请了一系列来自逆转录病毒学和艾滋病研究与治疗的作者,结合他们撰写的博客,讨论关于艾滋病毒/艾滋病治疗和预防的最新研究。继续讨论,Jelle van Schooten和Mathieu Claireaux告诉我们正在进行的工作,以更好地了解先天免疫系统在发展获得性免疫中的作用,为HIV-1疫苗铺平道路。大约有20-30%的HIV-1感染者在多年感染后产生广泛的中和抗体(bnAbs),但如何在疫苗接种环境中诱导这些抗体仍是未知数。研究bnAbs在自然
技术资料暂无技术资料 索取技术资料










